
- Startseite >
- >
- Auffälligkeiten im Mund >
- Schmuck
Schmuck
Auffälligkeiten im Mund
In manchen Kulturen wurden und werden Mund und Zähne verändert, um beispielsweise die soziale bzw. gesellschaftliche Stellung oder die sexuelle Reife eines Menschen zu signalisieren. Bei indigenen Stämmen sind Deformationen von Mund und Lippen (z. B. Lippenteller), Zahnentfernungen oder Zahnfeilungen bis heute verbreitet. Auch das "Ohaguro" (Zahnschwärzen) in Japan war bei Frauen bis in das 20. Jahrhundert als Symbol ehelicher Treue verbreitet. In der Türkei und in ostasiatischen ehemaligen Sowjetrepubliken gelten Goldzähne bis heute als Statussymbol.
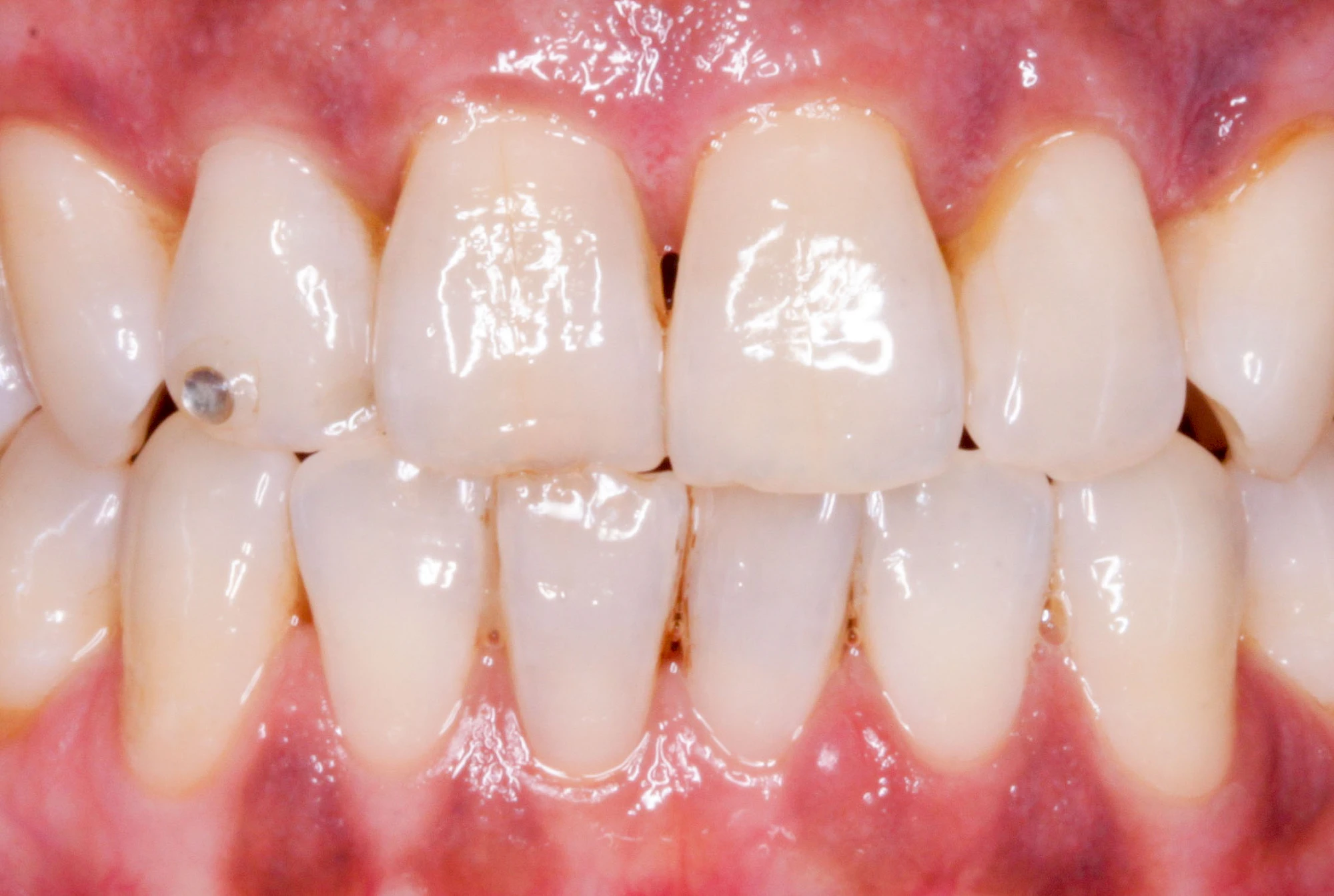
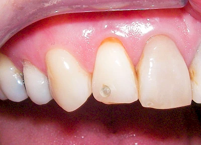
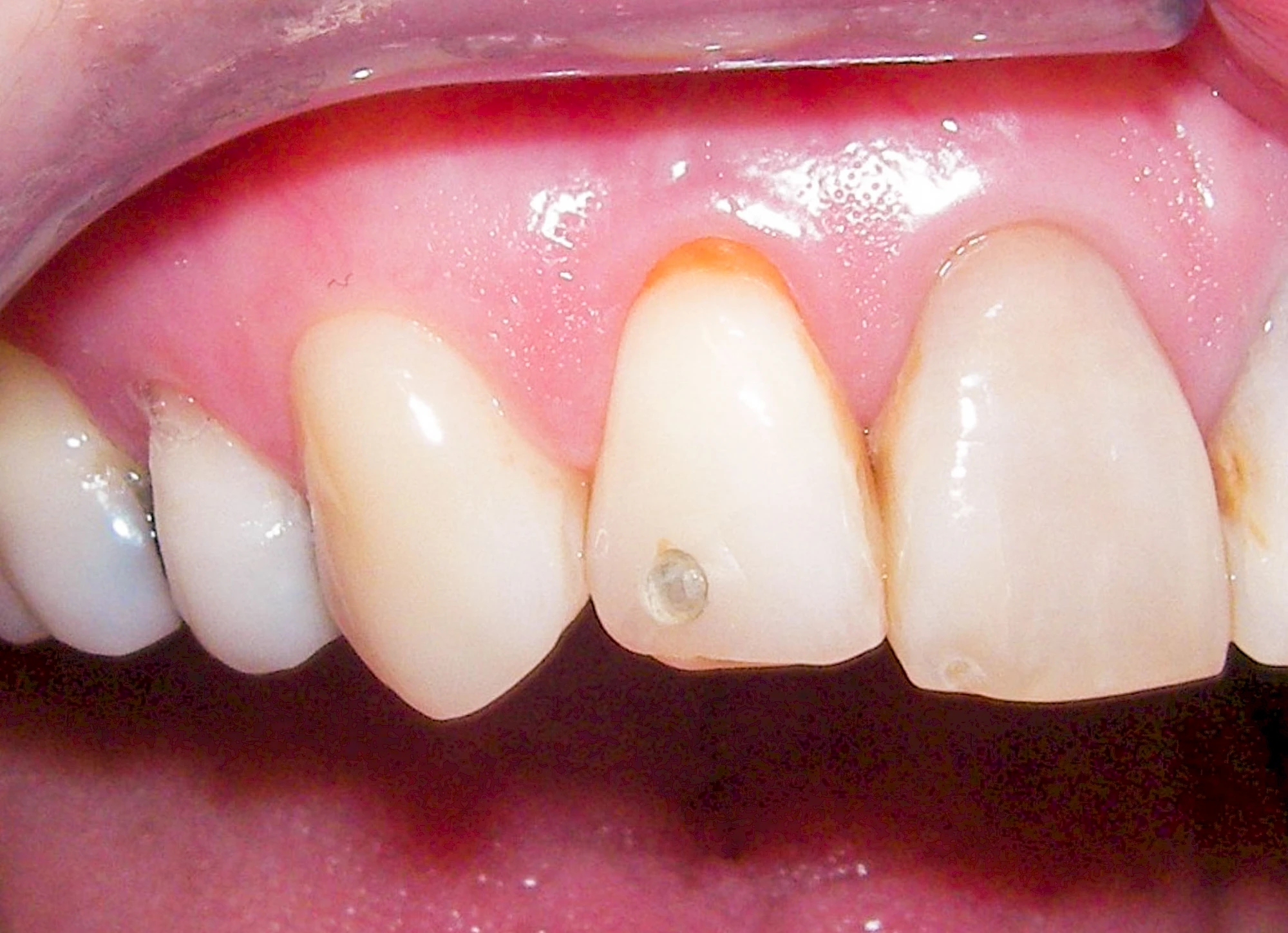
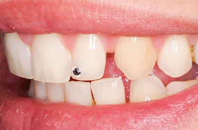
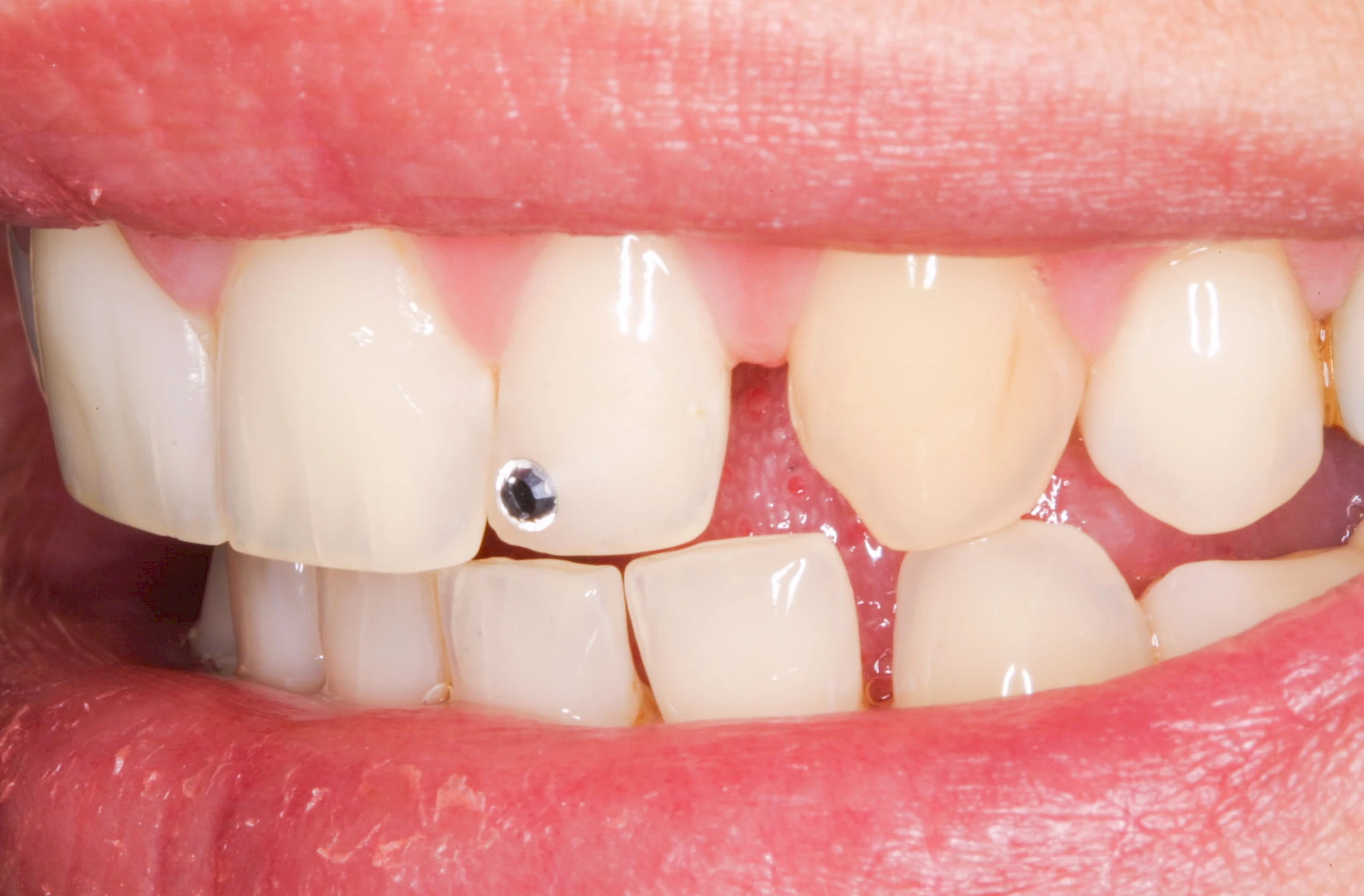
Viele dieser Zahn- und Munddeformationen schaden der Gesundheit. In Deutschland sind vor allem Steinchen, Piercings und Tattoos zu beobachten.
Steinchen werden auf die Zahnoberfläche aufgeklebt und haben in der Regel keine gesundheitsschädigende Auswirkung. Piercings und Tattoos sind eher kritisch zu betrachten.
Probleme durch Piercings
- Wundheilungsstörungen
- Unverträglichkeitsreaktionen
- Entzündungen an der Durchtrittsstelle
- Irritation und Schädigung der Nerven im Bereich der Durchtrittsstelle
- Irritation des angrenzenden Gewebes als Ursache für Zahnfleischrückgang
- Verschiebung der Zähne (Siehe Bildbeispiele)
Probleme durch Tattoos
- Wundheilungsstörungen
- Unverträglichkeitsreaktionen
- Gesundheitsgefährdende Einstufung vieler Farben
Diese Seite wurde zuletzt am 25.08.2025 geändert.