
- Startseite >
- >
- Zahnärztliche Versorgungen >
- Zahnimplantate
Zahnimplantate
Zahnärztliche Versorgungen
Was ist ein Zahnimplantat? Wie ist ein Zahnimplantat aufgebaut? Welche Möglichkeiten zum Zahnersatz bieten Implantate?
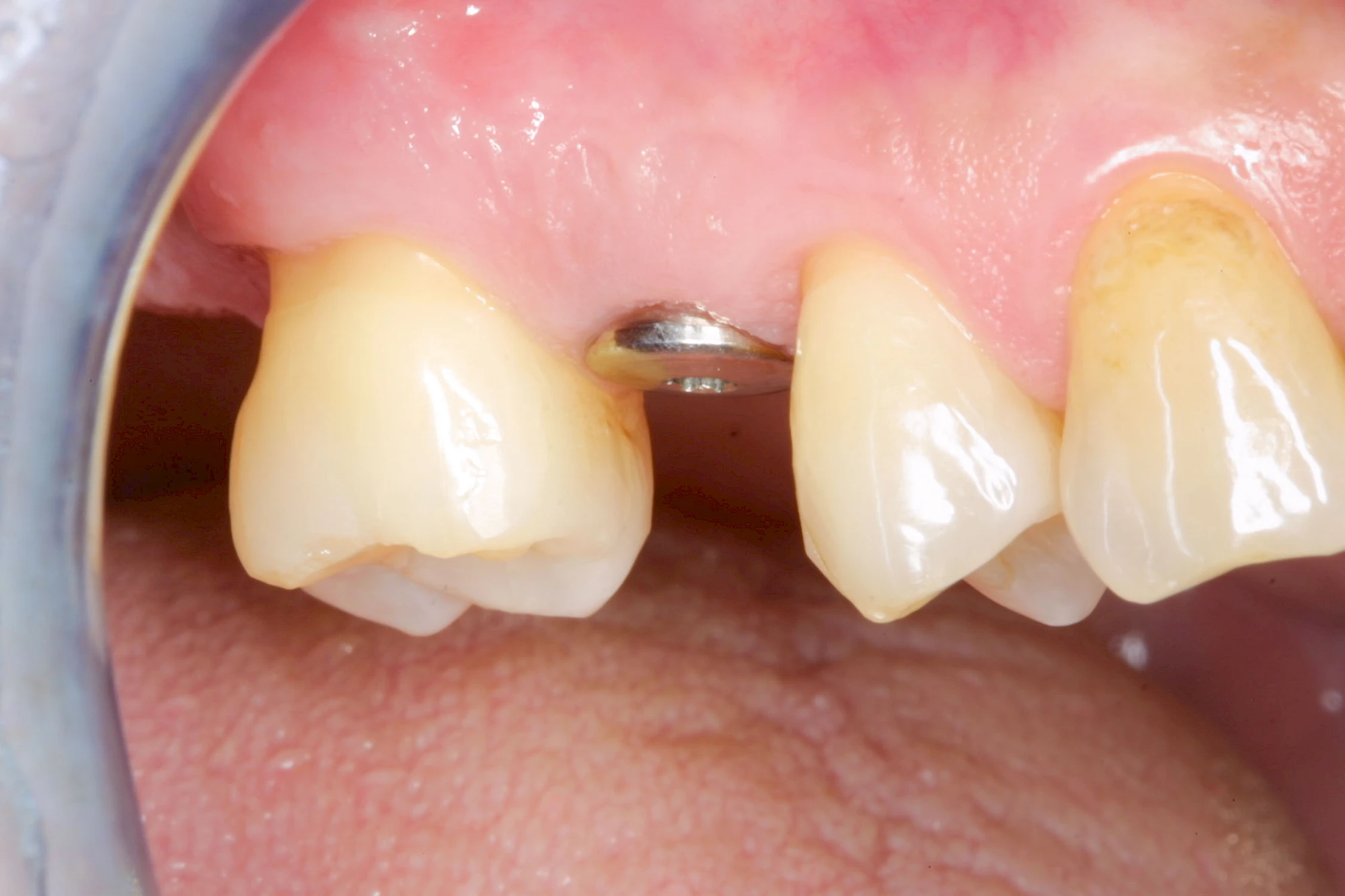
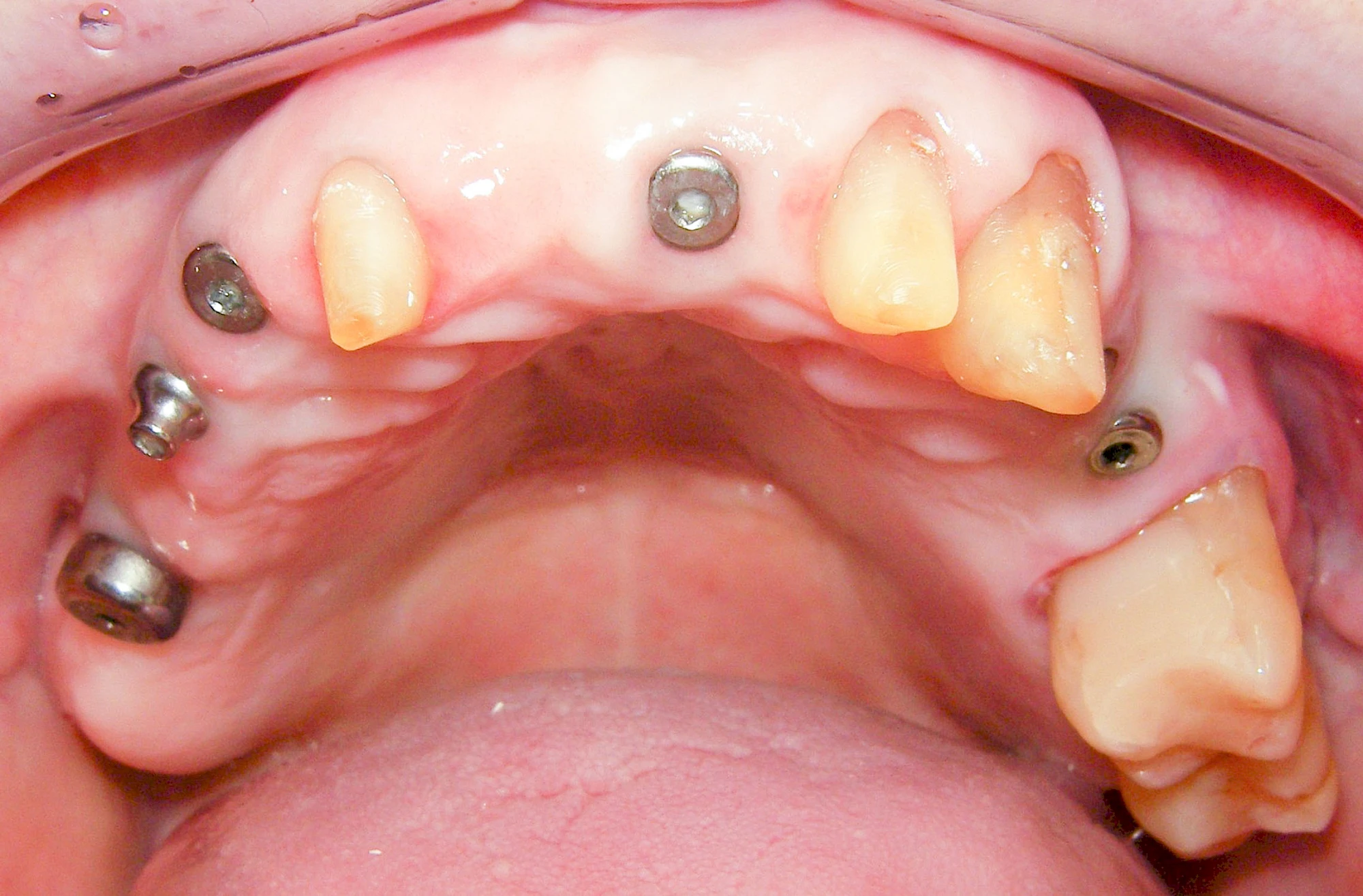
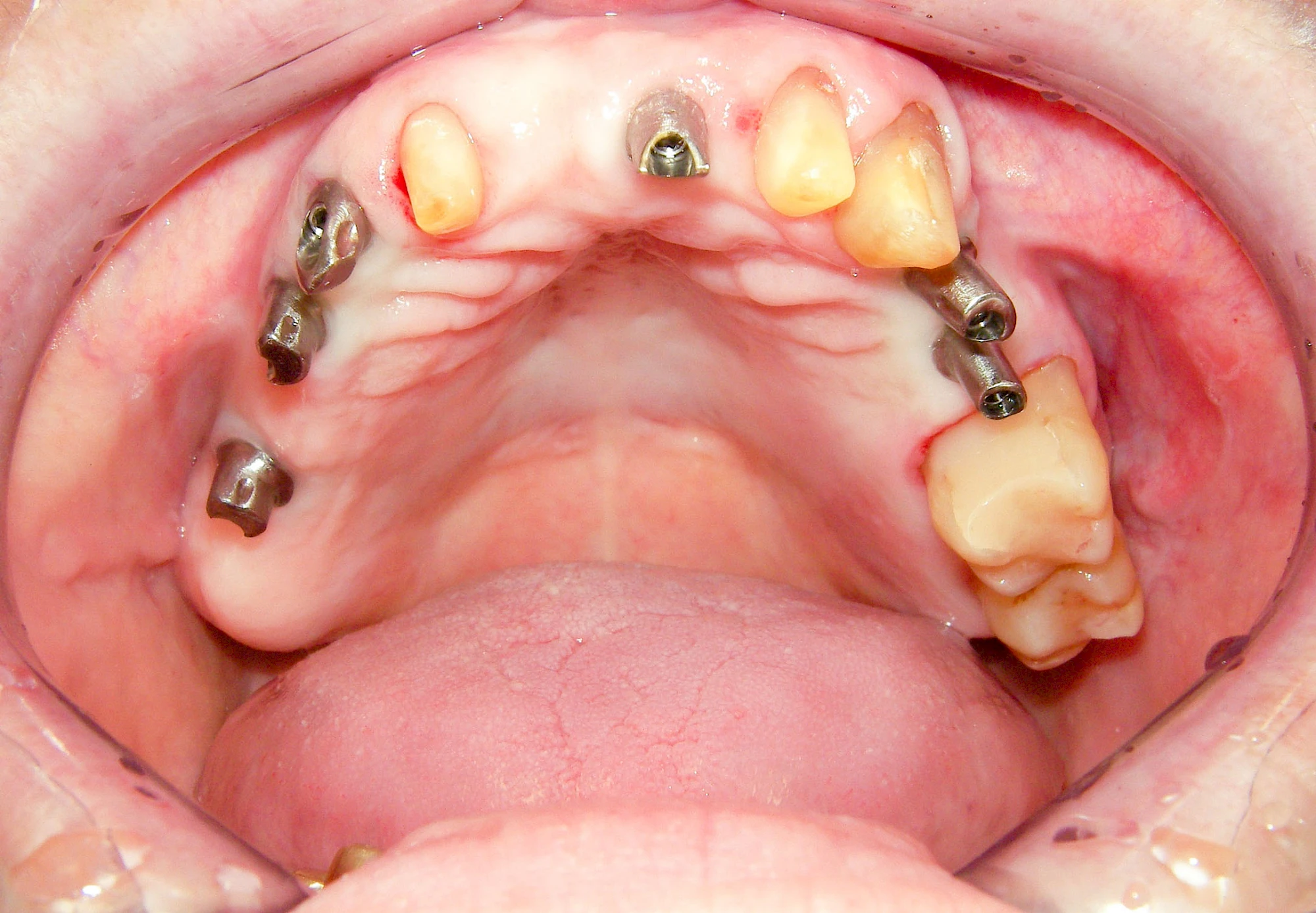
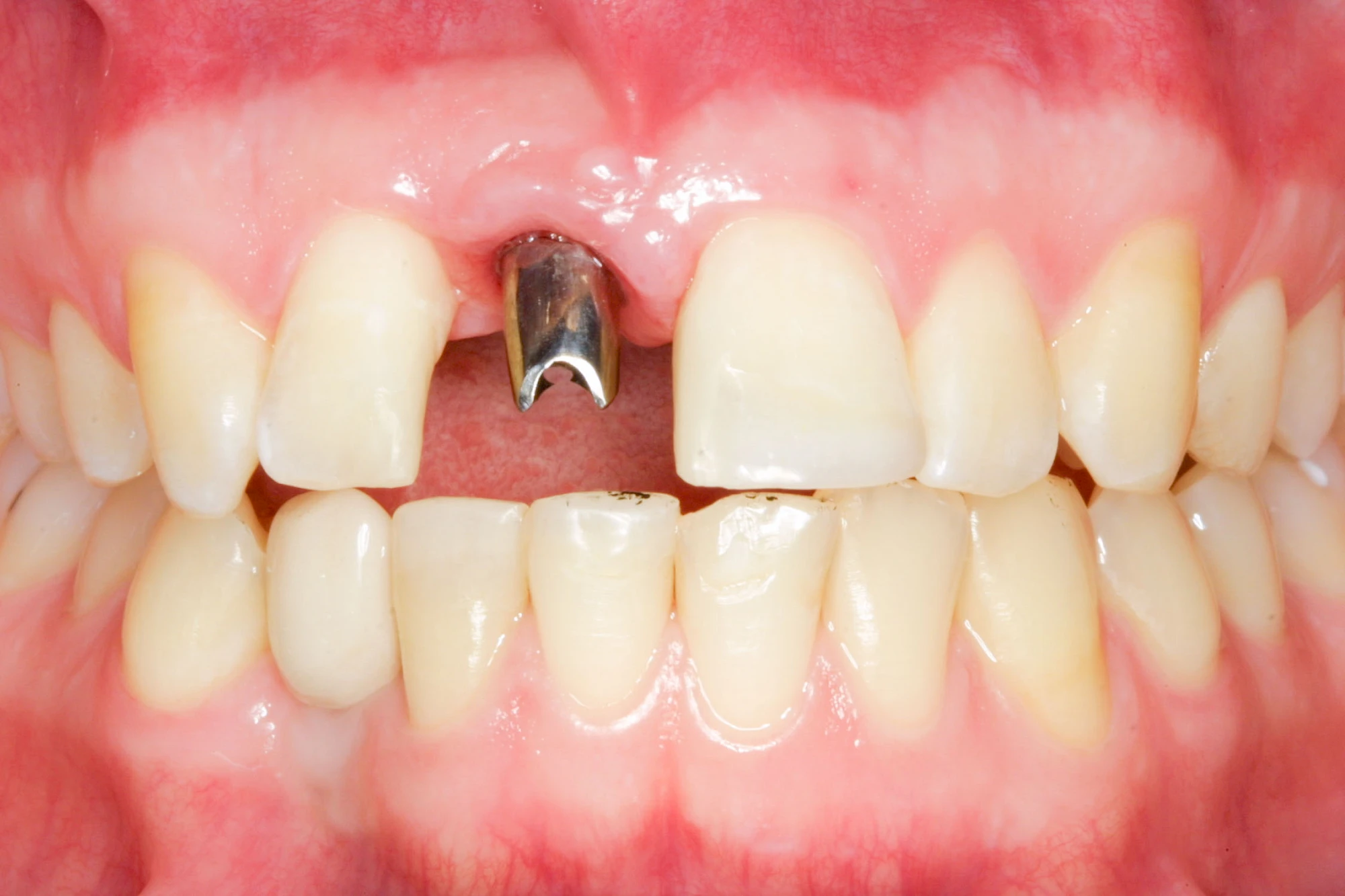
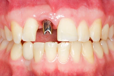
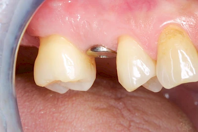
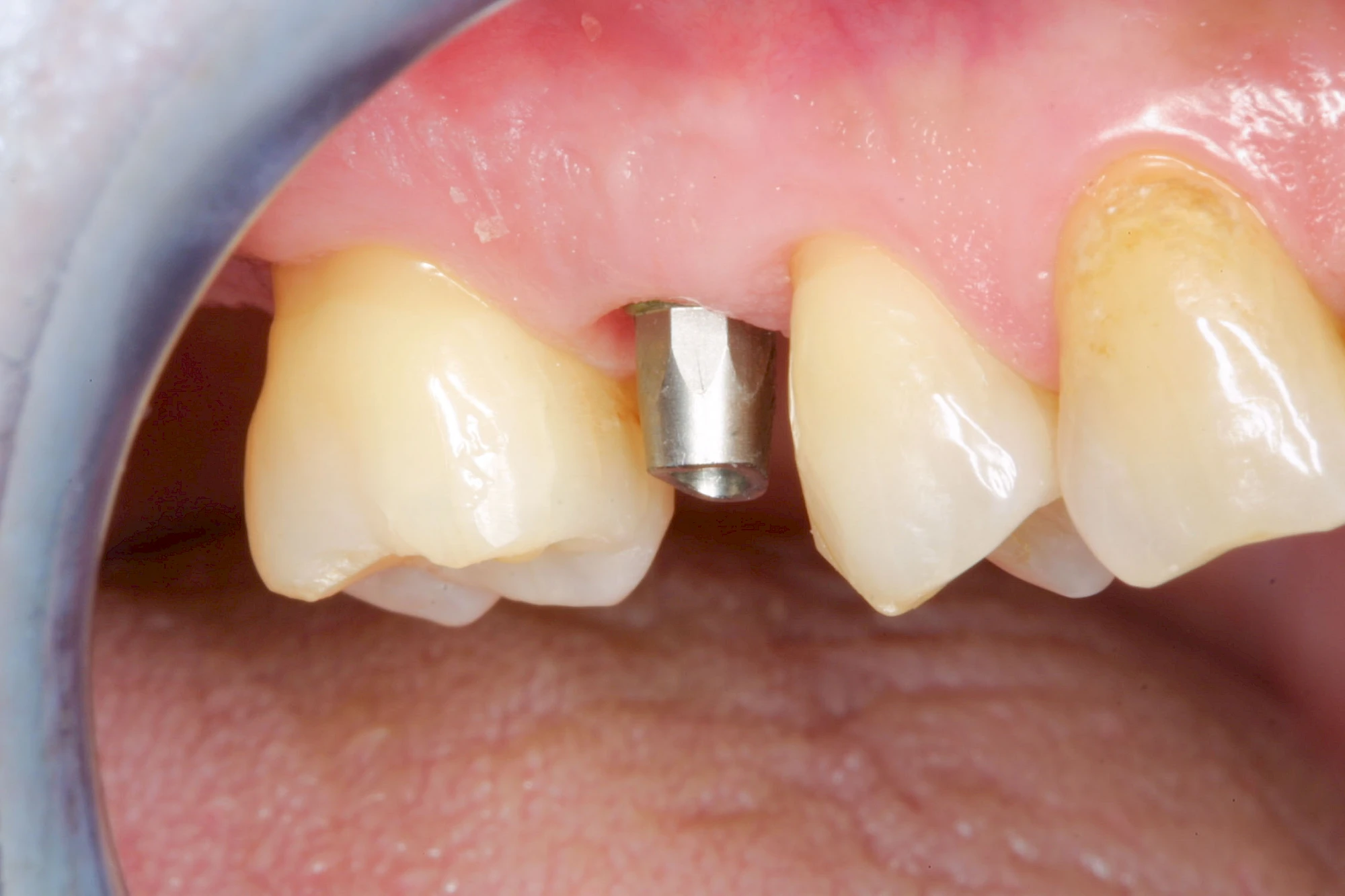
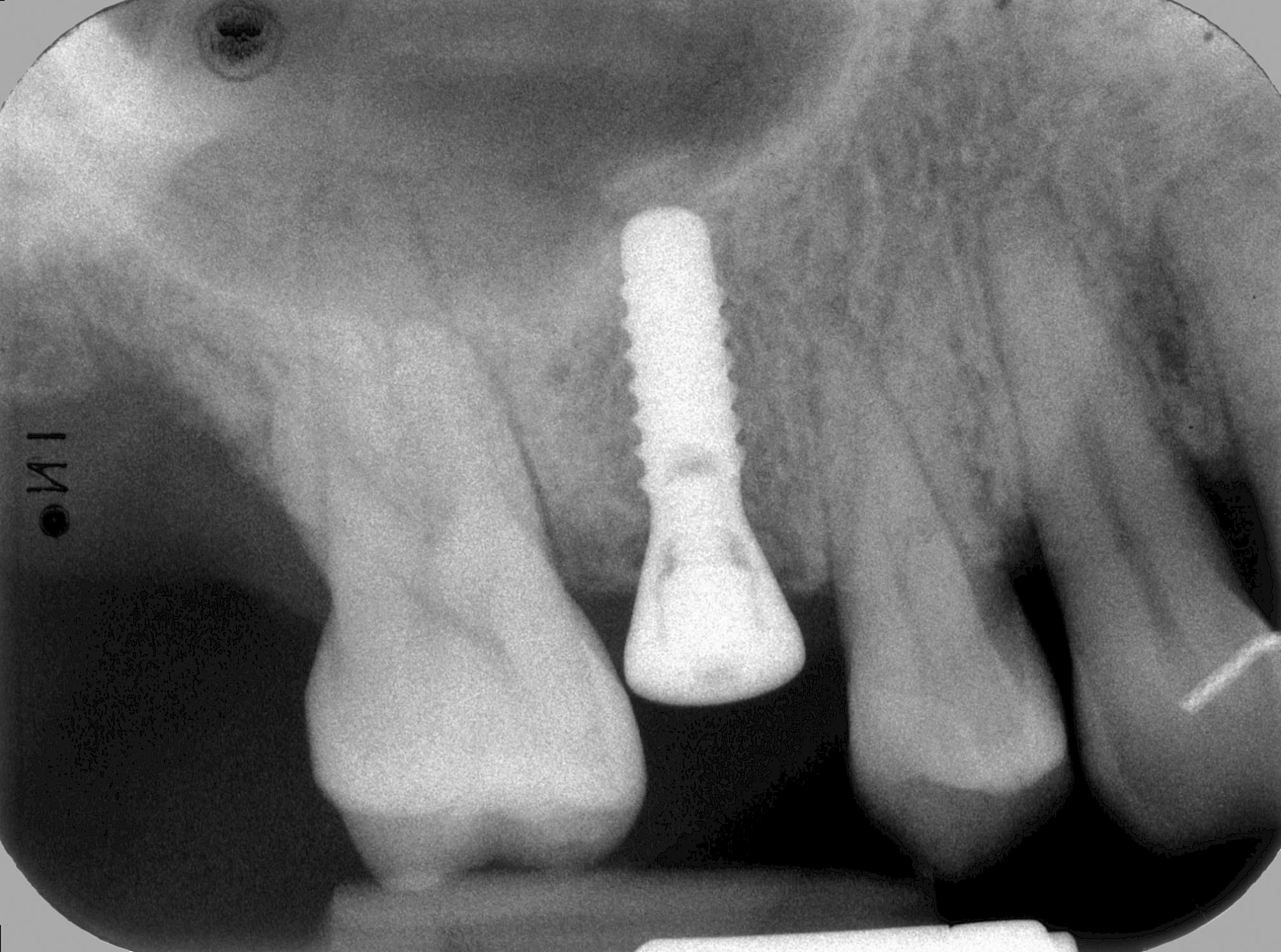
Implantate: Bestandteile
Implantate sind künstliche Zahnwurzeln. Nach einer gewissen Einheilzeit im Knochen (meist 3-6 Monate) erfolgt über einen separaten Aufbau (Abutment) die Befestigung einer Krone bzw. Brücke oder Zahnprothese.
Implantate haben im Gegensatz zu den eigenen Zähnen keine natürliche Abwehr und müssen deshalb besonders sorgfältig gepflegt werden.
Meist kommen als Materialien für Zahnimplantate Titanlegierungen oder zunehmend auch keramische Werkstoffe zum Einsatz.
In seltenen Fällen sind Implantate samt Aufbau aus einem Stück gefertigt. Auch gibt es Situationen, die ein Früh- oder sogar eine Sofortbelastung erlauben – dann kann die Einheilzeit der Implantate in den Knochen verkürzt oder sogar gänzlich darauf verzichtet werden.
"Stiftzahn" und "Implantat" ist nicht dasselbe! Bei einem Stiftzahn wird die Zahnkrone mit einem Stift in die noch vorhandene eigene Zahnwurzel zementiert. Ein Implantat im Gegensatz dazu ist selbst die (künstliche) Zahnwurzel, die dann weiter mit einem Zahnersatz versorgt wird.
Implantate: Bestandteile
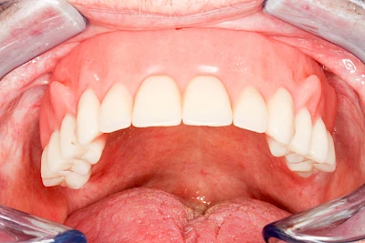
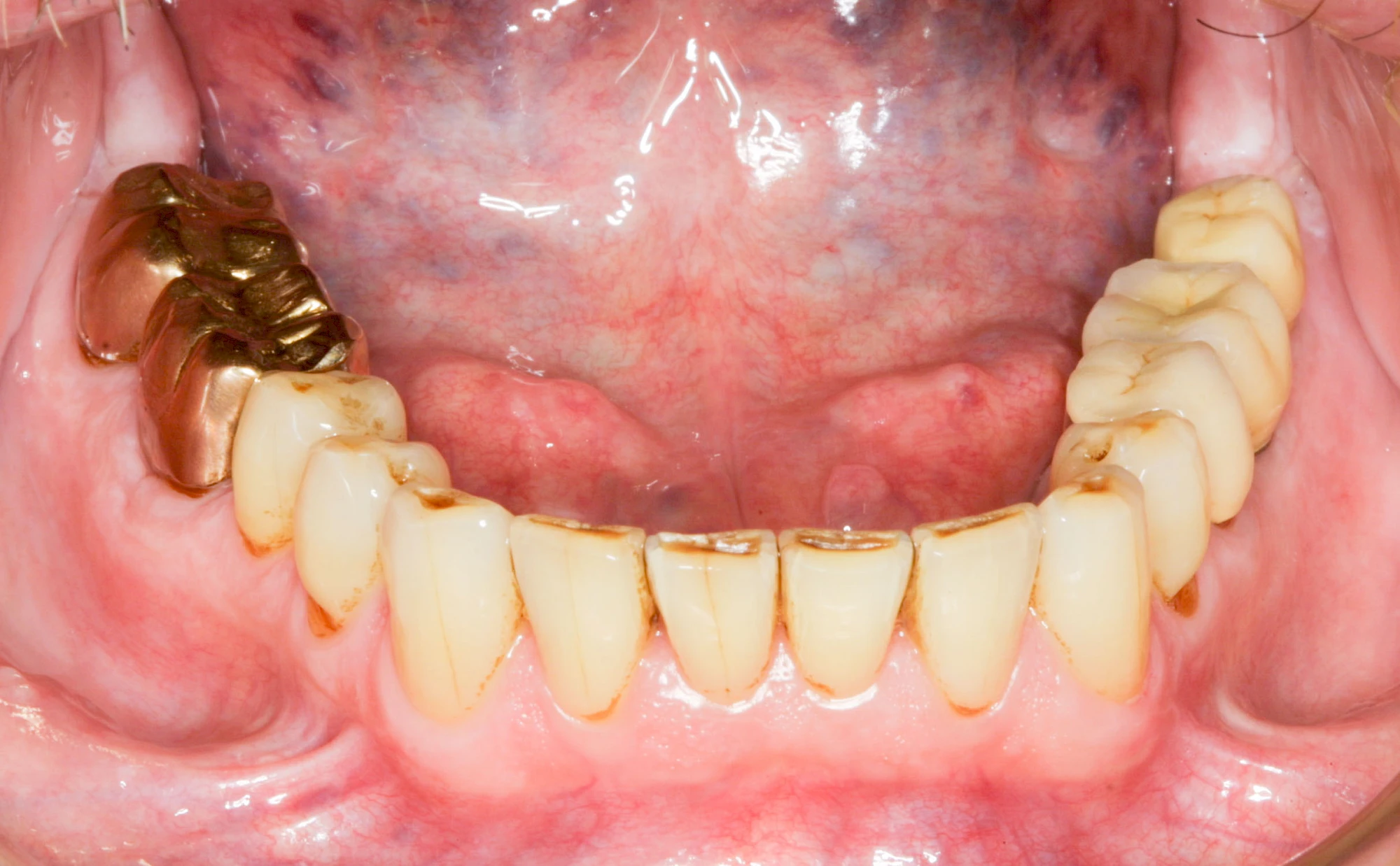
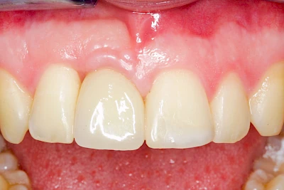
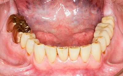
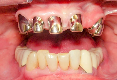
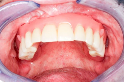
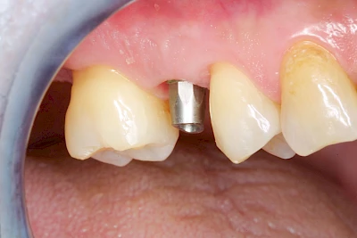
Implantate: Kronen & Brücken
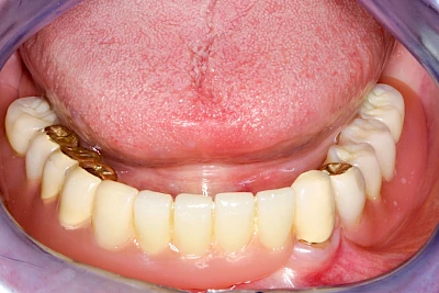
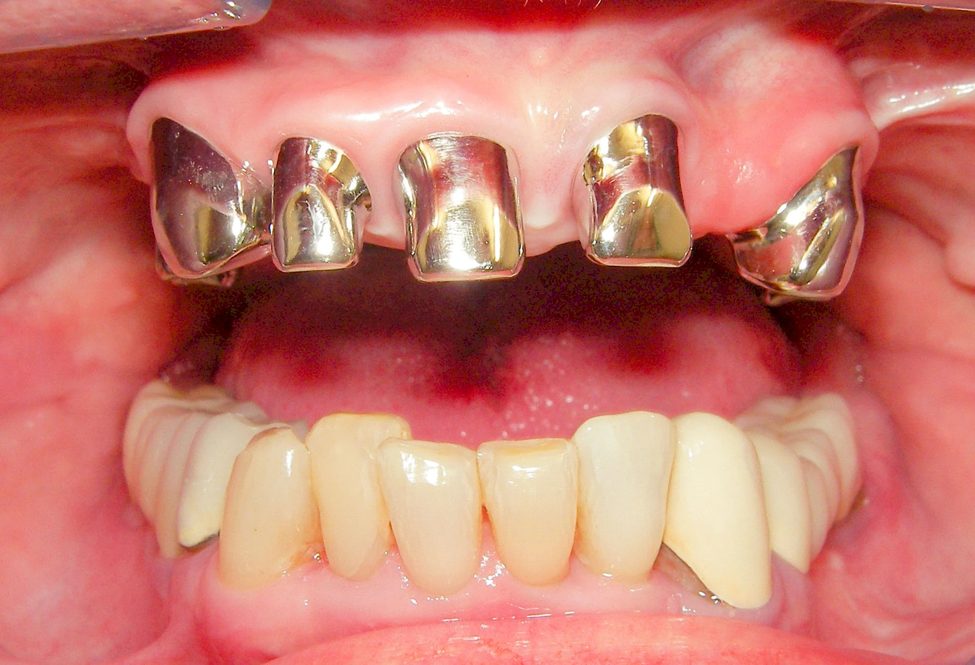
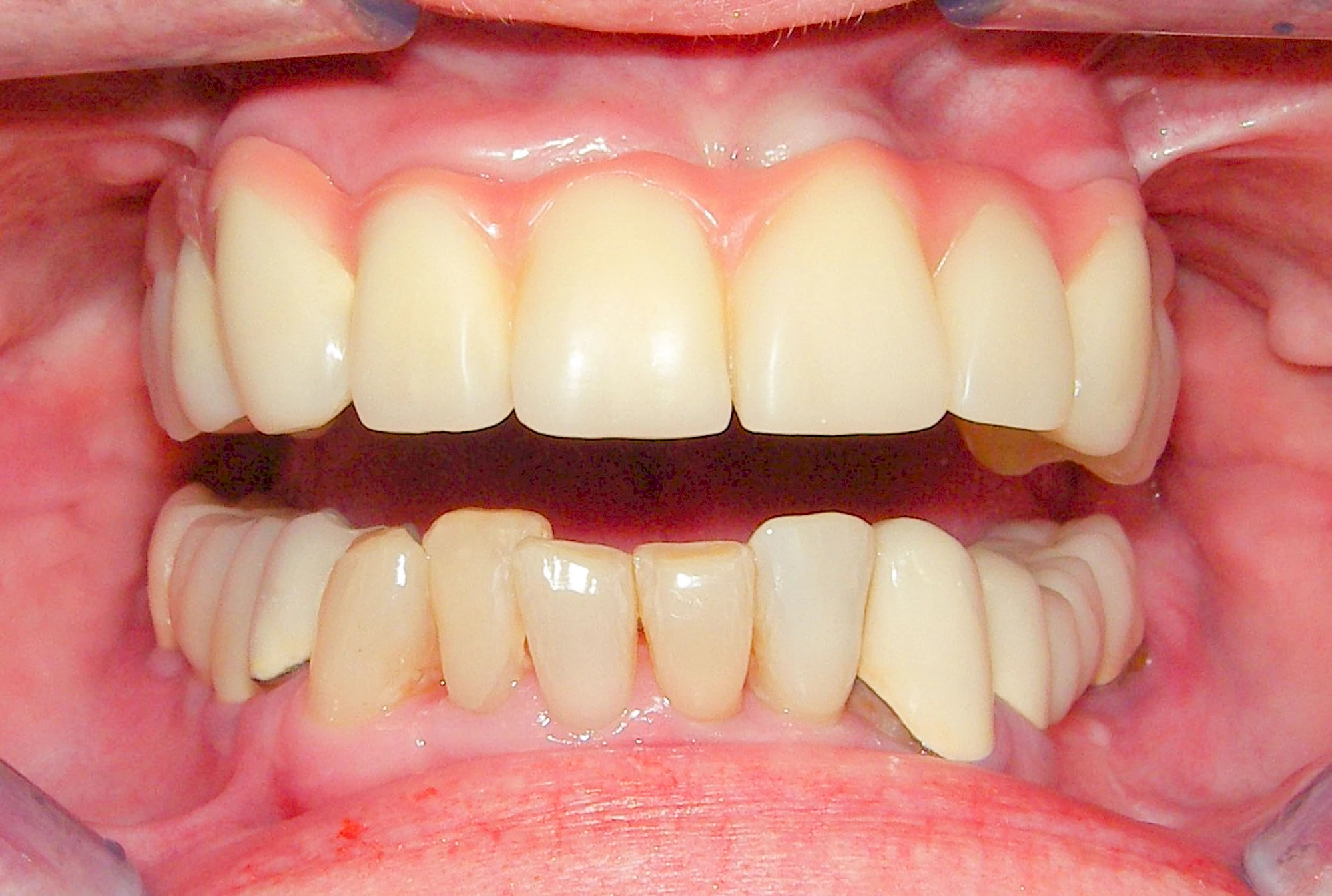
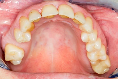
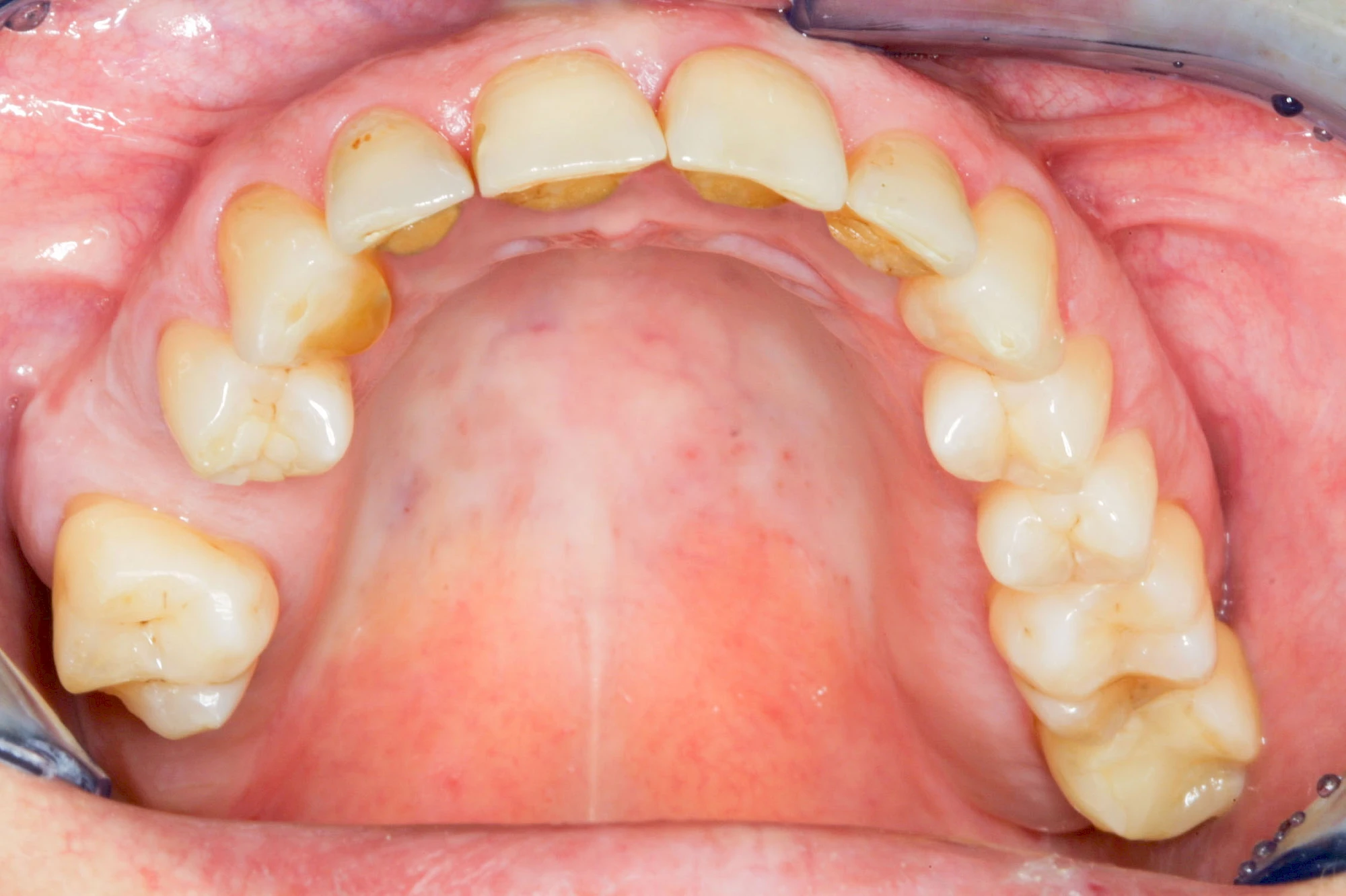
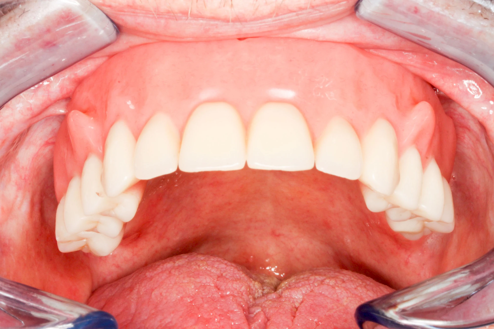
Fehlen einzelne Zähne und die Nachbarzähne sind unbeschadet oder gut zahnärztlich versorgt, werden immer häufiger Implantate gewählt, um die Lücken zu schließen. Auch bei größeren oder verteilten Lücken, wenn keine herausnehmbare Prothese gewünscht ist, werden Implantate für Kronen- bzw. Brückenversorgungen gesetzt. In Einzelfällen entscheiden sich sogar zahnlose Patienten für eine festsitzende Versorgung auf Implantaten.
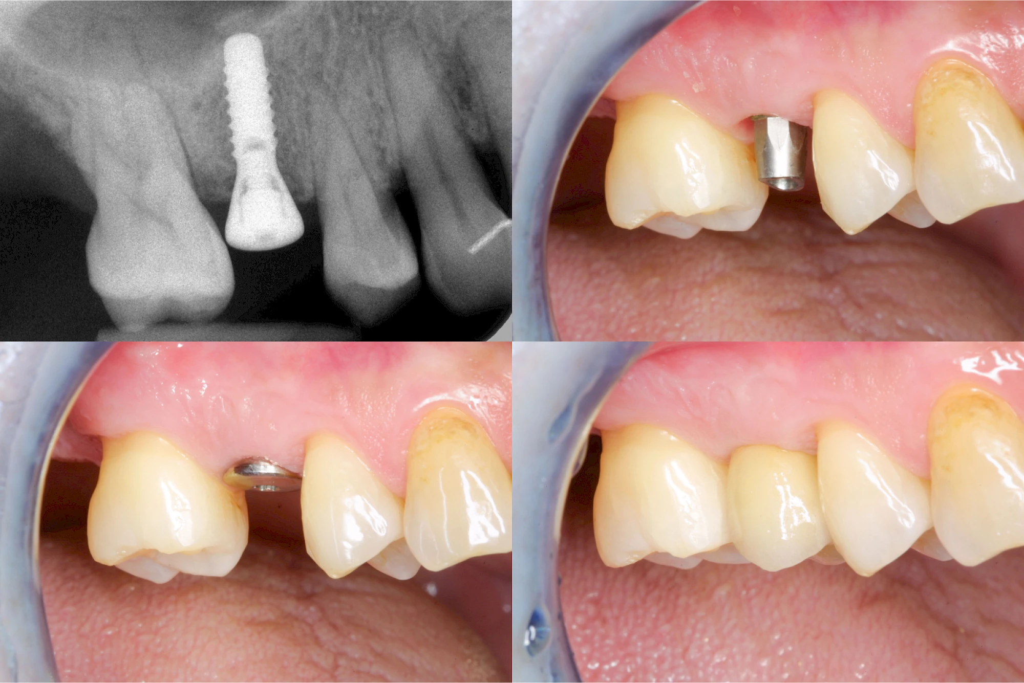
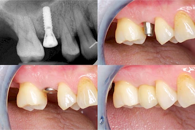
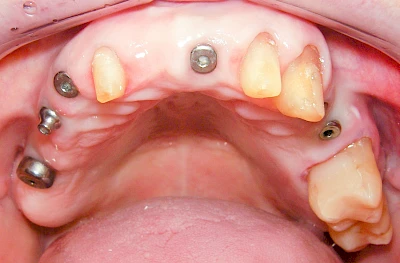
Varianten zur Verankerung von festsitzendem Zahnersatz auf Implantaten
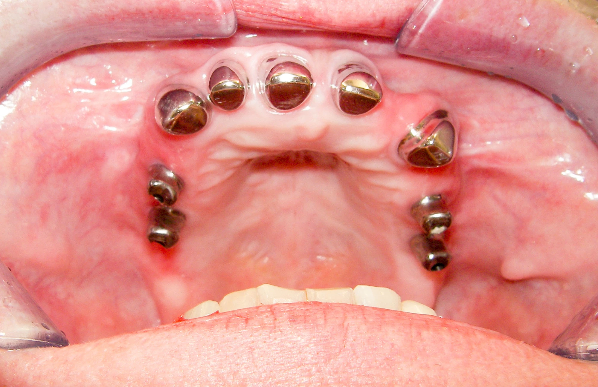
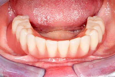
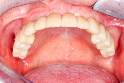
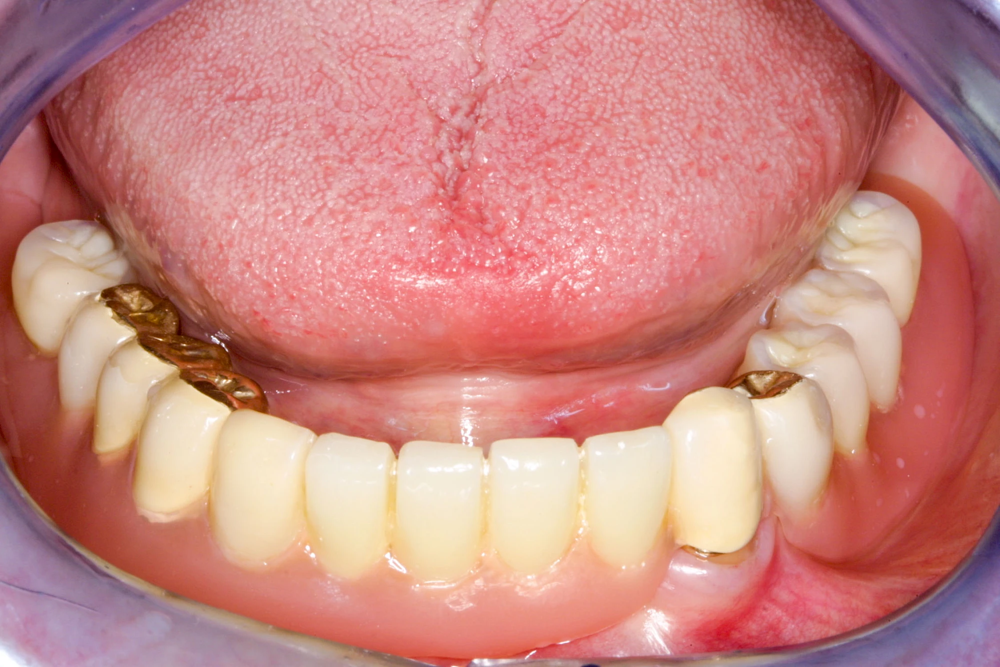
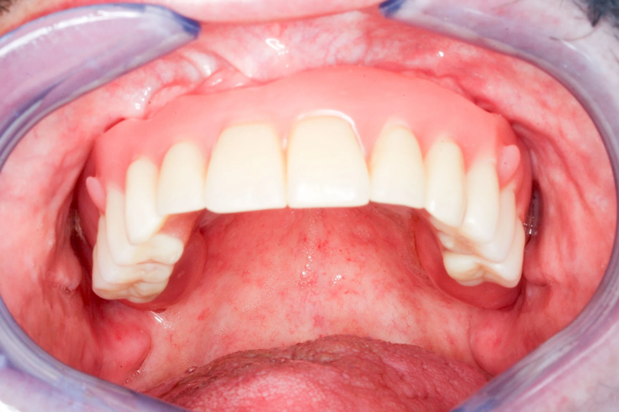
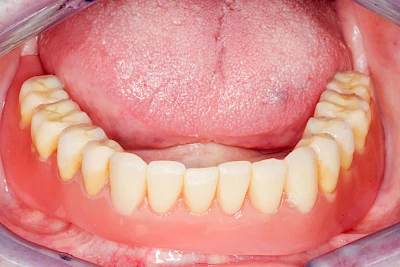
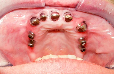
Implantate: Prothesen
Bei herausnehmbaren Prothesen werden Implantate eingesetzt, um den Halt und den Tragekomfort der Prothesen zu verbessern. Dazu kommen verschiedene Verbindungselemente zum Einsatz:
- Teleskope
- Kugelköpfe
- Tellerförmige Lokatoren
- Stege
- Magnete (selten)
Neben rein implantat-getragenen zahnärztlichen Versorgungen werden bei herausnehmbaren Prothesen Implantate auch in Sinne einer "strategischen Pfeilervermehrung" ergänzend zu eigenen Zähnen zur Verankerung eines Zahnersatzes genutzt.
Varianten zur Verankerung von abnehmbarem Zahnersatz auf Implantaten
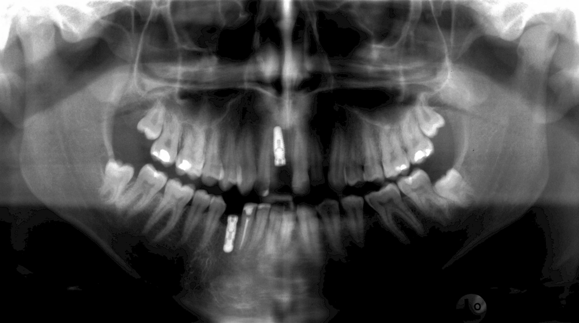
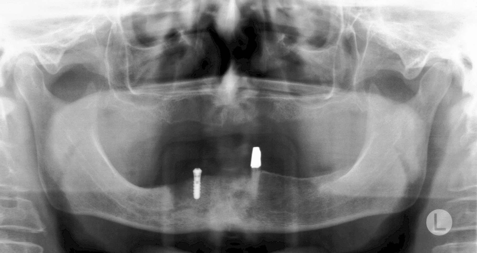
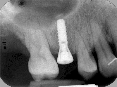
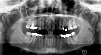
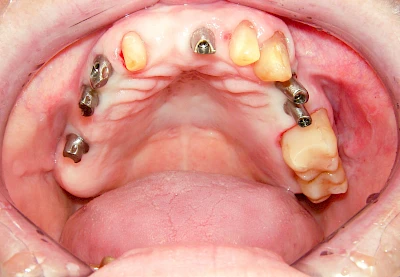
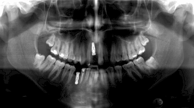
Implantatplanung
Damit Implantate an der richtigen Stelle im Kieferknochen platziert werden könen, gibt es heute vielfältige Möglichkeiten der Planung. In vielen Situationen kann die Erfahrung des Zahnarztes ausreichend sein.
Nicht selten ist jedoch auch eine technisch aufwändigere Vermessung im Vorfeld sinnvoll, z. B.:
- Wenn sich der Kieferknochen abgebaut hat
- Wenn der Nervverlauf im Unterkiefer beachtet werden muss
- Wenn die Ausdehung der Kieferhöhle im Oberkiefer beachtet werden muss
- Wenn wenige Restzähne keine gute Orientierung erlauben
In diesen Fällen kann die Planung mittels verschieden aufwendiger Röntgen-Techniken (Übersichtsaufnahme, DVT) ggf. unter Zuhilfenahme speziell angefertigter Planungsschablonen sinnvoll sein.
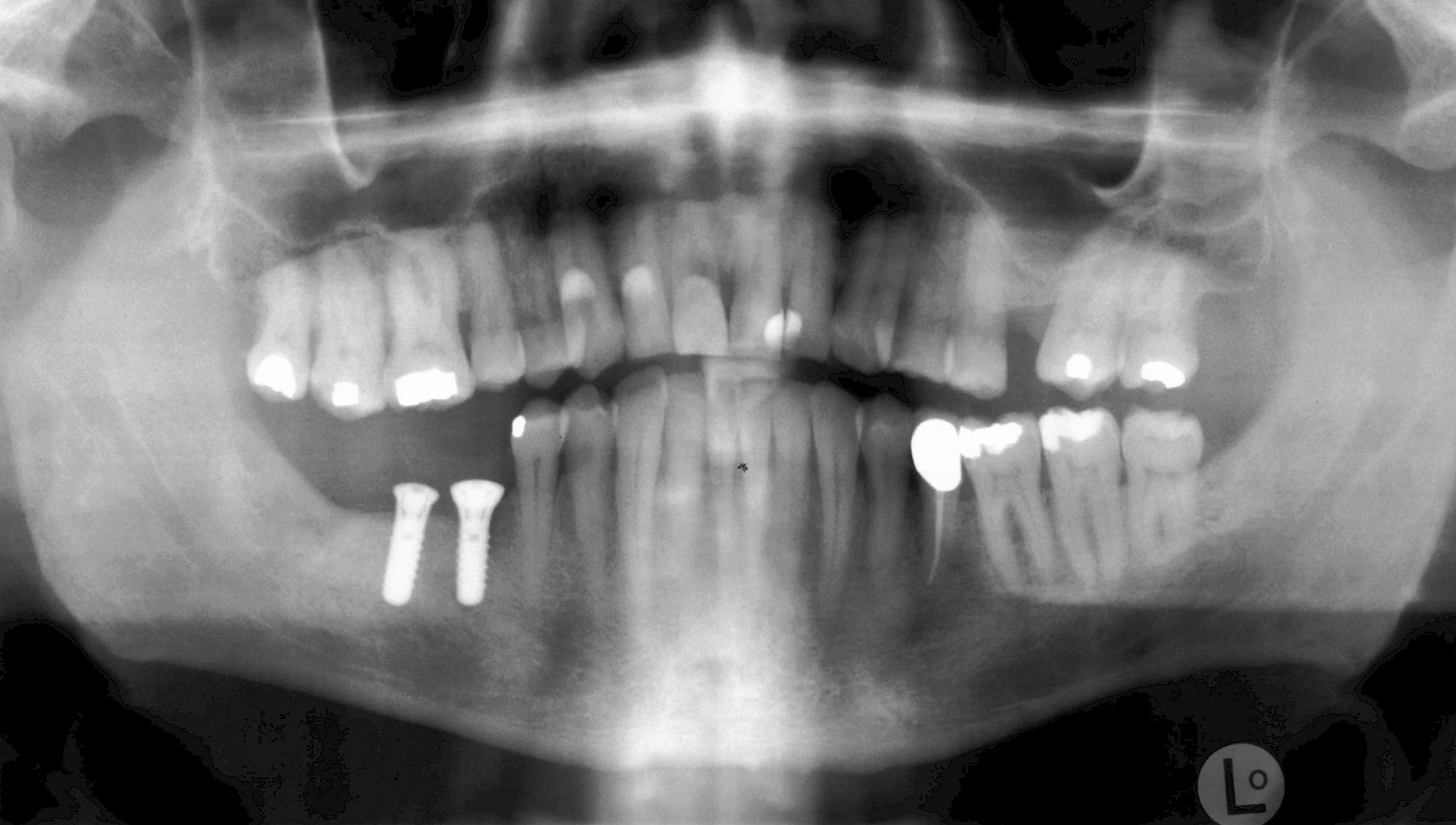
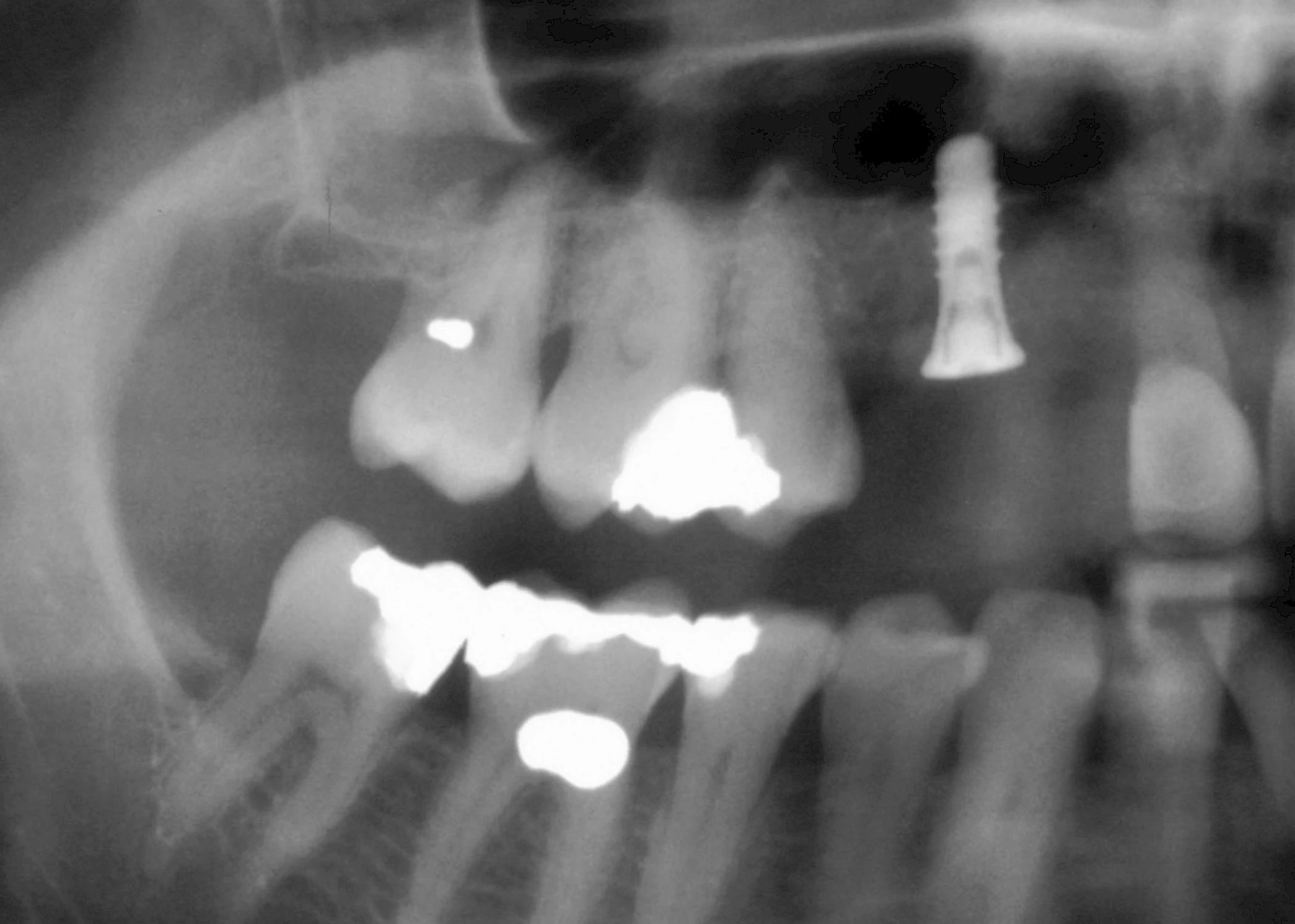
Knochenaufbau und Implantateinsatz
Ist nicht genügend Knochen zur Verankerung eines Implantates vorhanden, kann über einen sogenannten Knochenaufbau die Möglichkeit für das Einbringen eines Implantates geschaffen werden. Dazu kann z. B. Knochen aus der Kieferwinkelregion oder auch aus der Kinnregion entnommen und im Bereich der Fehlstellen aufgetragen werden. Auch künstliches Knochenmaterial kann dabei zum Einsatz kommen.
Im Oberkiefer wird – wenn ein Knochenaufbau notwendig ist – der Knochen in der Regel nicht außen "aufgelegt", sondern es wird der Boden der Kieferhöhle entweder über den Implantat-Bohrkanal durch Verdichtung nach oben gedrückt (interner Sinuslift) oder über eine Fensterung der vorderen knöchernen Kieferhöhlenwand kann Knochen im Bereich des Kieferhöhlenbodens eingebracht (externer Sinuslift).
Knochenaufbau im Unter- und Oberkiefer
Quiz
Diese Seite wurde zuletzt am 09.10.2025 geändert.