
- Startseite >
- >
- Auffälligkeiten im Mund >
- Gaumen, Wange & Zunge >
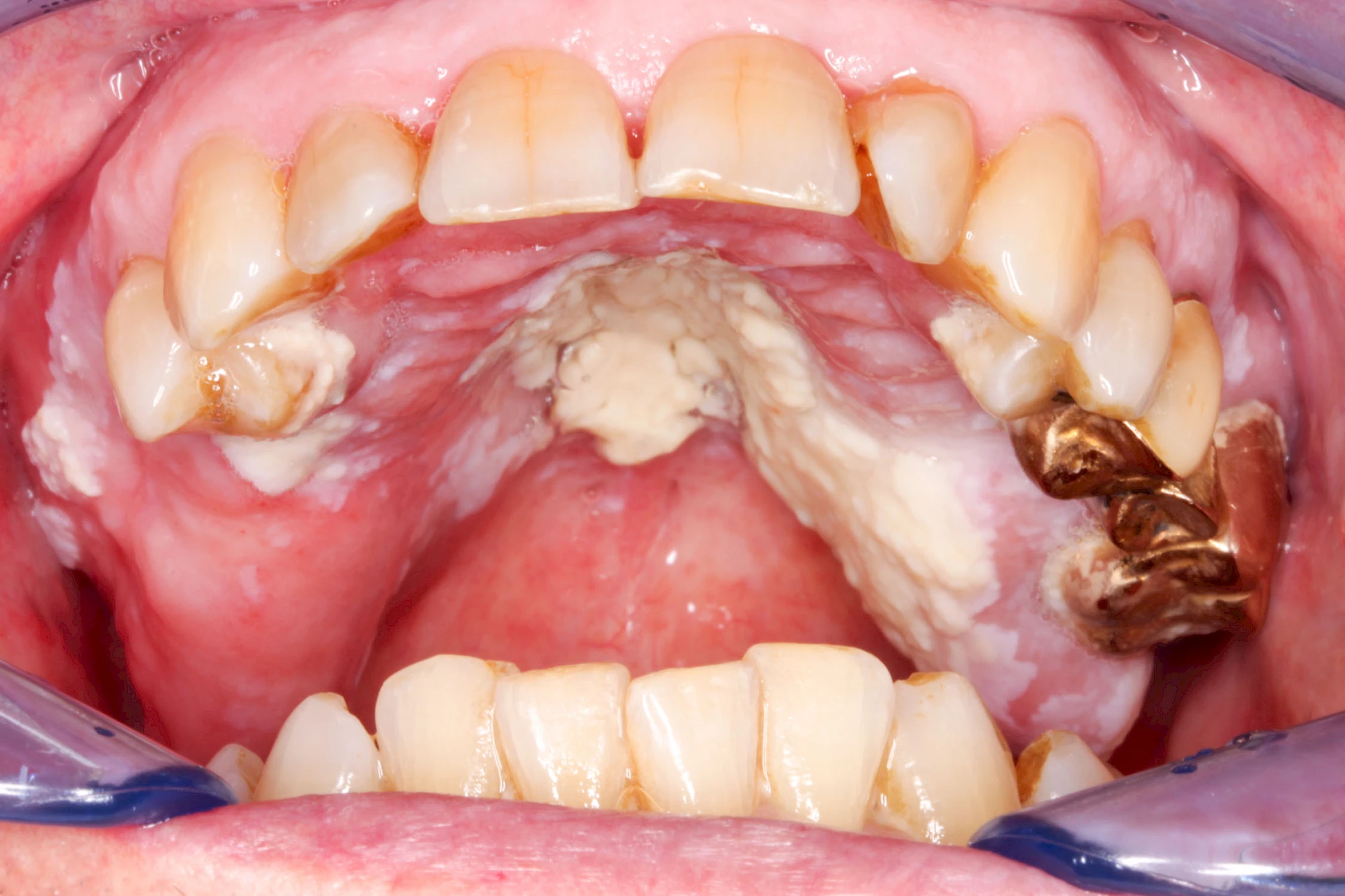
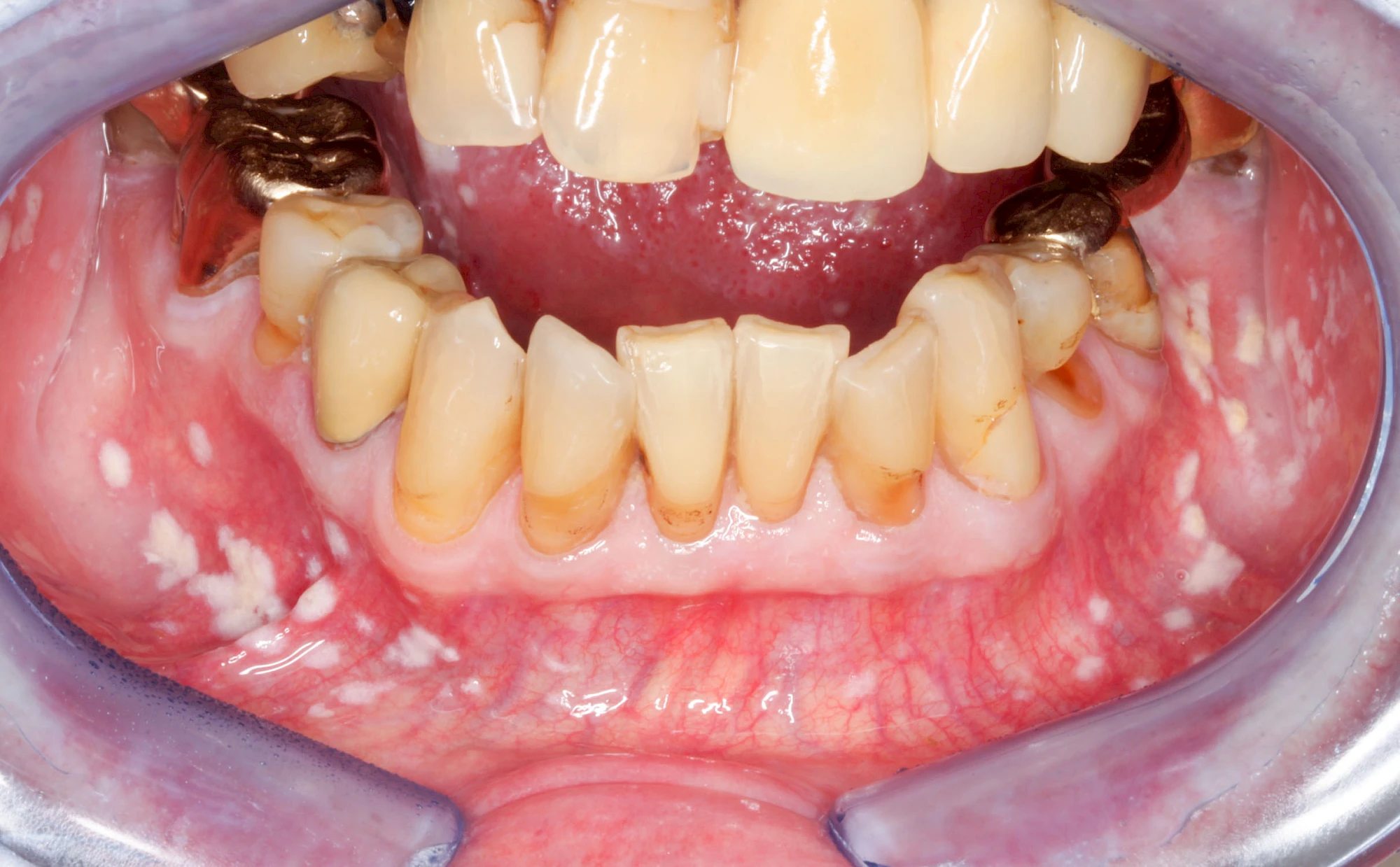
- Fleck & Belag: abwischbar
Fleck & Belag: abwischbar
Gaumen, Wange & Zunge
Beläge können meist durch geeignete Mundpflegemaßnahmen entfernt und vermieden werden. Wenn dies nicht gelingt, sollte der Zahnarzt kontaktiert werden.
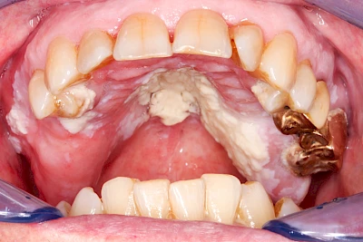
Borken
Borken sind verkrusteter Schleim und ebenfalls ein Zeichen für Mundtrockenheit. Gerade im Bereich der Prothesenauflageflächen können Borken auch mit Haftcremeresten verwechselt werden oder mit diesen vermengt sein. In jedem Fall sollte zunächst die Pflege der Mundschleimhäute und Zahnprothesenpflege intensiviert werden.
Haftcreme
Aufgrund der hohen Haftkraft lassen sich Haftrcreme-Reste meist nicht allein mit Zahnbürste und Zahnpasta entfernen. Die Haftcreme-Reste sollten am besten im Vorfeld mit Kompressen vorsichtigt entfernt werden.
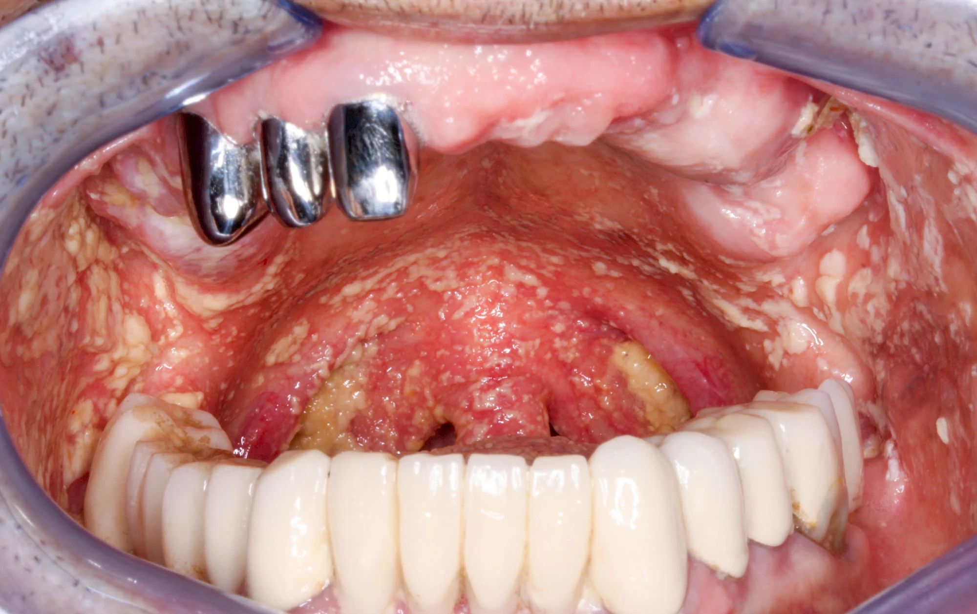
Pilzerkrankung: Soor
Pilze gehören zur physiologischen Mundflora. Schlechte Mund- bzw. Prothesenhygiene und ggf. gleichzeitig übermäßiger Verzehr kohlenhydratreicher Nahrung können das Pilzwachstum jedoch begünstigen. Der typische Pilz im Mund ist Candida albicans, ein sprossbildender Hefepilz. Bei übermäßigem Pilzwachstum spricht man von einer Pilzerkrankung, Pilzinfektion, Pilzbefall, Soor oder Candidose. Pilzerkrankungen können auch im Fall guter Mundhygiene auftreten bei:
- Dauerhaftem Gebrauch von Asthma-Spray (Kortison)
- Geschwächtem Immunsystem (nach Transplantation, bei Chemotherapie, bei Bestrahlung Kopf-Hals-Bereich)
Wird gleichzeitig kohlenhydratreiche pürierte Nahrung eingegeben, sind die Wachstumsbedingungen für Pilze ideal.
Wenn die Intensivierung der Mundpflege allein den Pilzbefall nicht zu verhindern vermag, sind in manchen Fällen dann zusätzliche Maßnahmen wie Medikamente gegen Pilze (Antimykotika) nach ärztlicher Rücksprache angezeigt.
Auf der Zungenoberseite (Zungenrücken) sind Pilzbesiedelungen häufig zu beobachten. Veränderung der Zunge, die vor allem im Alter zu beobachten sind (Faltenzunge, Haarzunge, Landkartenzunge) begünstigen das Wachstum von Pilzen. Vor allem bei eingeschränkter Zungenmobilität oder wenn wenige bzw. keine Zähne vorhanden sind, funktioniert zudem die Selbstreinigung der Zunge nur noch unzureichend. Hier kommt der gesonderten Zungenpflege mit speziellen Zungenreinigern oder einfach nur mit Zahnbürste und Zahnpasta besondere Bedeutung zu.
Diese Seite wurde zuletzt am 07.10.2025 geändert.