
- Startseite >
- >
- Sturz, Unfall & Verletzung
Sturz, Unfall & Verletzung
Welche Symptome gibt es und wie reagiert man darauf?
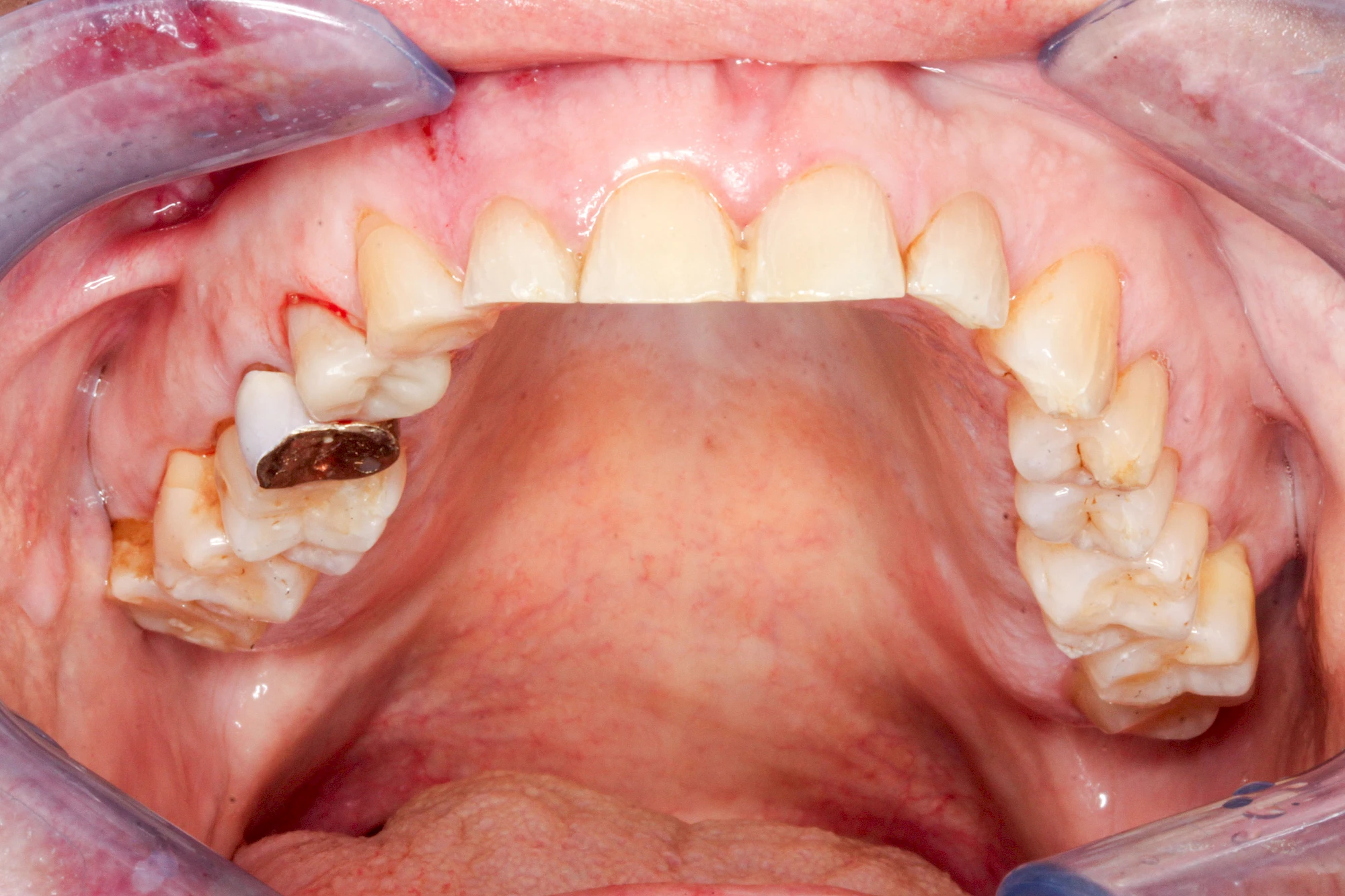
Nach einem Sturz auf das Gesicht, nach einem Schlag auf den Mund bzw. auf die Zähne oder auch beim Kauen (Beissen auf Lippen, Zunge oder Wange) kann es neben sichtbaren Auffälligkeiten im Gesicht und an den Lippen auch zu Verletzungen im Bereich der Zähne, der Zunge oder der Mundschleimhäute kommen. In allen diesen Fällen sollte ein Zahnarzt gerufen werden.
Bei einem Sturz mit Wunde bzw. Prellmarke am Kinn sind Frakturen im Bereich der Kiefergelenke auszuschließen. Eingeschränkte Beweglichkeit des Unterkiefers, Gelenkgeräusche oder auch Störungen im Zubiss sind verdächtig, aber nur ein Röntgenbild lässt eine sichere Diagnose zu.
Siehe auch: Sofortmaßahmen
Relevante Themen
Die folgenden Auffälligkeiten und Probleme können hin und wieder in Folge eines Sturzes, eines Unfalls oder einer Verletzung beobachtet werden:
Diese Seite wurde zuletzt am 02.12.2025 geändert.