
- Startseite >
- >
- Auffälligkeiten im Mund >
- Gaumen, Wange & Zunge >
- Schwellung & Geschwür
Schwellung & Geschwür
Gaumen, Wange & Zunge
Schwellungen oder Geschwüre sind in den meisten Fällen Krankheits-Zeichen, die mitunter sofortige Abklärung durch einen Zahnarzt erfordern.
Ursachen
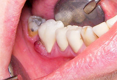
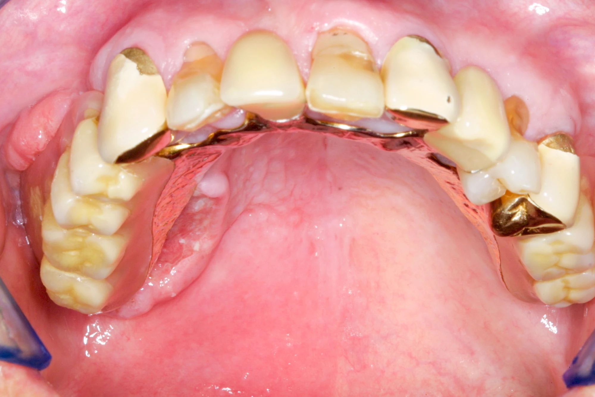
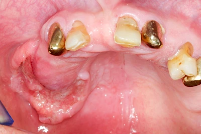
- Abszess: z. B. bei Entzündungen von Zahnnerven (z. B. durch Karies oder Unfälle)
- Abszess: z. B. bei Entzündungen des Zahnhalteapparates (Zahnfleisch, Knochen)
- Fibrom: z. B. bei mechanischen Reizungen in Folge fehlender Zähne oder in Folge von Gewohnheiten
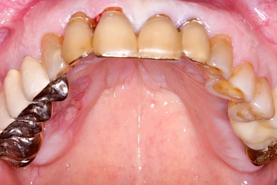
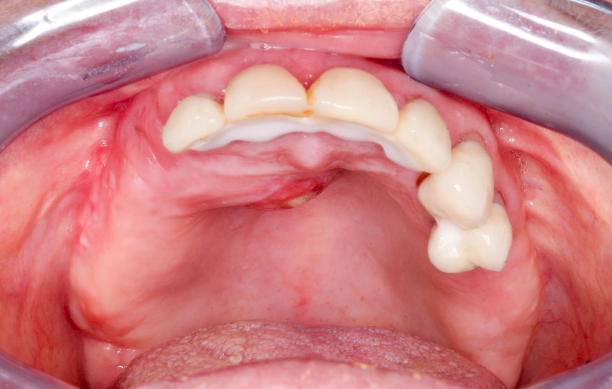
- Lappenfibrom: z. B. bei mechanische Reizungen im Zusammenhang mit Zahnprothesen
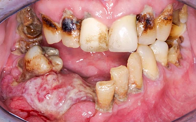
- Krebs bzw. bösartiger Tumor: z. B. nach jahrelanger Genuß von Tabak und Alkohol
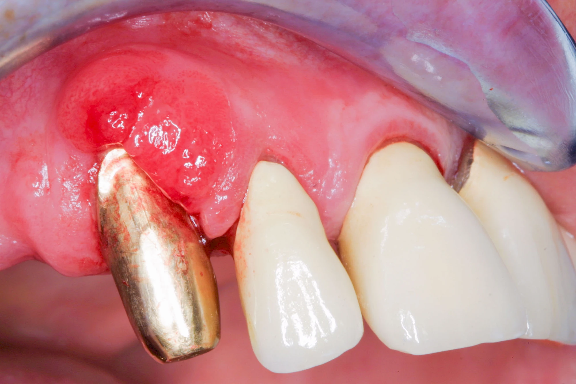
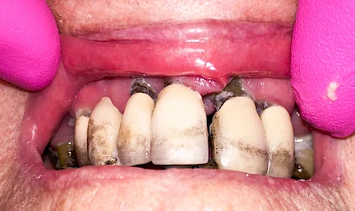
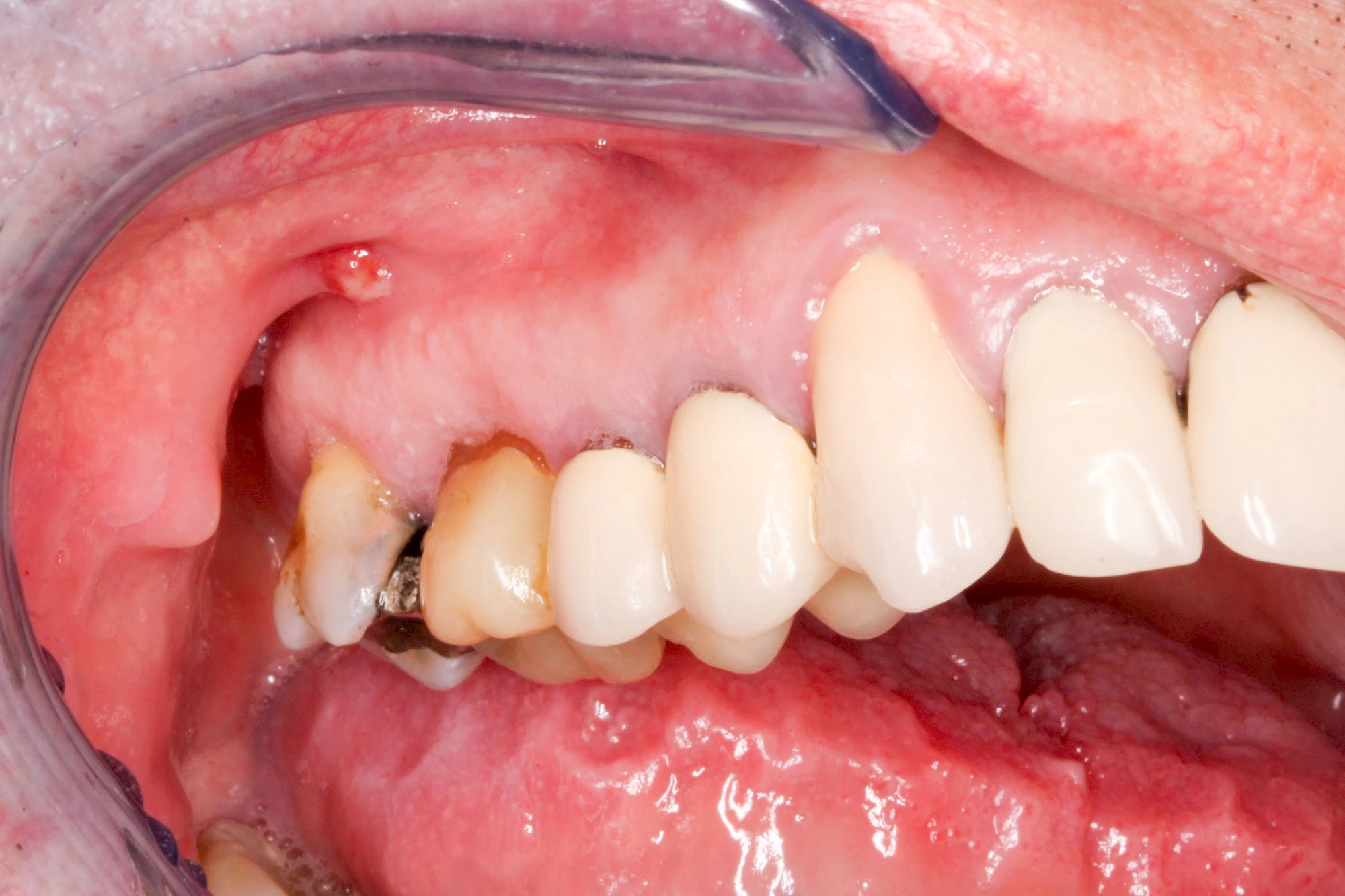
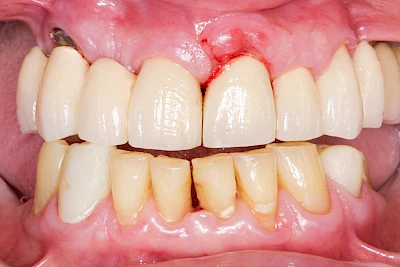
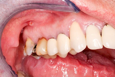
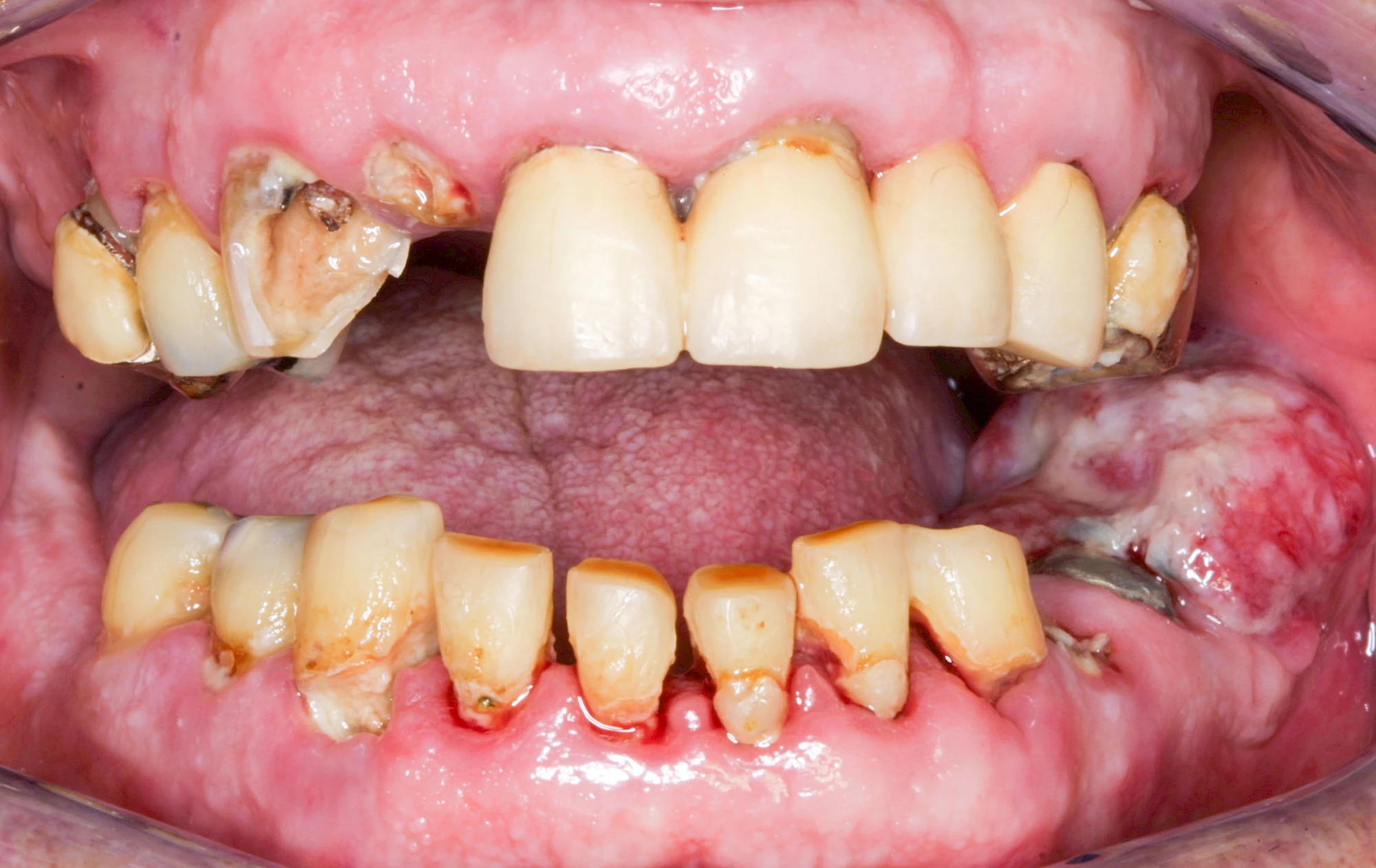
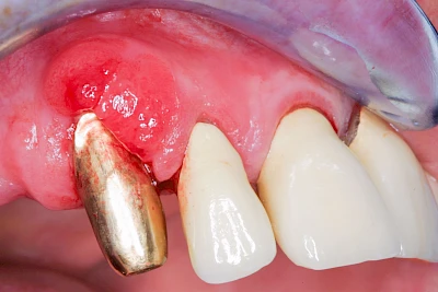
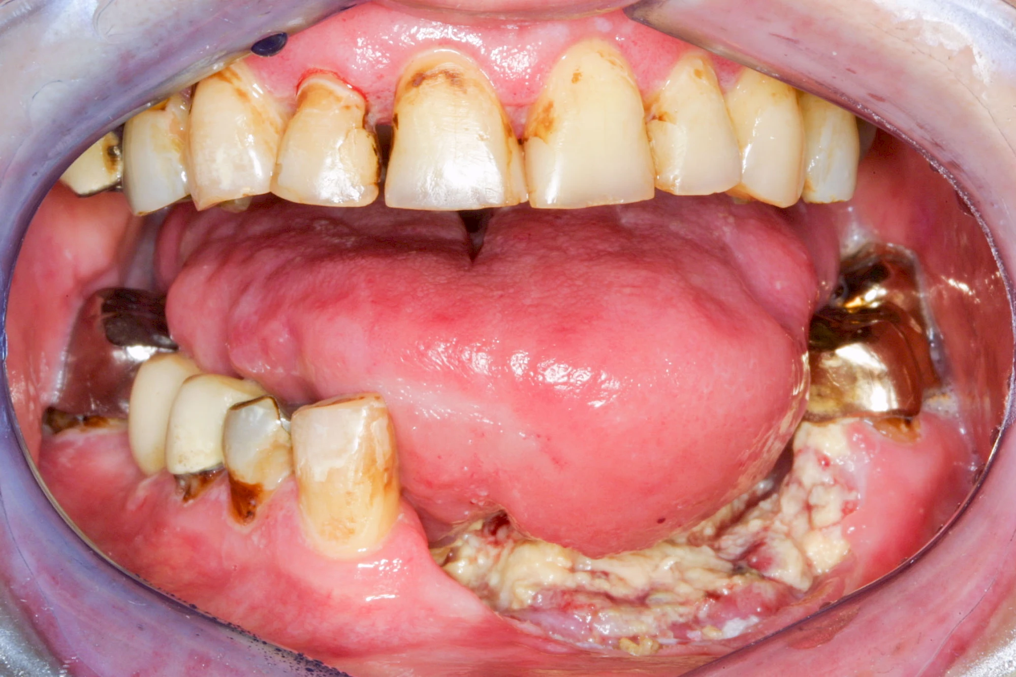
Schwellung mit Eiter (Abszess)
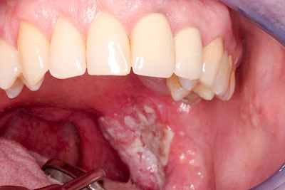
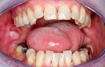
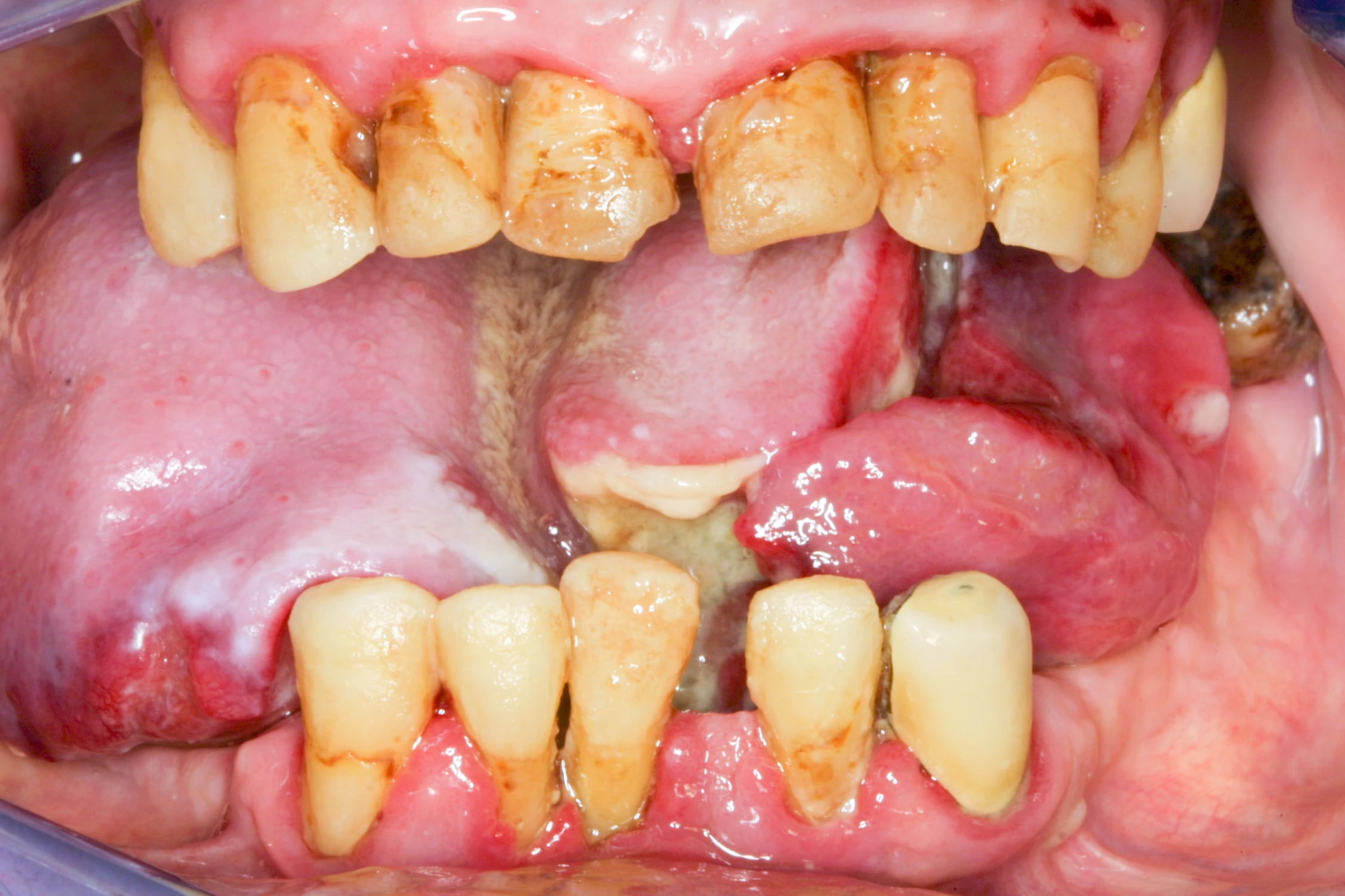
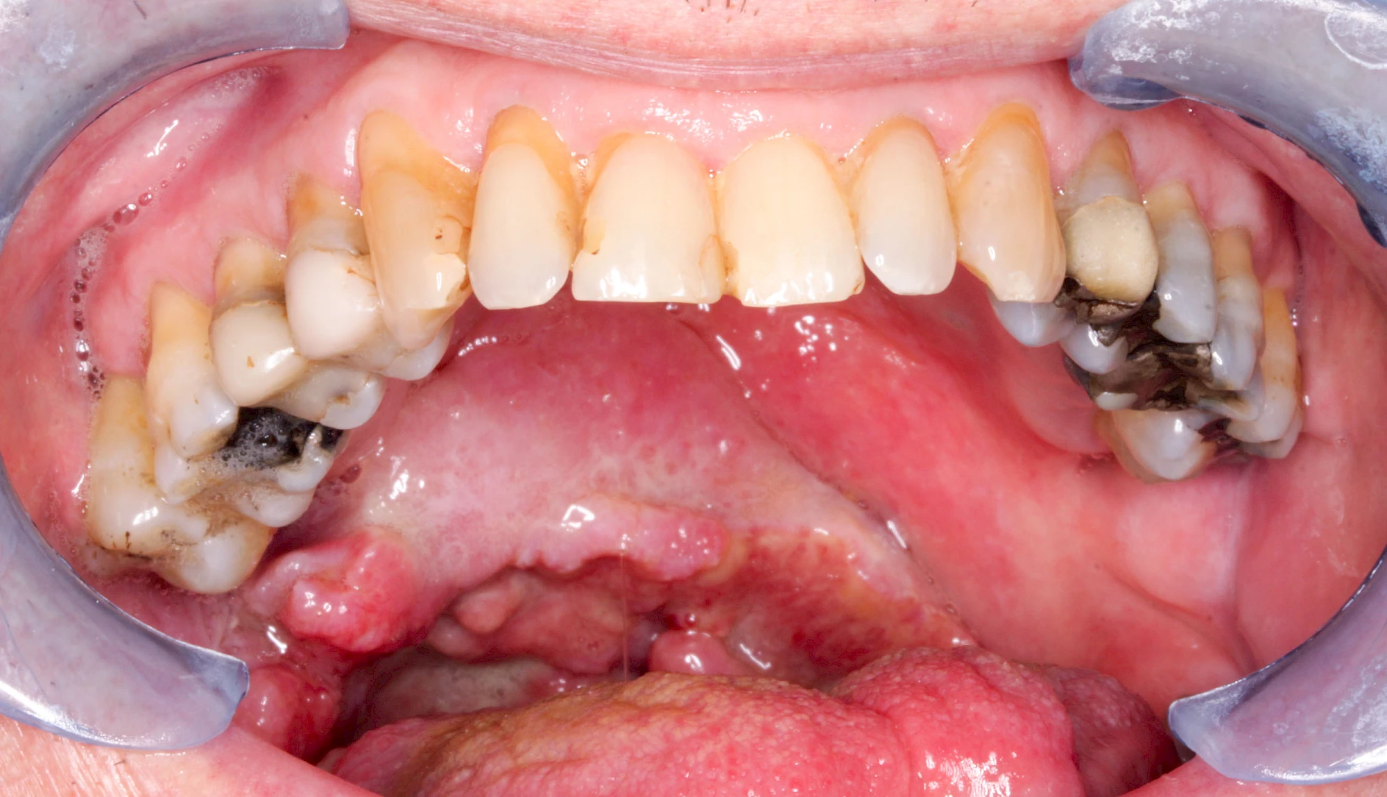
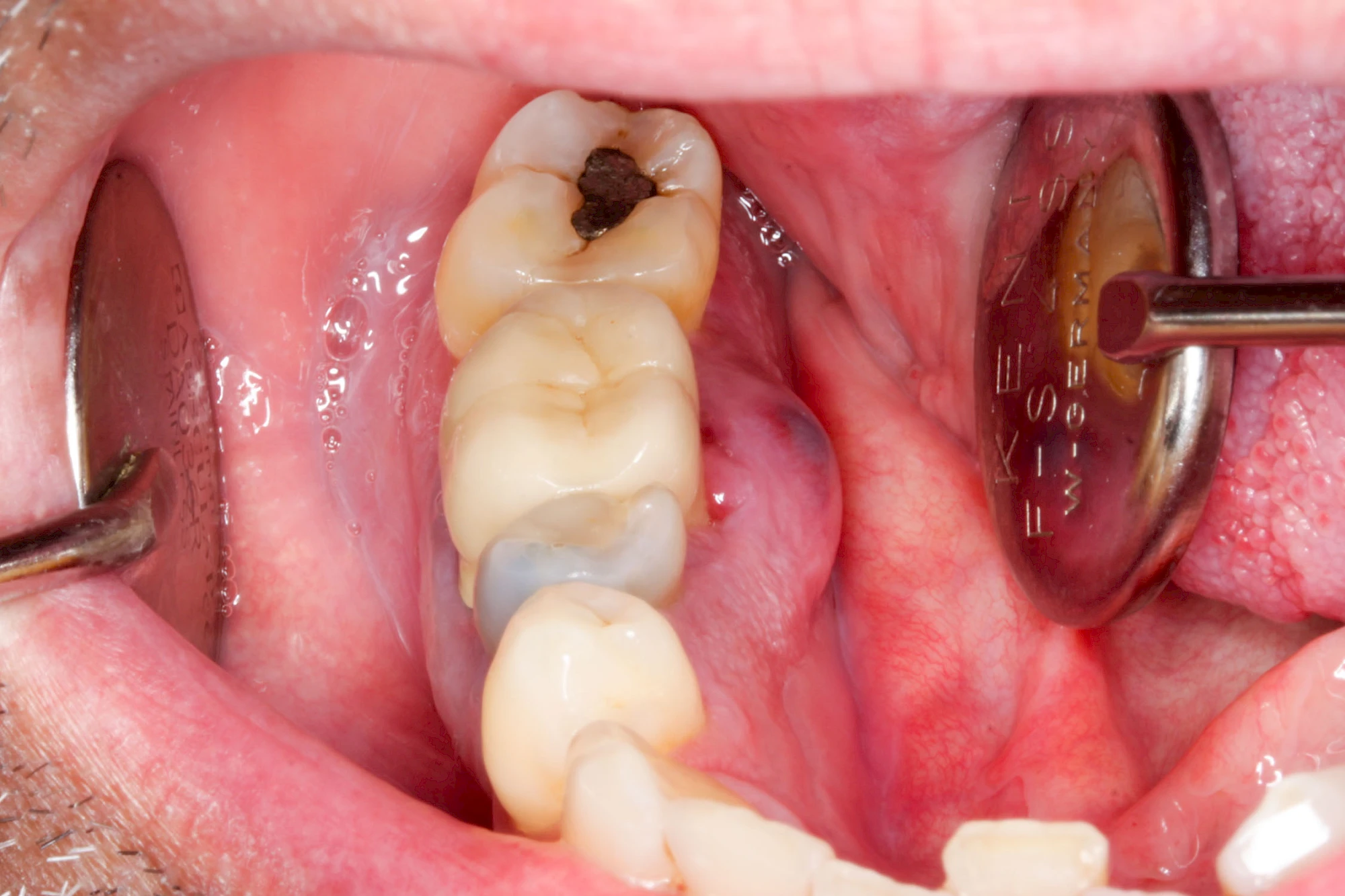
Schwellungen im Zusammenhang mit akuten Entzündungen im Bereich der Zähne oder dem Zahnhalteapparat entstehen meist aufgrund schneller und starker Vermehrung von Bakterien sowie einer starken Abwehrreaktion des Körpers (Abszess). Diese Schwellungen entstehen meist in sehr kurzer Zeit – innerhalb von Stunden oder wenigen Tagen. Die Schwellungen sind sehr schmerzhaft. Nah am Zahnfleisch kann sich bei leichtem Druck auf die Schwellung Eiter entleeren. Mitunter fühlen sich die Menschen krank. In fortgeschrittenem Stadium kann auch Fieber auftreten. Hier ist sofort der Zahnarzt zu kontaktieren, um eine weitere Ausbreitung der Entzündung zu verhindern.
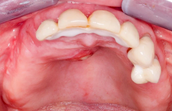
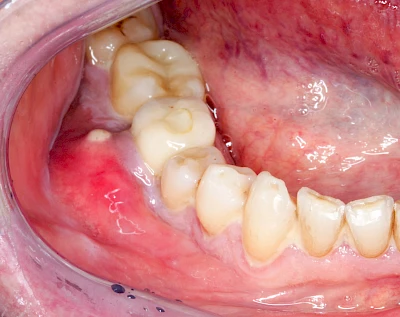
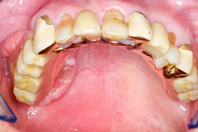
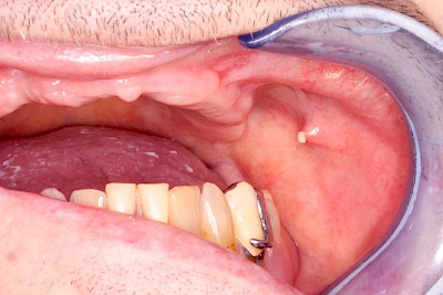
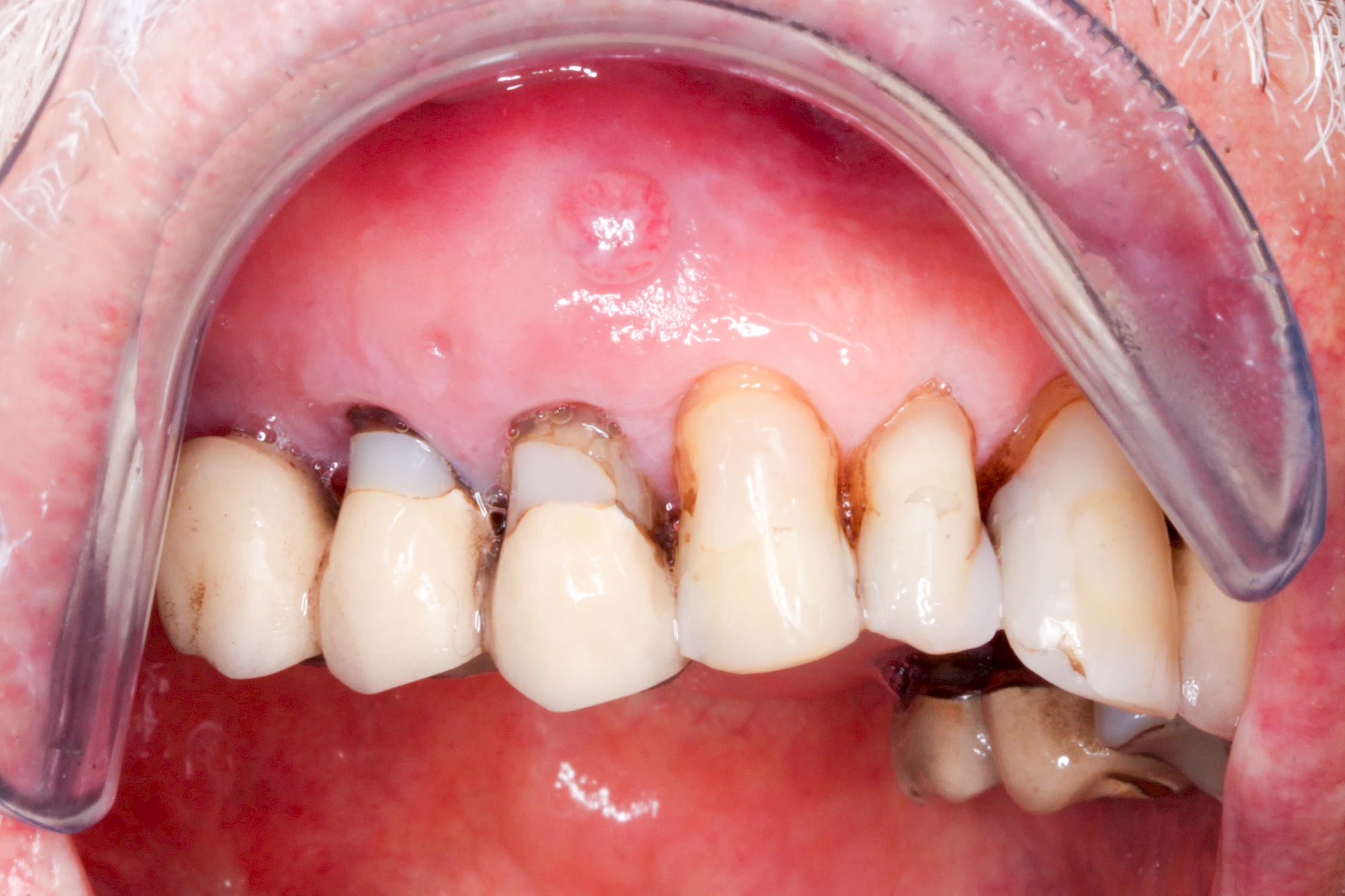
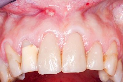
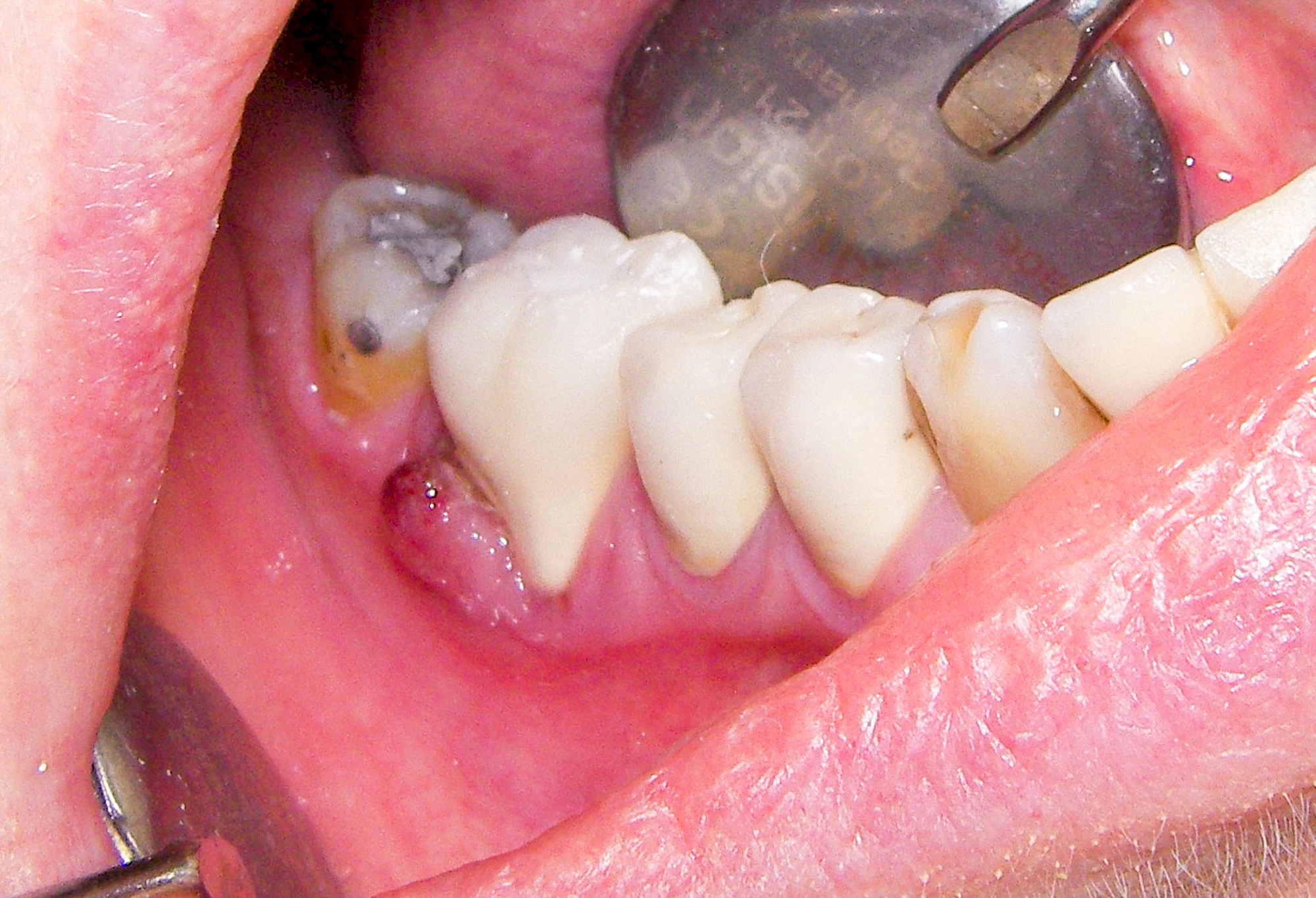
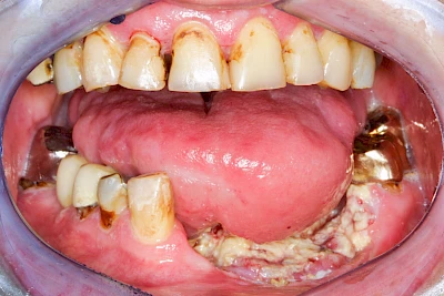
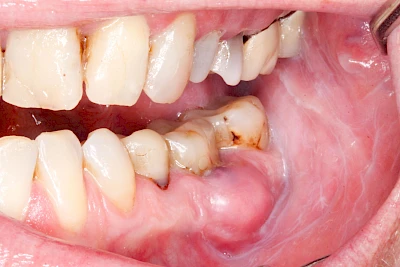
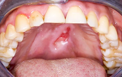
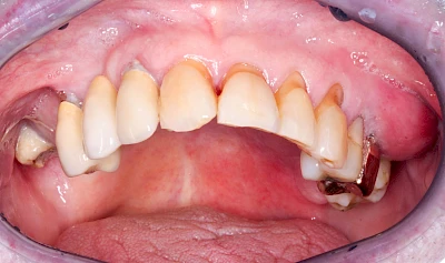
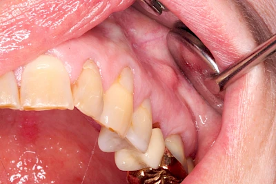
Schwellung ohne Eiter (kugelförmig)
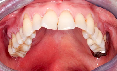
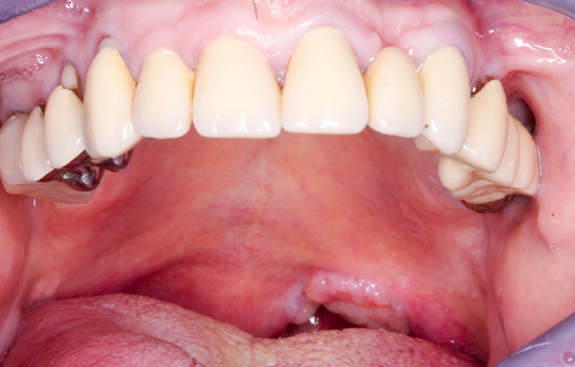
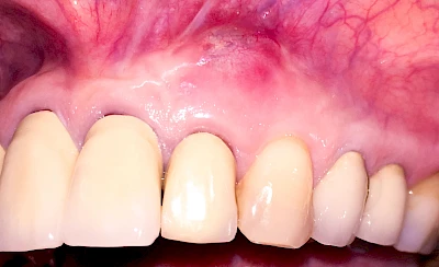
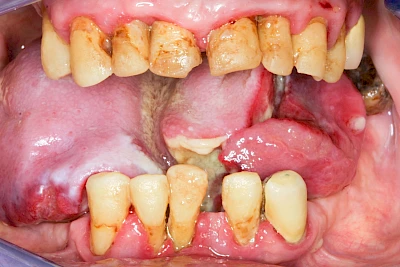
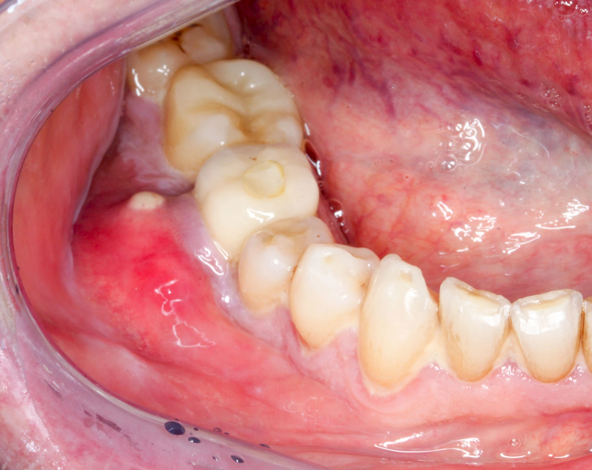
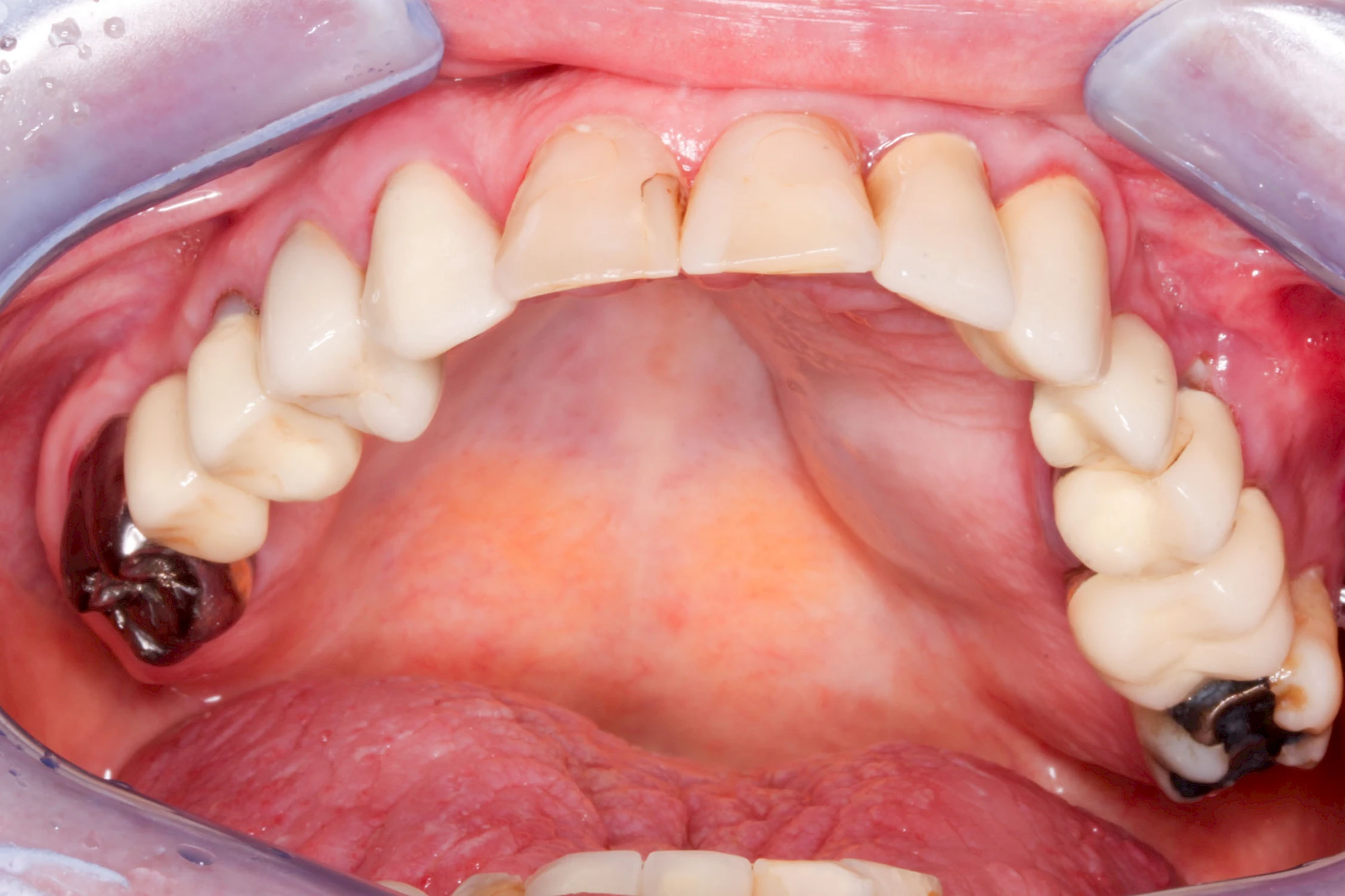
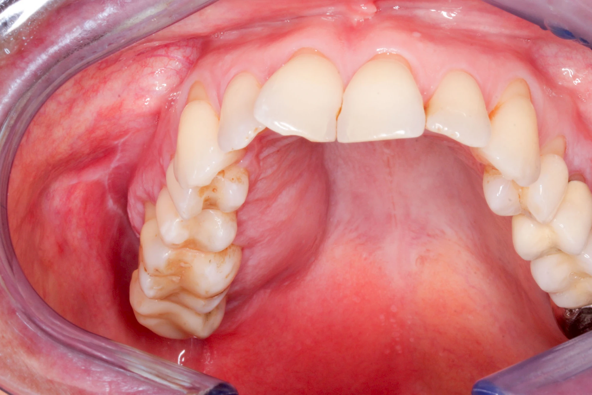
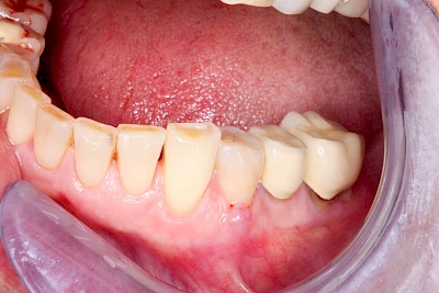
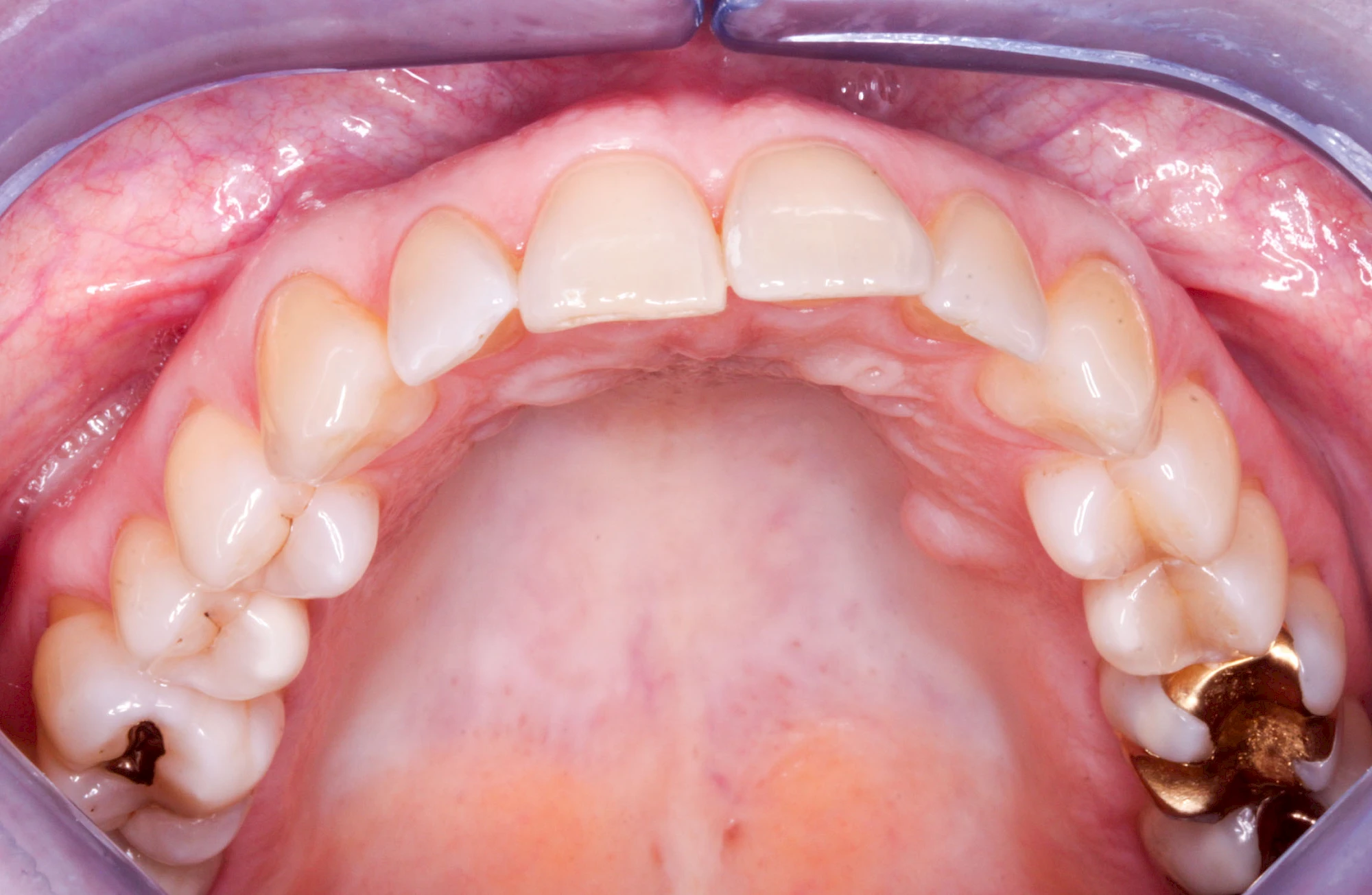
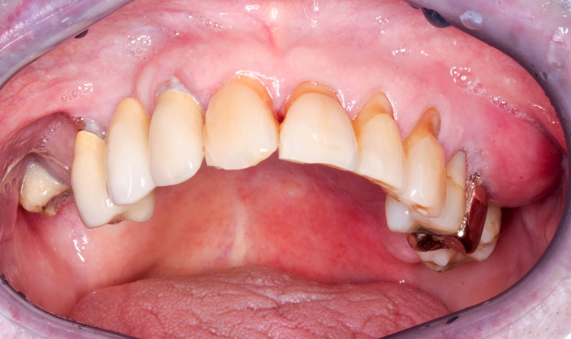
Demgegenüber entstehen Auftreibungen der Weichgewebe in Folge mechanischer Dauerreize (Reizfibrom) langsam über Wochen, Monate oder Jahre. Auch Gewohnheiten (Wangensaugen, Lippenbeißen) mit geringem Druck können als Dauerreiz in der Folge zu einer Wucherung der Weichgewebe führen. Fibrome werden nicht selten auch beobachtet in der Nähe einzelner fehlender Zähne – die Lippen oder Wangen beginnen dann, diesen Raum "aufzufüllen" (Vakatwucherung). Reizfibrome sind meist "kugelartig".
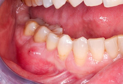
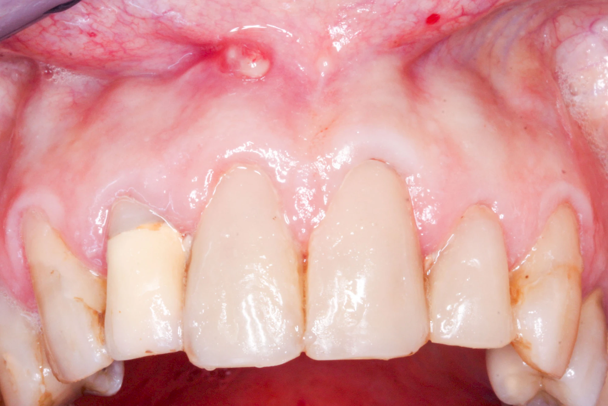
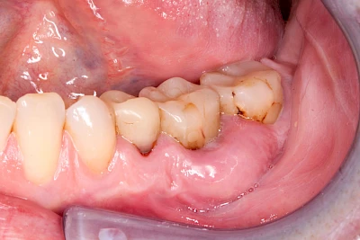
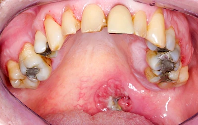
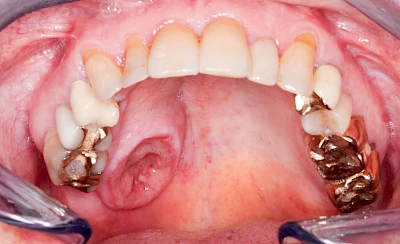
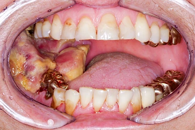
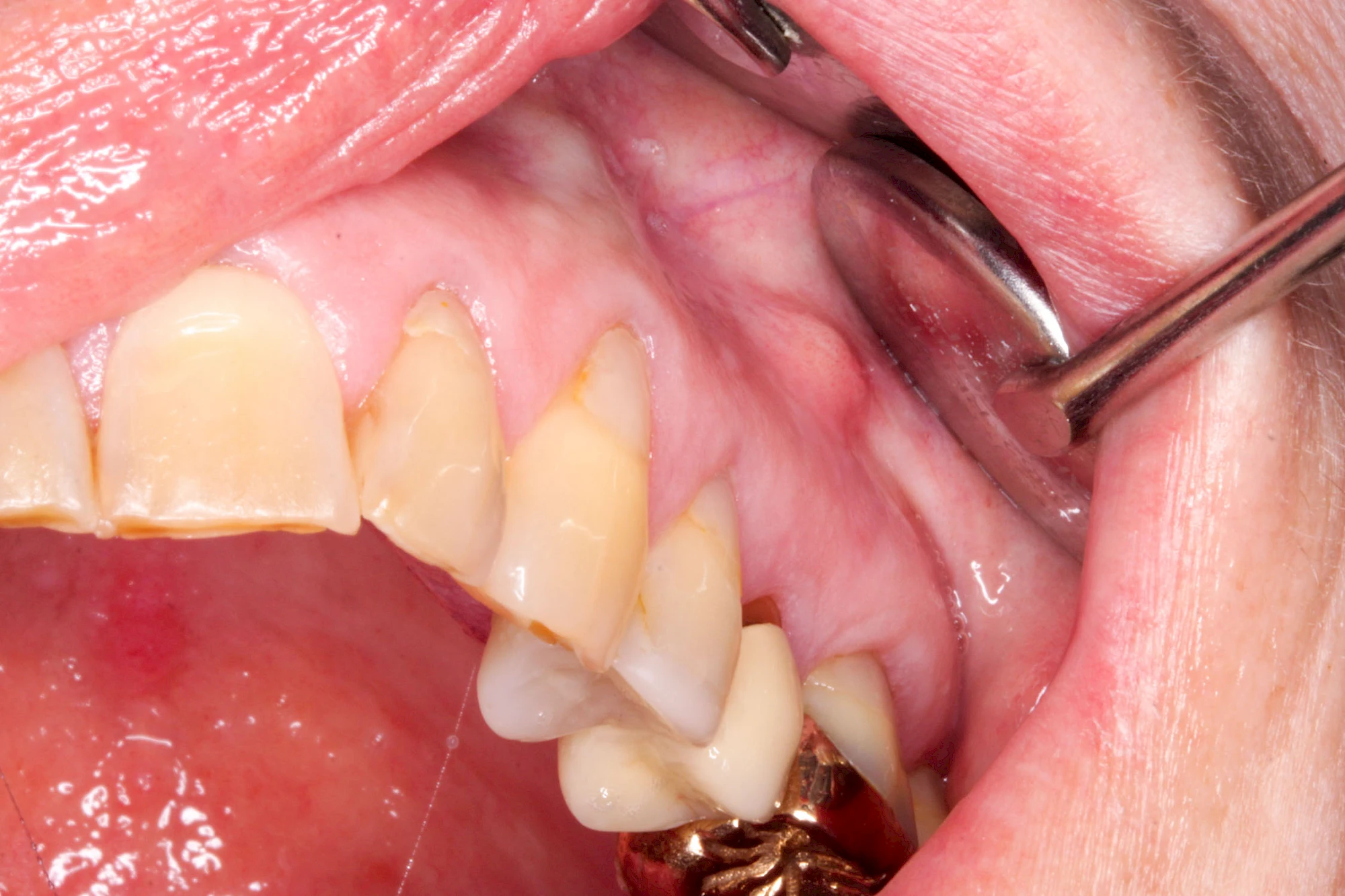
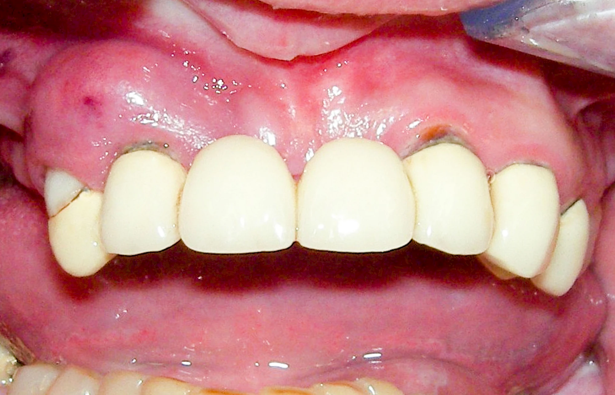
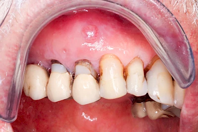
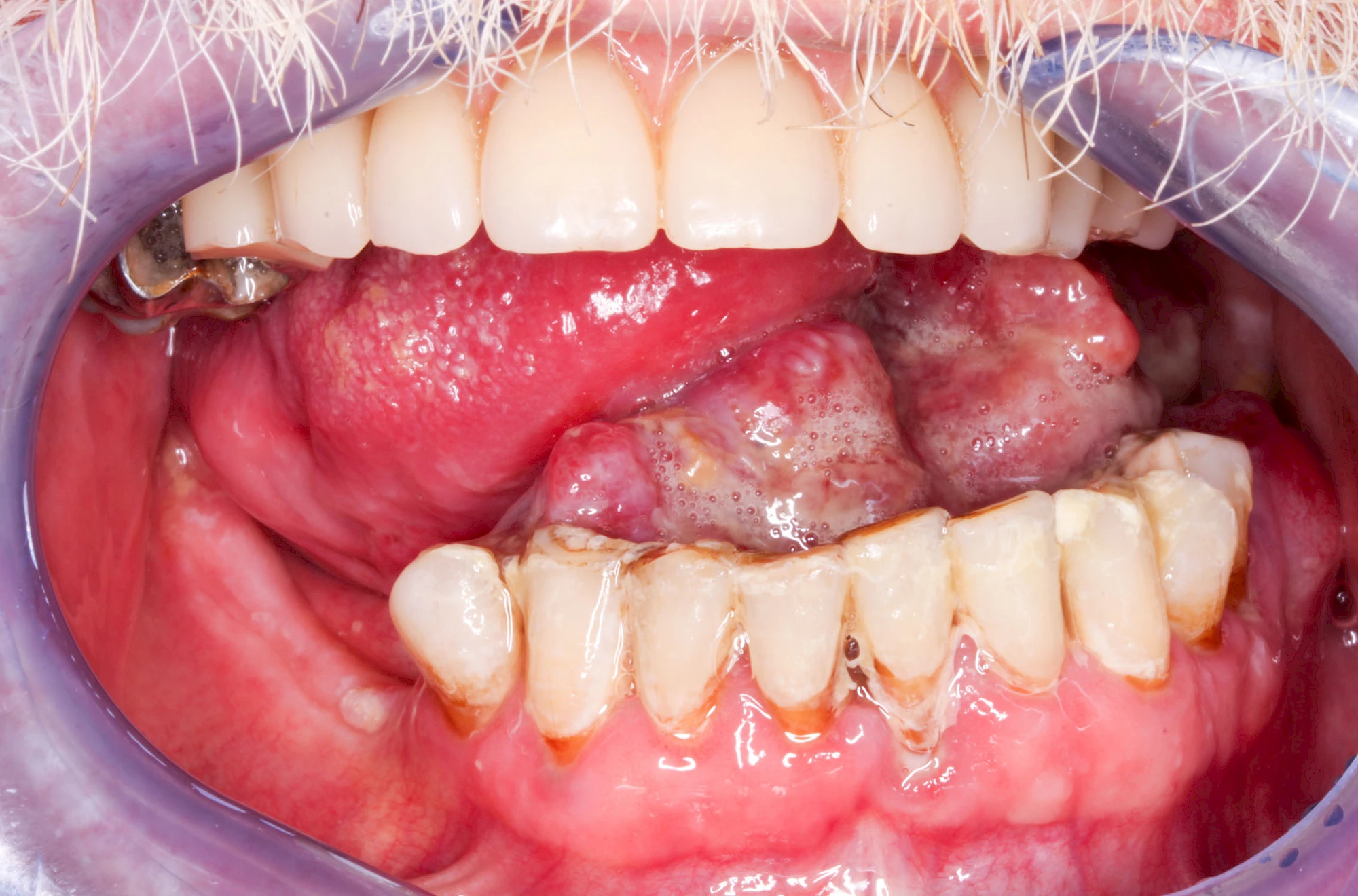
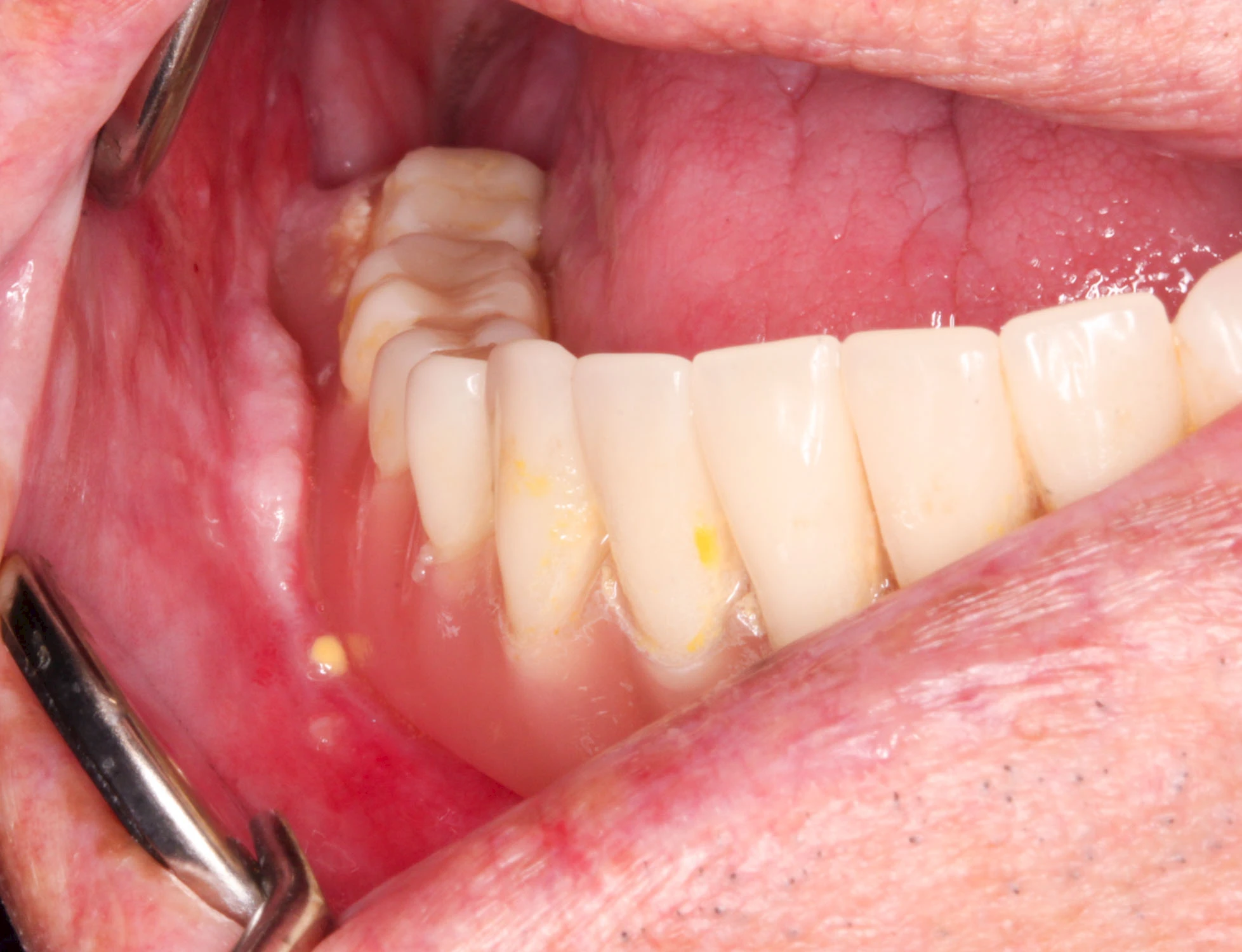
Schwellung ohne Eiter (faltenförmig)
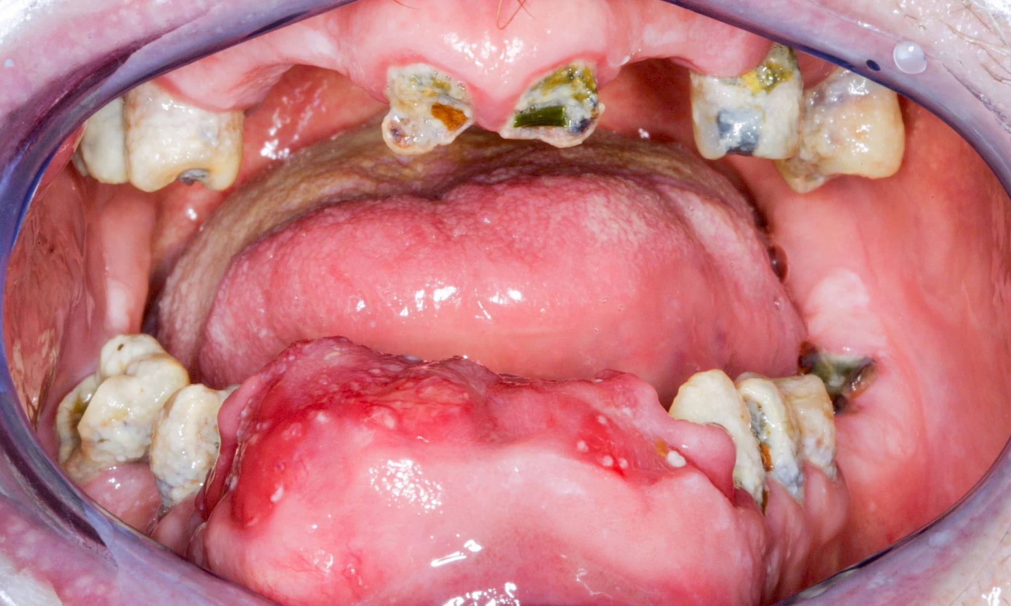
Als Sonderform des Reizfibroms können bei Zahnprothesen in den Randbereichen selten am Gaumen, häufiger außen in den Umschlagfalten in Ober- und Unterkiefer auch lappenartige Auffaltungen (Lappenfibrome) beobachtet werden, die ebenfalls aufgrund eines mechanischen Dauerreizes entstehen. Alle diese Veränderungen sind in der Regel eher wenig schmerzhaft – auch wenn man darauf drückt. Hier sollte zeitnah mit einem Zahnarzt eine Abklärung erfolgen.
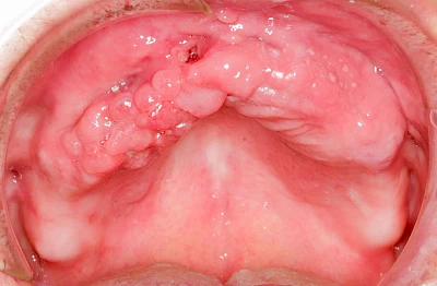
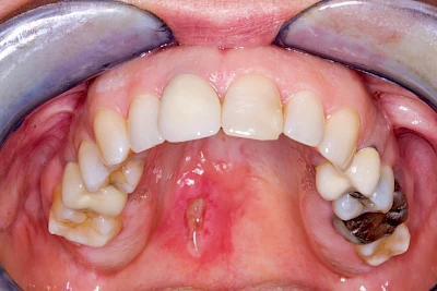
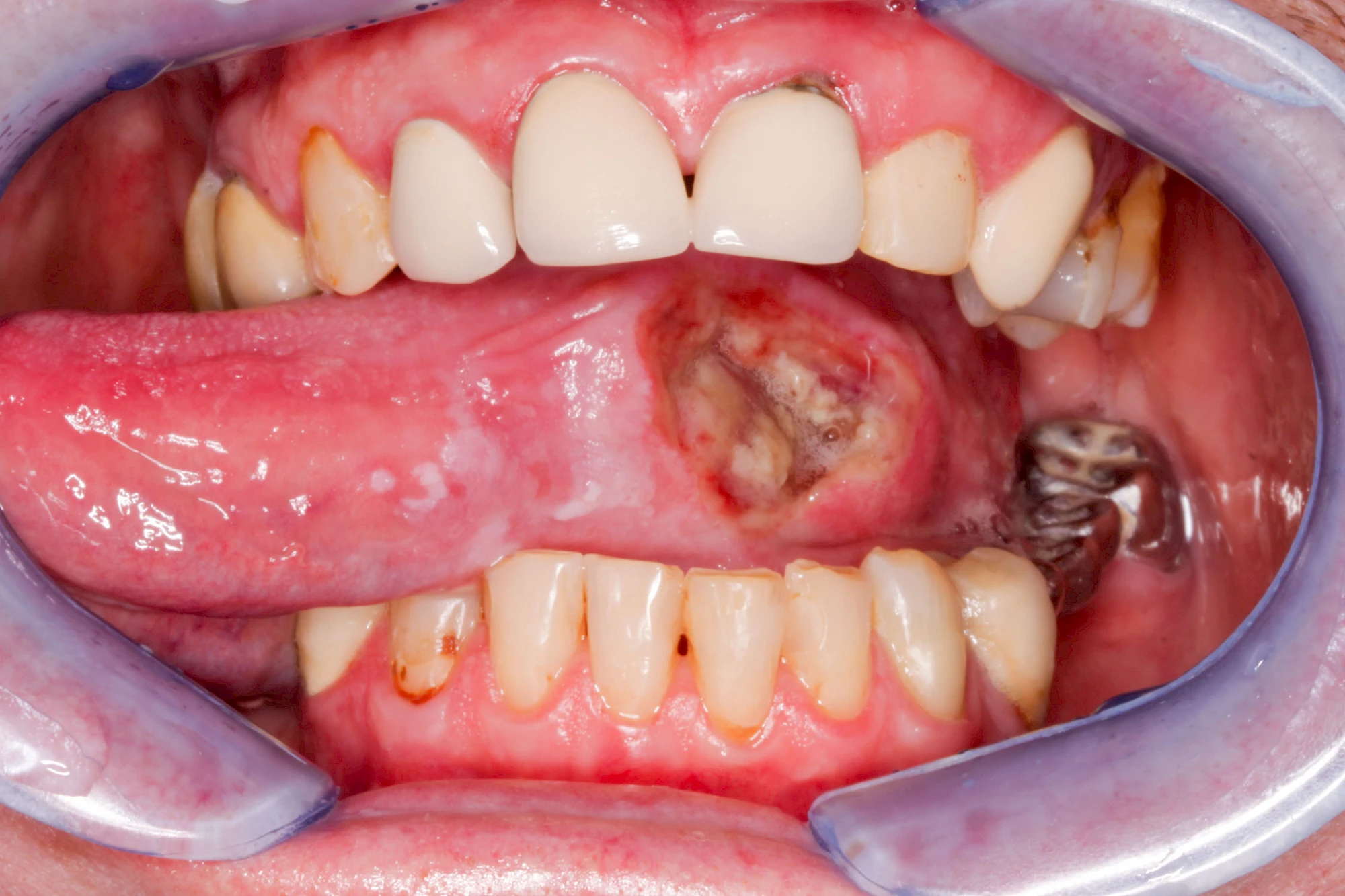
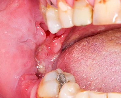
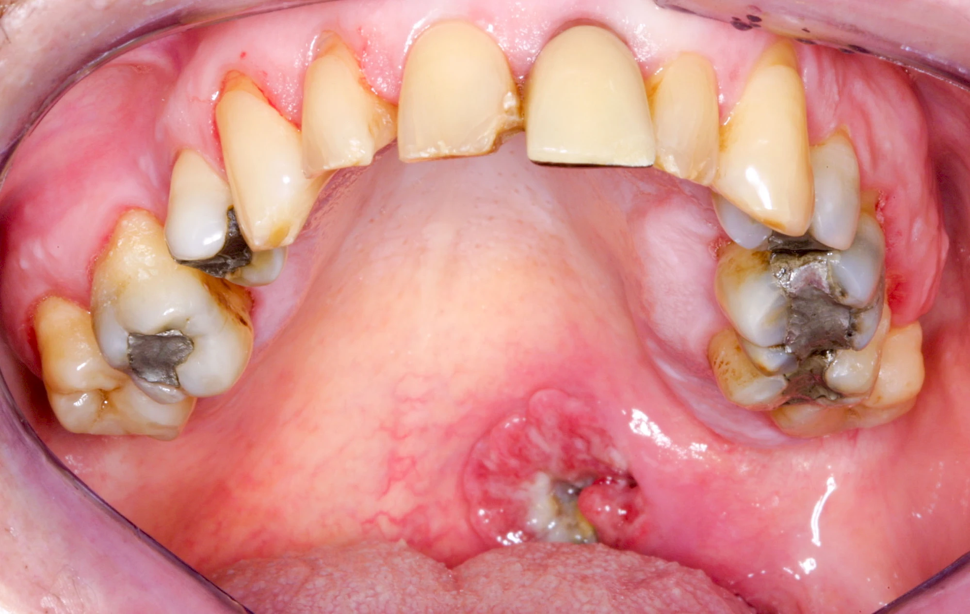
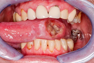
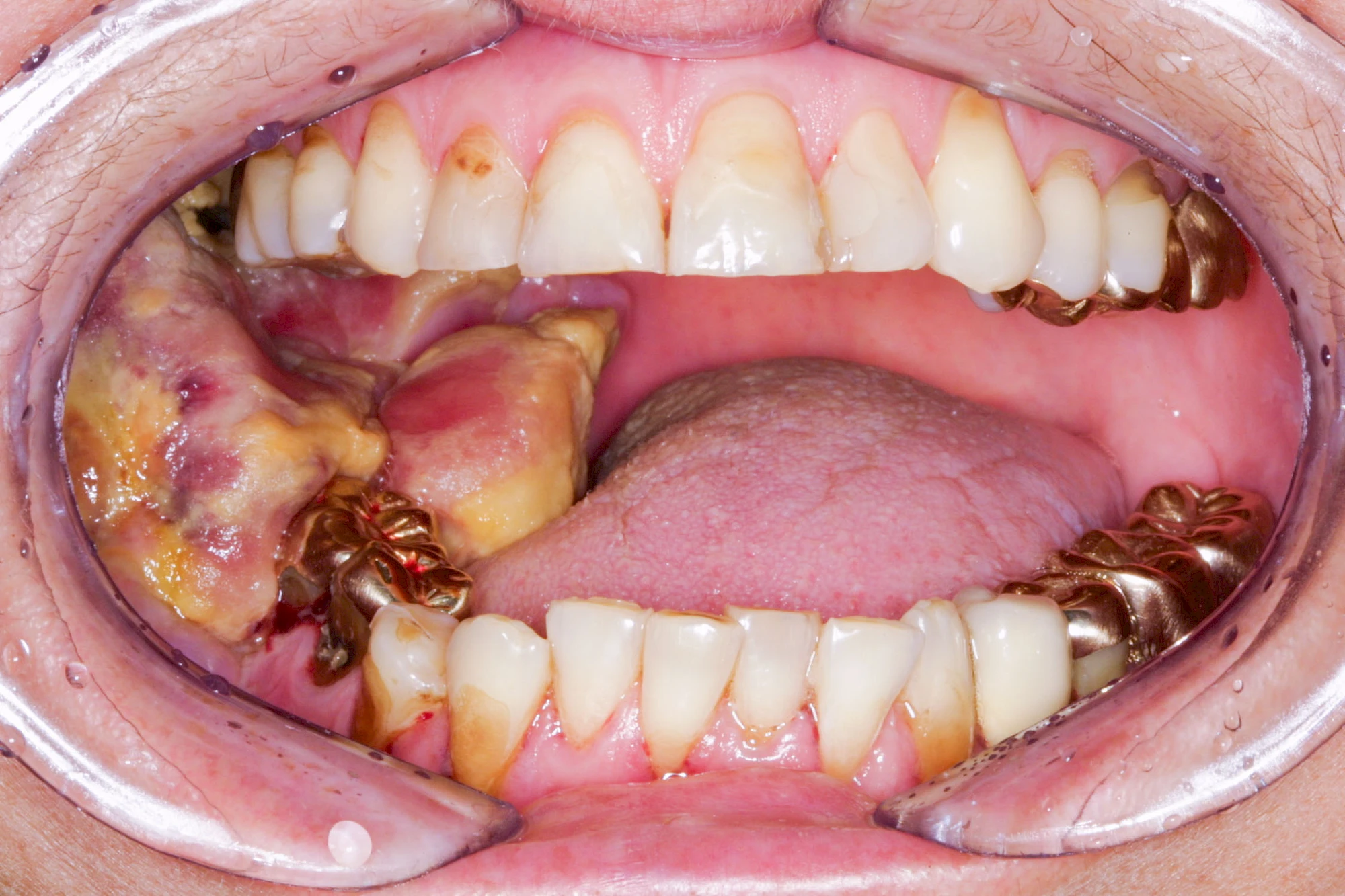
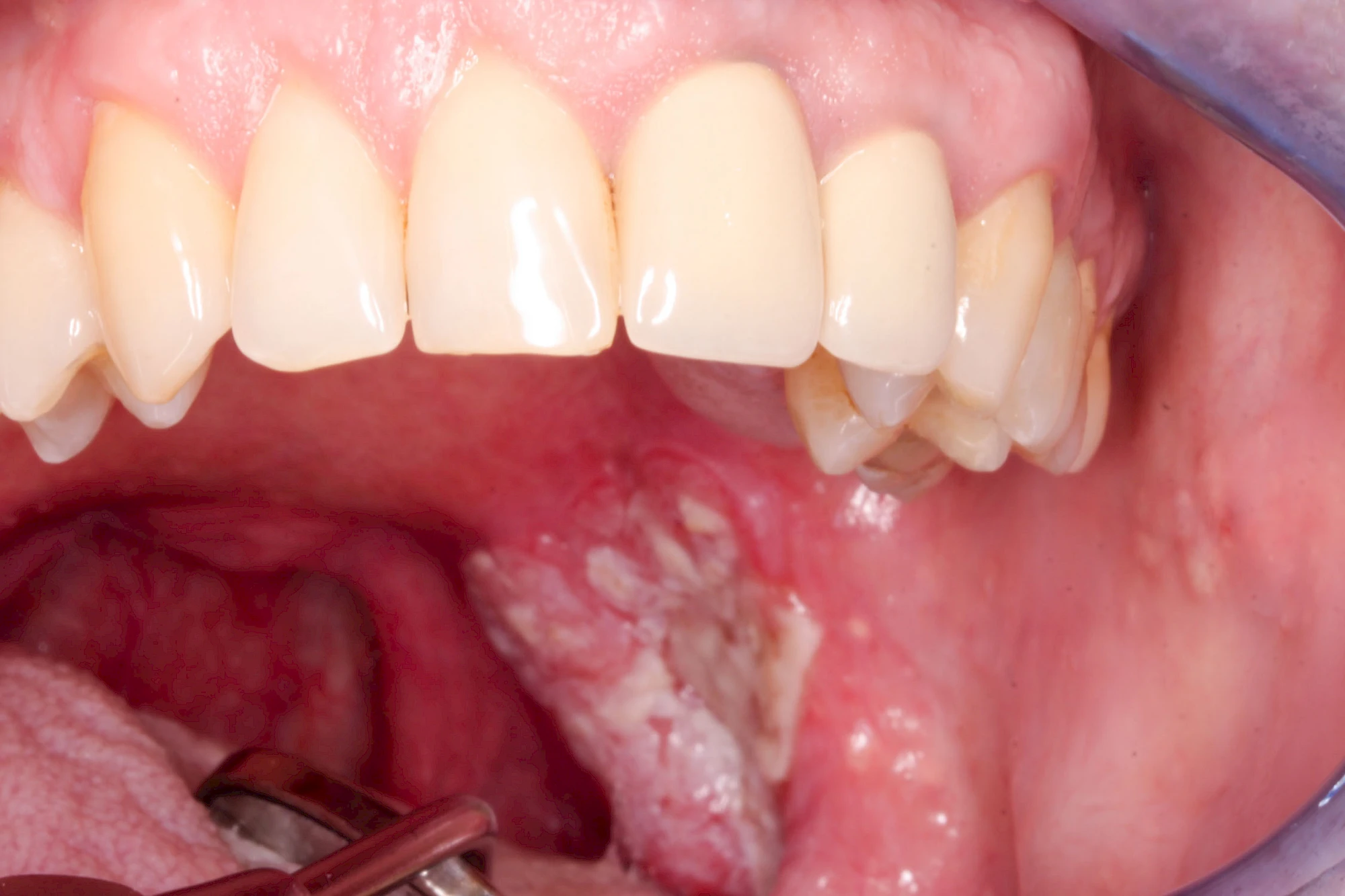
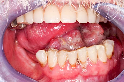
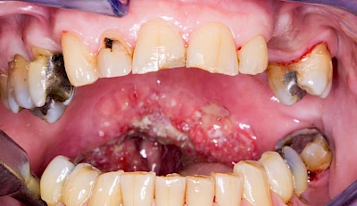
Einschmelzung & Geschwür
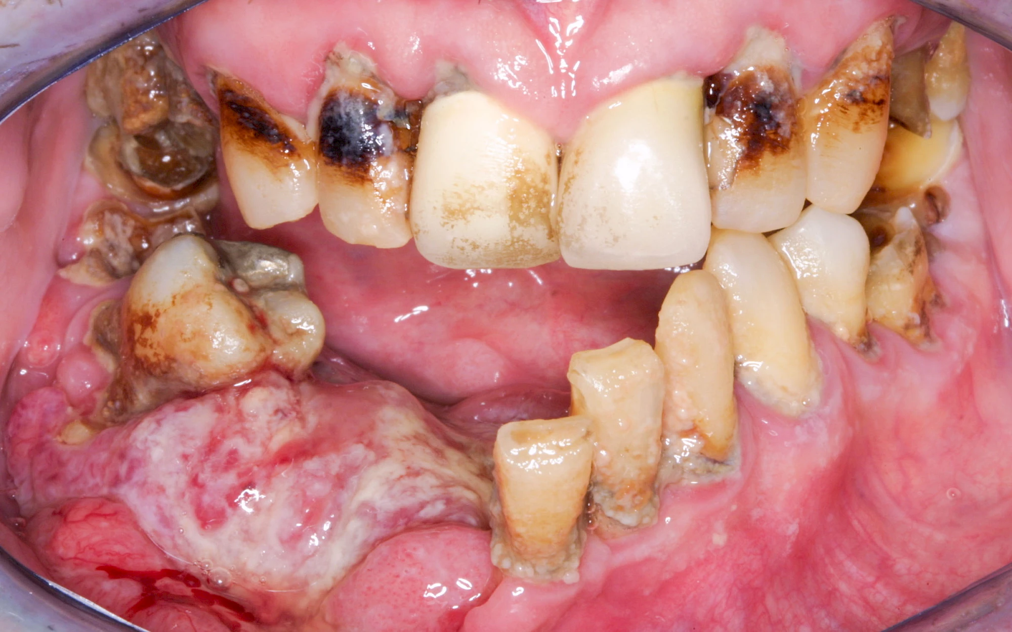
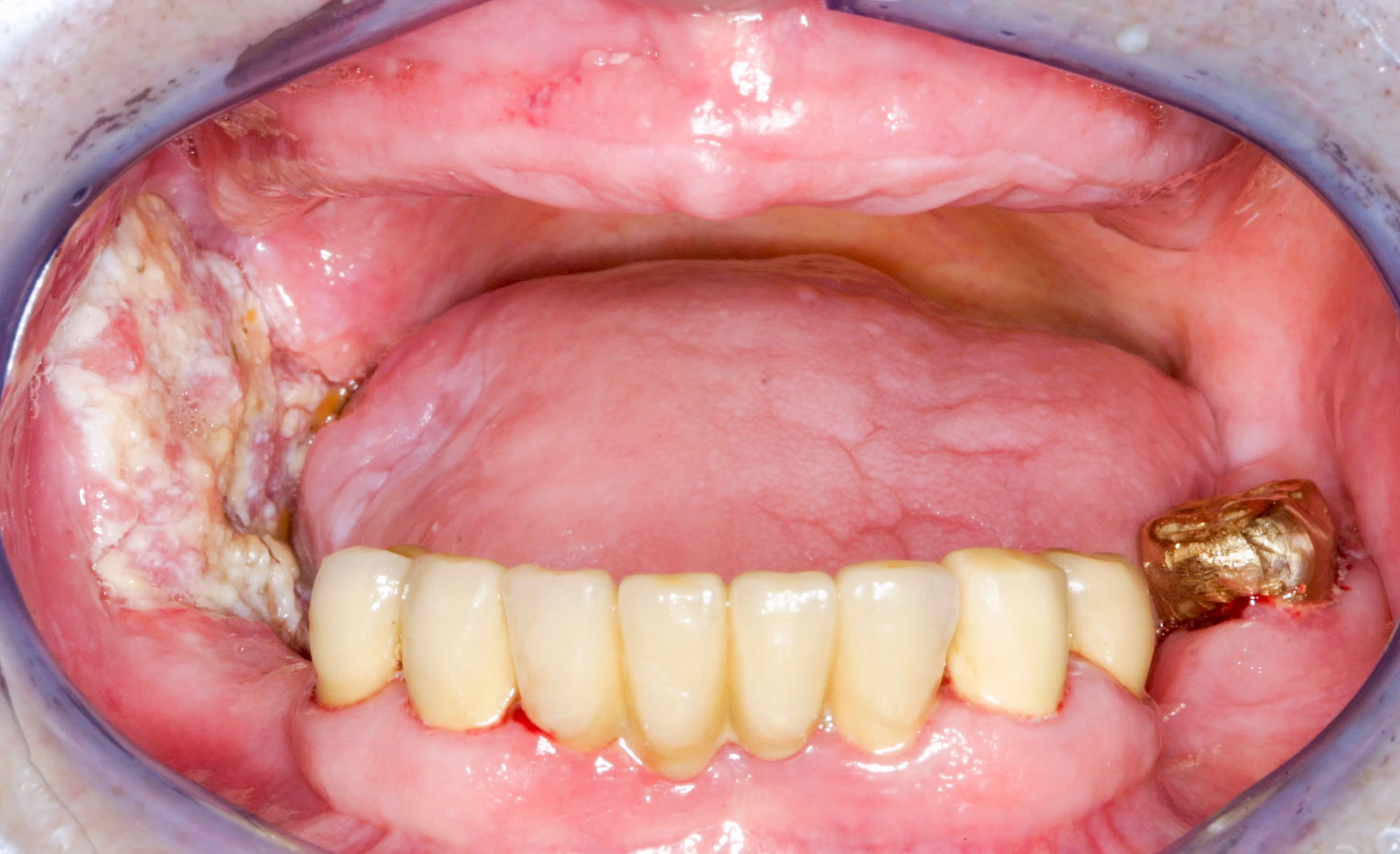
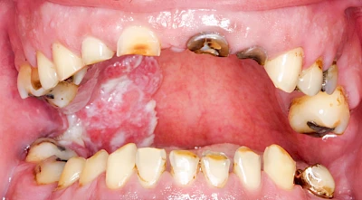
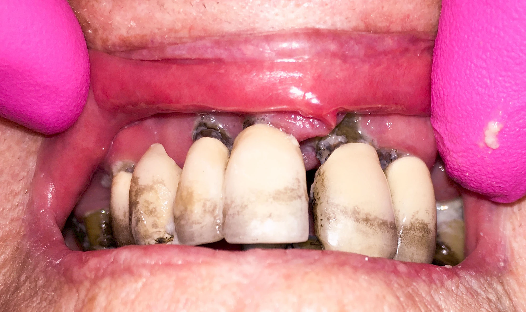
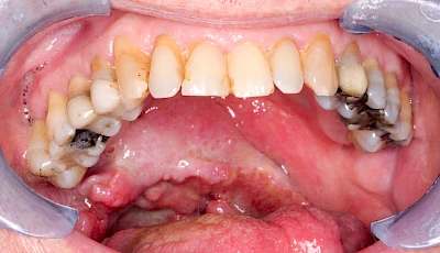
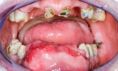
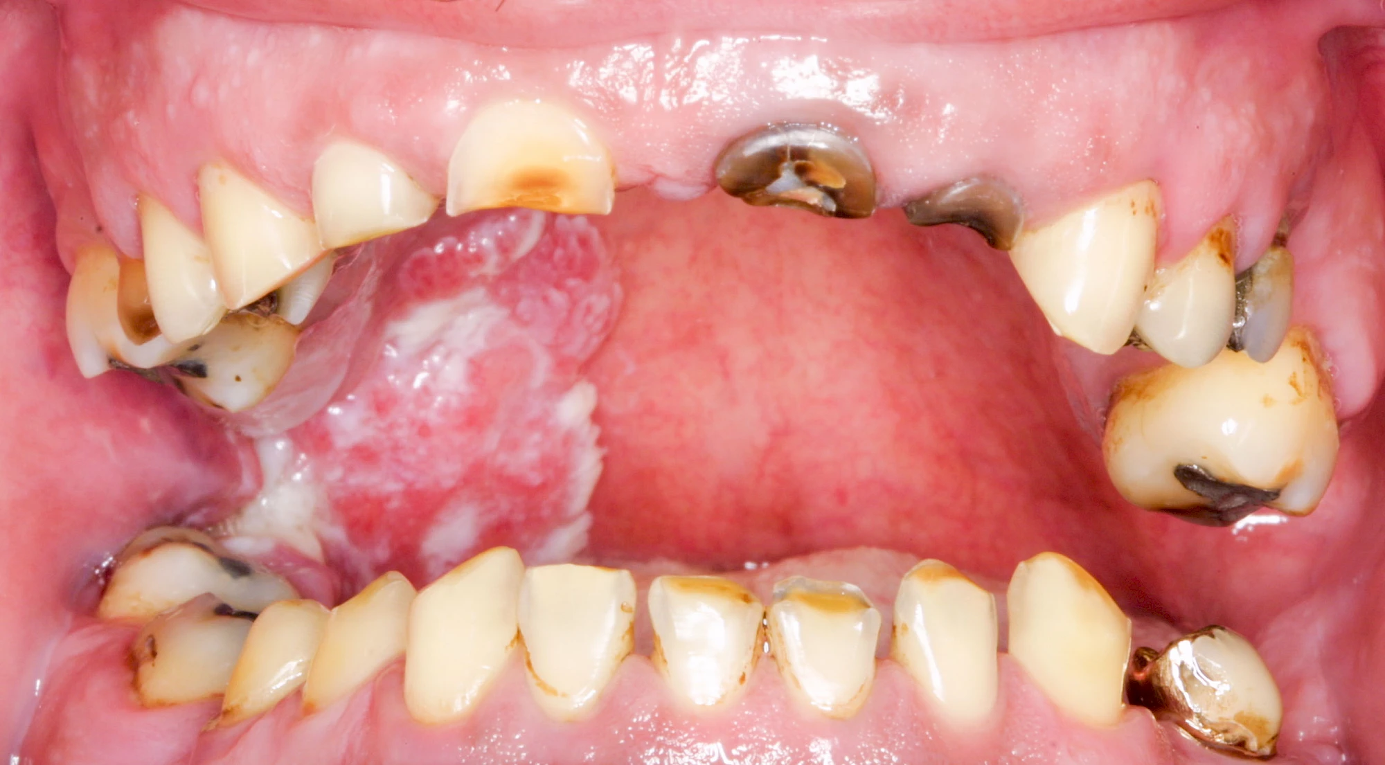
Das Risiko für Krebs der Mundhöhlen-Schleimhäute ist bei Menschen, die jahrelang übermäßig viel (Abusus) geraucht und erst recht lange übermäßig viel Alkohol getrunken haben, stark erhöht. Die Schleimhäute sehen dann aus wie "wildes Fleisch" – entweder mit blumenkohlartigen Auftreibungen oder aber es zeigen sich großflächige ungleichmäßig geformte Defekte und Einschmelzungen. Man spricht dann auch von einem Geschwür (Ulcus).
Entsteht der Krebs eher in tieferliegenden Schichten (z. B. im Bereich der Speicheldrüsen), sind die Auffälligkeiten nicht so deutlich. Hier fallen eher Seitenunterschiede links und rechts im Bereich der Mundhöhle auf. Auch plötzlich auftretendes und wiederholtes Nasenbluten, Einschränkungen der Atmung durch die Nase können Anzeichen für einen Tumor im Bereich der Nasen- oder Kieferhöhle sein.
Selten können auch Fibrome oder Druckstellen bei Zahnprothesen, wenn diese nicht erkannt und behandelt werden, in "wildes Fleisch" übergehen und hin zu bösartigen Tumoren entarten.
Bei allen diesen Auffälligkeiten ist eine sofortige (zahn-)ärztliche Abklärung zu veranlassen.
Weitere Informationen zu Therapiestrategien bei Tumorerkrankungen sowie zu pflegerischen Begleitmaßnahmen finden Sie hier.
Diese Seite wurde zuletzt am 25.08.2025 geändert.