
- Startseite >
- >
- Auffälligkeiten im Mund >
- Kieferknochen
Kieferknochen
Auffälligkeiten im Mund
Zu den Auffälligkeiten im Bereich der Kieferknochen gehören:
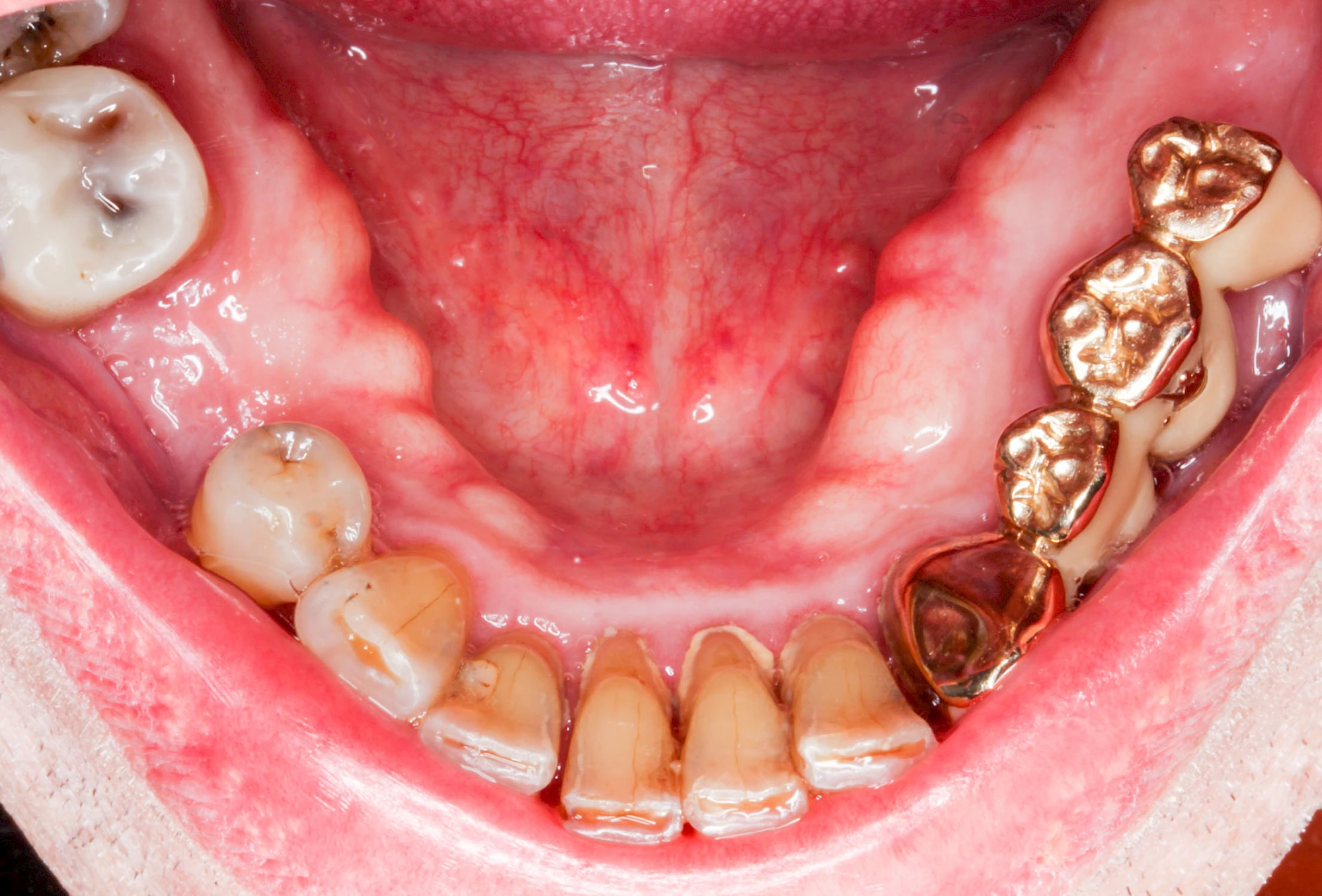
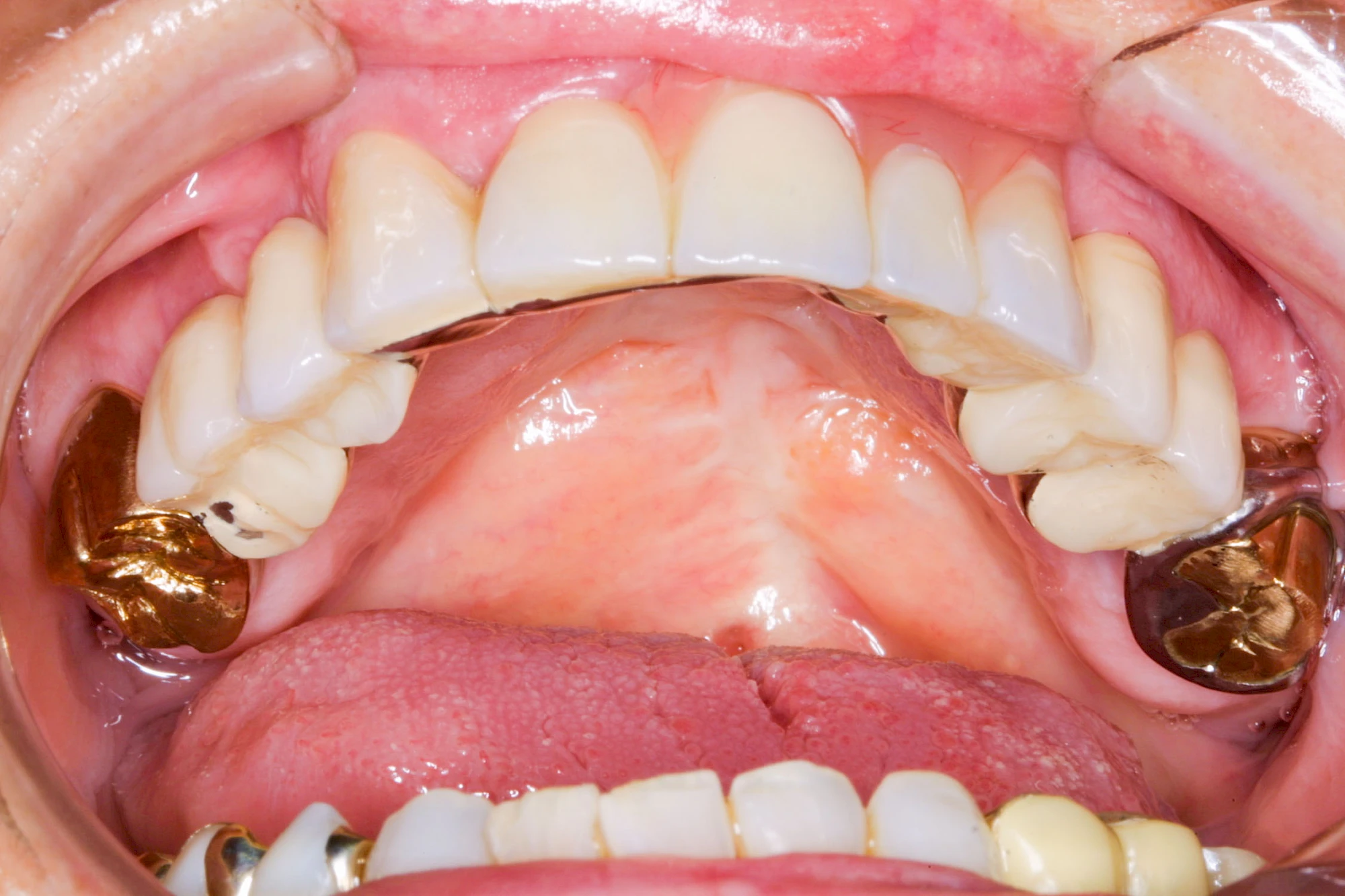
- Überbein (Exostose)
- Knochenschwund (Atrophie)
- Lippen-Kiefer-Gaumenspalten (LKG-Spalten)
In allen Fällen ist erhöhte Aufmerksamkeit gefordert.
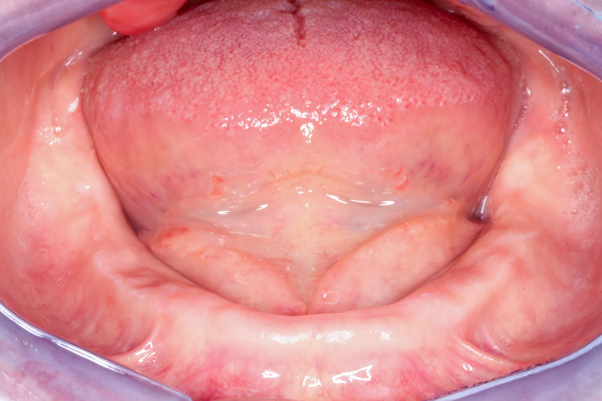
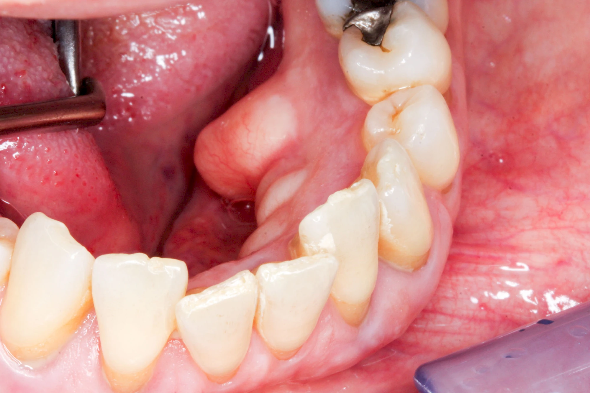
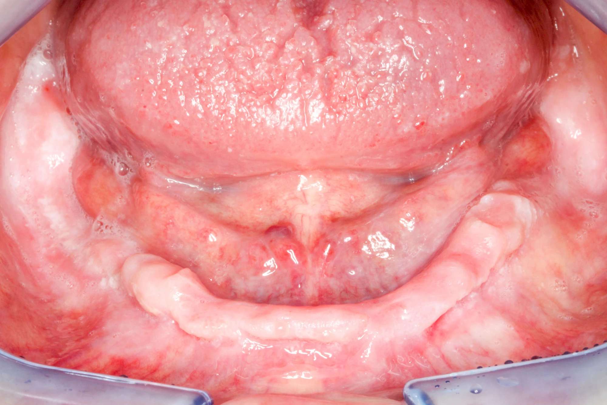
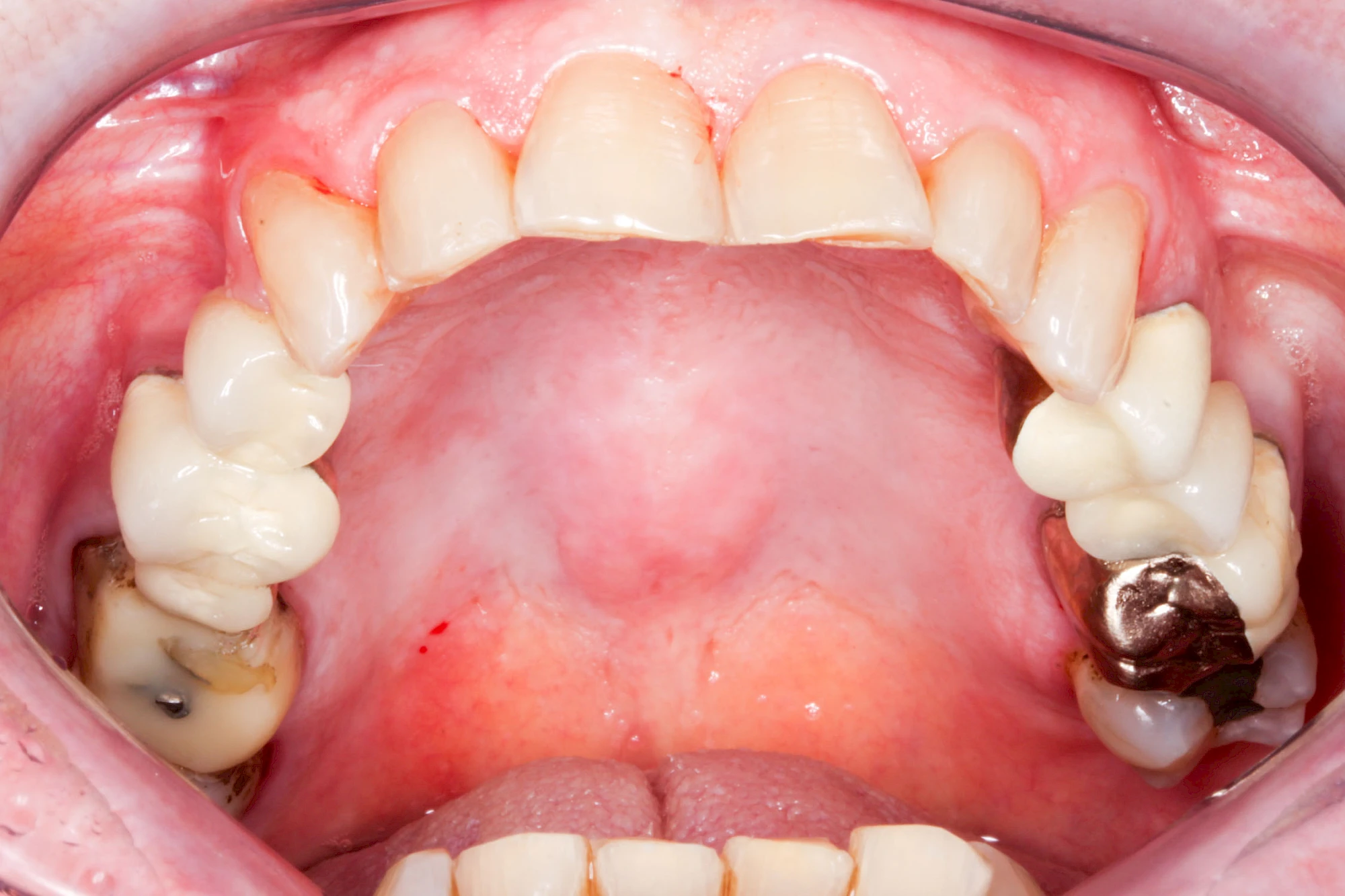
Überbein (Exostose)
Überbeine im Bereich der Kiefer sind gar nicht so selten. Häufiger im Bereich der Seitenzähne unterhalb des Zahnfleisches, aber auch in der Mitte vom Gaumen. Überbeine haben in dem Sinne keinen Krankheitswert, müssen also nicht operativ entfernt werden, wenn diese nicht stören. Überbeine können ein Anzeichen für Knirschen und Pressen sein.
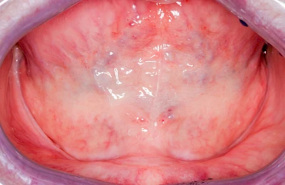
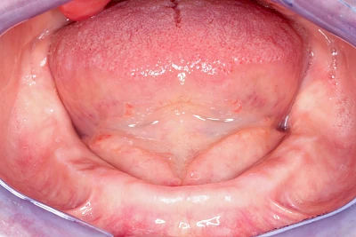
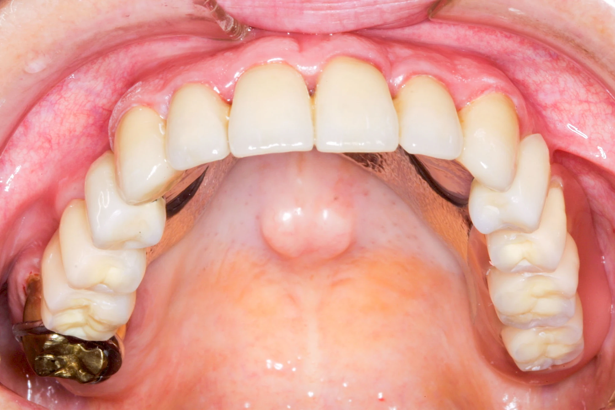
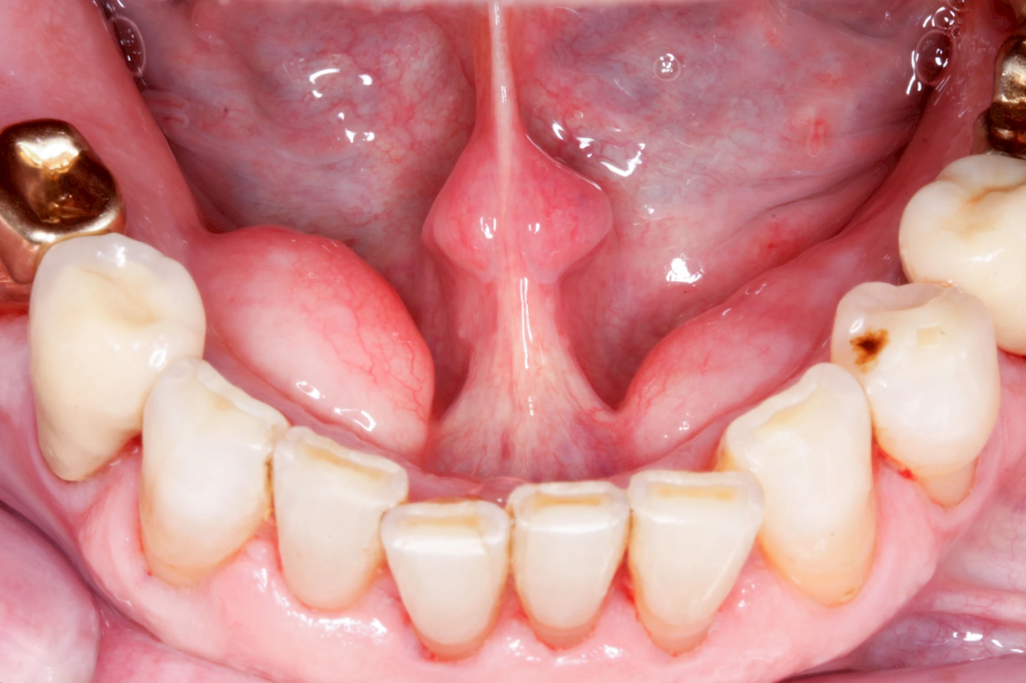
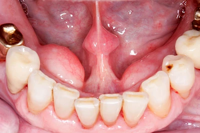
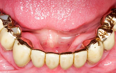
Knochenschwund (Atrophie)
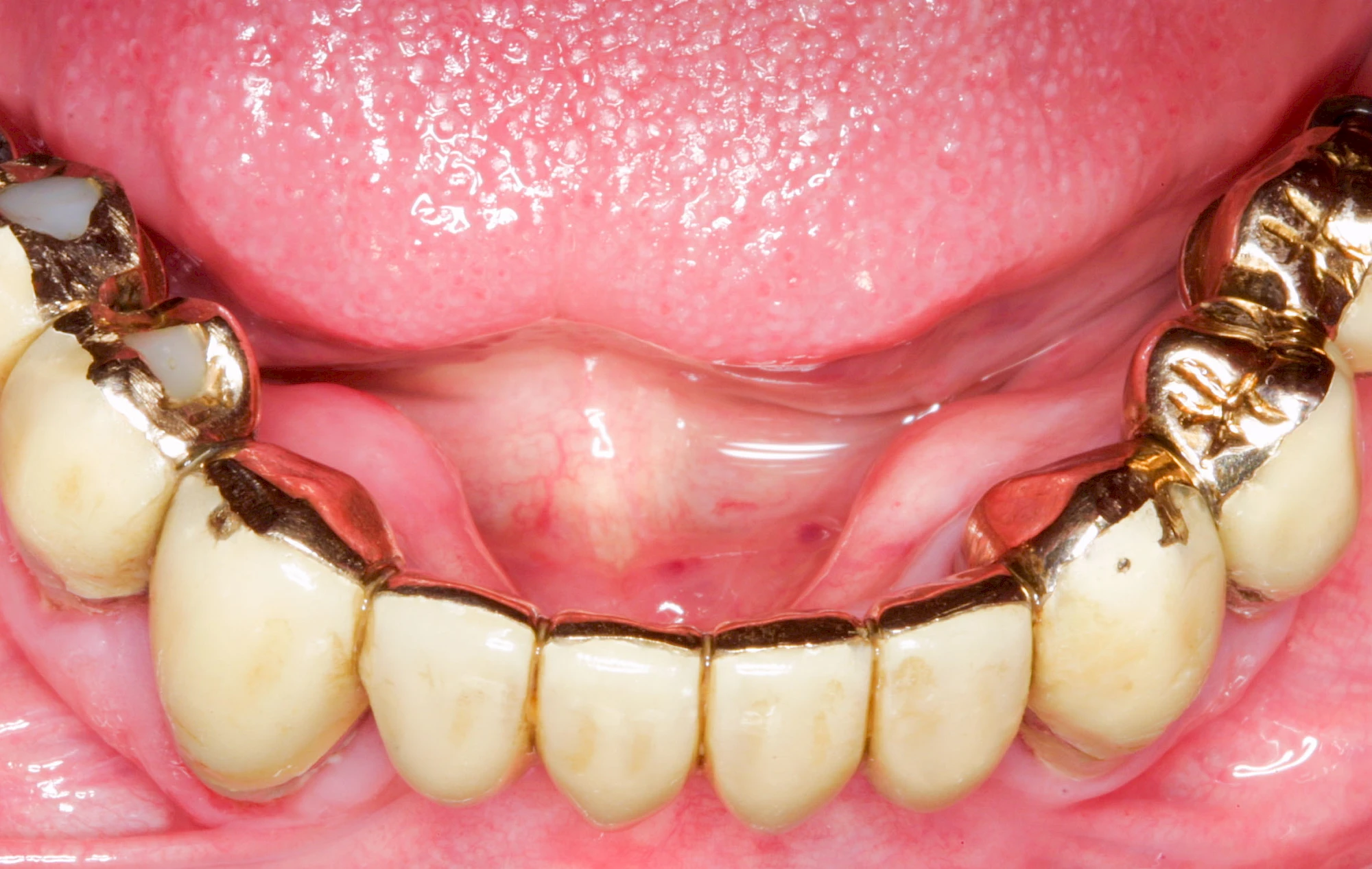
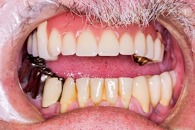
Gehen die Zähne verloren, baut häufig auch der Kieferknochen ab (Knochenschwund). Die Geschwindigkeit und das Ausmaß des Knochenschwundes ist von vielen Faktoren abhängig. Neben der genetischen Veranlagung spielen auch Überbelastungen in Folge, z. B. bei ständigem Knirschen oder Pressen, eine Rolle. Auch wenn Zahnprothesen Tag und Nacht getragen werden, kann die ständige Belastung der Schleimhäute und des Knochens den Knochenschwund beschleunigen.
Aber Achtung: Manche Menschen fühlen sich ohne Zahnprothesen unwohl. Zudem kann es passieren, dass Zahnprothesen (wenn noch eigene Zähne vorhanden sind) nicht mehr passen. Dies gilt vor allem dann, wenn diese Zahnprothesen nicht nur über Nacht, sondern für einen längeren Zeitraum nicht mehr getragen werden.
In jedem Fall sagen die Betroffenen, dass es sich ein paar Minuten komisch anfühlt, wenn sie die Zahnprothesen über Nacht aus dem Mund nehmen und dann morgens wieder einsetzen. Das ist normal und liegt daran, dass die Schleimhäute sich wieder regenerieren. Das ist gut für die Schleimhäute und Knochen im Bereich der Kiefer. Wir gehen ja auch nicht mit Schuhen ins Bett!
In seltenen Fällen schwindet nur der Knochen, aber nicht die bedeckenden Schleimhäute. In diesen Fällen spricht man von einem sogenannten "Schlotterkamm".
Auch wenn Zahnprothesen drücken, sollten vor allem Teilprothesen jeden Tag wenigstens für ein paar Minuten getragen werden, damit sich die eigenen Zähne nicht unbeabsichtigt verstellen und die Prothese weiter passt.
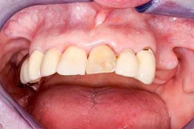
Lippen-Kiefer-Gaumenspalte
Lippen-Kiefer-Gaumenspalten (LKG-Spalte) sind angeborene Fehlbildungen im Mund-Kiefer-Gesichtsbereich. Die Gewebestrukturen im Bereich des Oberkiefers sind im Zuge der Entwicklungen bis zur Geburt nicht zusammengewachsen. Diese Fehlbildung zählt zu den häufigsten Fehlbildungen des Menschen, von 500 Neugeborenen ist eines betroffen. Die Fehlbildungen können sich auf Lippe, Gaumen und Kiefer allein beschränken, treten häufig aber kombiniert und in seltenen Fällen sogar beidseits auf.
Heute werden in Deutschland Menschen mit Lippen-Kiefer-Gaumenspalten bereits ab Geburt von Experten verschiedener Fachrichtungen (Mund-Kiefer-Gesichtschirurgen, Kieferorthopäden, Logopäden) betreut, damit entsprechende Korrekturen schon frühzeitig erfolgen können. Gerade jedoch bei älteren Menschen ist dies nicht immer geschehen. Diese Menschen tragen häufig technisch aufwendige Zahnprothesen.
Diese Seite wurde zuletzt am 31.08.2025 geändert.