
- Startseite >
- >
- Auffälligkeiten im Mund >
- Zahn, Füllung, Krone & Brücke >
- Belag
Belag
Zahn, Füllung, Krone & Brücke
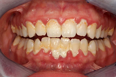
Zahnbelag kann verschiedene Härtegrade und Färbungen annehmen und lässt sich je nach Form auf unterschiedliche Ursachen zurückführen.
Plaque (Biofilm)
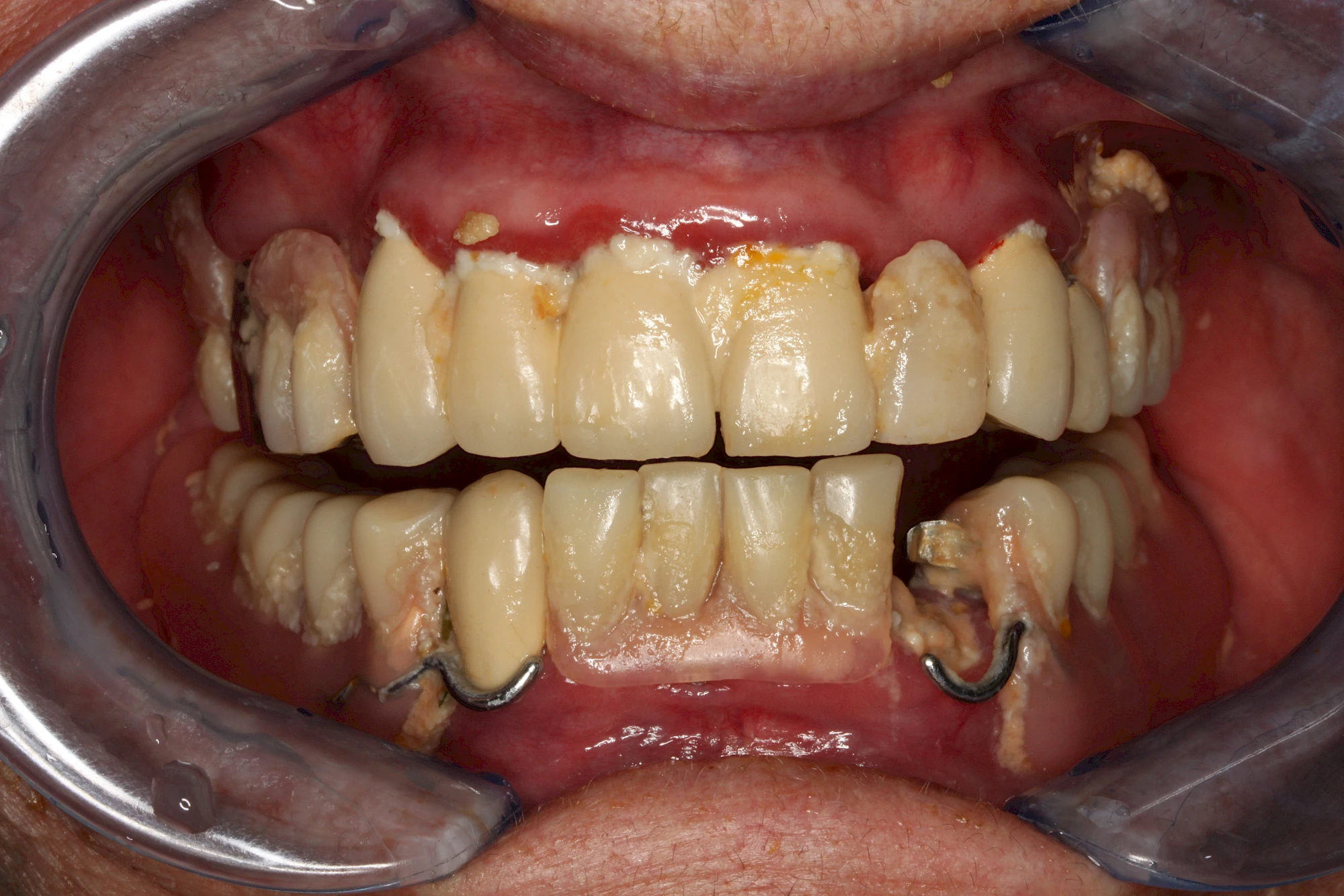
Als Plaque bzw. Biofilm bezeichnet man die Gesamtheit aller Mikroorganismen (Mikrobiom) auf der Zahnoberfläche. Werden die Zähne nicht geputzt, haften die Beläge nach 24 Stunden bereits so fest, dass diese mit der Zahnbürste schon nicht mehr vollständig entfernt werden können.
Im Anfangsstadium kann Plaque (Biofilm) durch Optimierung und Intensivierung der Mundhygiene (Zähneputzen mit Zahnpasta) noch reduziert werden. Lassen sich die Beläge mit Zahnbürste und Zahnpasta nicht mehr entfernen, muss der Zahnarzt unterstützen.
Plaque (Biofilm): Was kann sich daraus entwickeln?
Aus Plaque können sich verschiedene krankhafte Prozesse entwickeln:
- Mineralien aus dem Speichel lagern sich in die Plaque ein: Zahnstein & Konkrement
- Bakterien in der Plaque lösen durch Stoffwechselprodukte die Zahnoberflächen an bzw. auf: Karies
- Bakterien in der Plaque lösen Abwehrreaktionen des Körpers aus: Zahnfleischbluten
Plaque (Biofilm): Was kann sich daraus entwickeln?
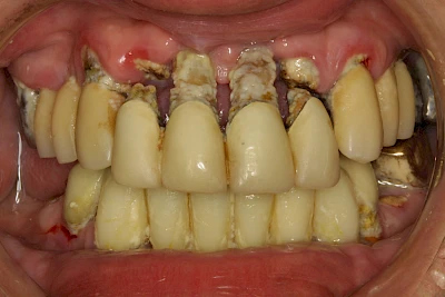
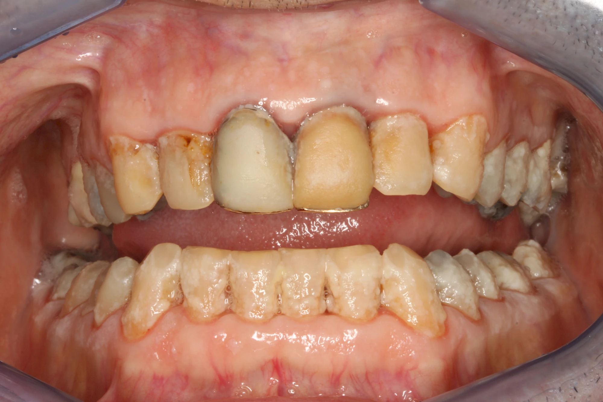
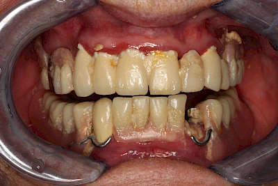
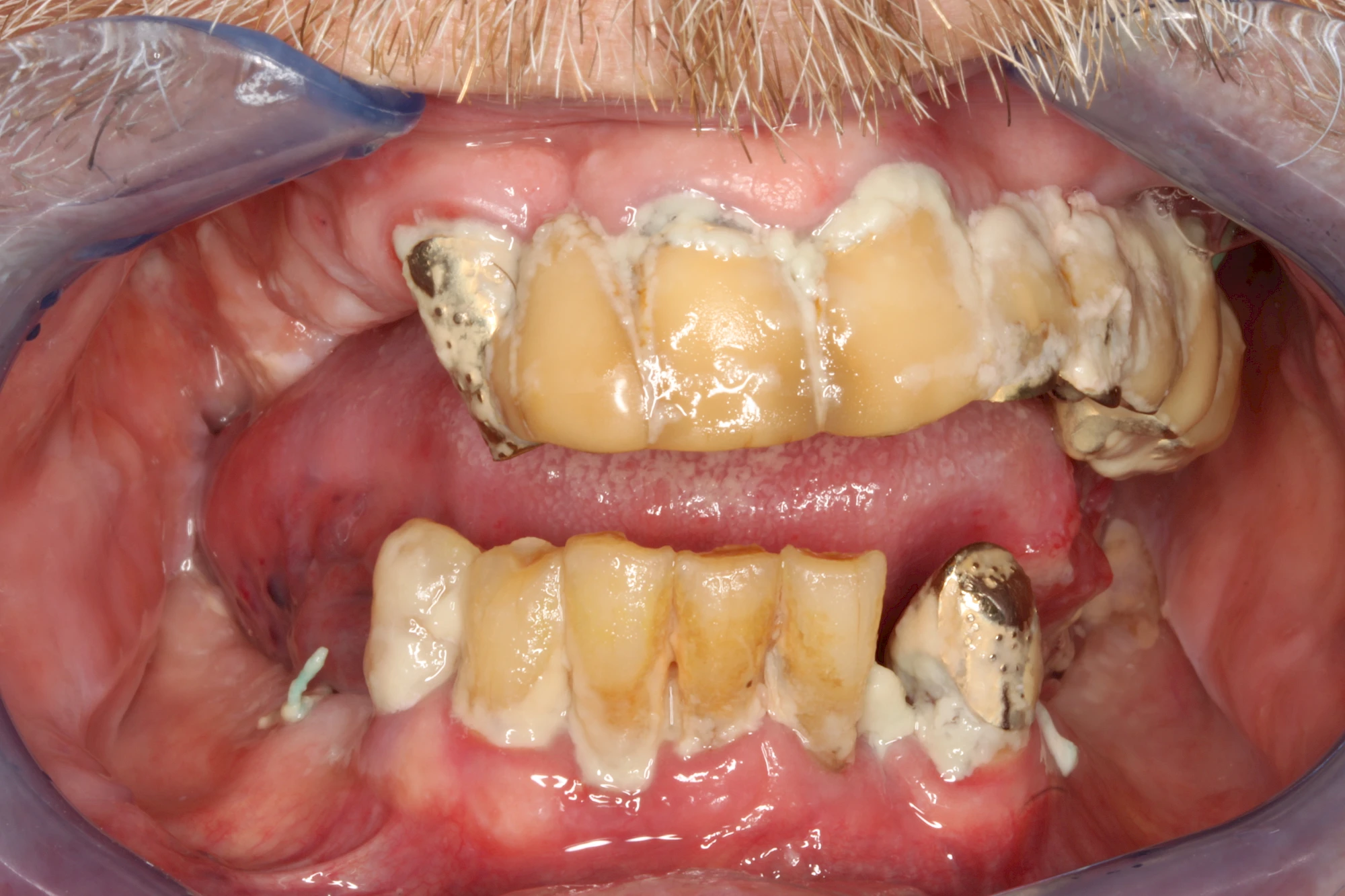
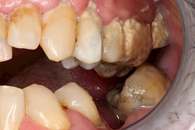
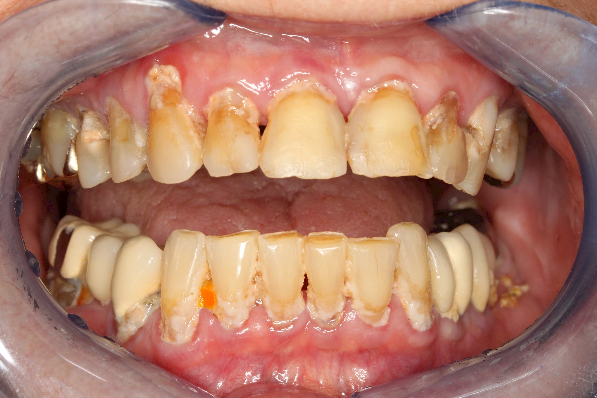
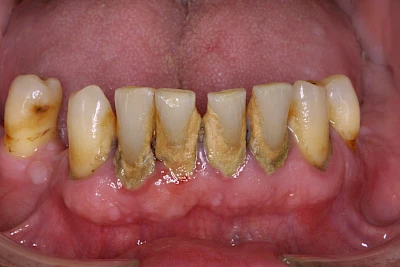
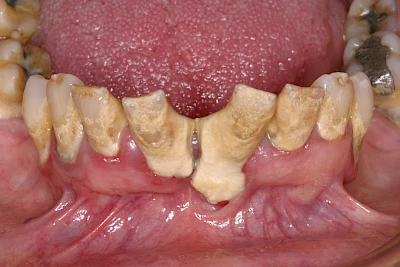
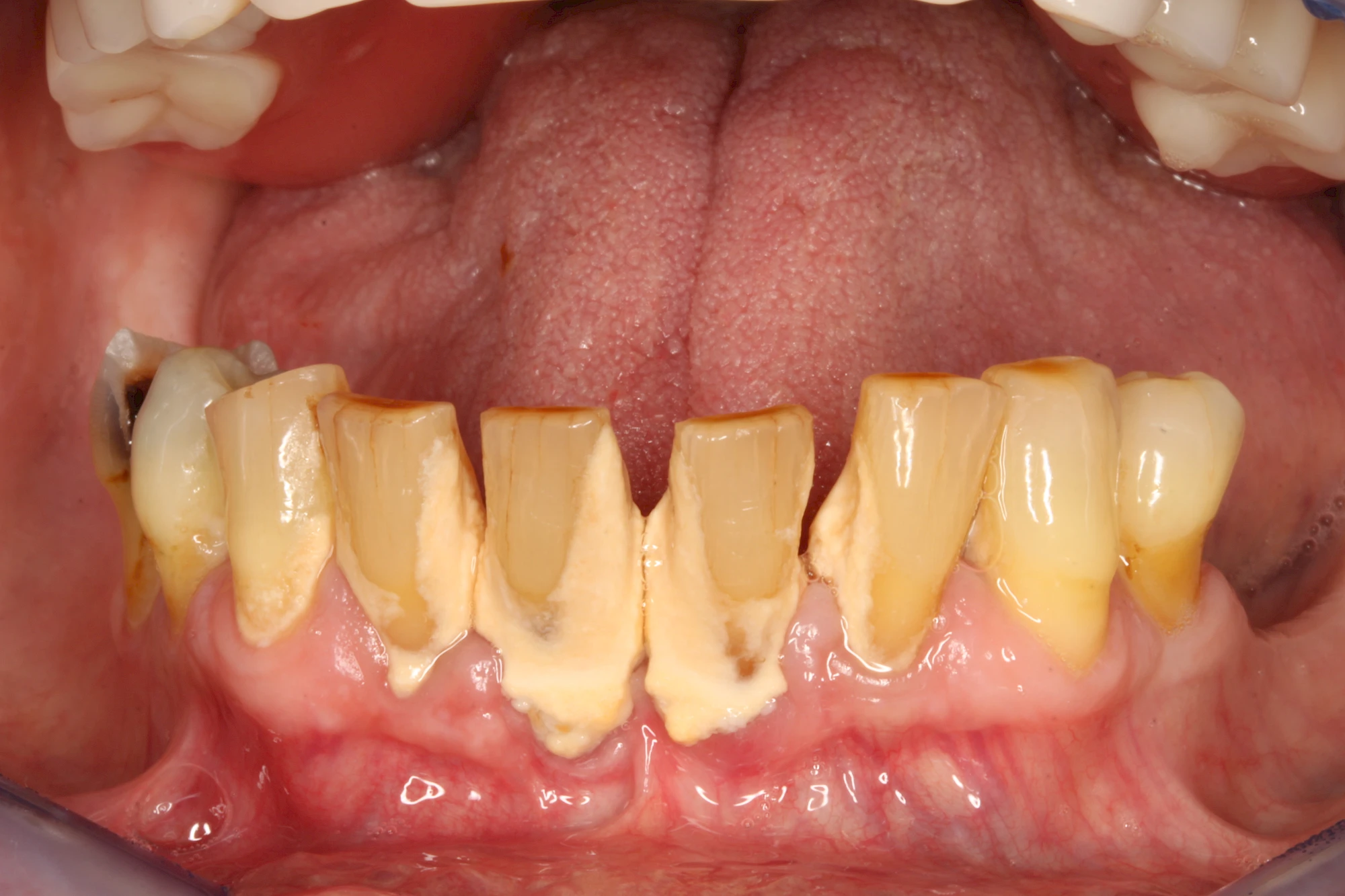
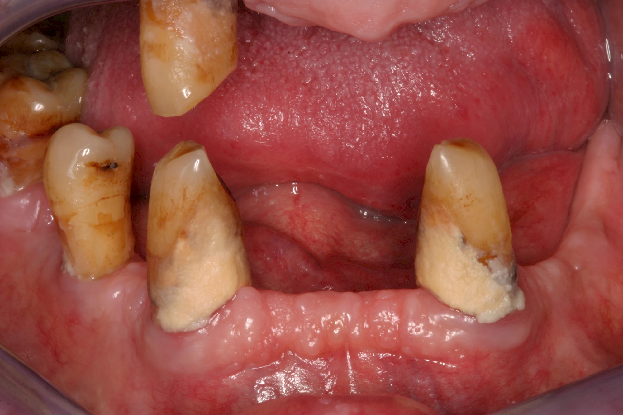
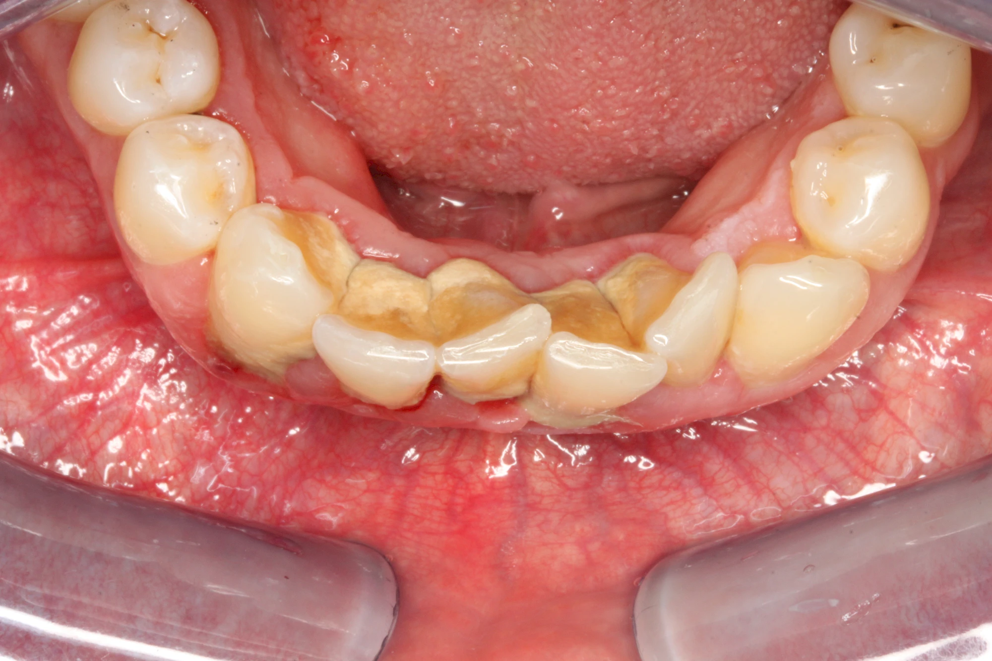
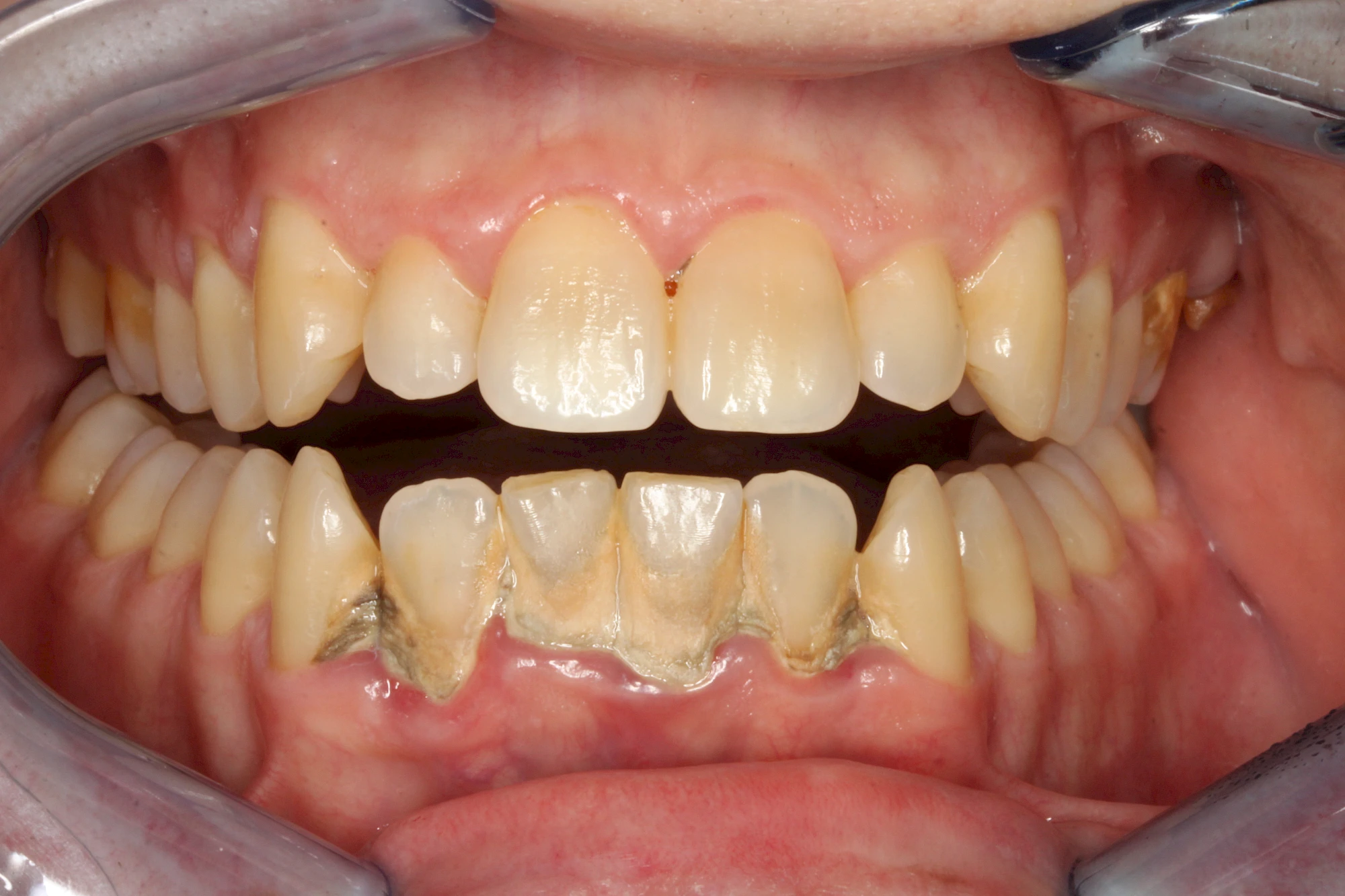
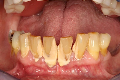
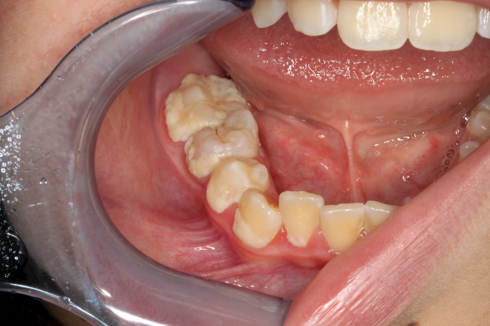
Zahnstein und Konkrement
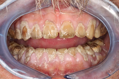
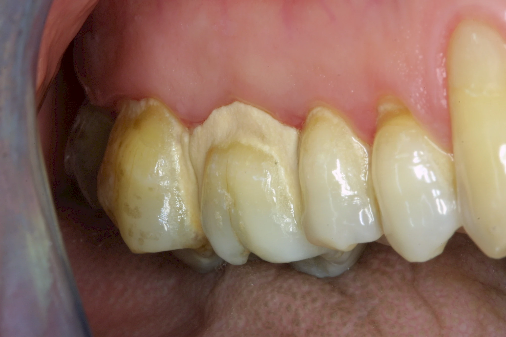
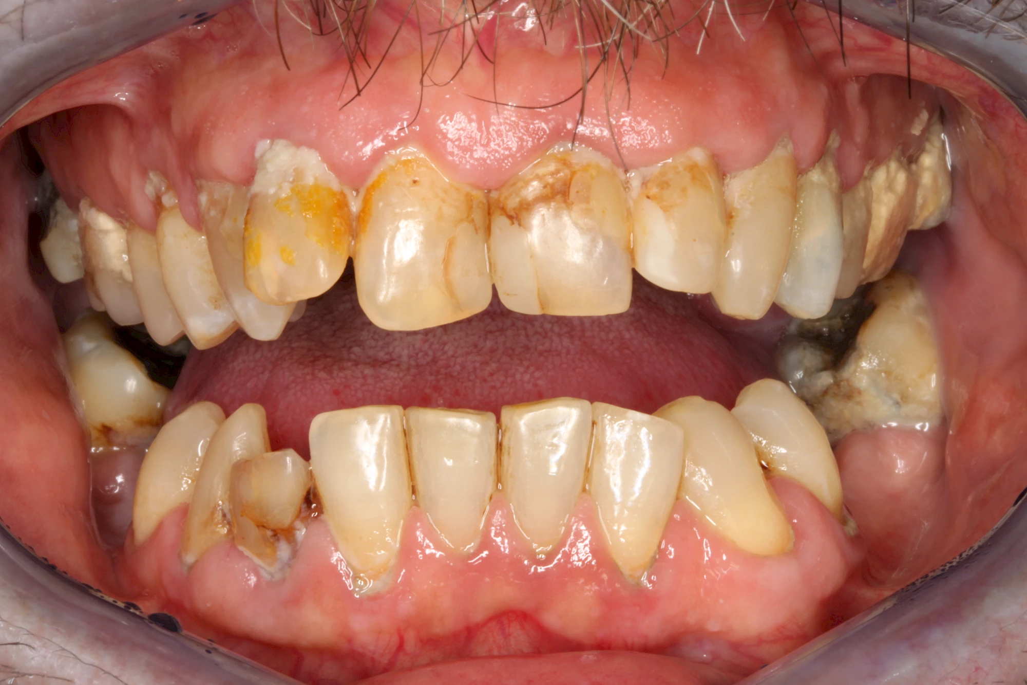
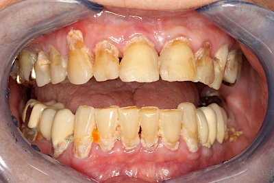
Zahnstein
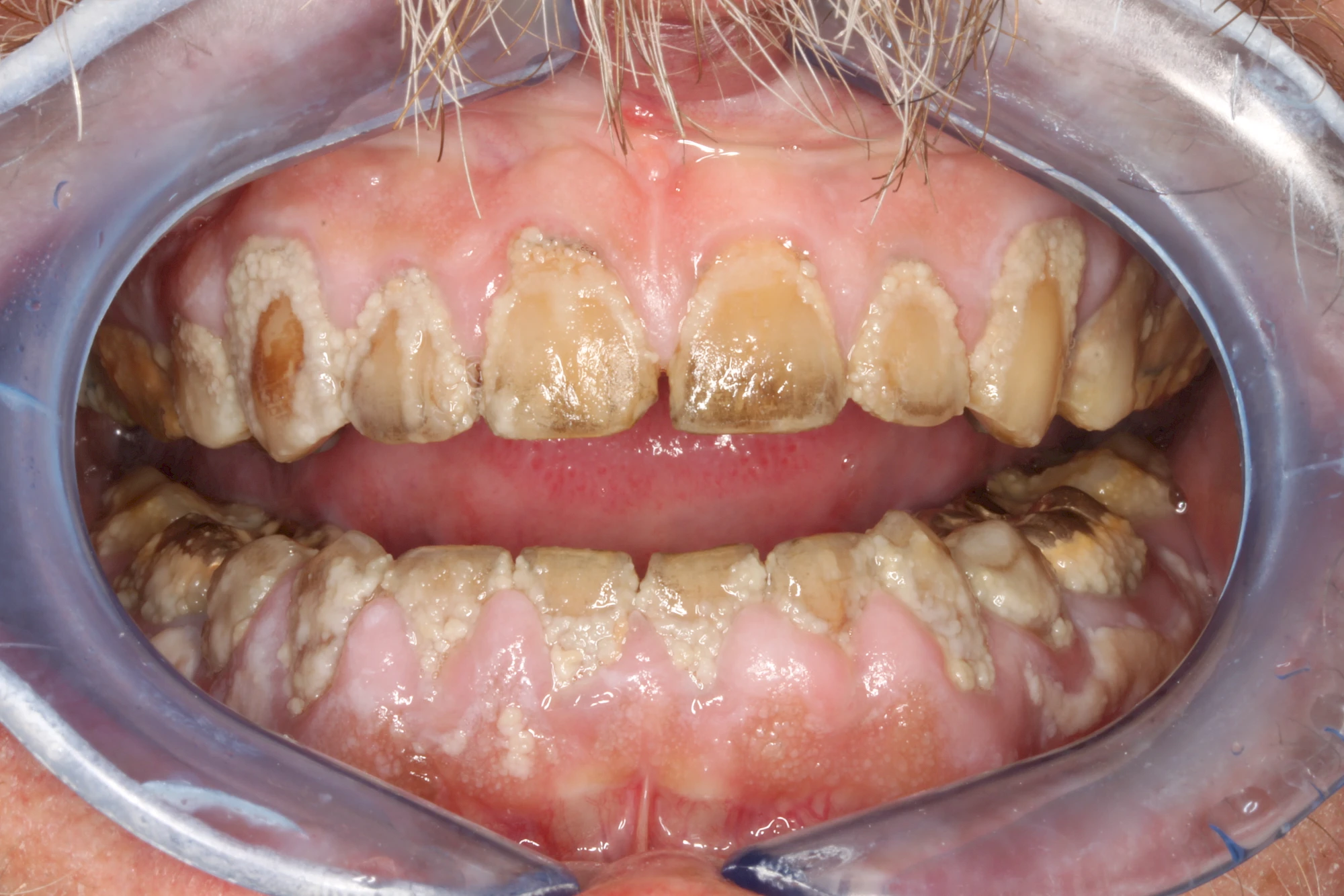
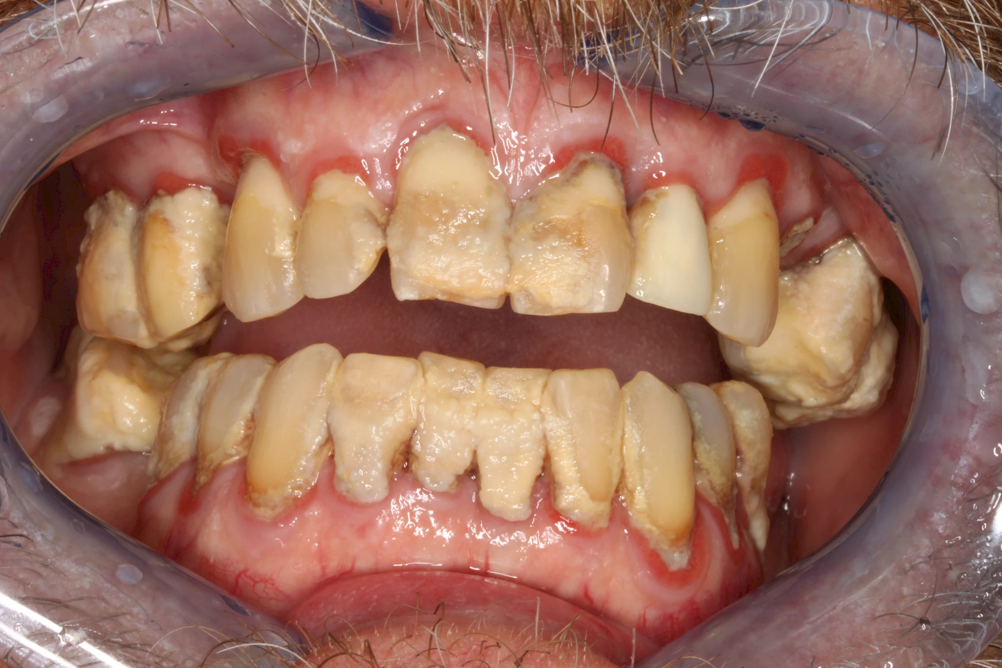
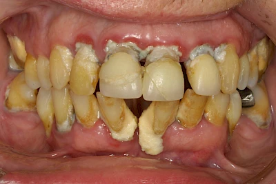
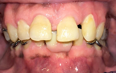
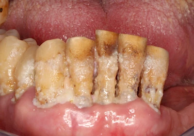
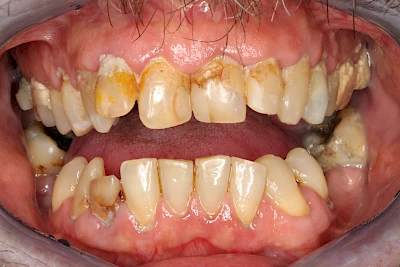
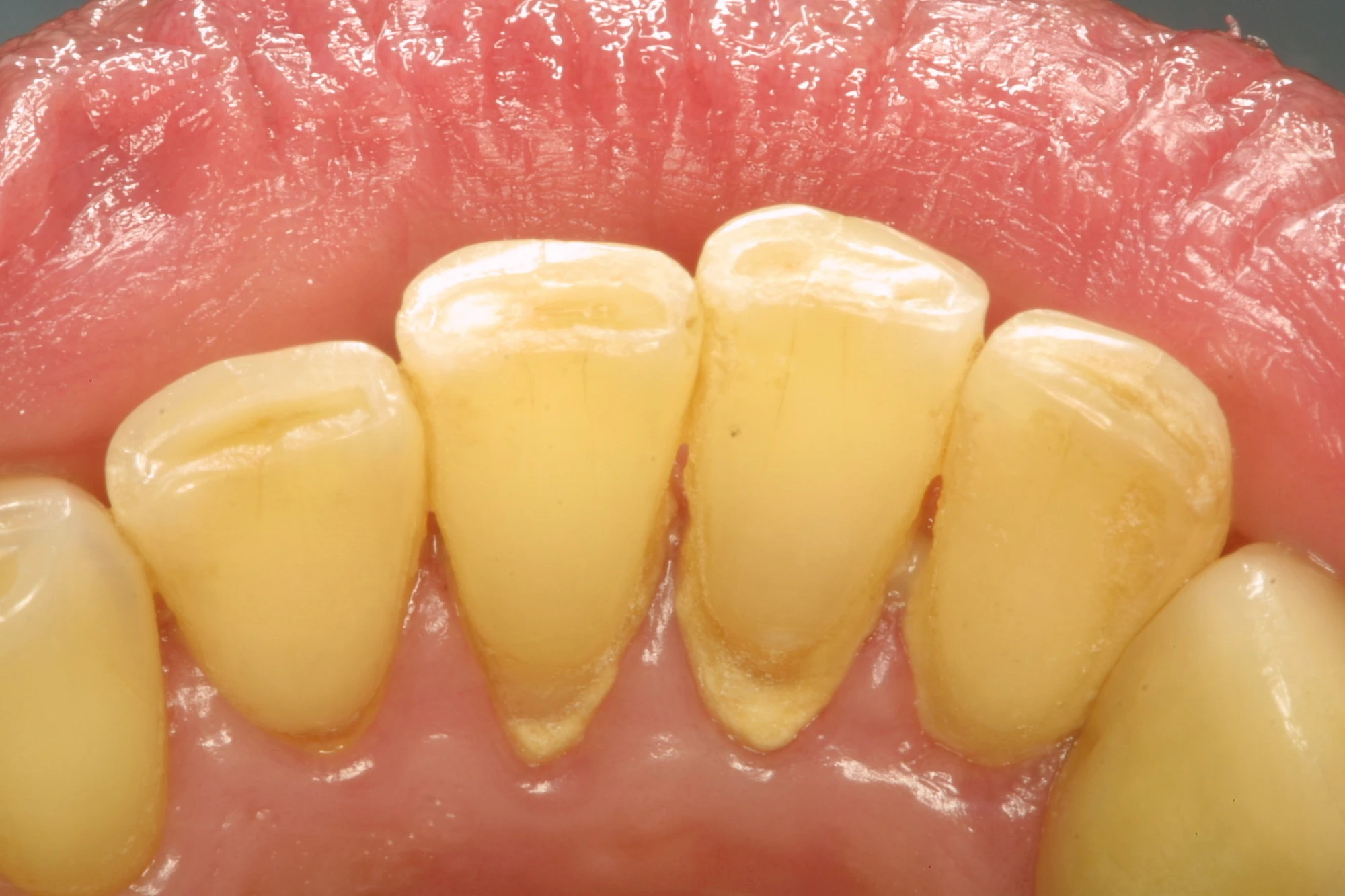
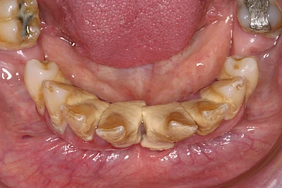
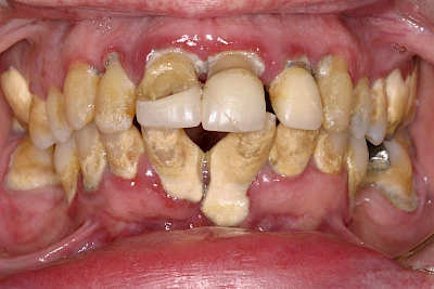
Lagern sich Mineralien wie Calcium und Phosphat aus dem Speichel in den Zahnbelag ein, so bildet sich oberhalb vom Zahnfleisch gelb-beiger harter Zahnstein. Zahnstein kann nicht mit der Zahnbürste weggeputzt werden und erschwert die Mundhygiene zusätzlich.
Vor allem dort, wo große Speicheldrüsen den Speichel in die Mundhöhle entlassen, bildet sich besonders schnell Zahnstein:
- An den Außenflächen der Oberkiefer-Molaren (Backenzähnen)
- An den Innenflächen der Unterkiefer-Frontzähne
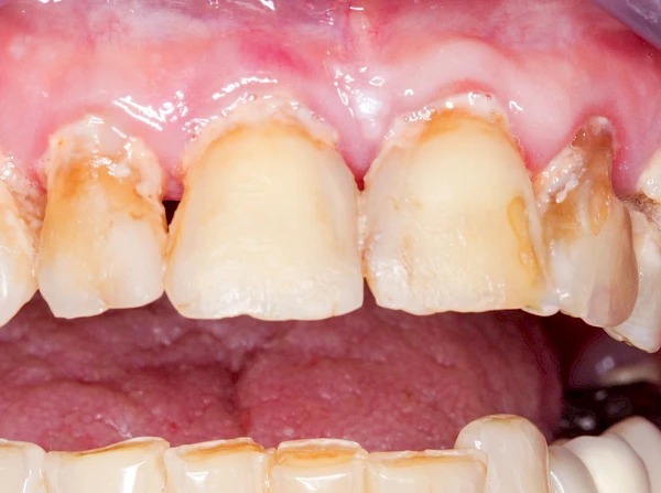
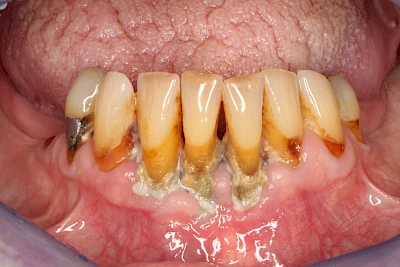
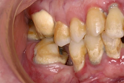
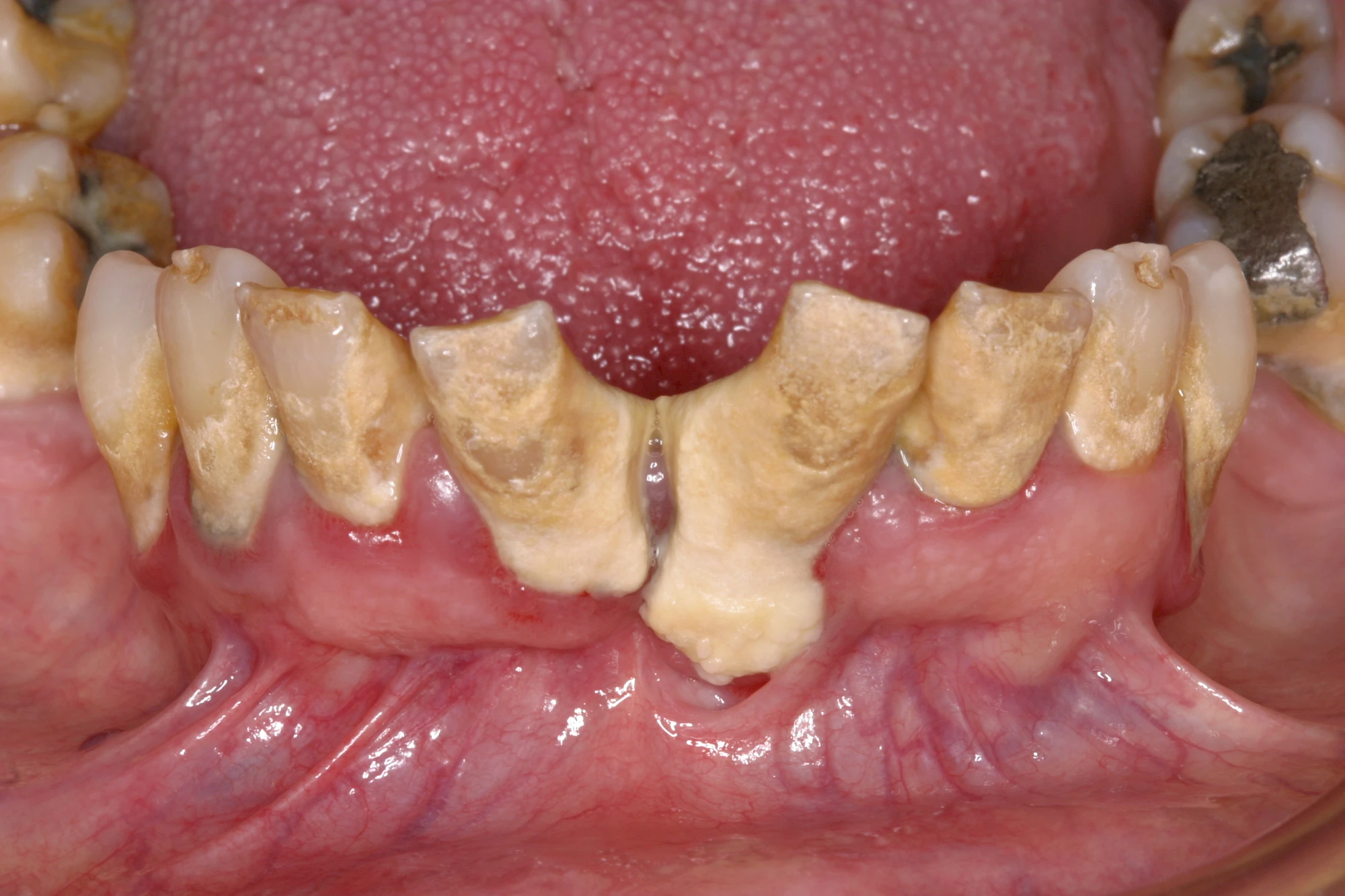
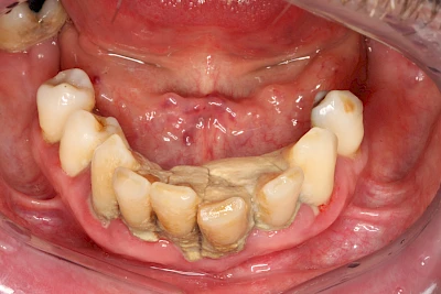
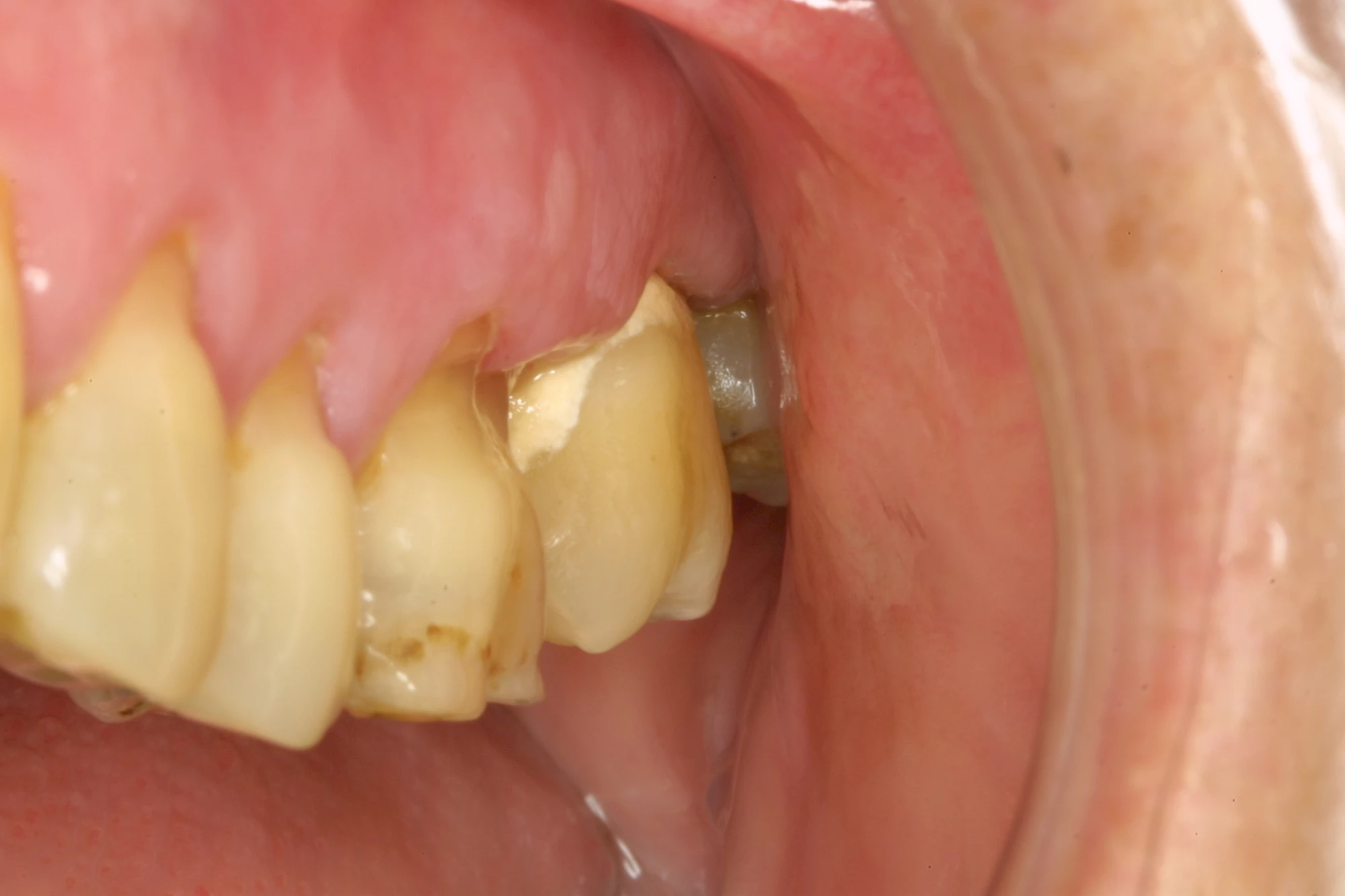
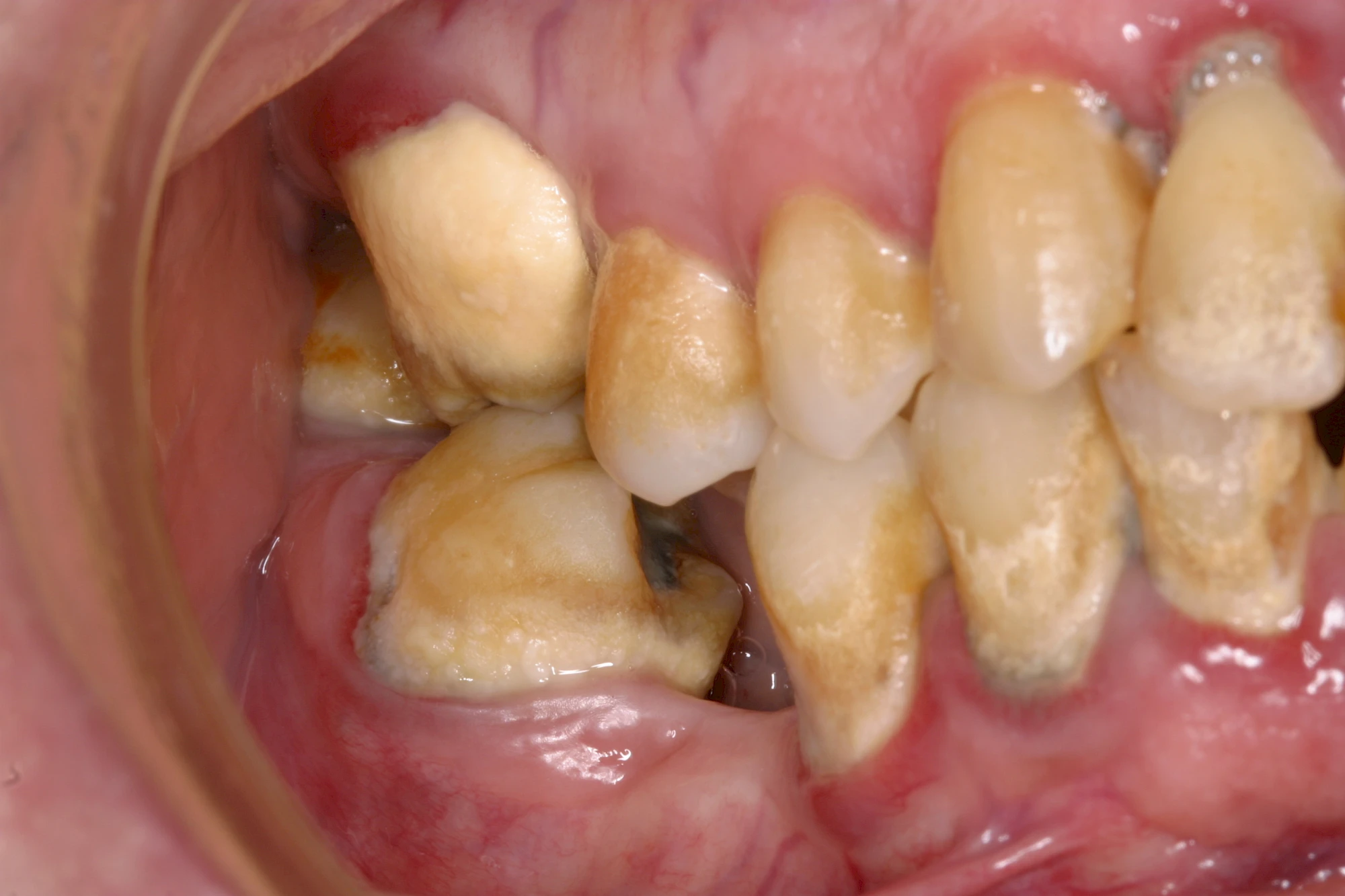
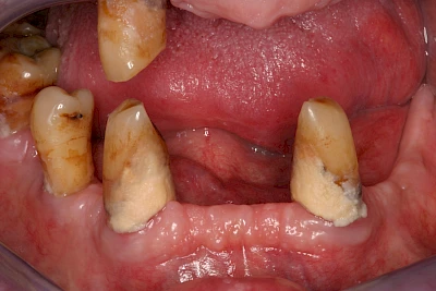
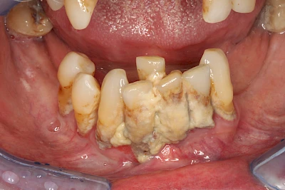
Konkrement
Von Konkrement spricht man, wenn gleichzeitig der Zahnhalteapparat entzündet ist und sich der Knochen um die Zähne zurückgebildet hat. In diesen Fällen kann sich Zahnstein auch unterhalb vom Zahnfleisch in den Zahnfleischtaschen bilden. Die dunkelbraun-schwarze Färbung stammt aus dem entzündlichen Taschensekret und der Einlagerung von Blutbestandteilen.
Sowohl Zahnstein als auch Konkrement kann nur der Zahnarzt entfernen.
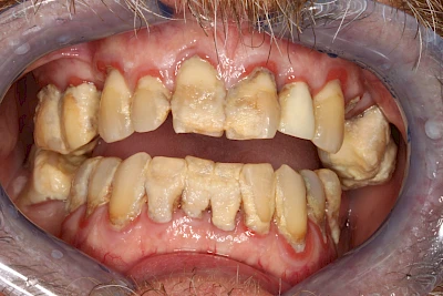
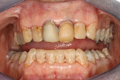
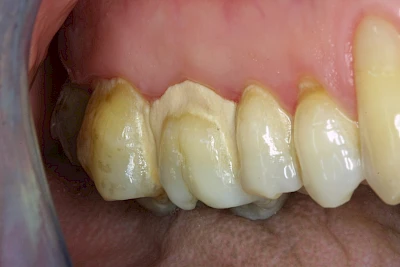
Unterscheidung von Zahnstein und Konkrement
Diese Seite wurde zuletzt am 11.11.2025 geändert.