
- Startseite >
- >
- Auffälligkeiten im Mund >
- Zahn, Füllung, Krone & Brücke >
- Verfärbung
Verfärbung
Zahn, Füllung, Krone & Brücke
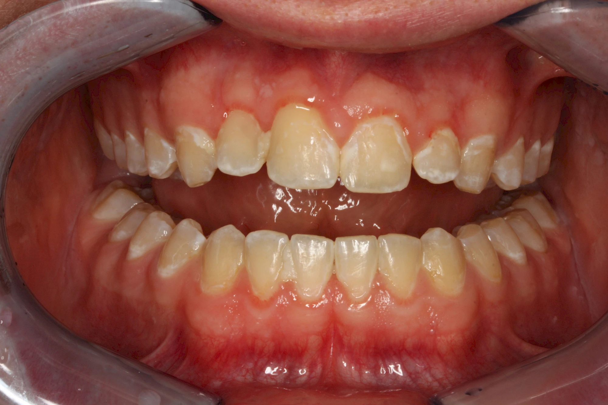
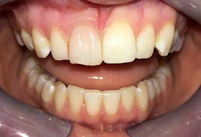
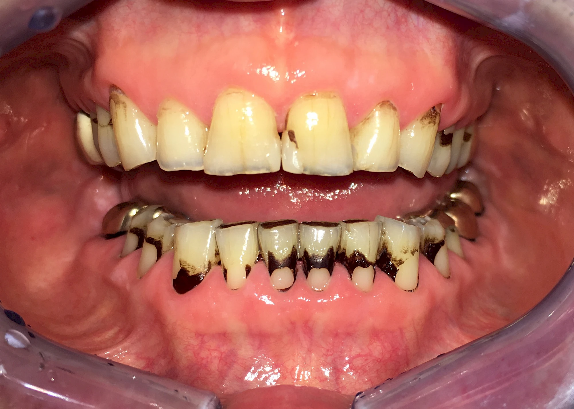
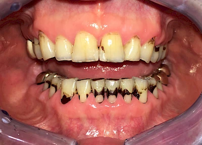
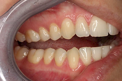
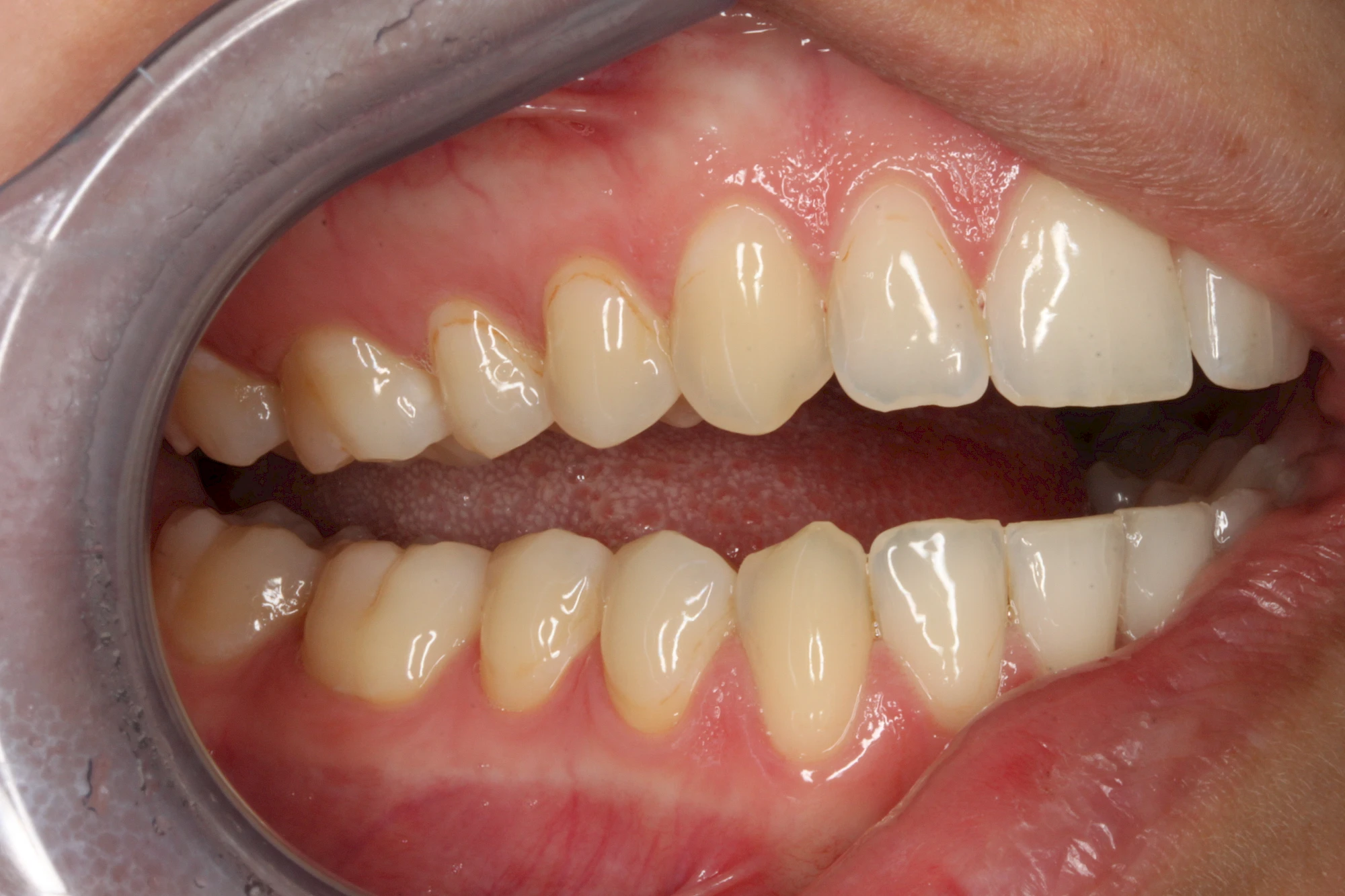
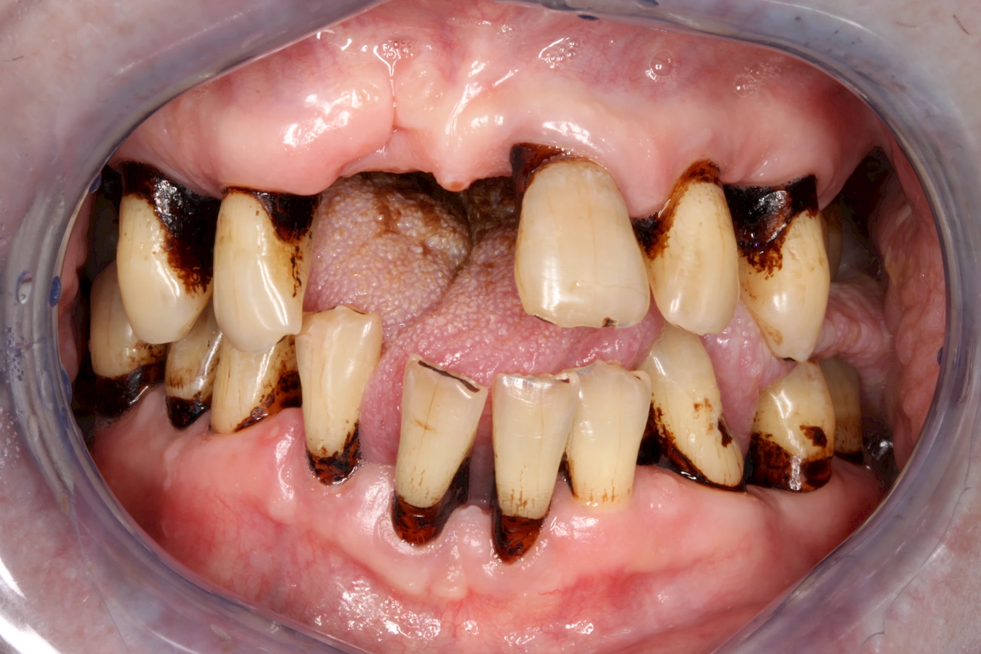
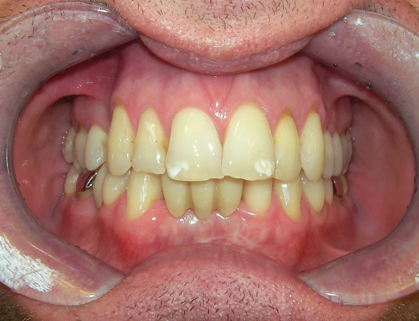
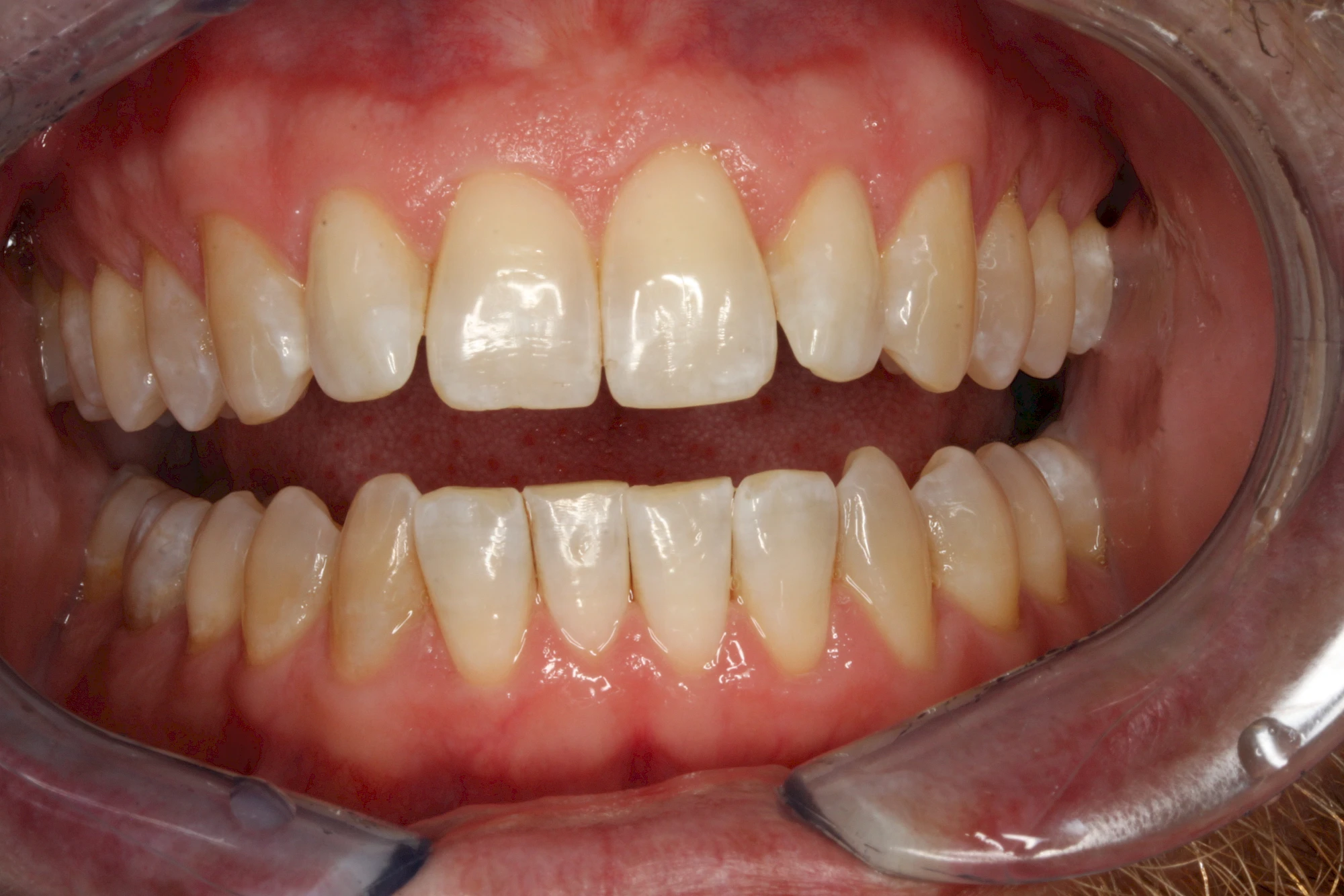
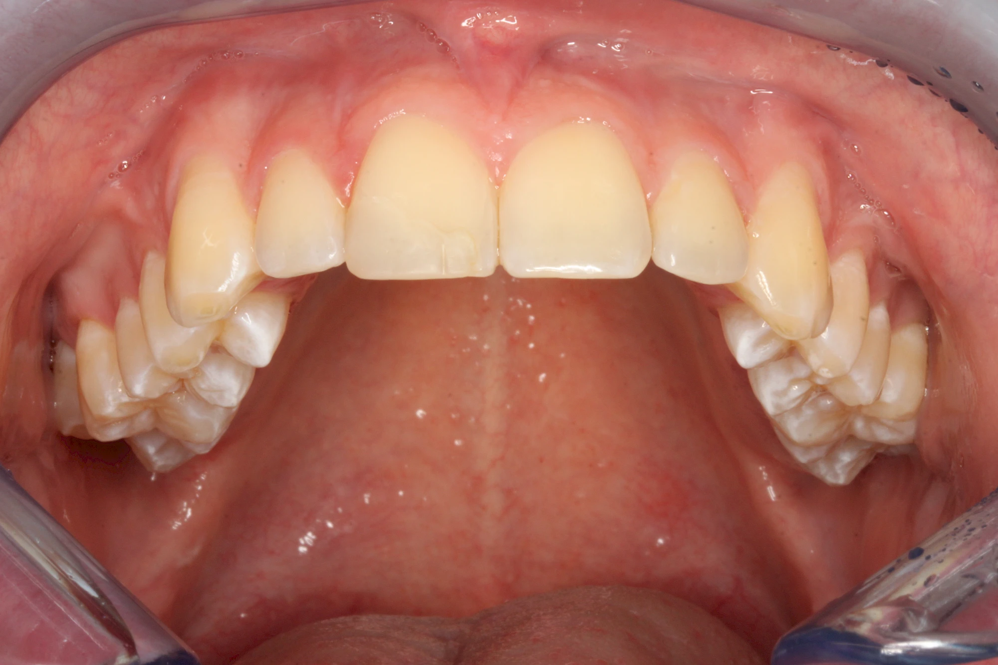
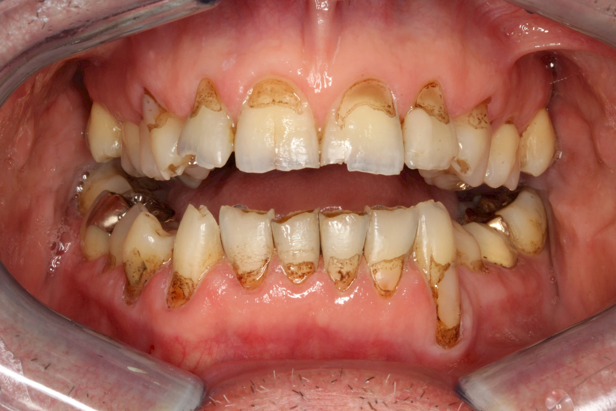
Verfärbungen an Zähnen können außen aufgelagert oder im Zahn eingelagert sein.
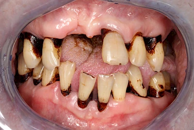
Von außen (exogen) eher dunkel gefärbt und meist mehrere Zähne betroffen:
- Genußmittel (Tee, Kaffee, Rauchen)
- Medikamente (z. B. Eisen)
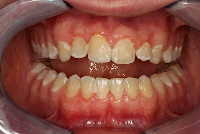
Von innen (endogen)
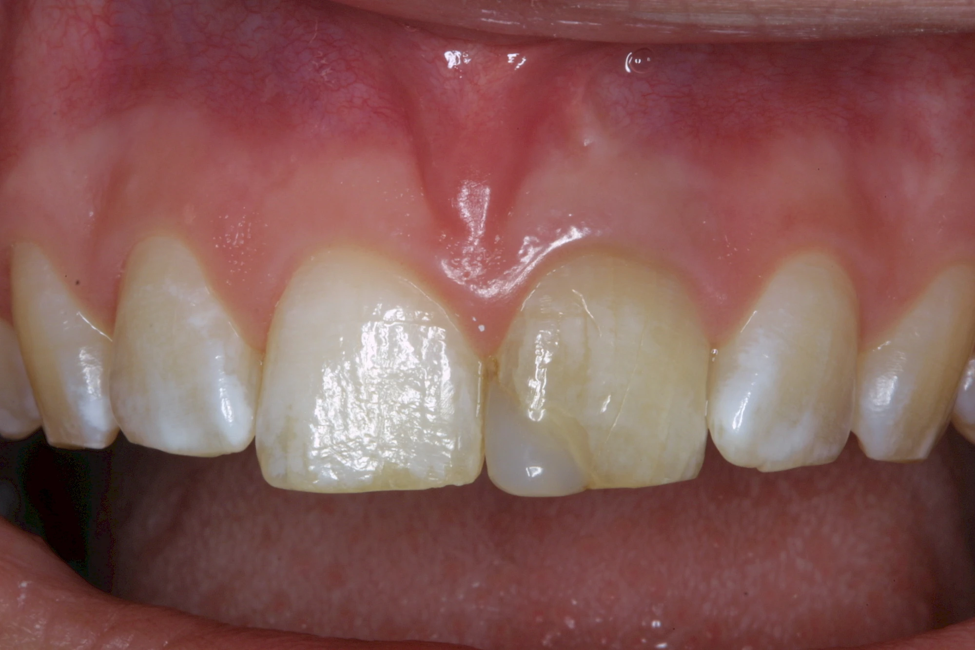
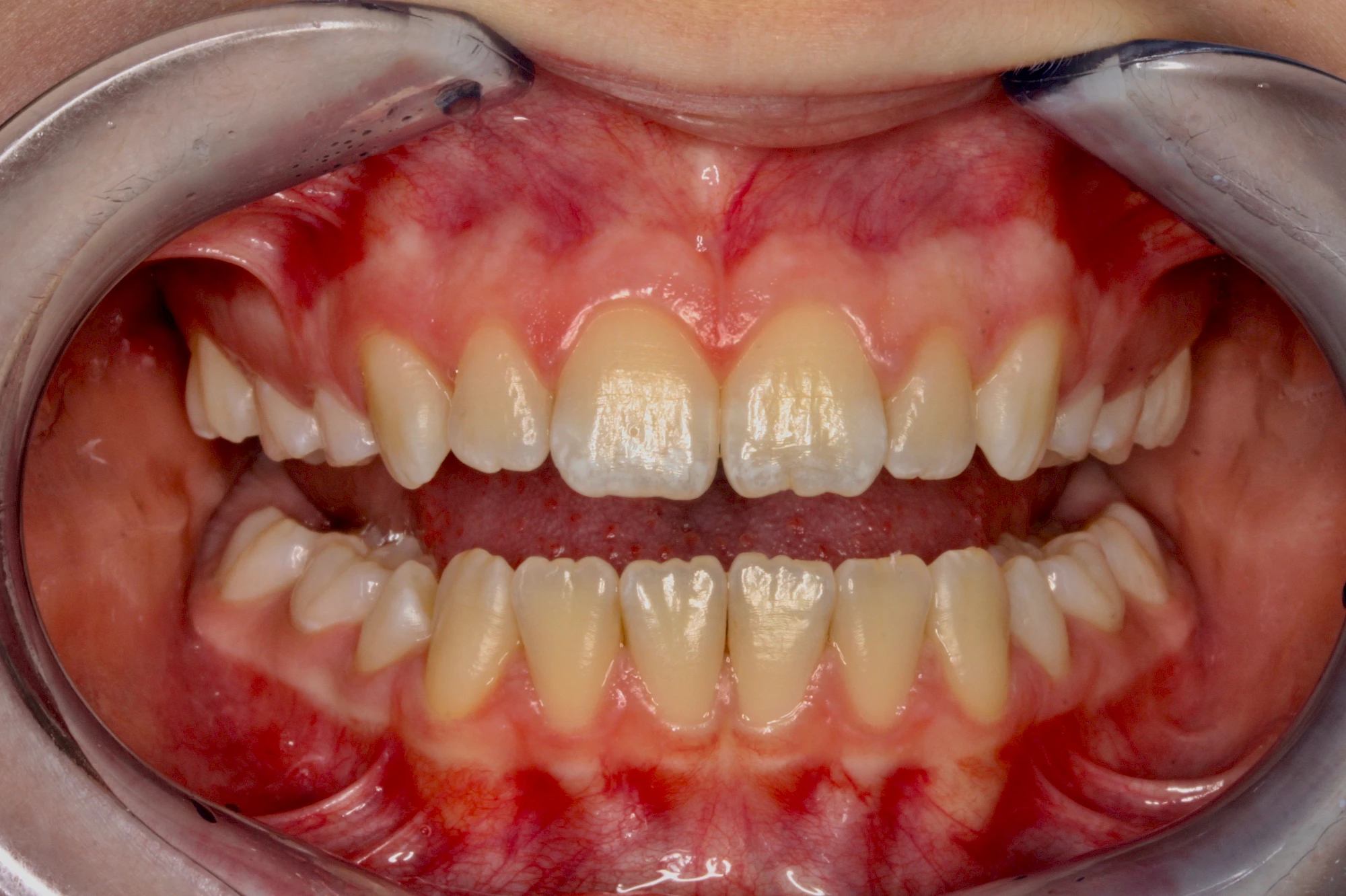
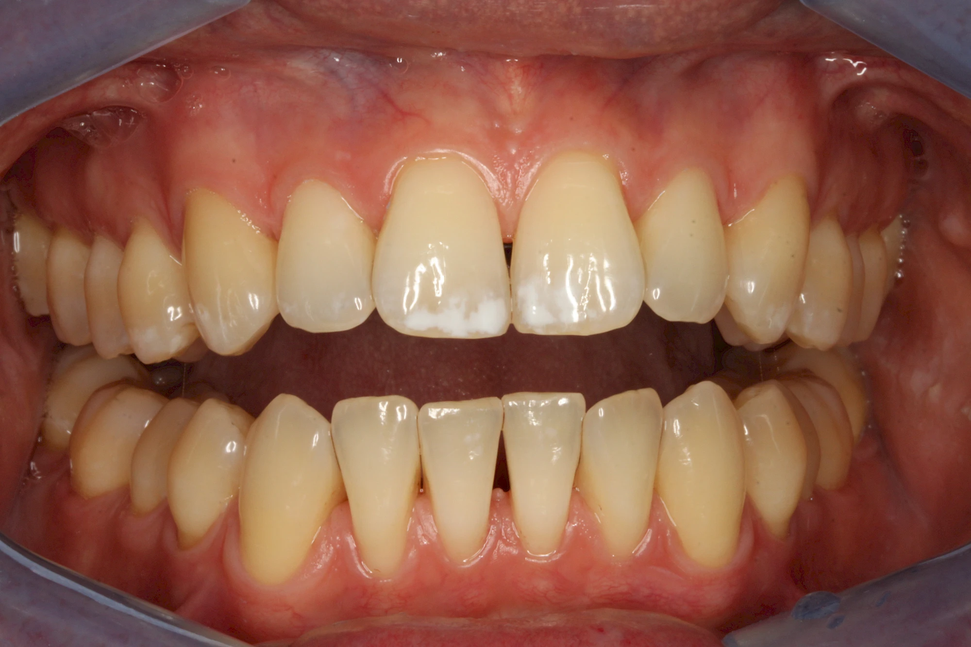
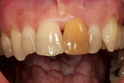
- Durch Blutabbauprodukte, weil der Zahnnerv abgestorben (einzelner Zahn, dunkel-flächig)
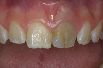
- Durch übermäßige Fluorideinlagerung in der Zahnreifung (mehrere Zähne, weißlich-fleckig)
- Durch Medikamente während der Zahnreifung (einzelne Zähne auf beiden Seiten, z. B. bläulich durch Antibiotikum Tetrazyklin)
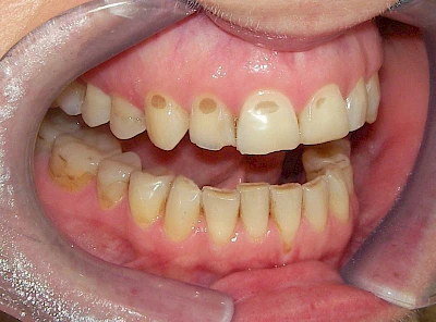
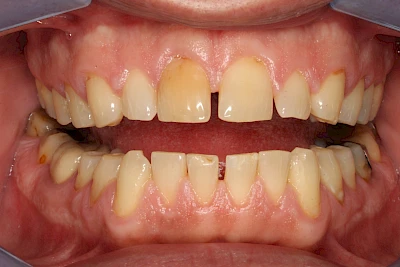
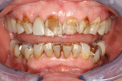
Gerade bei Kindern und Jugendlichen werden zunehmend häufiger bräunliche Verfärbungen mitunter auch mit Formveränderungen (die Oberfläche ist rauh oder zerklüftet) der Zähne beobachtet. Meist sind Schneidezähne oder Backenzähne betroffen. Dies könnte ein Hinweis auf sogenannte Kreidezähne (MIH: Molaren-Inzisiven-Hypomineralisation) sein.
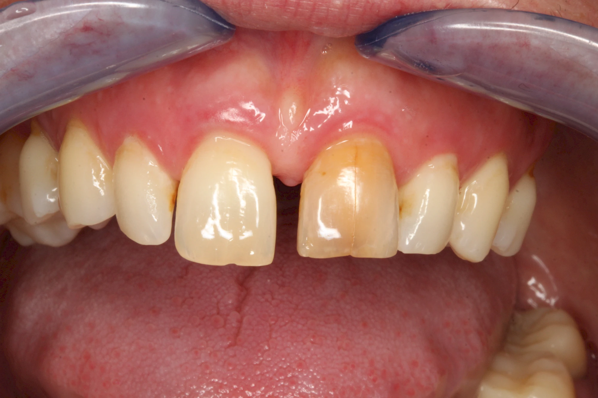
Bräunliche Verfärbung
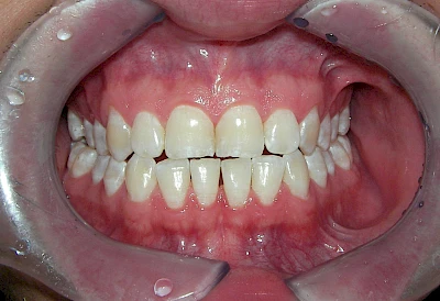
Äußere Verfärbungen durch Genußmittel oder Medikamente (Eisen!) lassen sich meist nur durch den Zahnarzt z. B. mit einer professionellen Zahnreinigung entfernen.
Manche Medikamente wie zum Beispiel das Antibiotikum Tetrazyklin kann bei Einnahme im Zeitfenster der Zahnentwicklung auch irreversibel in die Zahnsubstanz. eingelagert werden. Tetrazyklin verfärbt die jeweils betroffenen Zähne bläulich und sollte deshalb während der Schwangerschaft und bei Kindern nicht verordnet werden.
Daneben gibt es noch seltene genetisch bedingte Schmelz- bzw. Dentinbildungsstörungen (Amelogenesis imperfecta, Dentinogenesis imperfecta), die neben Verfärbungen vor allem auch durch Veränderungen der Oberflächenstrukturen auffallen. In diesen Fällen ist eine engmaschige Betreuung durch den Zahnarzt wichtig.
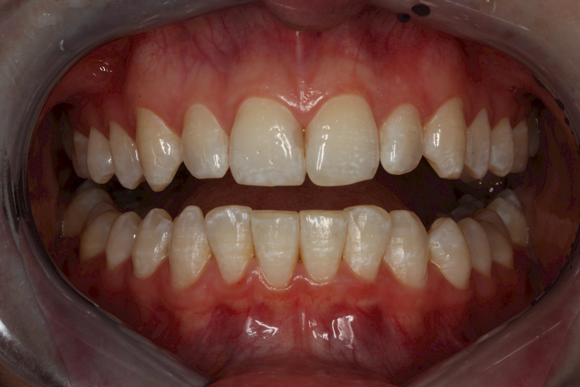
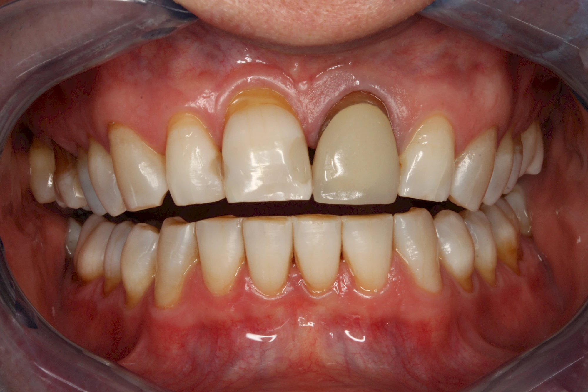
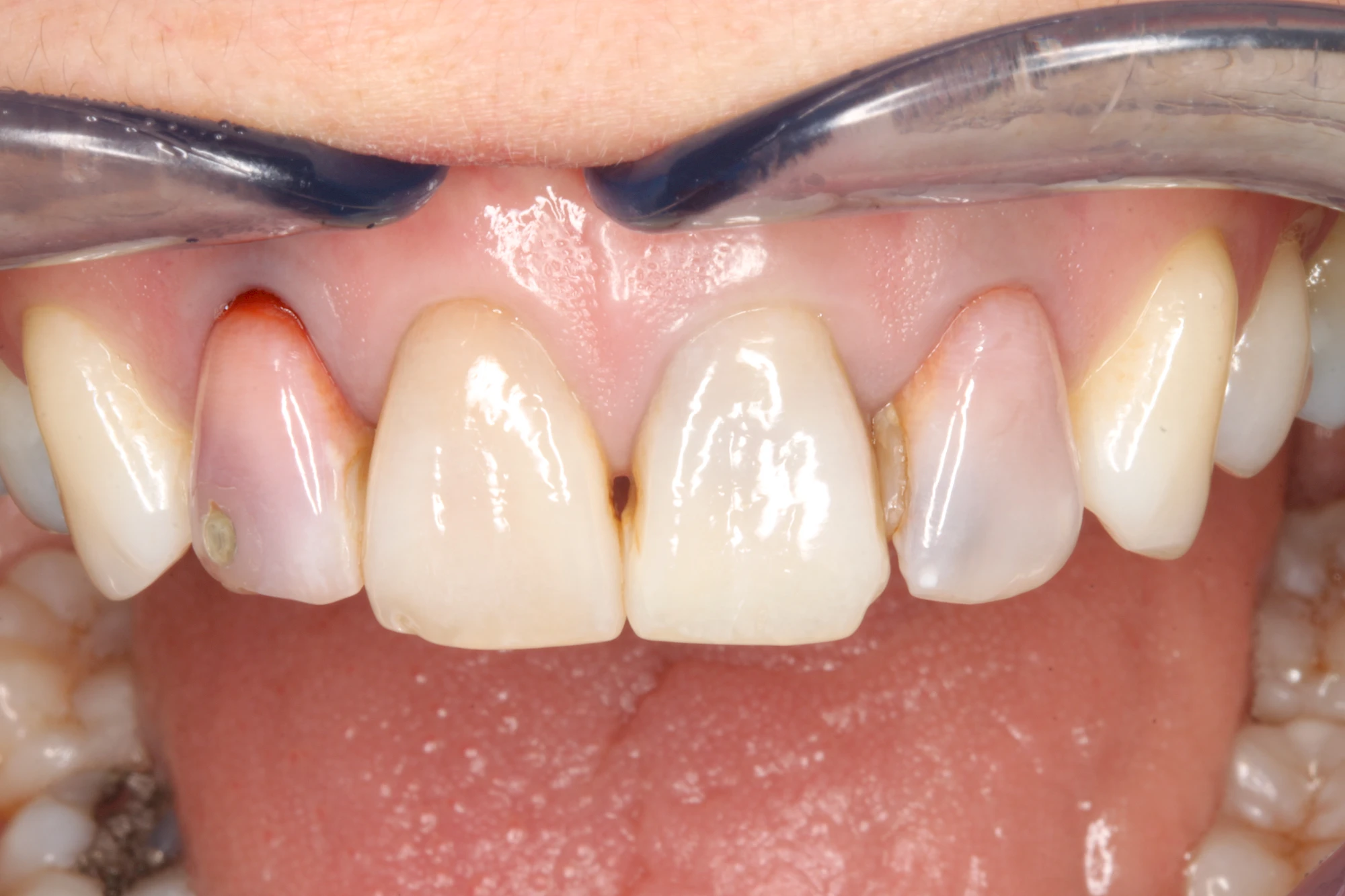
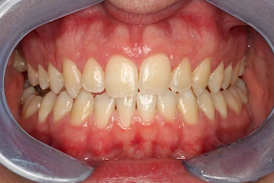
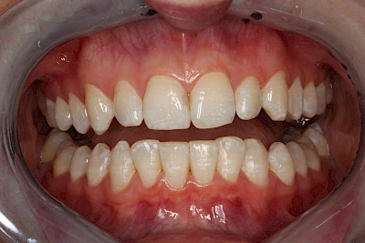
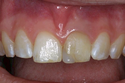
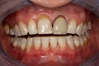
Dunkle bzw. Rötliche Verfärbung
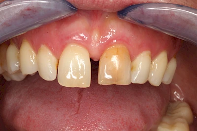
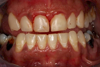
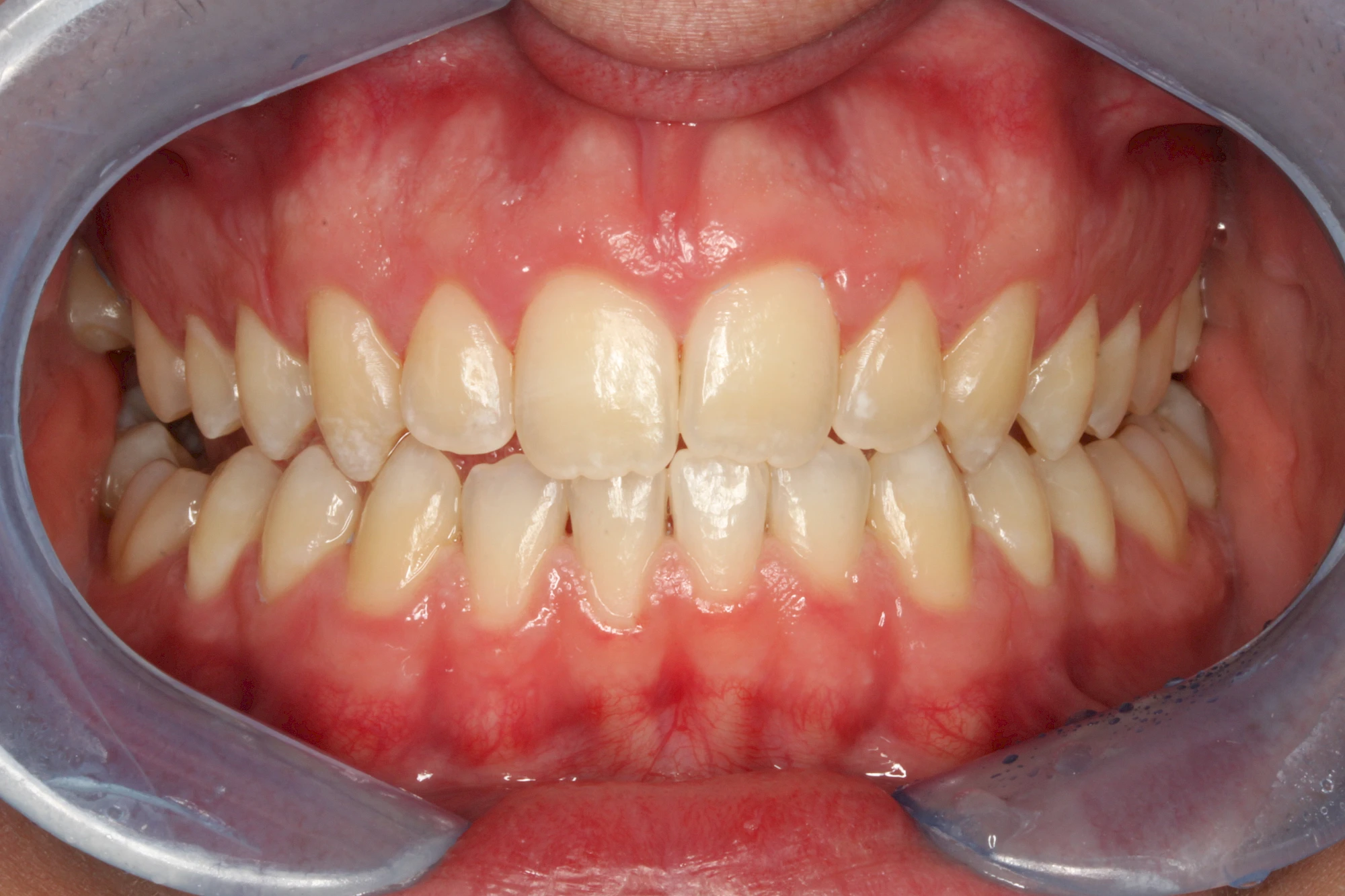
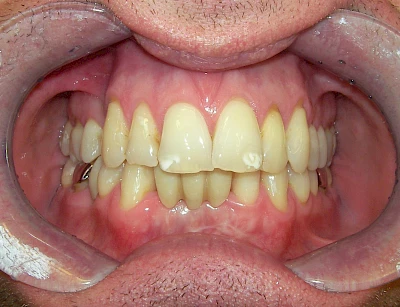
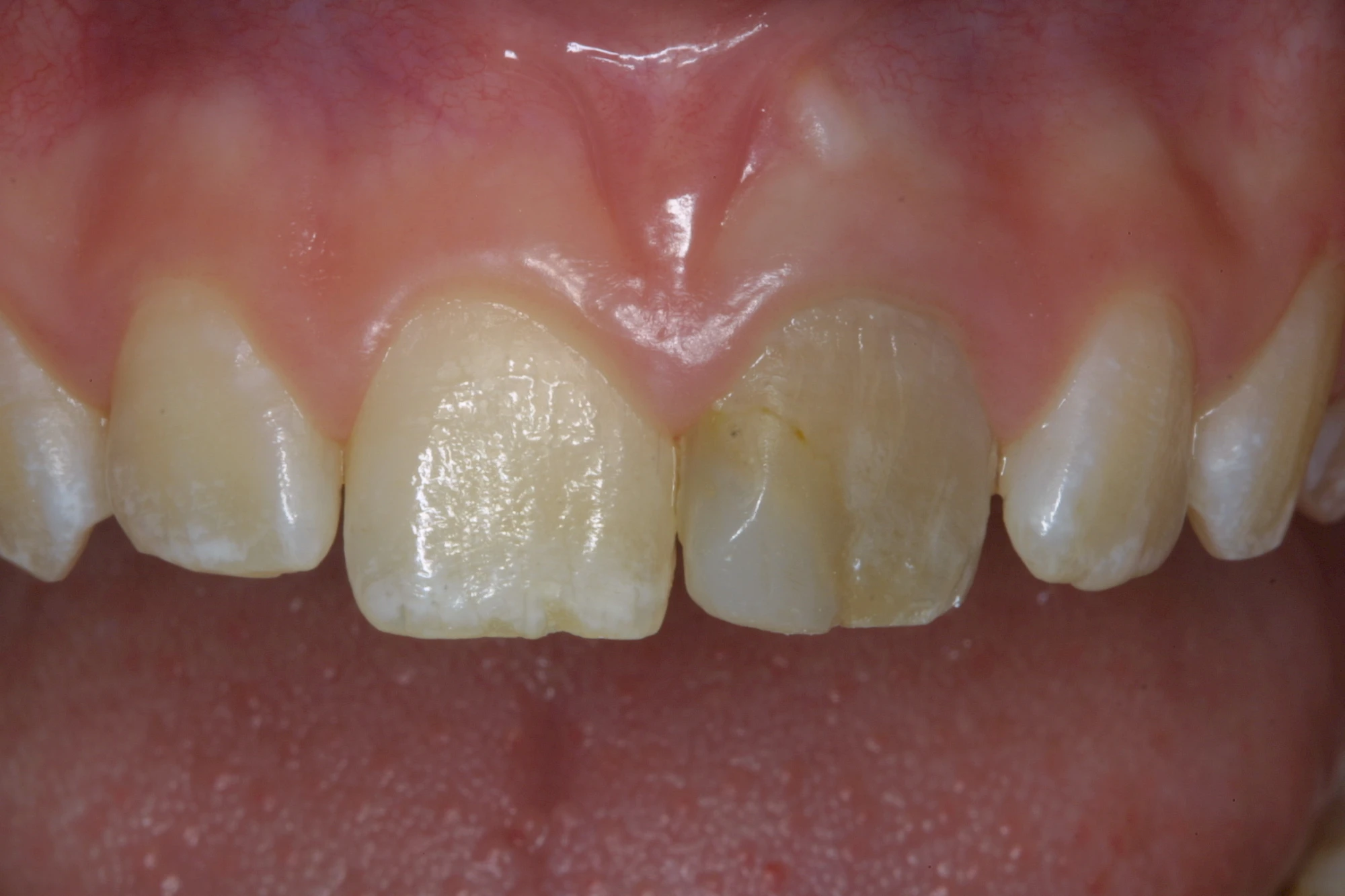
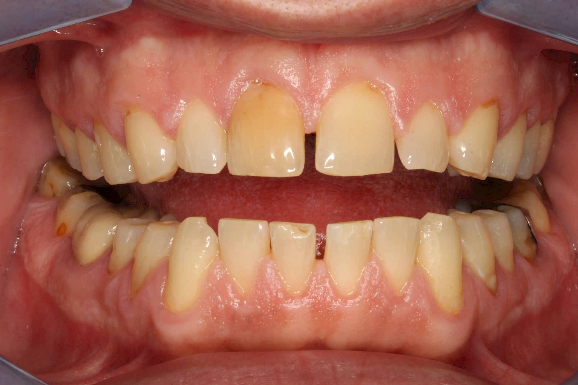
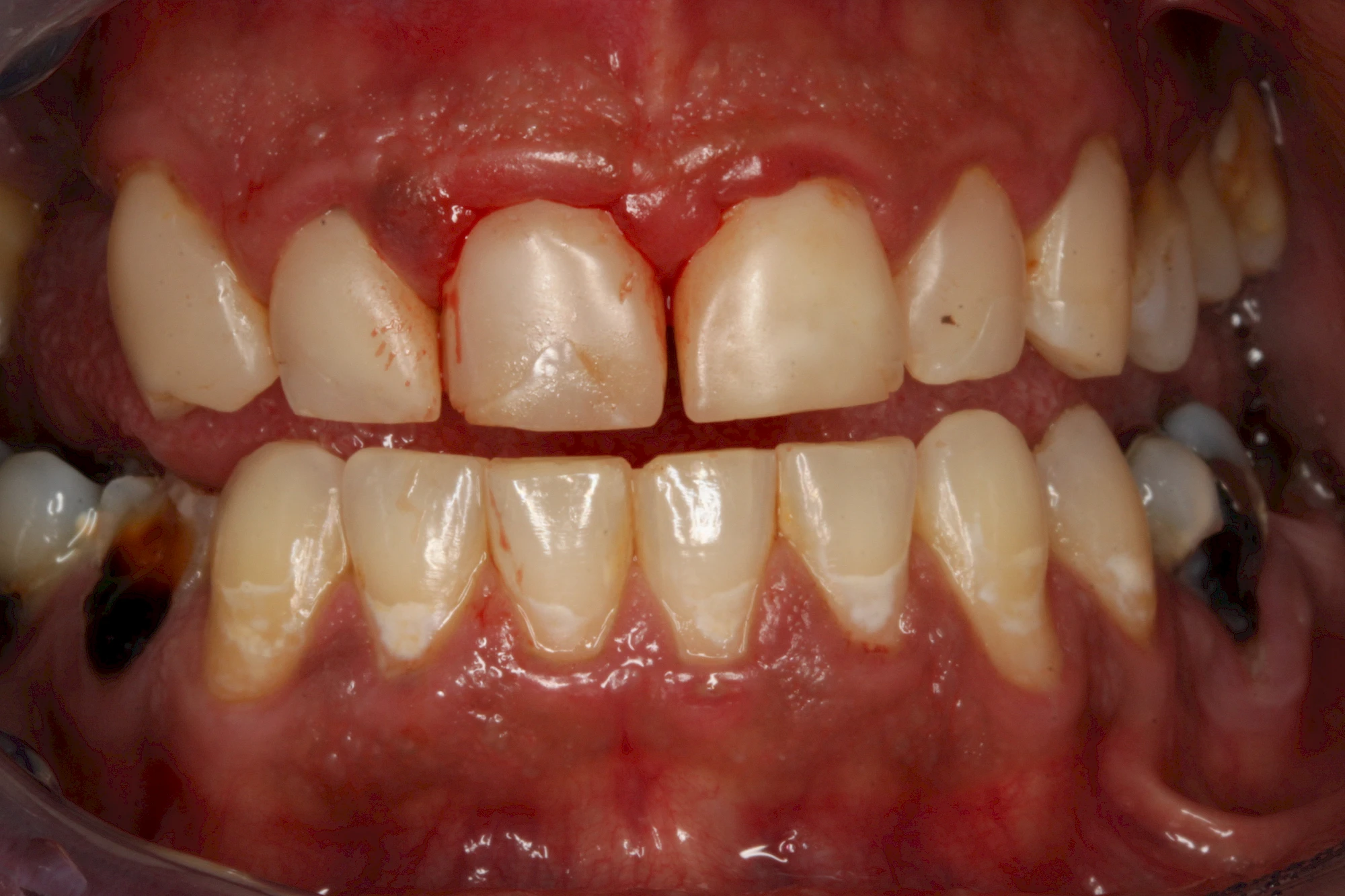
Ist ein einzelner Zahn deutlich dunkler als die Nachbarzähne kann das ein Zeichen sein, dass der Nerv abgestorben ist. Unter Umständen wurde bereits eine Wurzelkanalbehandlung vom Zahnarzt durchgeführt. Eine Abklärung durch den Zahnarzt ist in jedem Fall sinnvoll.
Diese Seite wurde zuletzt am 25.08.2025 geändert.