
- Startseite >
- >
- Auffälligkeiten im Mund >
- Gaumen, Wange & Zunge >
- Besonderheiten: Sonstige Regionen
Besonderheiten: Sonstige Regionen
Gaumen, Wange & Zunge
In den Bereichen Rachen, Wangen und Mundboden gibt es verschiedene besondere Auffälligkeiten:
- Entzündungen: Rötungen bzw. Schwellungen der Gaumen- bzw. der Rachenmandeln
- Entzündungen: Rötungen bzw. Schwellungen bzw. eitriger Ausfluss der Speicheldrüsen
- Speicheldrüsenzysten / Speichelsteine: Stauungserscheinungen im Bereich der Speicheldrüsen
- Mandelsteine: gelblich-körnige Gebilde im Rachenbereich
- Lippen-Kiefer-Gaumenspalten
Besonderheiten: Wange & Mundboden
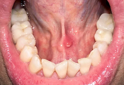
Speicheldrüsenentzündung
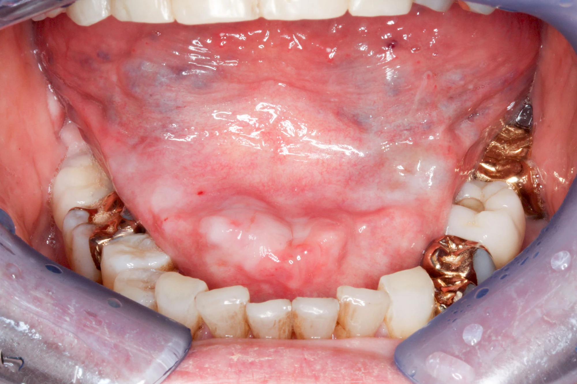
Milchiges bzw. gelbliches Sekret im Bereich der Speichelausführungsgänge entweder an den Wangeninnenseiten auf Höhe der ersten großen Backenzähne im Oberkiefer oder unter der Zunge können auf Entzündungen der großen Spreicheldrüsen hinweisen. Ebenso Schwellungen bzw. Auftreibungen, Rötungen oder spürbare Wärme einseitig unterhalb eines Ohrs und im Bereich des Kieferwinkels.
Einzündungen der kleinen Speicheldrüsen im Gaumen fallen dagegen durch kleine punktförmige Rötungen auf. Wenn ausreichende Flüssigkeitszufuhr und ggf. sanftes Massieren der Speicheldrüsen und der Ausführungsgänge (z. B. Parotitisprophylaxe) keine Verbesserung erzielen lassen oder wenn zusätzliche Symptome wie z. B. Fieber auftreten, sollte ein Arzt oder Zahnarzt hinzugezogen werden.
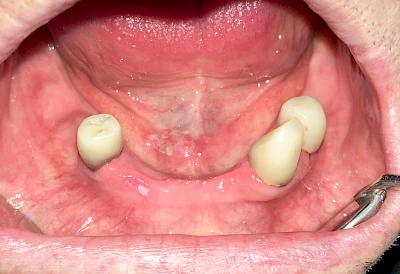
Speicheldrüsenzyste
Eine Speicheldrüsenzyste (Speicheldrüsenretentionszsyte) kann als Schwellung oder Auftreibung meist im Bereich der größeren Ausführungsgängen auffallen, wenn z. B. ein Speichelstein den Speichelfluss behindert. Vor allem bei den Mahlzeiten, wenn der Speichelfluss angeregt wird, nimmt die Auftreibung oder Schwellung schmerzhaft weiter zu. In der Regel ist die Unterkieferspeicheldrüse (Glandula sublinugalis) betroffen. Man spricht dann auch von einer Frosch- bzw. Fröschleingeschwulst (Ranula). Bringt sanftes Massieren der Schwellung bzw. Auftreibung keine Verbesserung, sollte ein Arzt oder Zahnarzt hinzugezogen werden
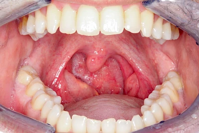
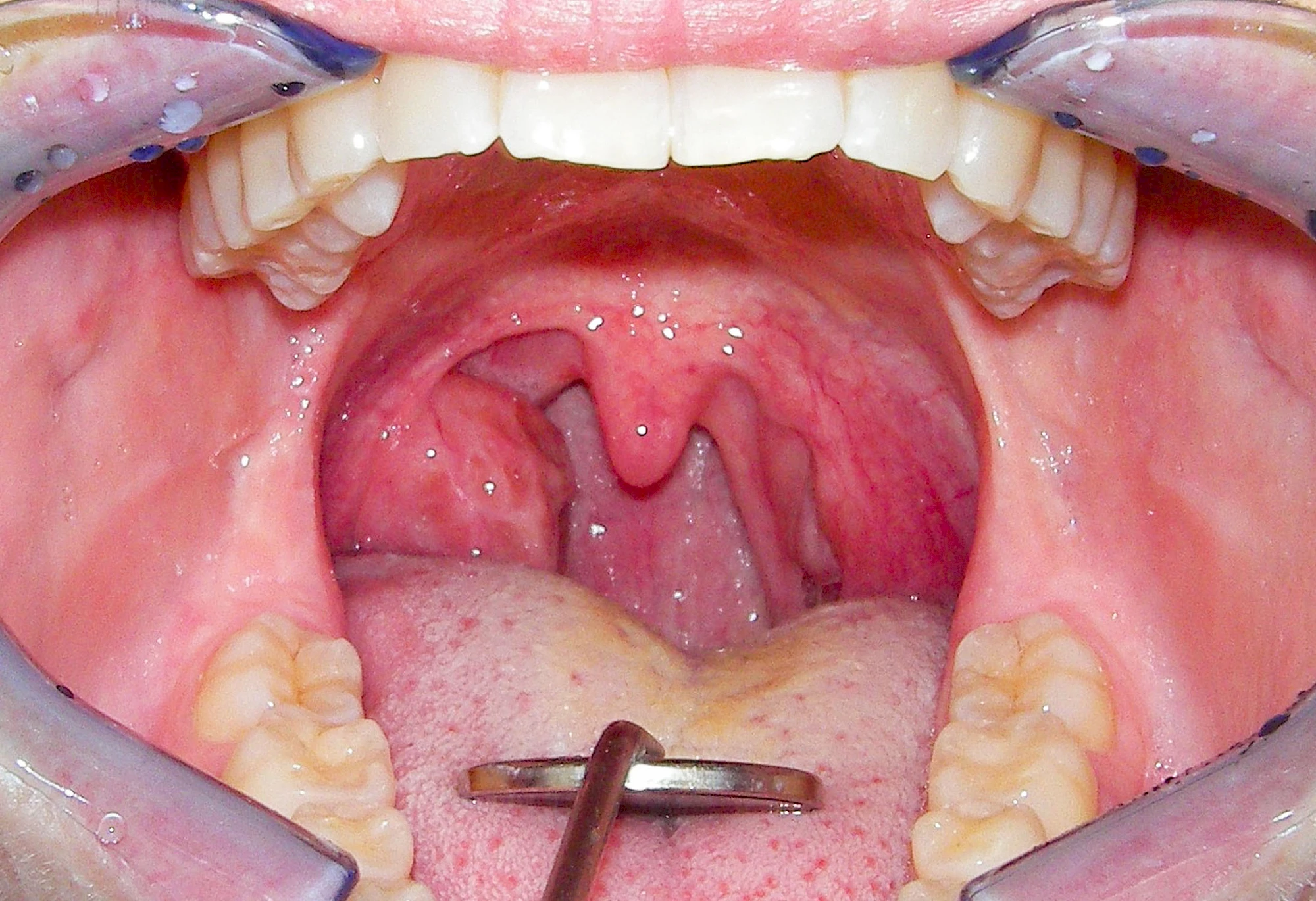
Besonderheiten: Gaumen & Rachen
Mandelstein
Mandelsteine (Tonsillenstein oder auch Tonsillolith) sind Reste von Gewebe, Speisen, Entzündungszellen und Bakterien können vereinzelt im Bereich der Gaumenmandeln beobachtet werden. Ggf. sollten die aktuellen Mundpflegemaßnahmen überprüft und ggf. angepasst werden.
Mandelentzündung
Mandelentzündungen (Tonsillitis) zeigen häufig Rötungen, Schwellungen oder eitriges Sekret im Bereich der jeweiligen Mandel und sollten direkt ärztlich abgeklärt werden. Vielen Menschen wurde vor allem in der Kindheit ein- oder beidseitig die Mandeln entfernt, um die Atmung zu erleichtern. So können im Bereich der Gaumenbögen Vernarbungen oder Seitenunterschiede auffallen. Zudem können nach Mandelentfernungen (Tonsillektomie) die Infektanfälligkeit erhöht sein, da die Mandeln ja Bestandteil der Immunabwehr sind.
Bei Vergrößerung der Gaumenmandeln (Hyperplasie) z. B. infolge chronischer Entzündungenkann die Belüftung der Ohren gestört sein und es kann zu Schnarchen mit Atemaussetzern (Apnoe) sowie zu Schluckstörungen kommen. Bei entsprechenden Auffälligkeiten sollte eine ärztliche Abklärung erfolgen.
Diese Seite wurde zuletzt am 30.09.2025 geändert.