
- Startseite >
- >
- Auffälligkeiten im Mund >
- Gaumen, Wange & Zunge >
- Bläschen
Bläschen
Gaumen, Wange & Zunge
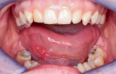
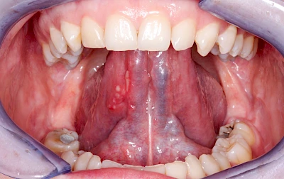
Die Schleimhäute können verschiedene bläschenartige Veränderungen zeigen. Je nach Größe, Anzahl und Lokalisation kommen dafür verschiedene Ursachen in Frage:
- Talgdrüsen
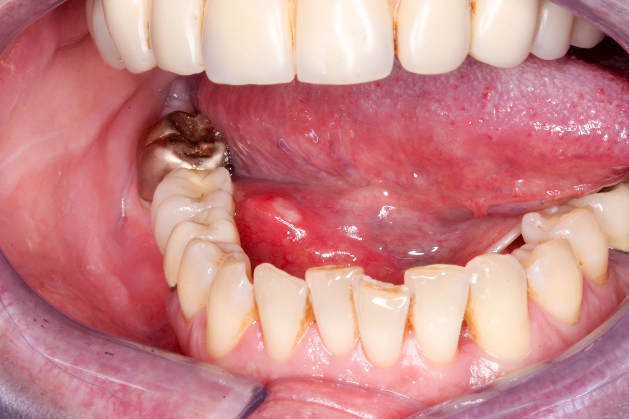
- Verbrennungen
- Herpes-Bläschen
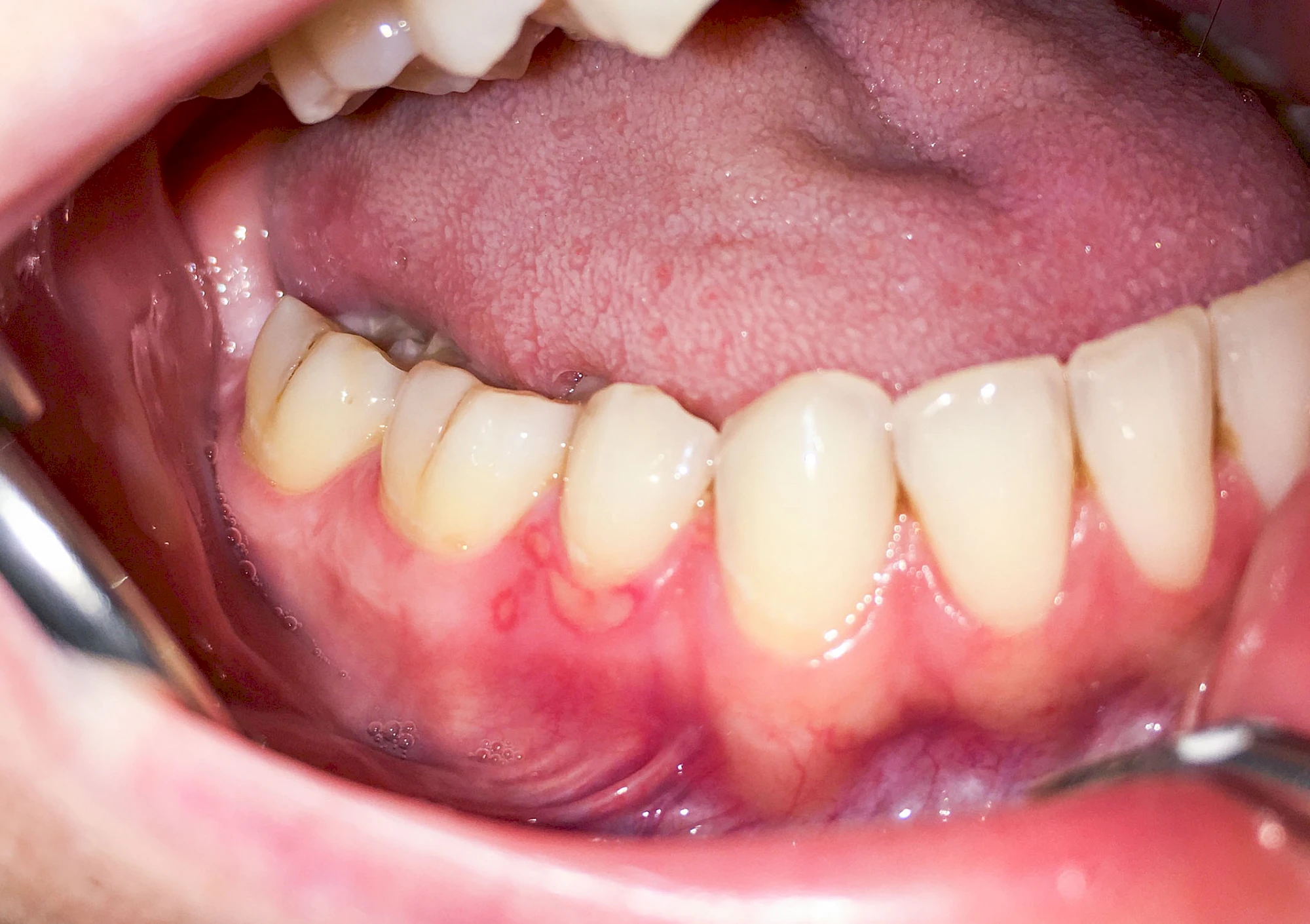
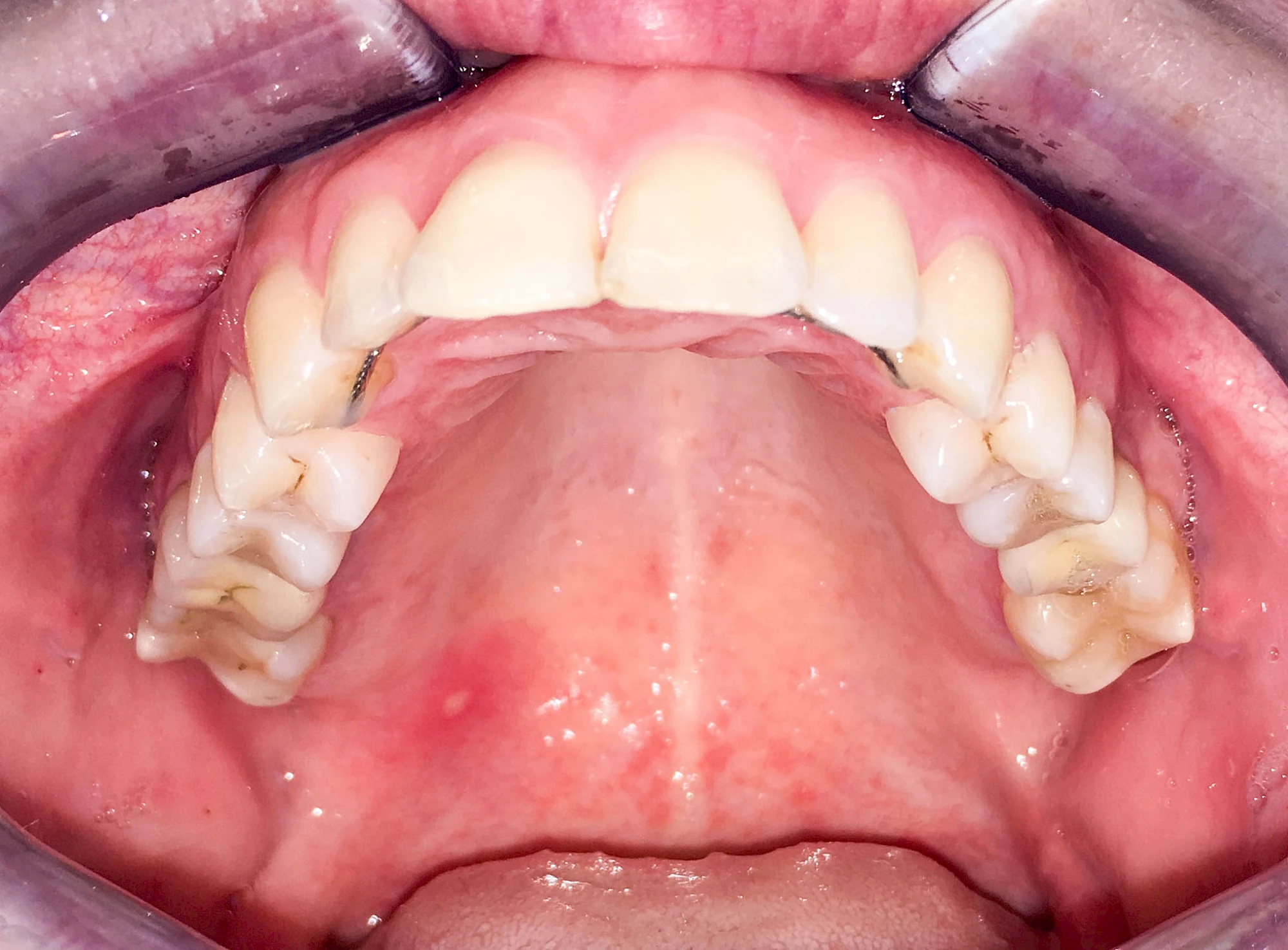
- Aphten
Verbrennungen, Herpes-Bläschen und Aphten jucken oder sind auf Berührung schmerzhaft (z. B. beim Essen) und sollten deshalb lokal mit schmerzlindernden Gelen begleitet werden, bis diese wieder abgeklungen sind. Insgesamt wird Kühlung (z. B. mit Eiswasser) als angenehm empfunden. Es werden darüber hinaus noch viele weitere Hausmittel empfohlen, die Wirkung ist in Studien allerdings nicht gut belegt.
Innerhalb von 10 bis 14 Tagen hat sich die Schleimhaut in der Regel ohne weitere Behandlung wieder regeneriert. Bestehen die Veränderungen weiterhin fort oder treten sie zeitlich gehäuft ohne erkennbare Ursache auf, sollte ärztlicher Rat eingeholt werden.
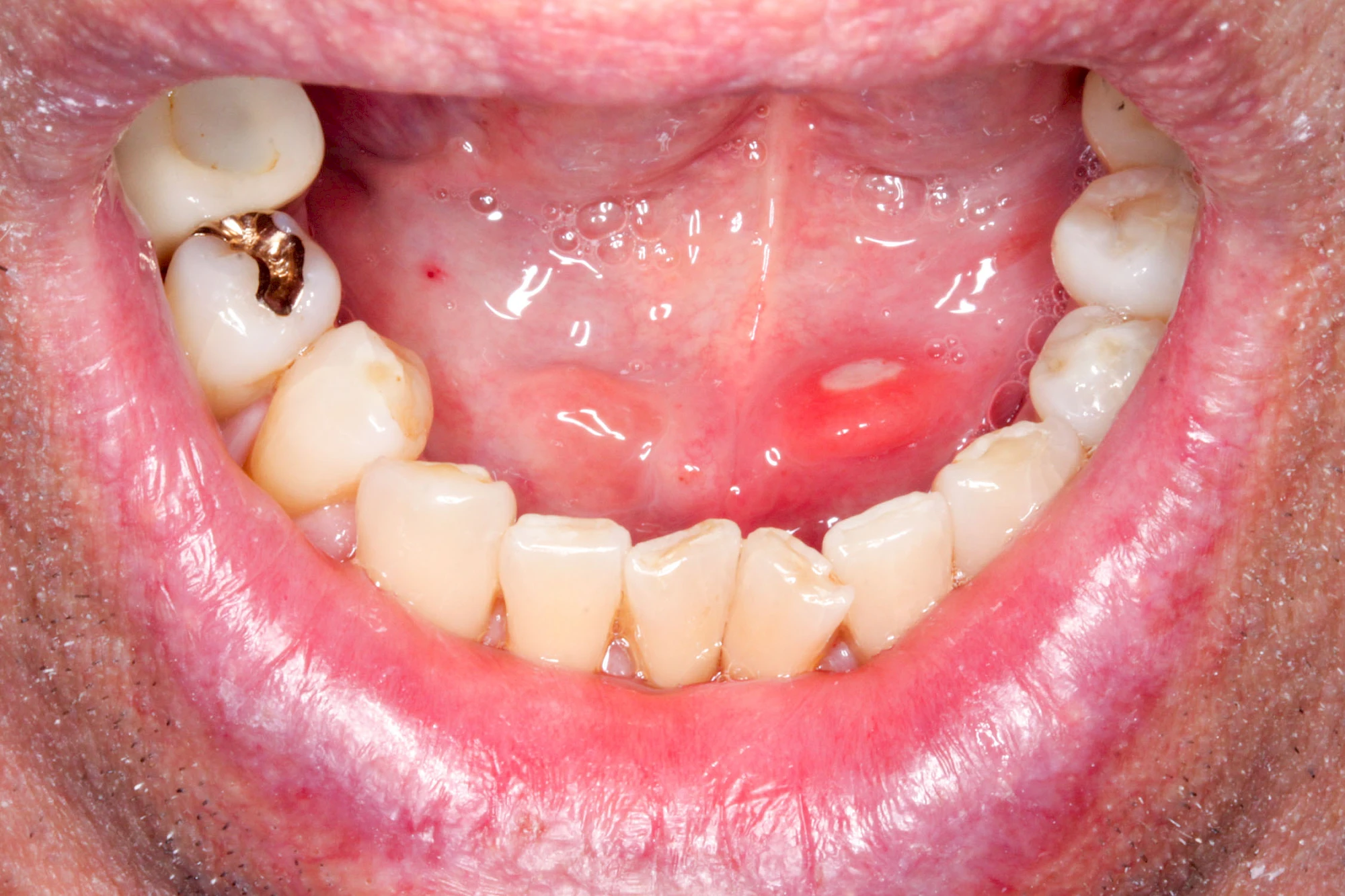
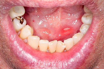
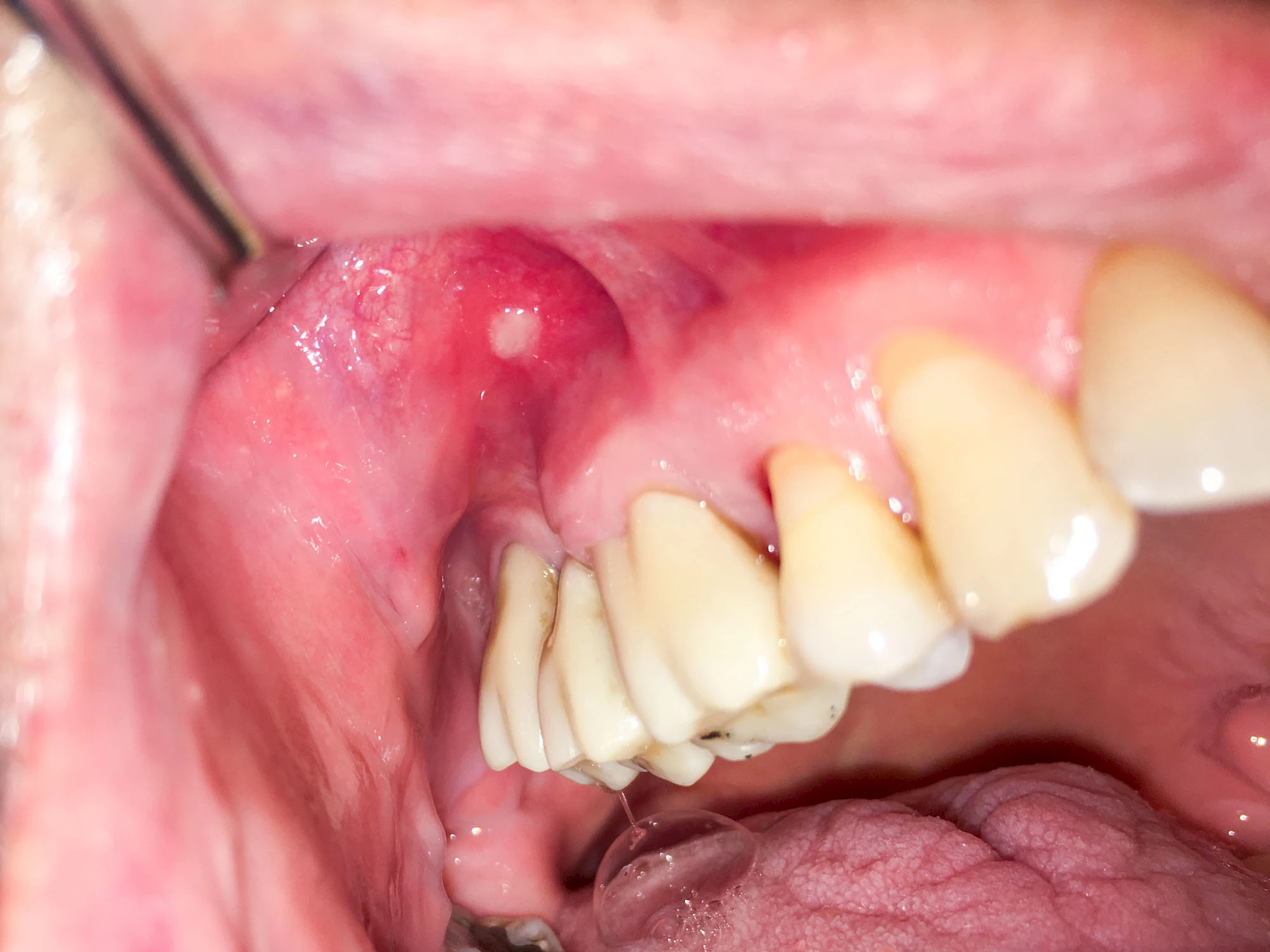
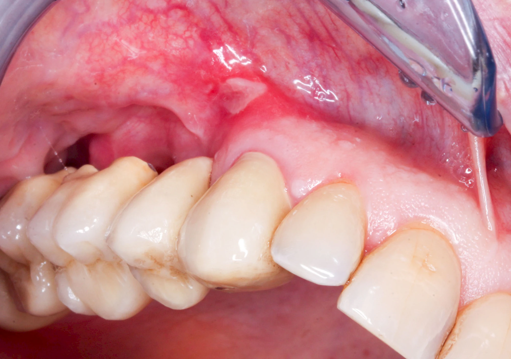
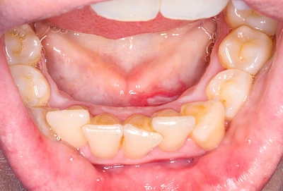
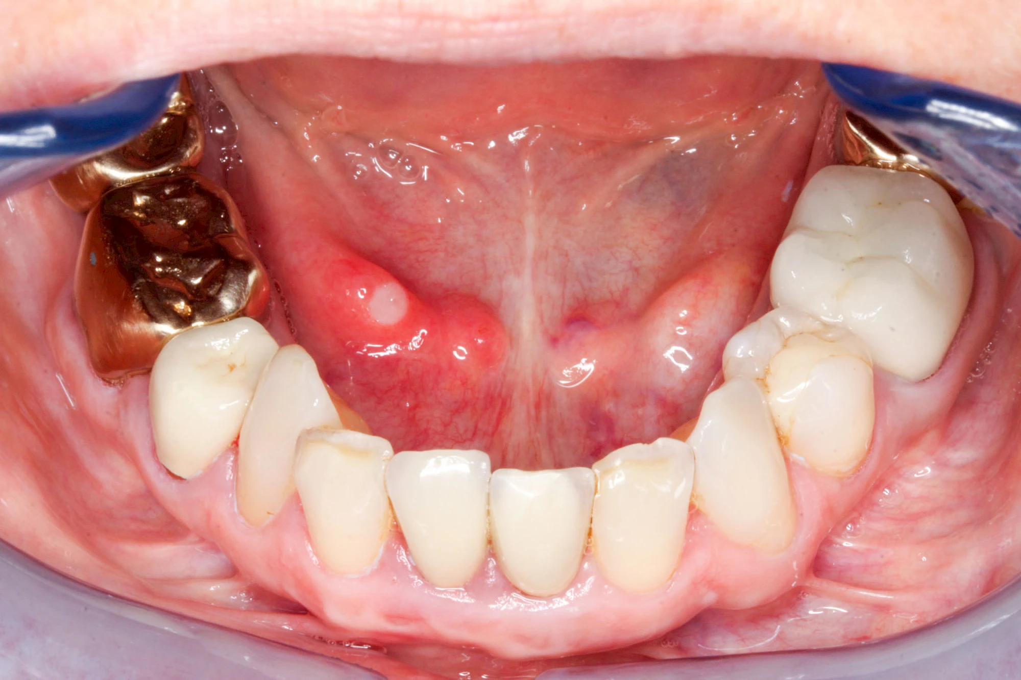
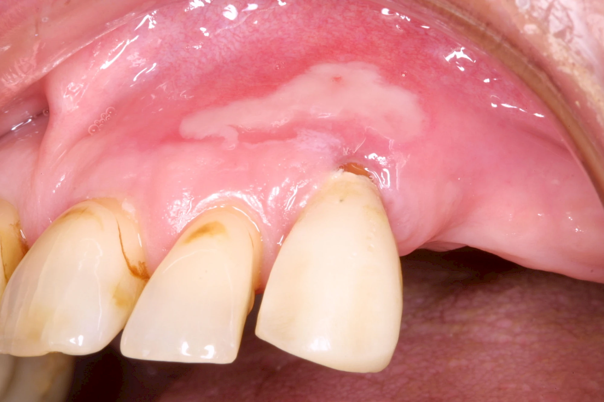
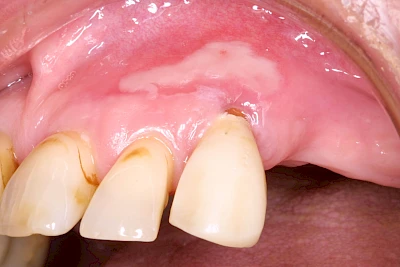
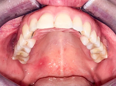
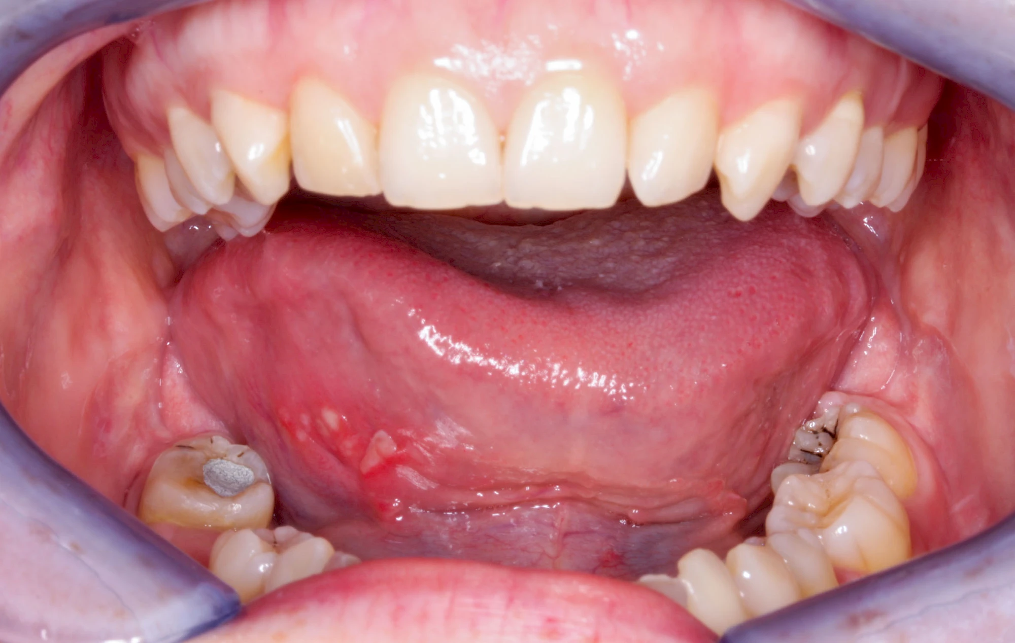
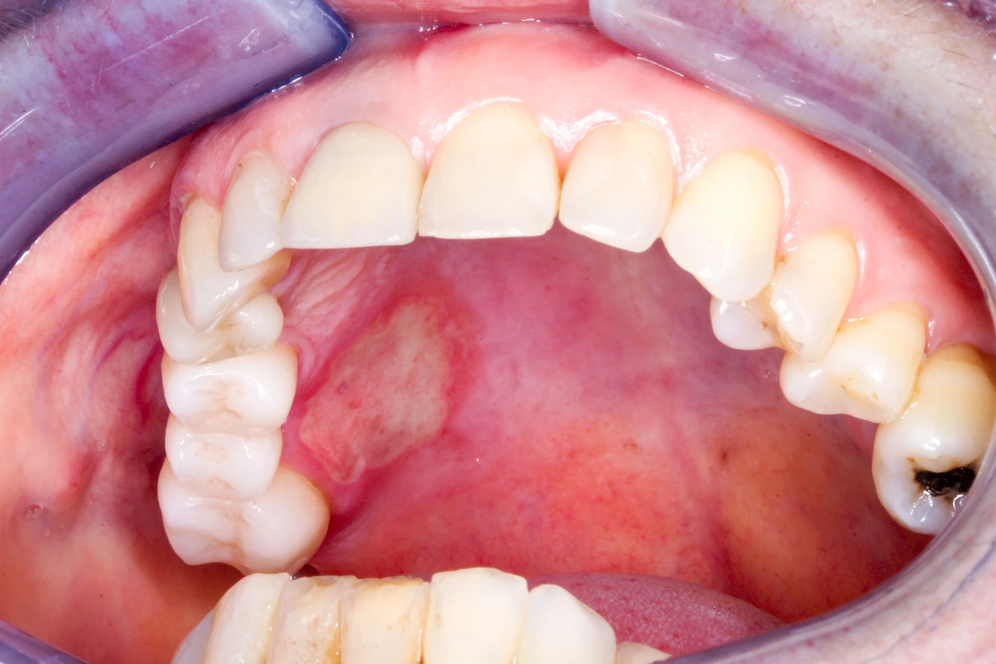
Aphte
Aphten lassen sich gut von Herpes unterscheiden, da Aphten in aller Regel nur einzeln und nicht gruppiert auftreten. Charakteristisch ist das zentrale Bläschen umgegeben von einem rotem Hof. Unter anderem werden Viren aber auch genetische Veranlagung diskutiert.Aphten sind vor allem nur an nicht-verhornten Schleimhautbereichen (Wange, Lippeninnenseite, Mundboden und Rachen) auf. In seltenen Fällen können die Blasen sehr groß sein oder doch in großer Zahl auftreten – hier sind Störungen des Immunsystems (Auto-Immunerkrankungen) häufig die Ursache.
Die Ursachen sind bis heute nicht ganz geklärt. Diskutiert werden Stress, Nährstoffmangel (B-Vitamine, Eisen, Zink), hormonelle Schwankungen, kleine Verletzungen und genetische Veranlagung. Auch bestimmte Lebensmittel, Zahnpasta mit Natriumlaurylsulfat und chronische Krankheiten wie Zöliakie können eine Rolle spielen.
Verbrennung
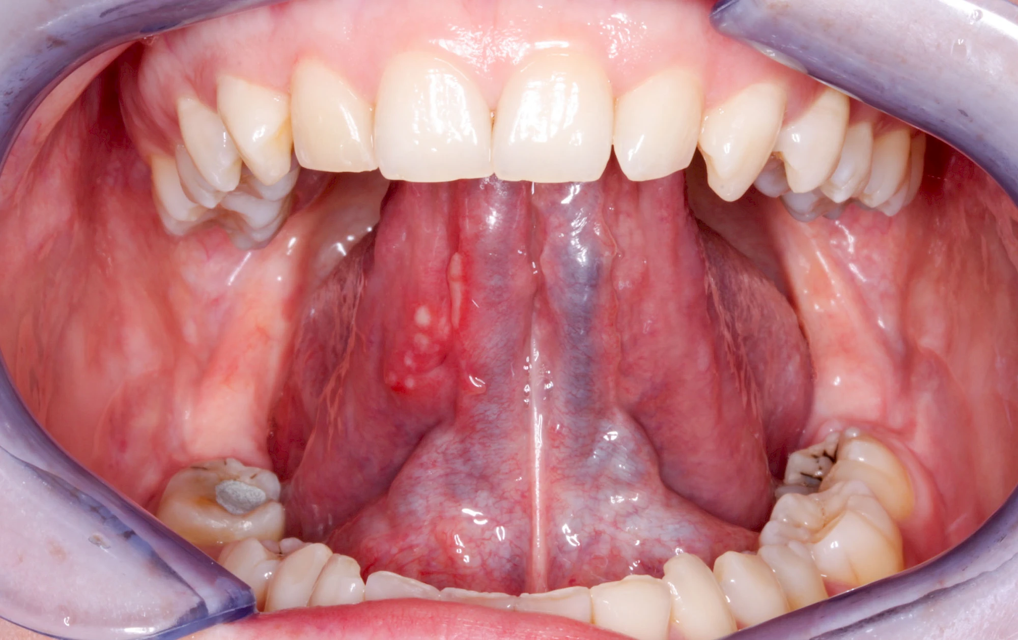
Verbrennungen ("Pizza burn") fallen meist als einseitig gruppierte kleine Bläschen – häufig im Gaumen – oder eine einzelne größere Blase auf. Die betroffenen Menschen geben häufig an, dass sie sich verbrannt haben. Bei Menschen mit Unterstützungsbedarf und eingeschränkter Kommunikation ist diese "Rückmeldung" mitunter schwierig. Daher sollte – wenn Essen eingegeben und nicht selbständig eingenommen wird – die Temperatur von Flüssigkeiten und Speisen (vor allem Pizza bzw. mit Käse überbackene Speisen – nach Möglichkeit geprüft werden.
Herpes-Ausschlag
Herpes-Bläschen können ebenfalls kleine Gruppierungen von Bläschen zeigen, die dann aber – zumindest zu Beginn – streng auf einer Seite lokalisiert sind. Herpes-Viren ziehen sich nach Erstinfektion in bestimmte Strukturen der Nerven-Gewebe (Spinalganglien) zurück und können unter besonderen Bedingungen (nach Stress-Situationen, nach Sonnenexposition …) wieder "ausbrechen". Herpes-simplex Viren zeigen sich bei vielen Menschen an den Lippen. Seltener sind Schleimhautbereiche im Mund (am ehesten noch der Gaumen) betroffen. Manchmal sind auch Herpes-Zoster-Viren die Ursache.
Für Herpes-Bläschen können auch antivirale Salben eingesetzt werden.
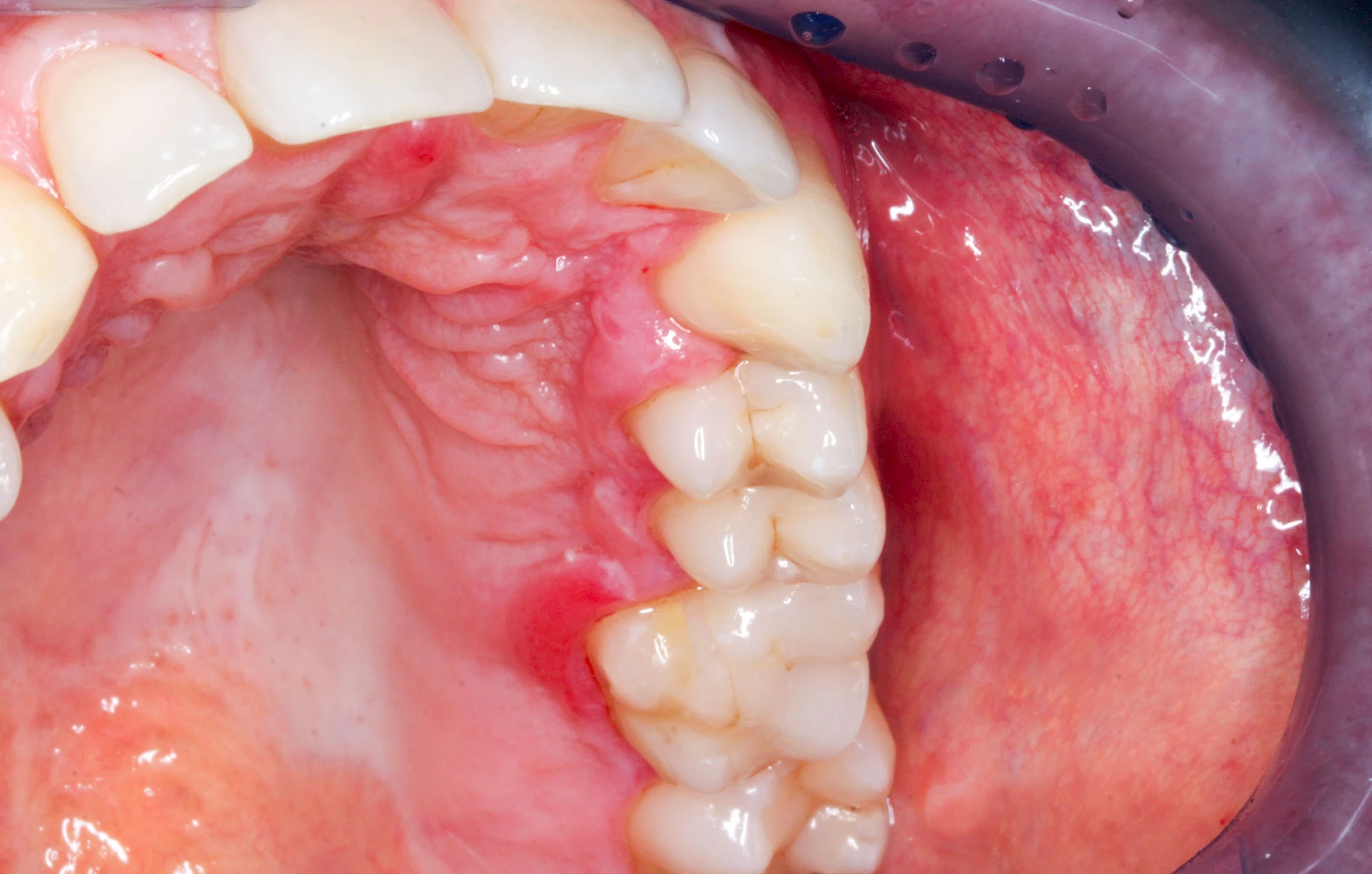
Talgdrüsen
Talgdrüsen sind wichtig für die Haut und machen diese widerstandsfähig gegen Reibungen aller Art. Die Schleimhaut jedoch braucht keine Talgdrüsen, da der Speichel die Oberfläche gut befeuchtet und damit gegen Reibung schützt. Trotzdem kommen – bei manchen Menschen durchaus sehr ausgeprägt – solche ektopen (außerörtlichen) Talgdrüsen vor. Diese haben keinen Krankheitswert und müssen nicht behandelt werden. Ektope Talgdrüsen zeigen sich häufig flächig verteilt und fallen vor allem im Bereich der Wangenschleimhaut oder der Lippen auf.
Diese Seite wurde zuletzt am 10.02.2026 geändert.