
- Startseite >
- >
- Auffälligkeiten im Mund >
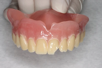
- Zahnprothese
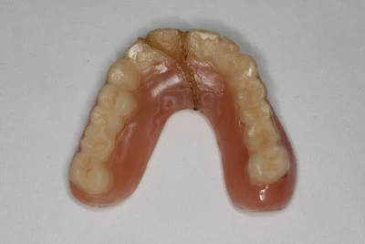
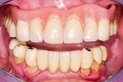
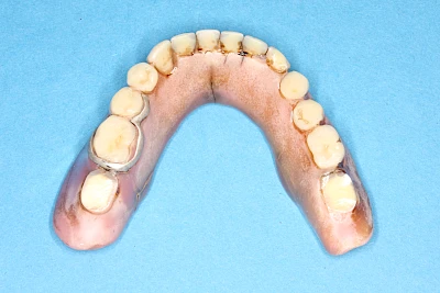
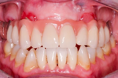
Zahnprothese
Auffälligkeiten im Mund
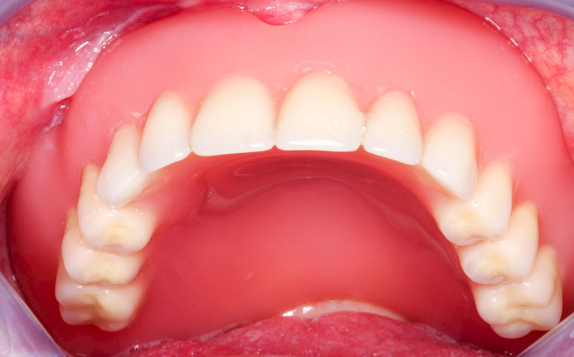
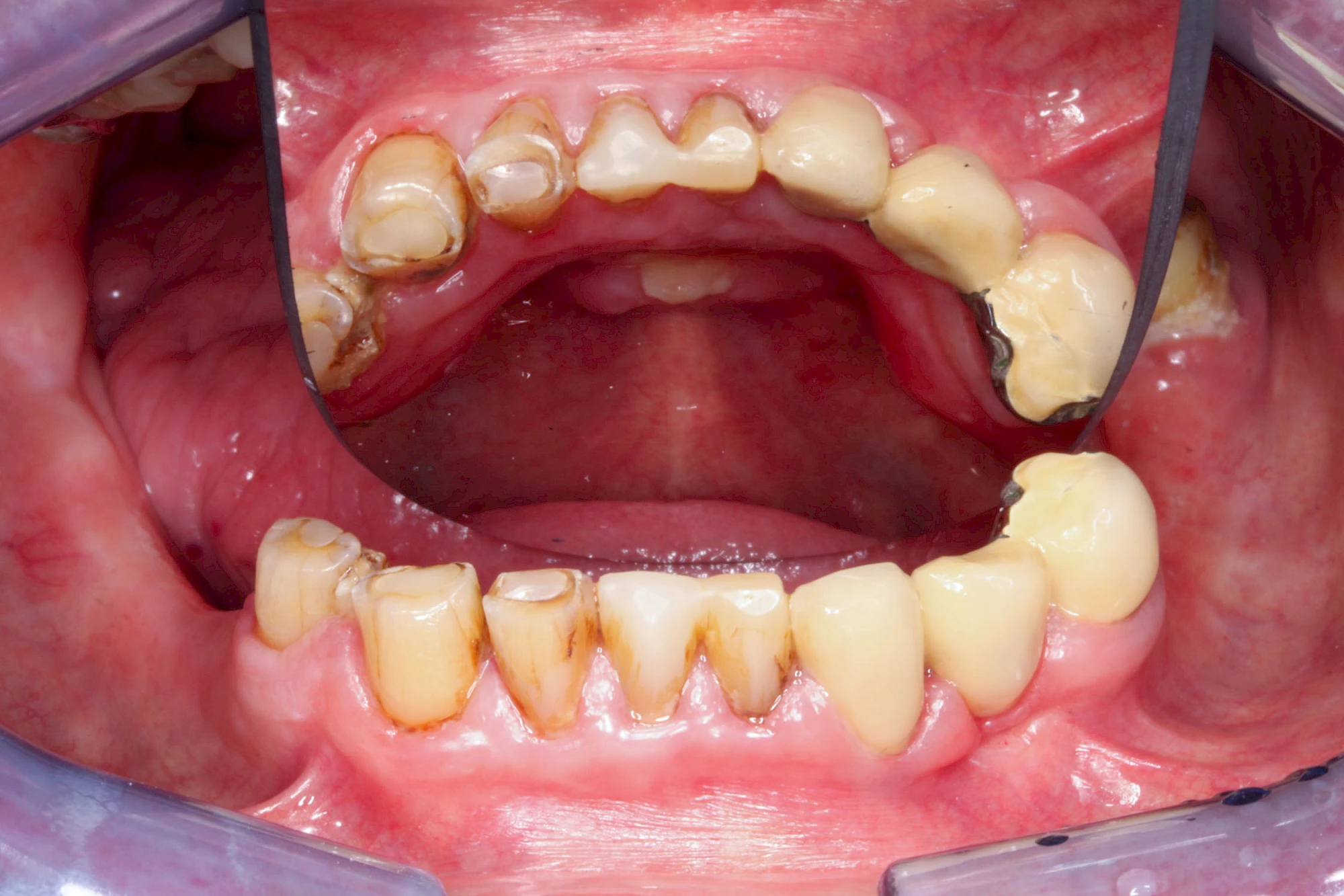
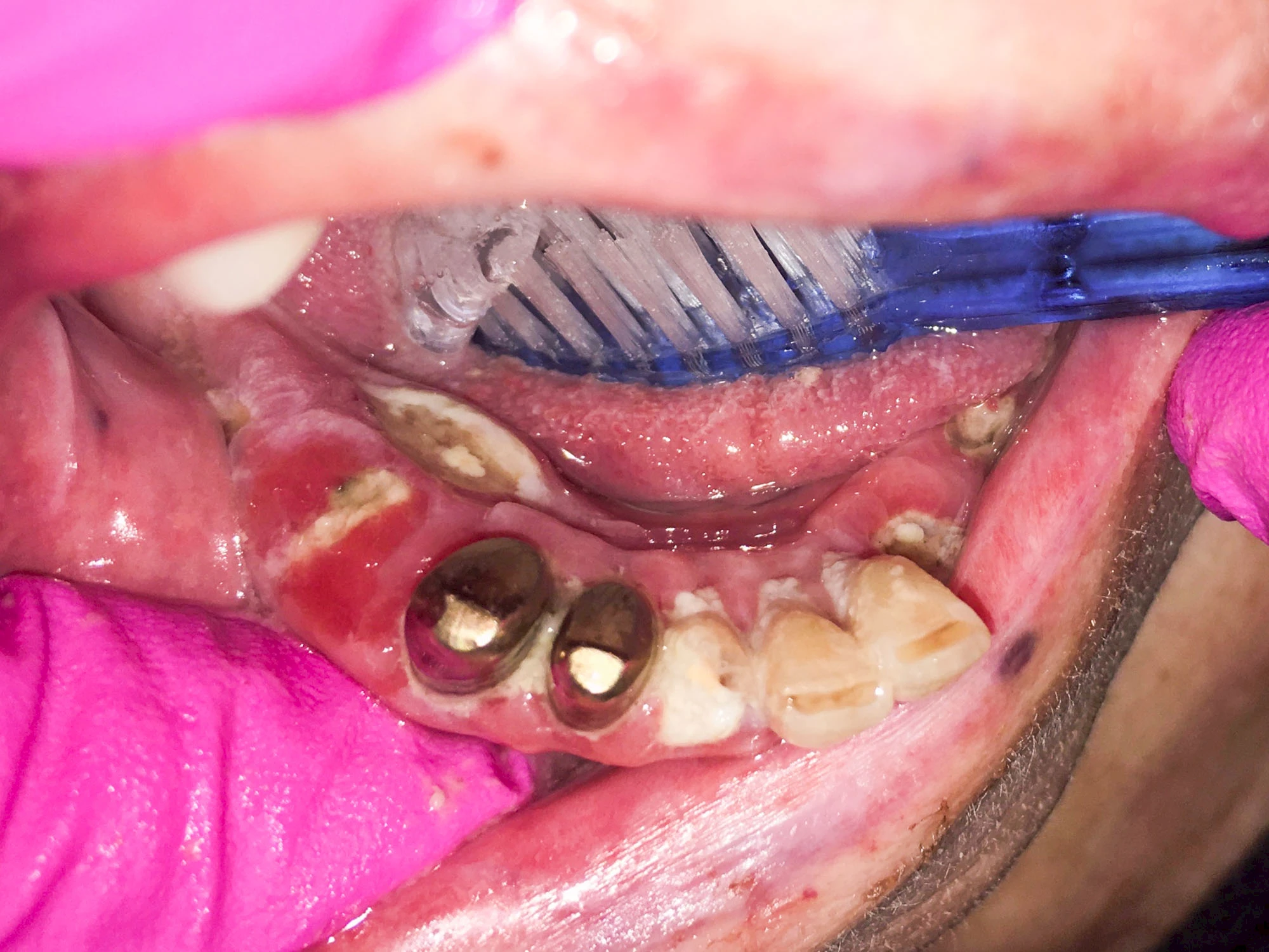
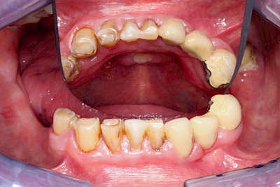
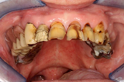
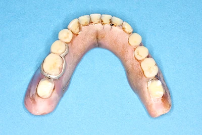
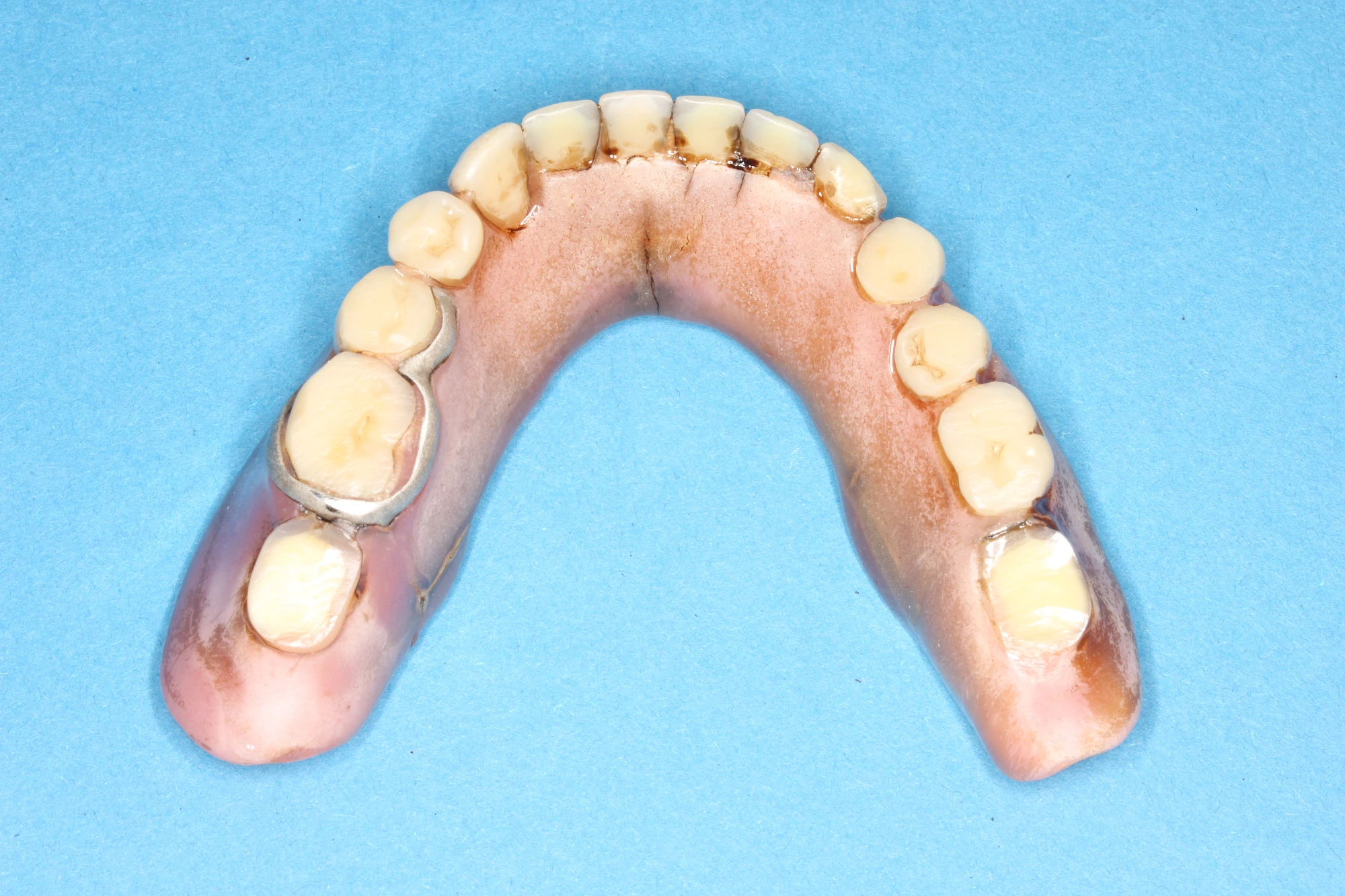
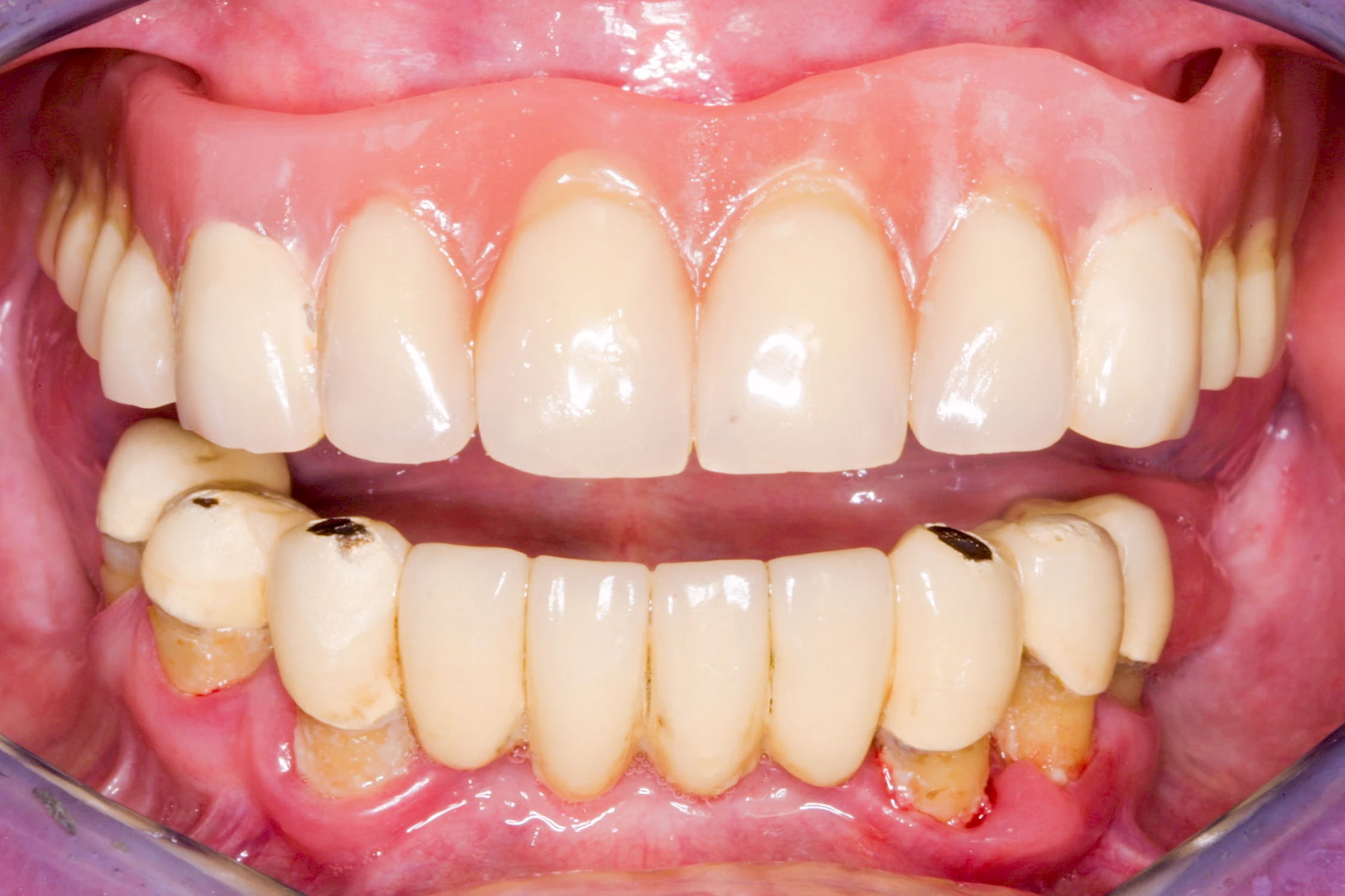
- Beläge
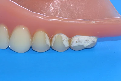
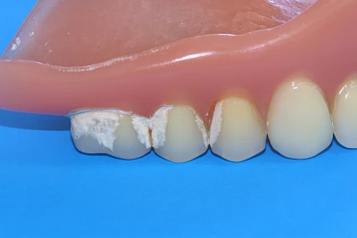
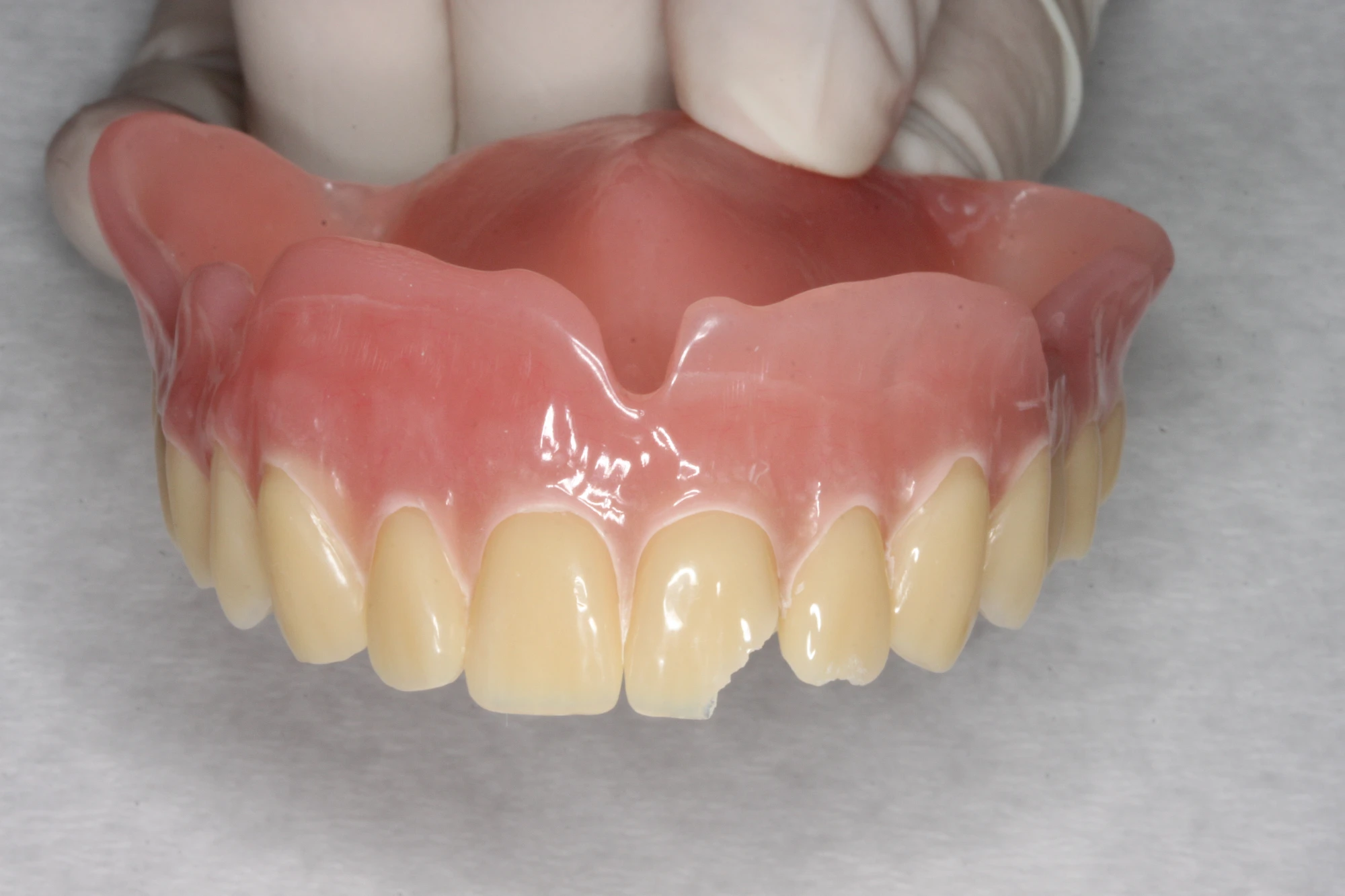
- Sprünge, Brüche oder Absplitterungen mit scharfen Kanten
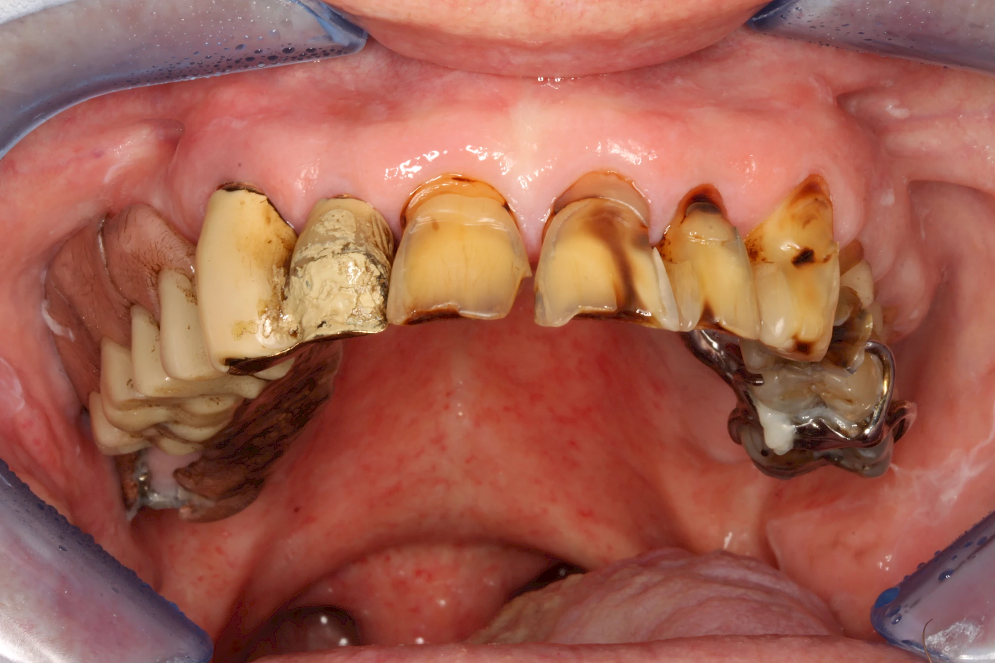
- Verfärbungen, Abnutzung, Erweiterungen bzw. Umbauten
- Schlechter Halt – sehr viel Haftcreme
Weiche Beläge lassen sich in den meisten Fällen mit Zahnprothesenbürsten und Zahnpasta entfernen. Auch Reinigungstabletten können hilfreich sein. Haftcreme lässt sich mit Kompressen oder Pflaumentupfern leichter entfernen – sowohl von den Schleimhäuten der Kiefer wie auch von den Prothesen.
Mindestens einmal im Jahr ist eine professionelle Reinigung der Prothesen durch den Zahnarzt zum Beispiel in einem sogenannten Ultraschallbad sinnvoll. Marktübliche Geräte für den Heimgebrauch sind oft nicht stark genug. Auch bei allen anderen Auffälligkeiten sollte ein Zahnarzt gerufen werden, um mögliche Behandlungen einzuleiten.
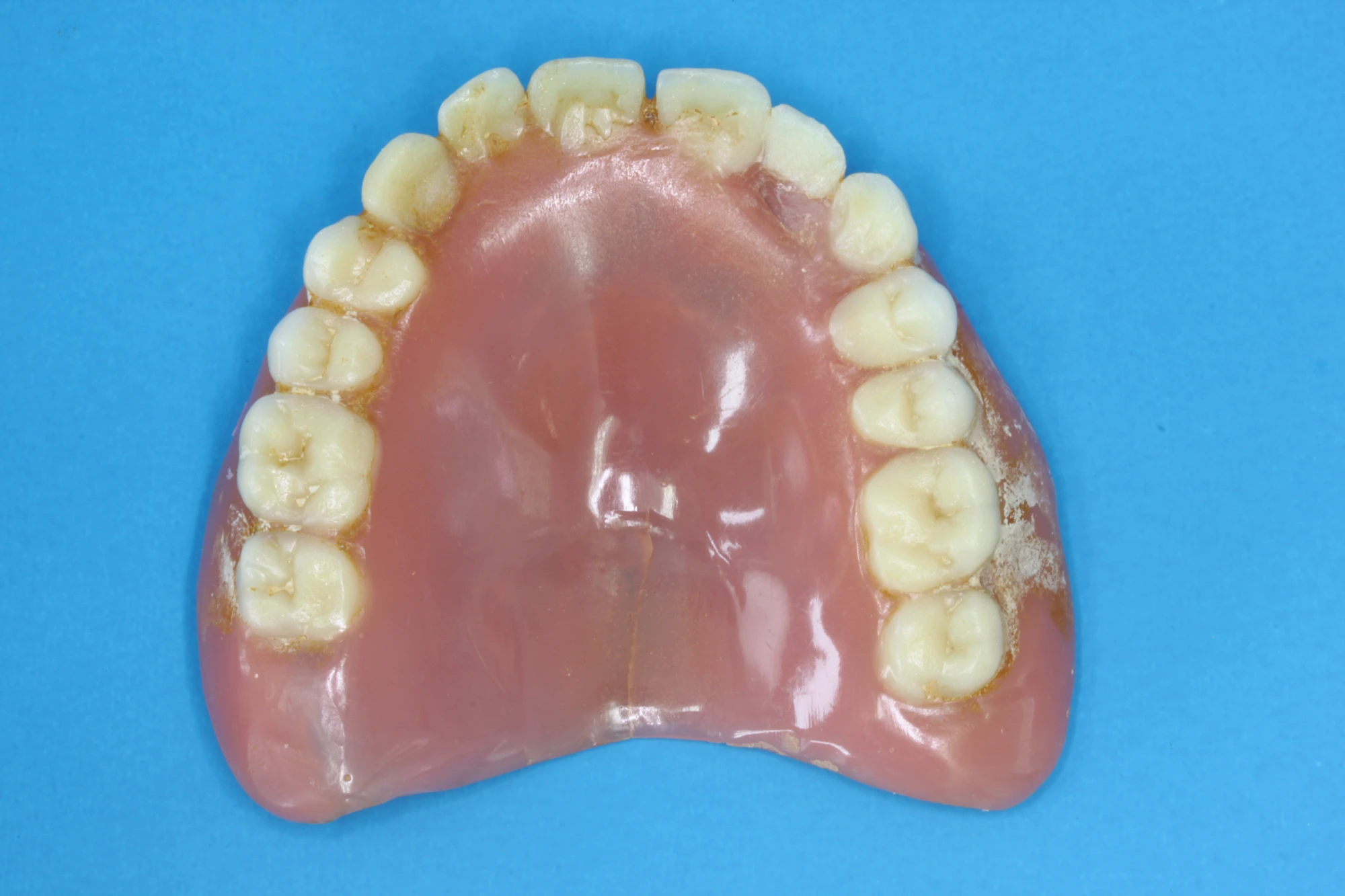
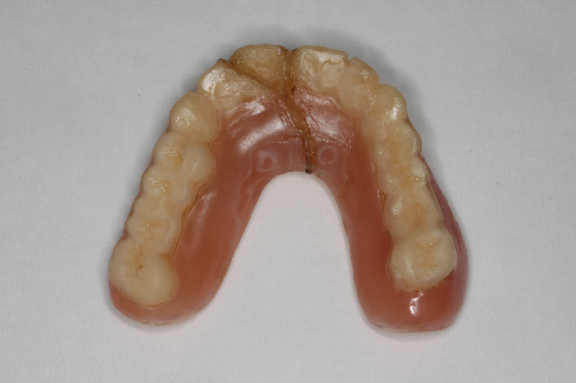
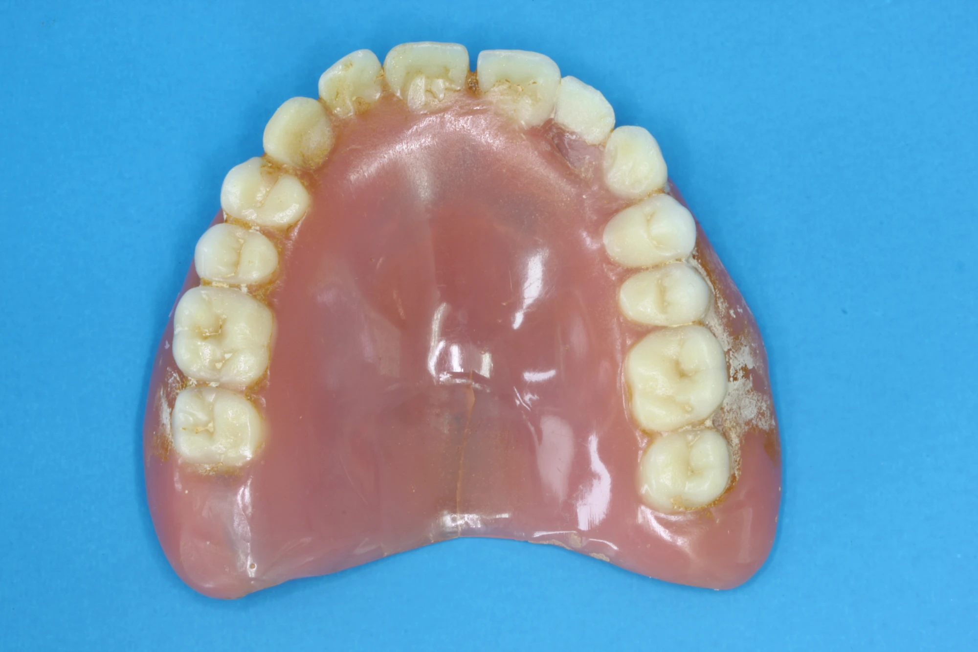
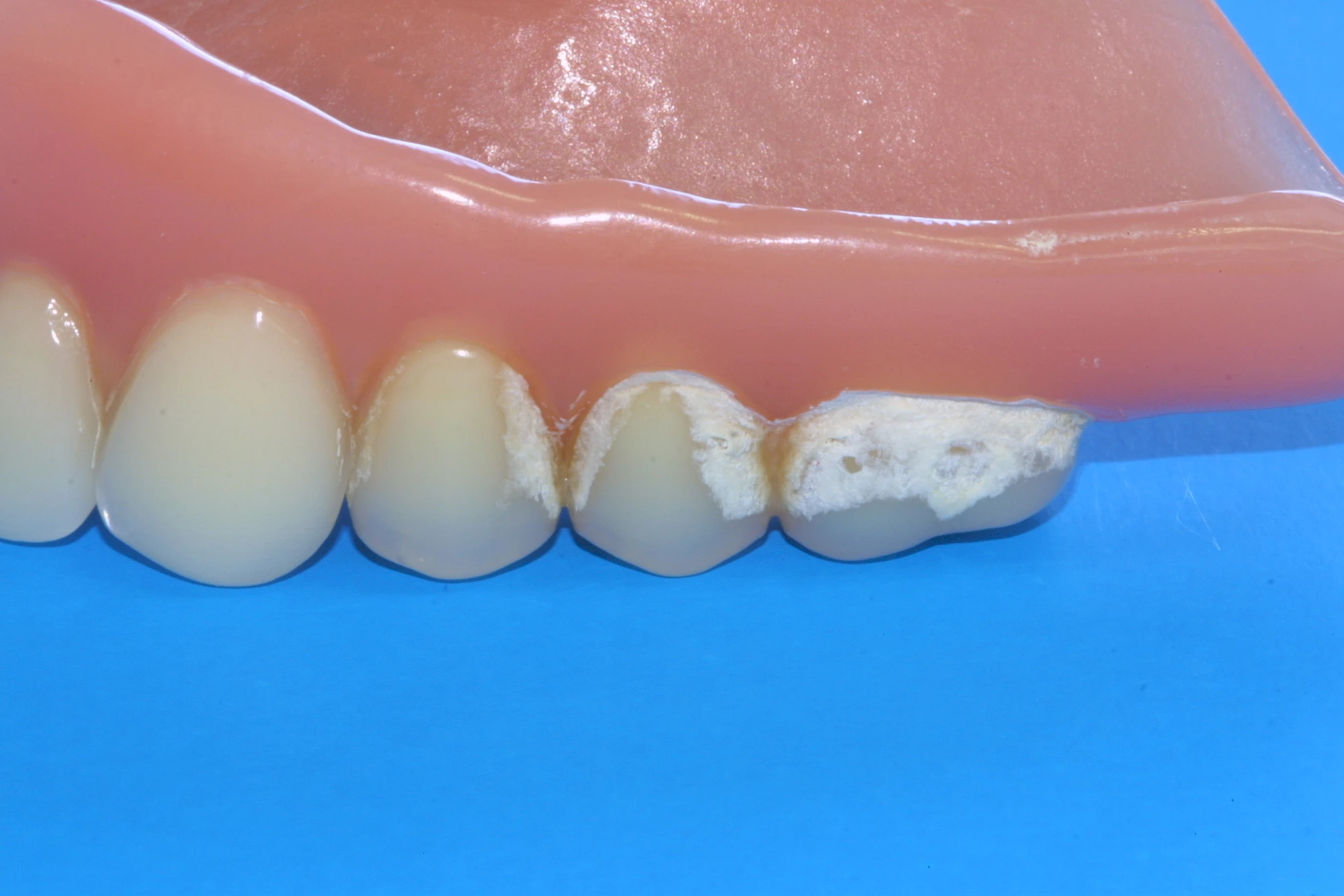
Belag
Weiche Beläge oder Speisereste sollten zunächst durch Intensivierung der Prothesenpflege beseitigt werden. Harte Beläge, die sich auch mit Zahnprothesenbürsten entfernen lassen, können durch einen Zaharzt mit speziellen Prothesenreinigungsgeräten (Ultraschallbad) entfernt werden.
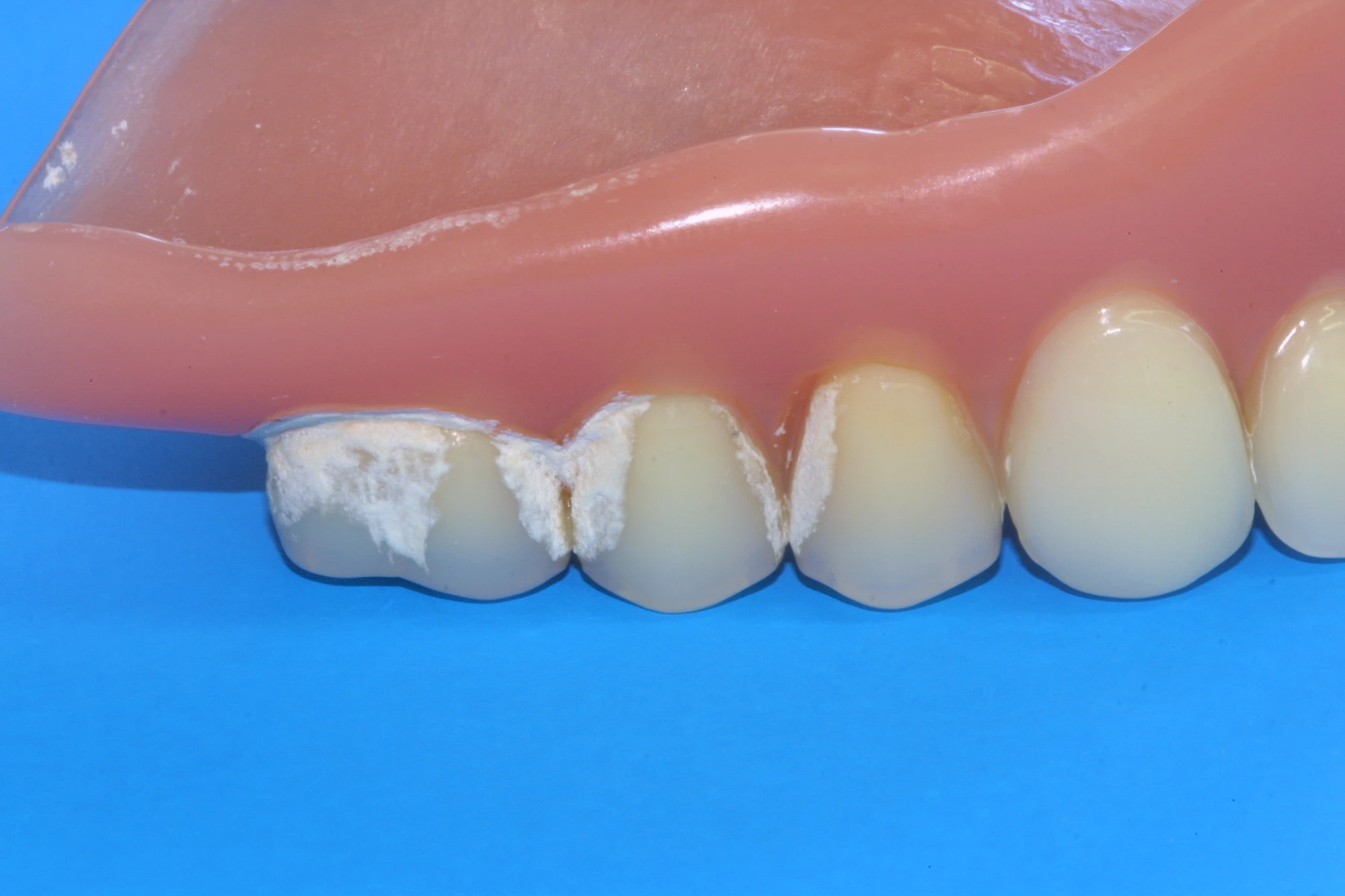
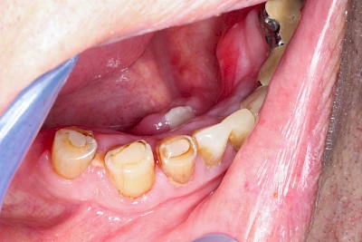
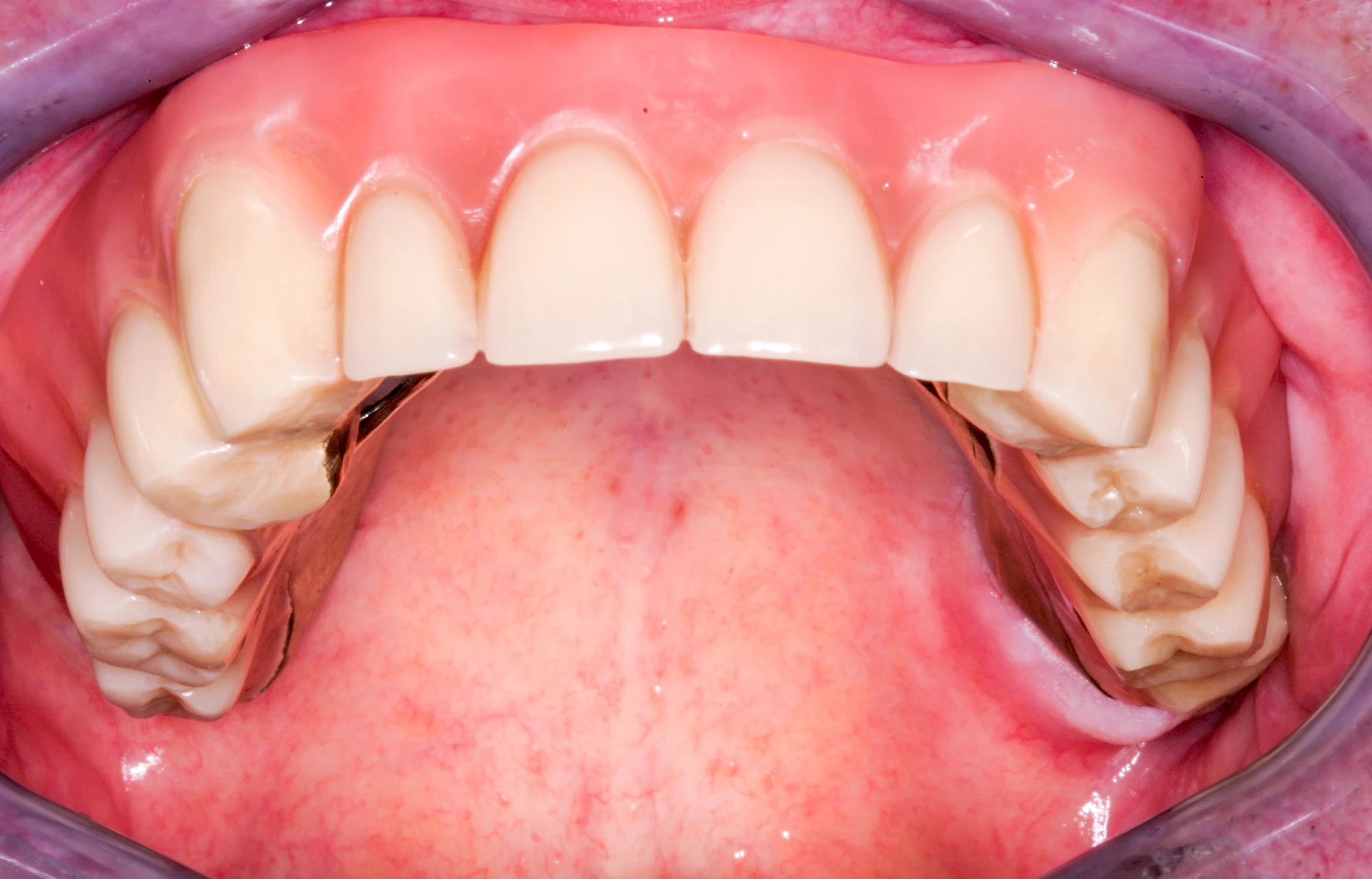
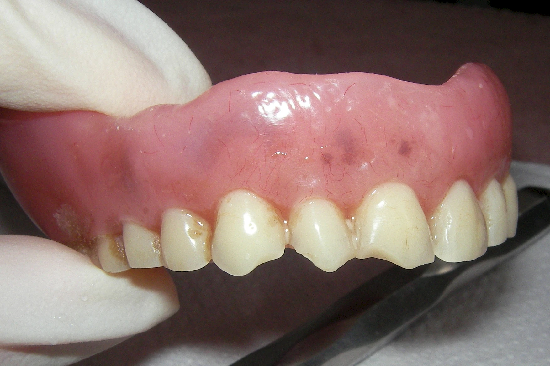
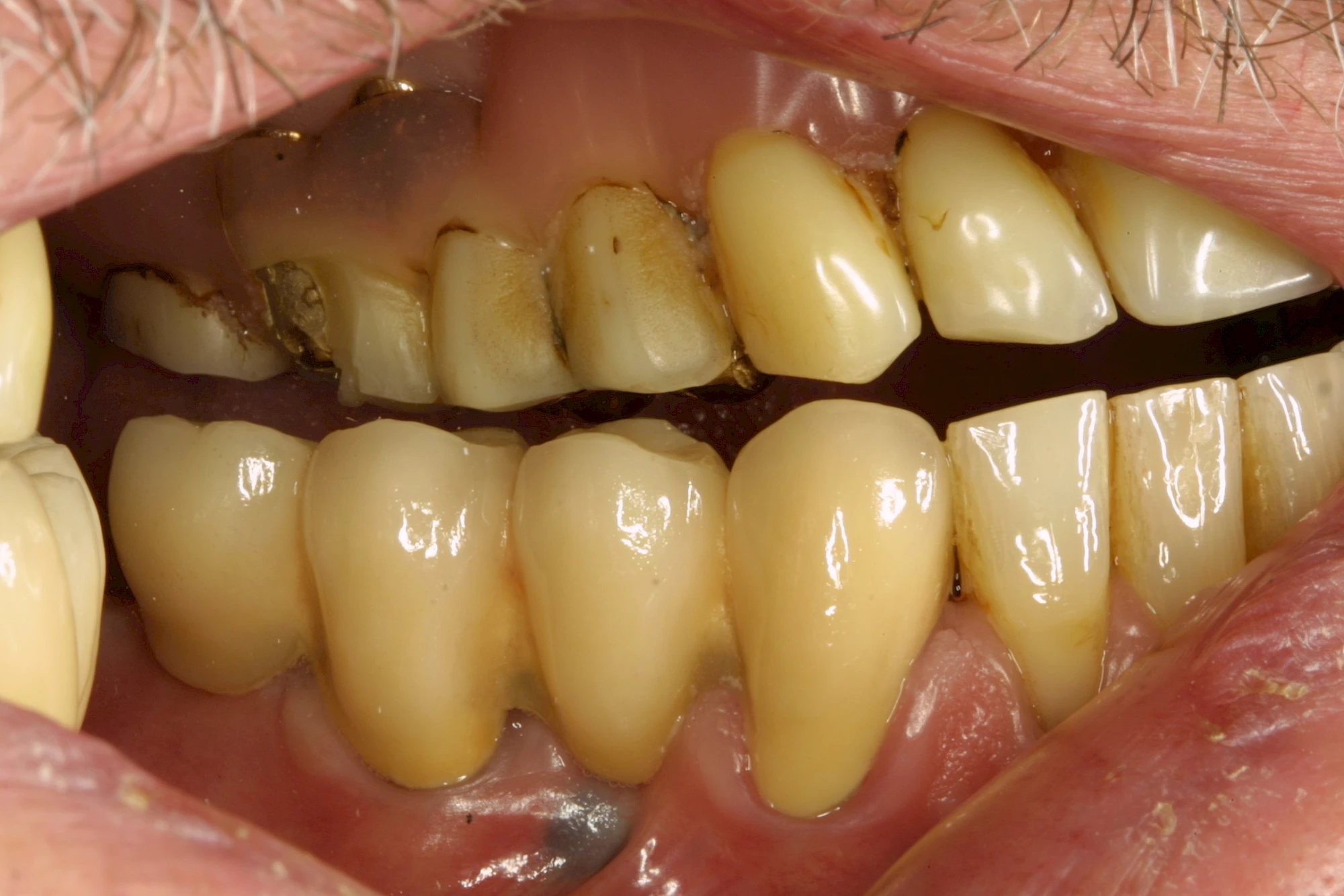
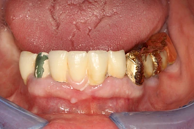
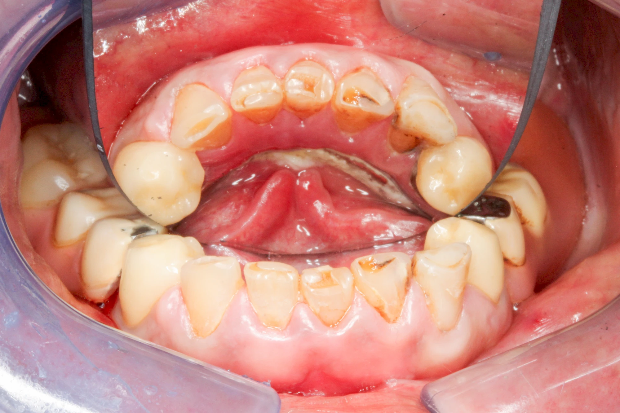
Verfärbung, Abnutzung & Umbau
Verfärbungen, Abnutzungserscheinungen sind eher unkritisch. Sind allerdings Prothesenzähne stark abgenutzt, kann es zunehmend schwerfallen, die Nahrung gut zu zerkleinern. Zudem kann es zu einer Biss-Senkung kommen und in der Folge können die Mundwinkel sich entzünden (Mundwinkelrhagaden).
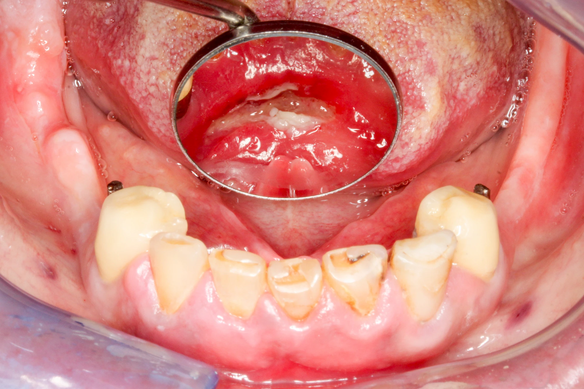
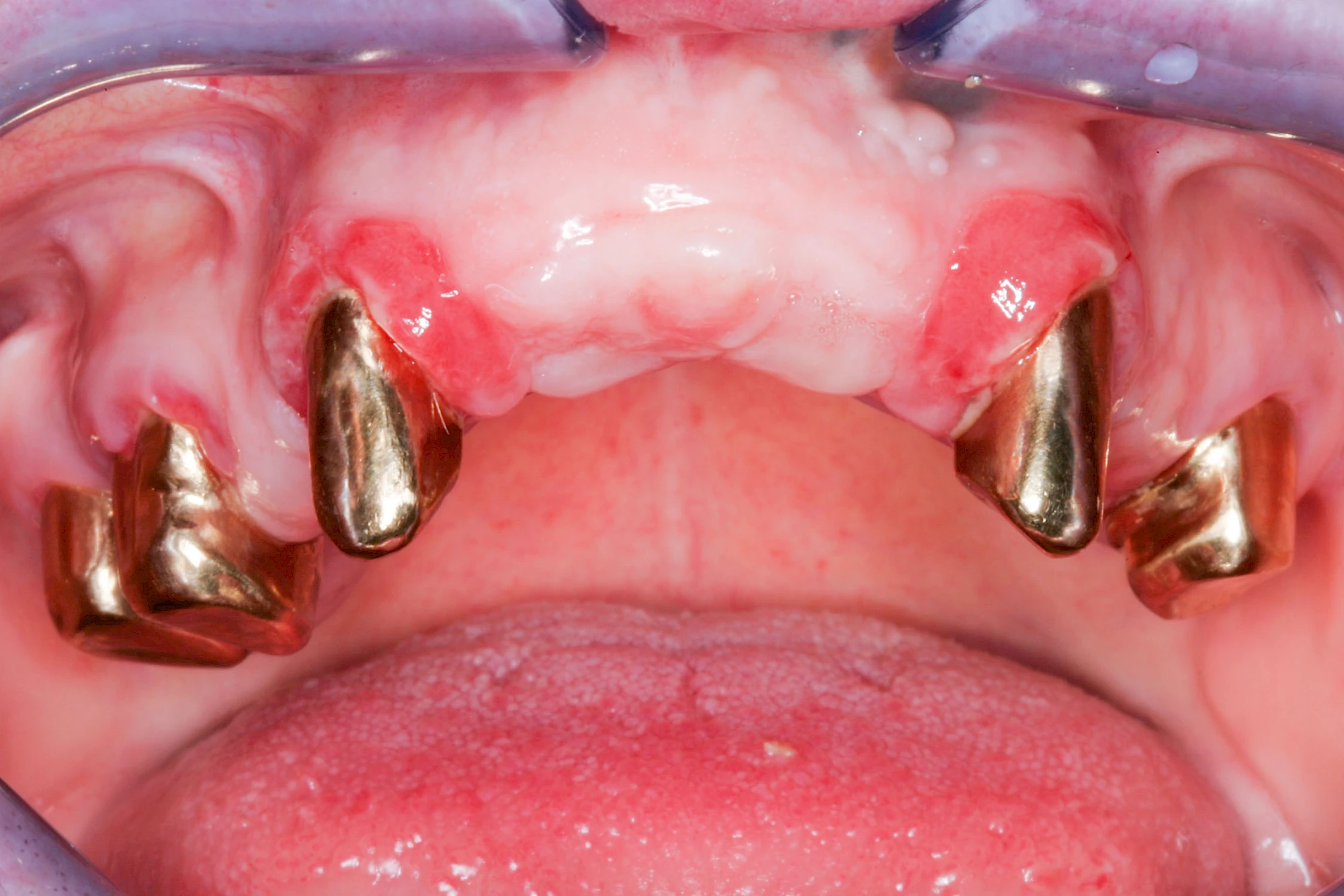
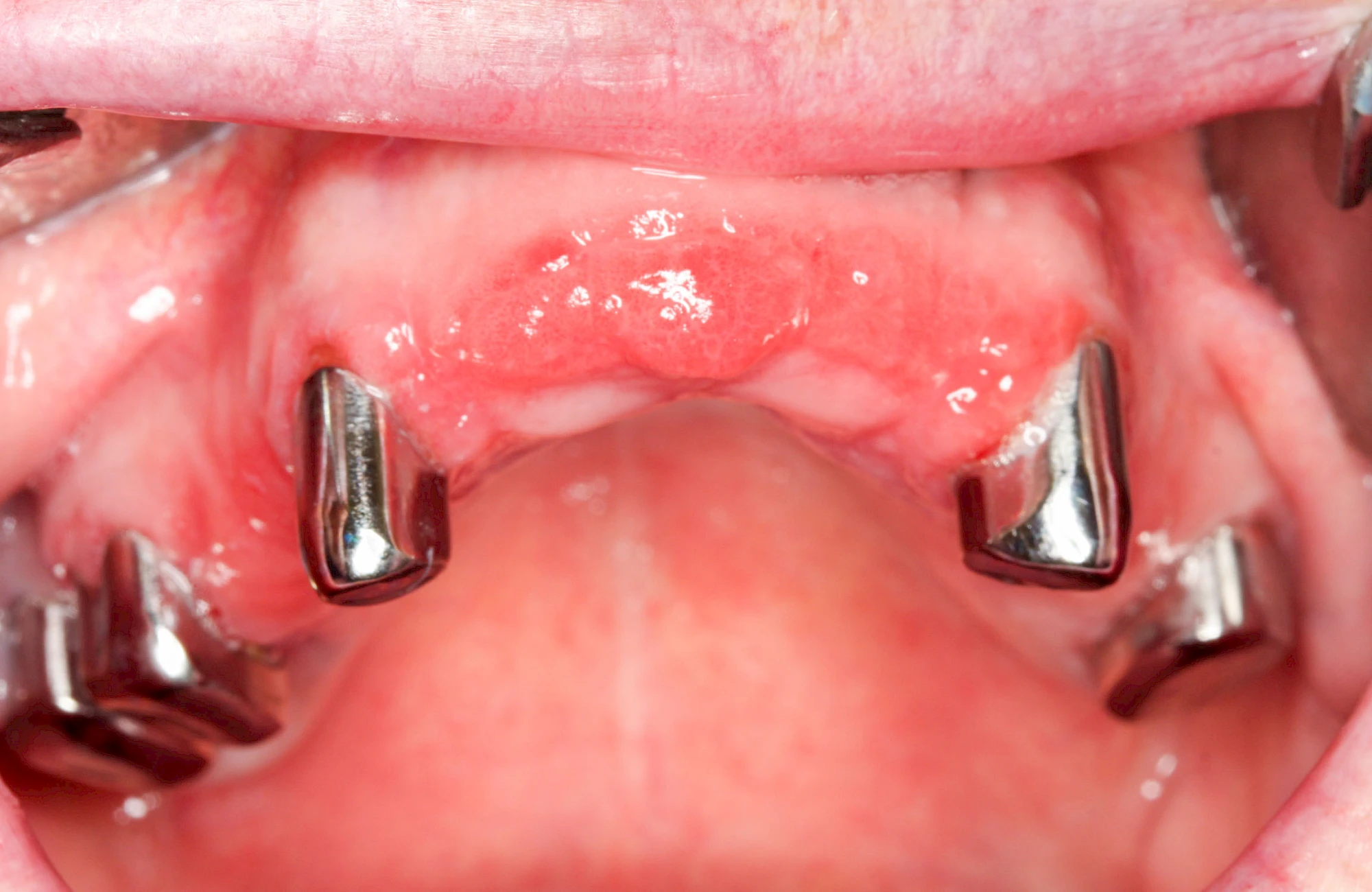
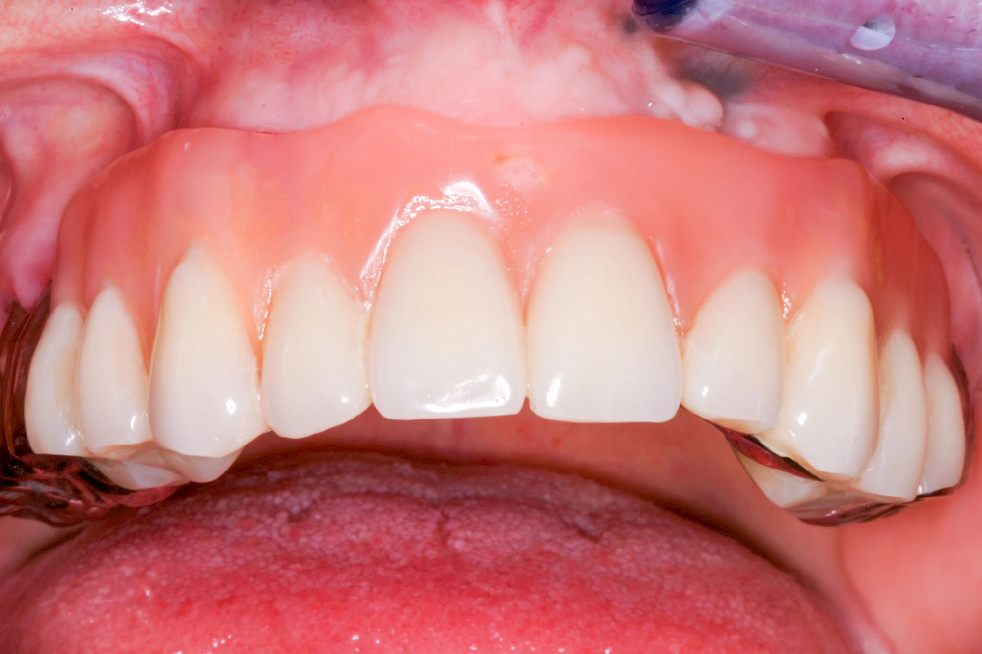
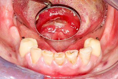
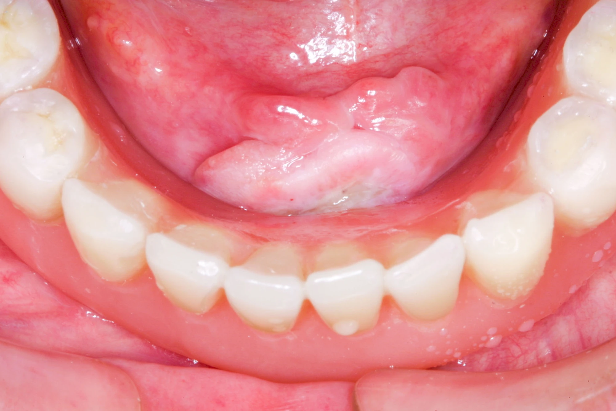
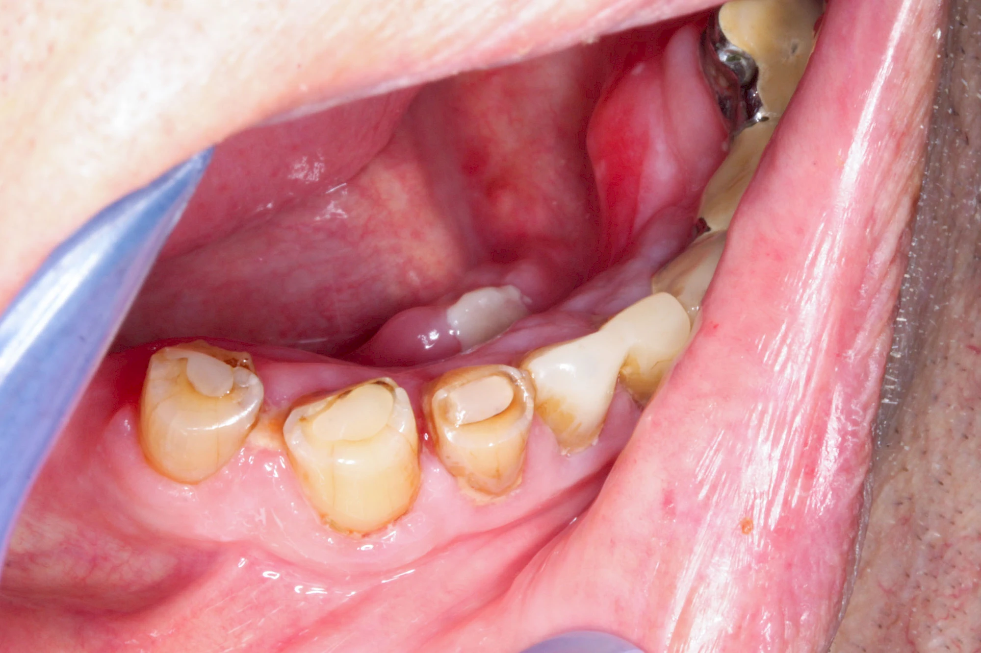
Druckstelle / Lappenfibrom
Eine besondere Form der Verletzung entsteht, wenn eine Zahnprothese ungleichmäßig und punktuell auf Kieferbereiche drückt. Die sogenannten Druckstellen erscheinen wie kleine Druckgeschwüre (vergleichbar dem Dekubitus z. B. an Fersen oder im Bereich der Hüftknochen) auf.
In selteten Fällen kann es auch zu faltenartigen Aufwerfungen der Schleimhäute im Bereich der Prothesenränder kommen. Diese besondere Erscheinungsform der Prothesen-Druckstelle wird auch als Lappenfibrom bezeichnet. Die Schleimhäute fallen dabei in der Regel nicht durch starke Rötungen oder ein Ulcus auffallen.
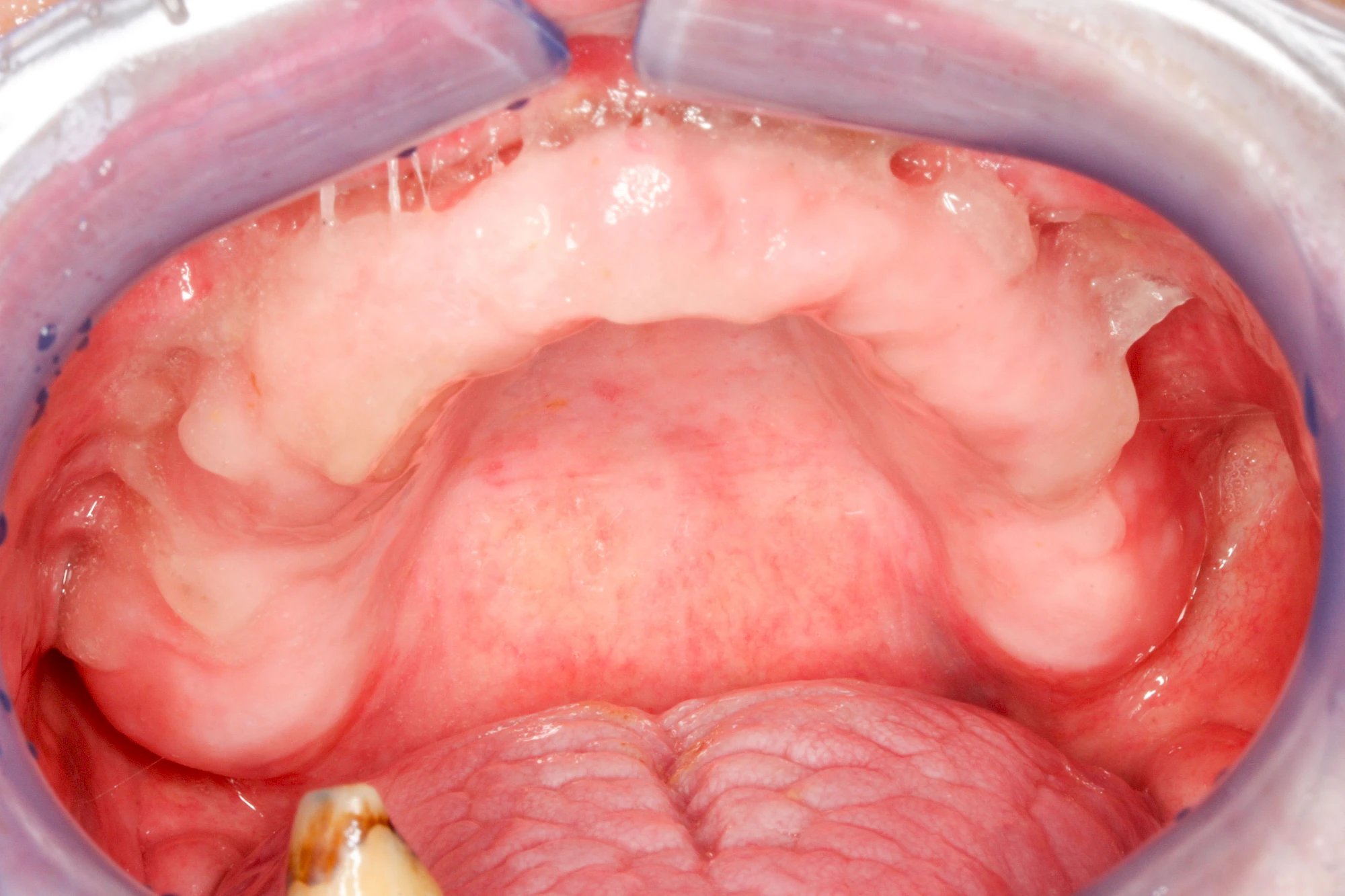
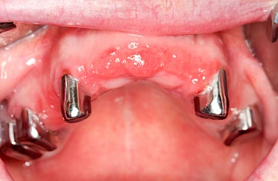
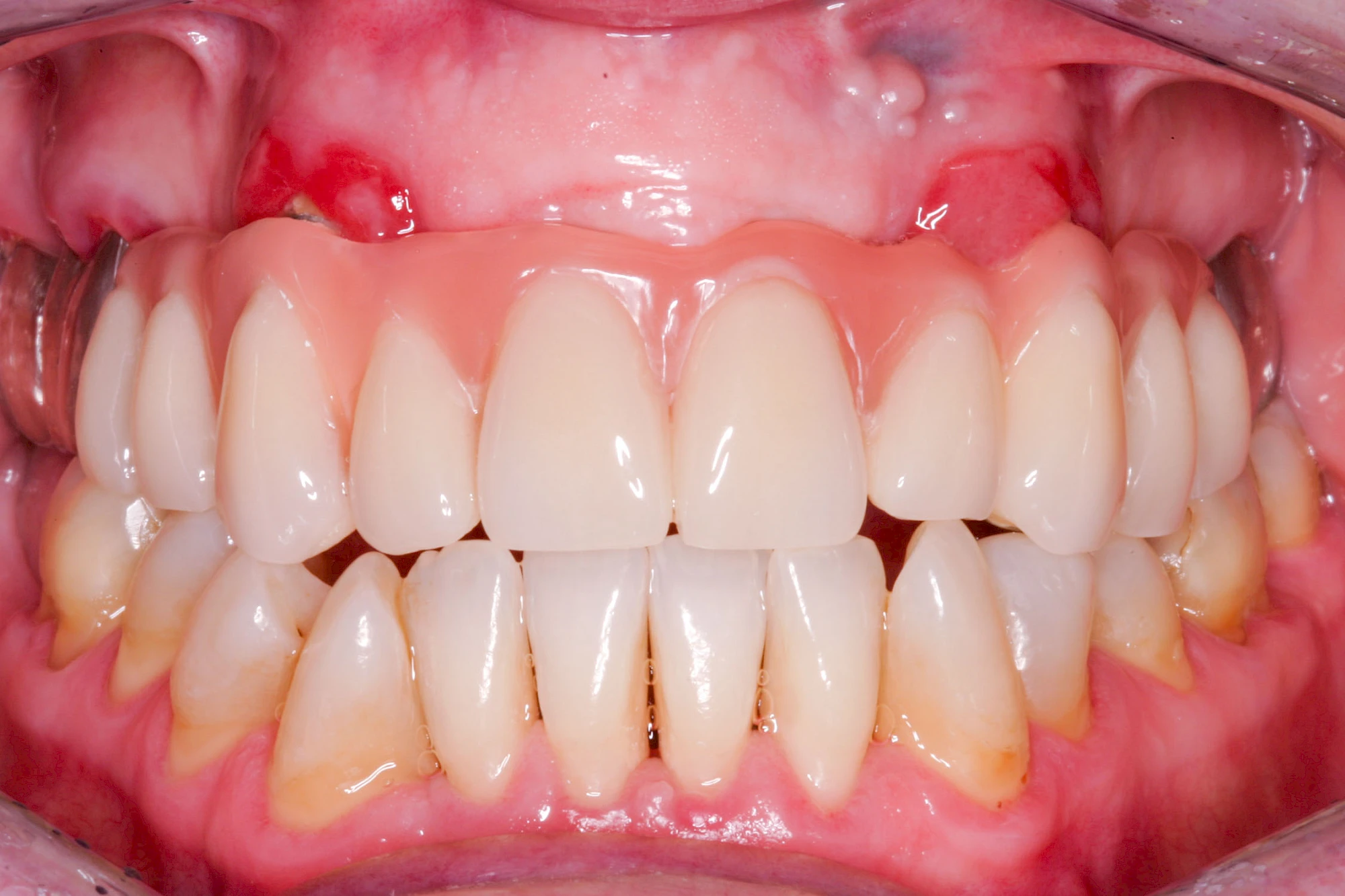
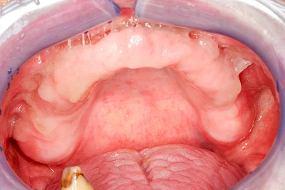
Prothesenstomatitis
Rötung im Bereich der Prothesen-Auflageflächen
Großfläche Rötungen sind häufig auf chronische Entzündungsprozesse bedingt durch die ständige Auflage der Prothese auf der Schleimhaut mitunter 24 Stunden am Tag zurückzuführen (feuchte Kammer). Ganz selten sind spezifische Unverträglichkeistreaktionen wie z. B. Allergien gegen Inhaltsstoffe der Prothesenmaterialien die Ursache. Alle diese Prozesse können unter dem Oberbegriff Prothesenstomatitis zusammengefasst werden.
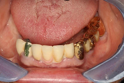
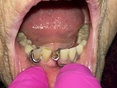
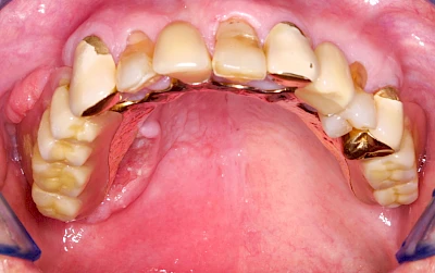
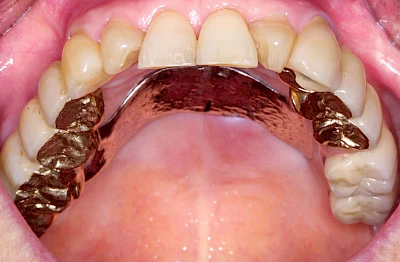
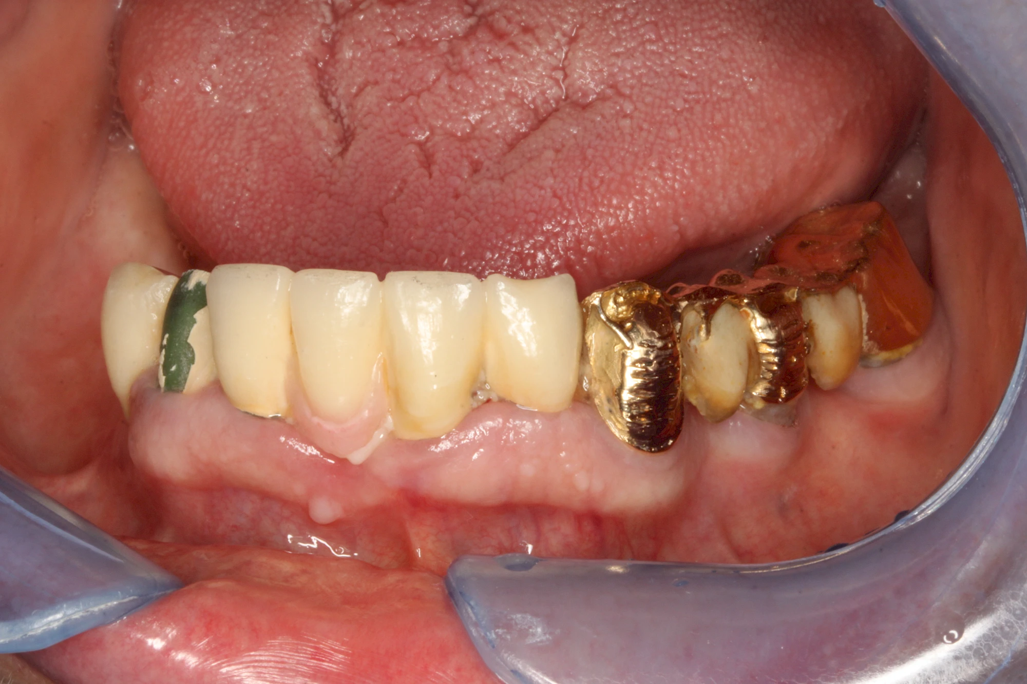
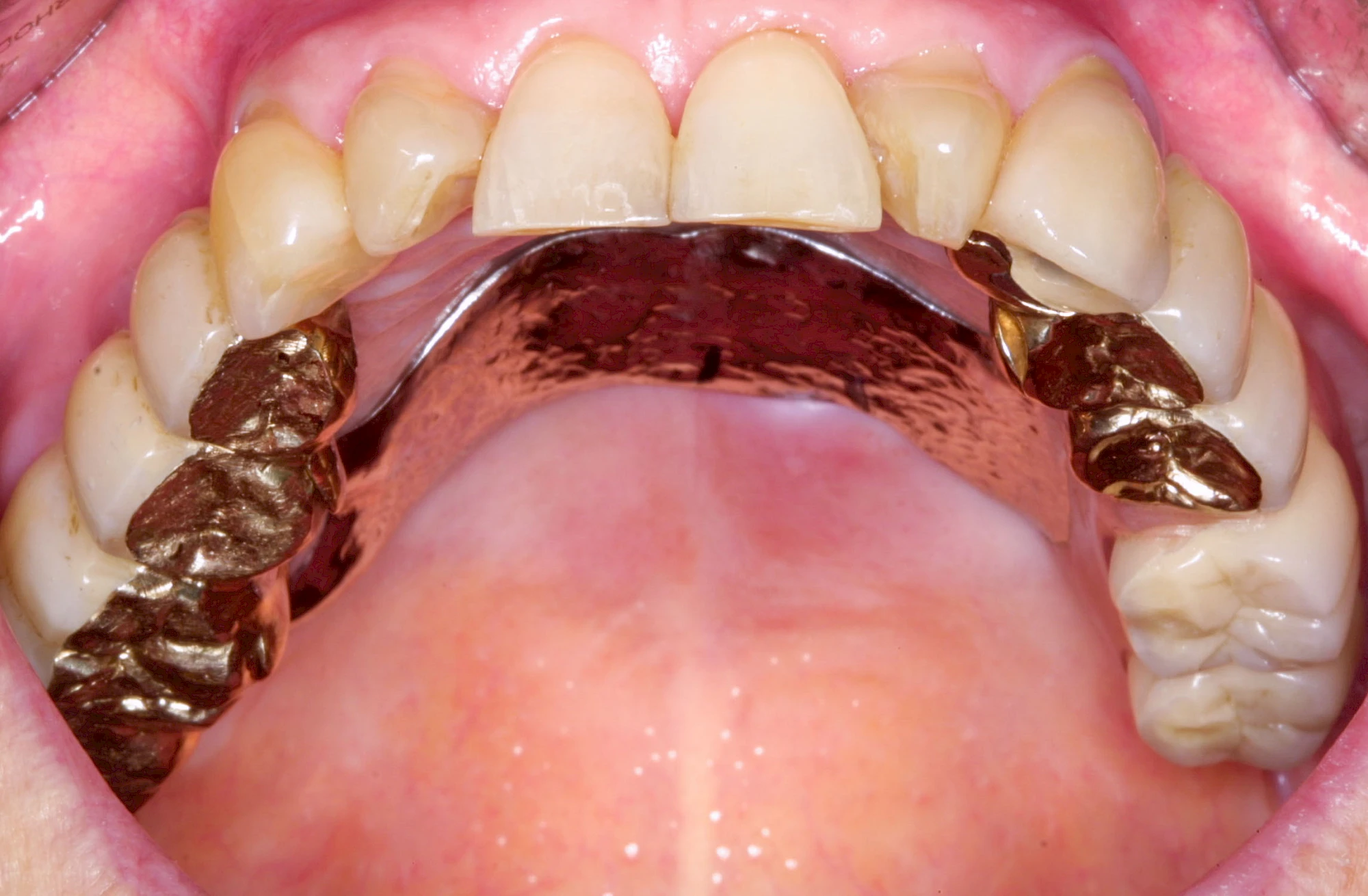
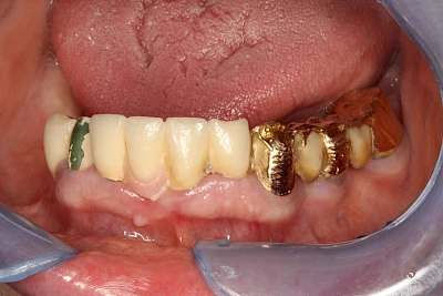
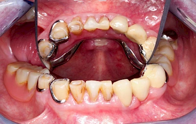
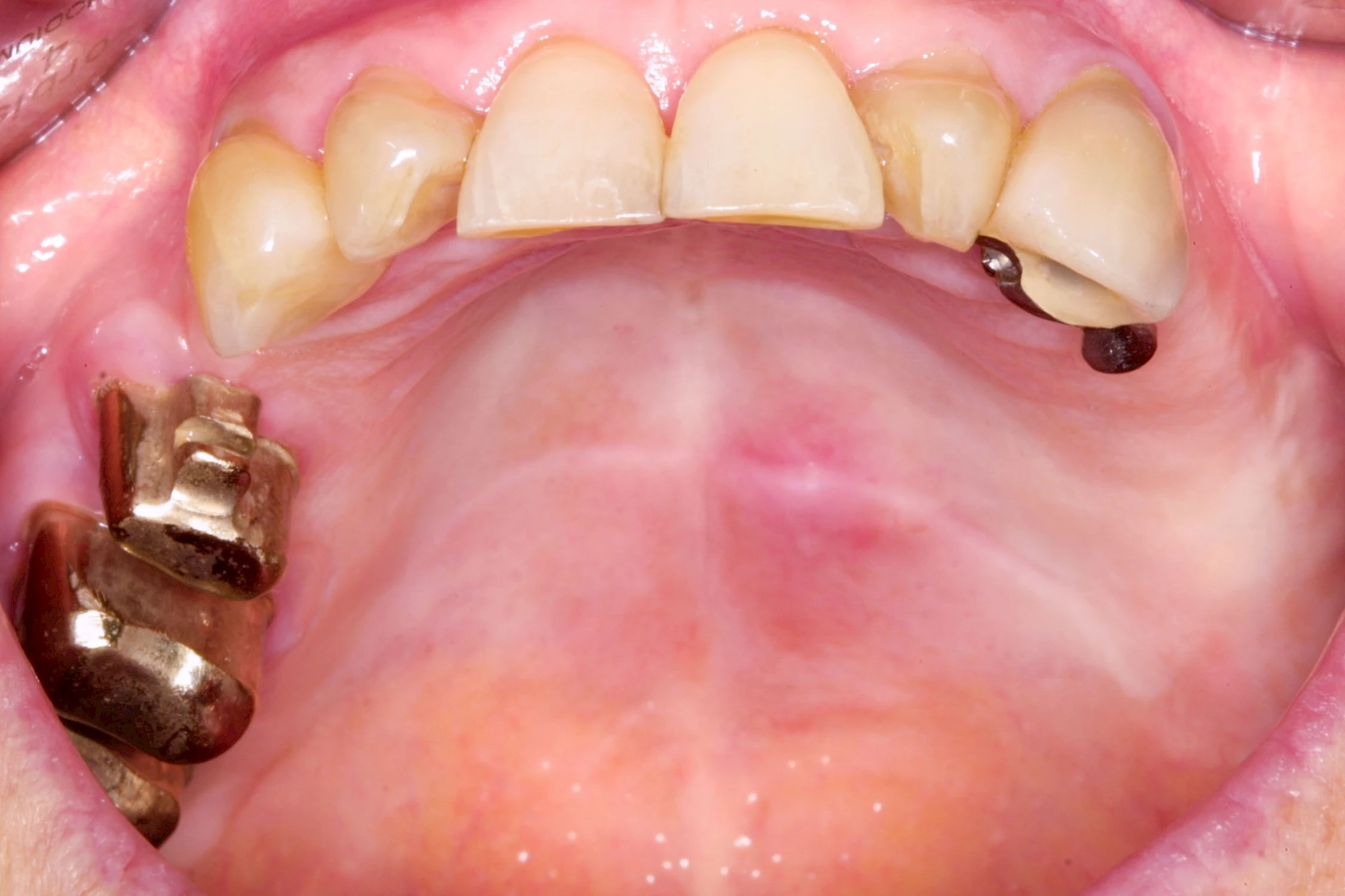
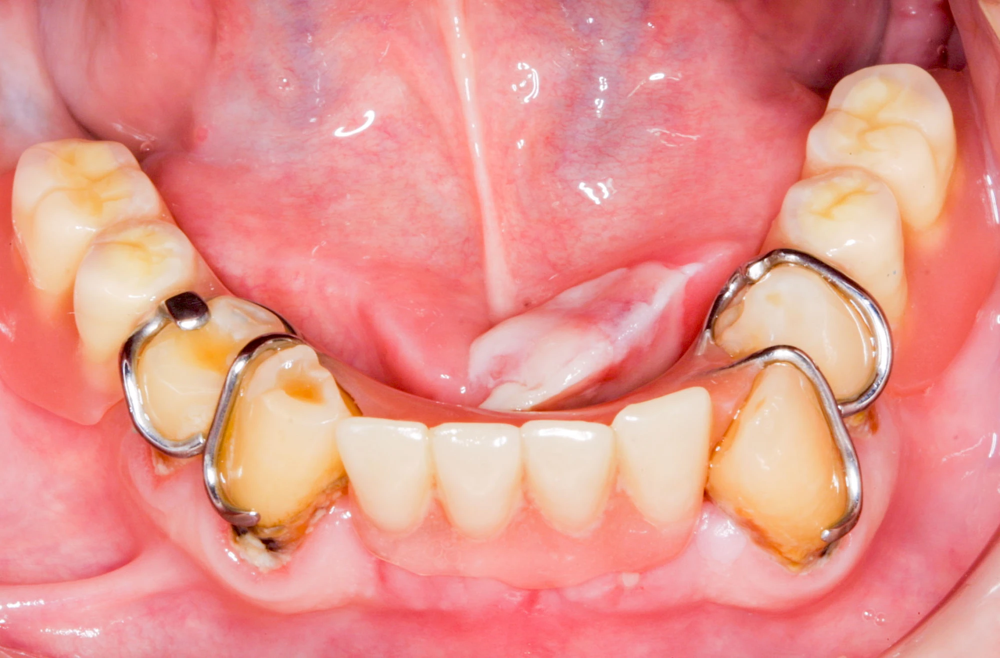
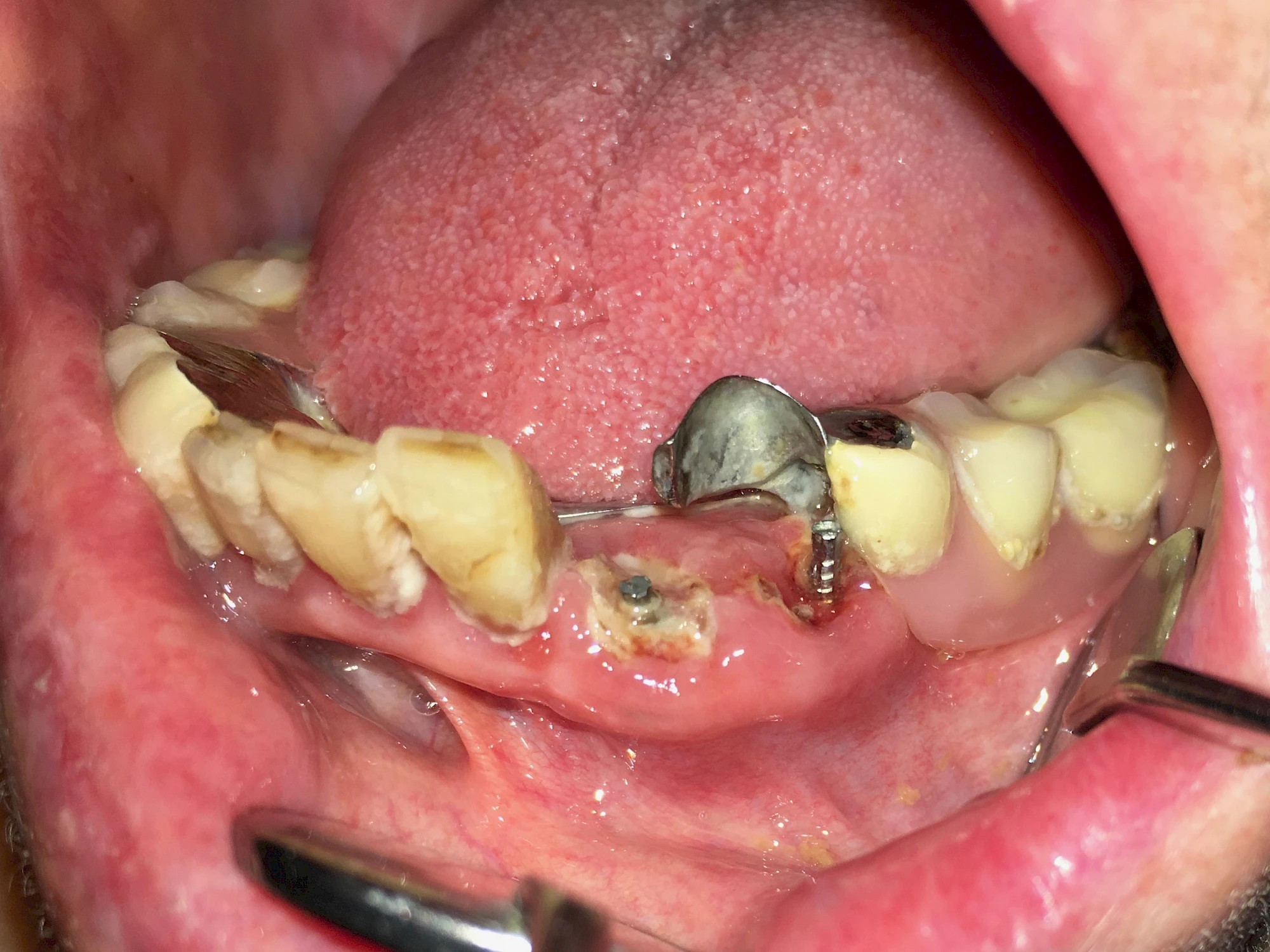
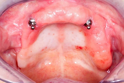
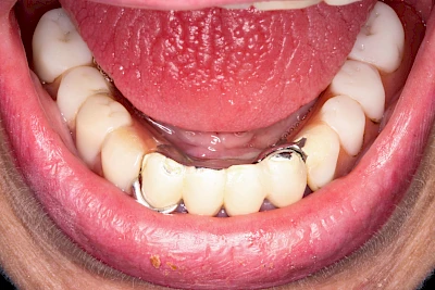
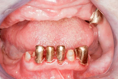
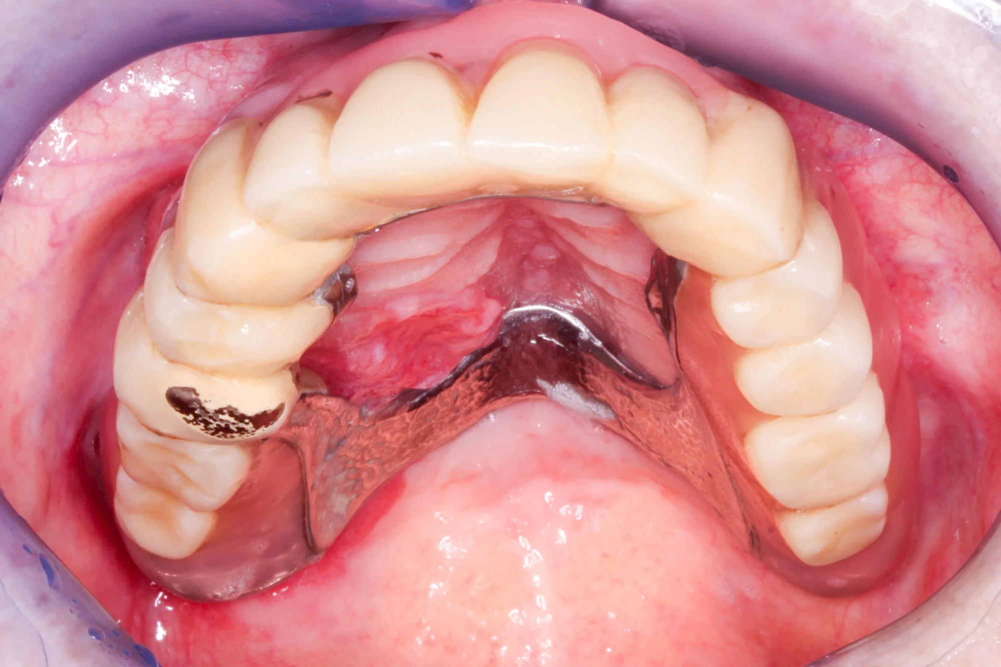
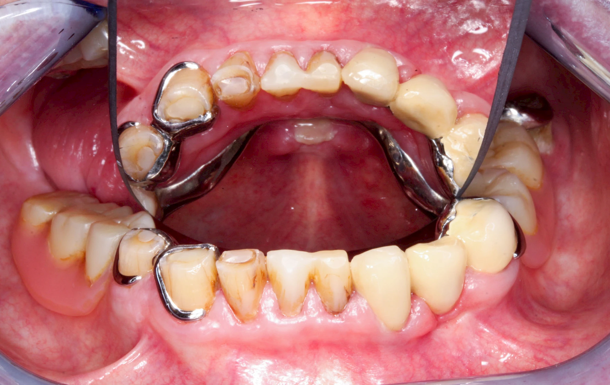
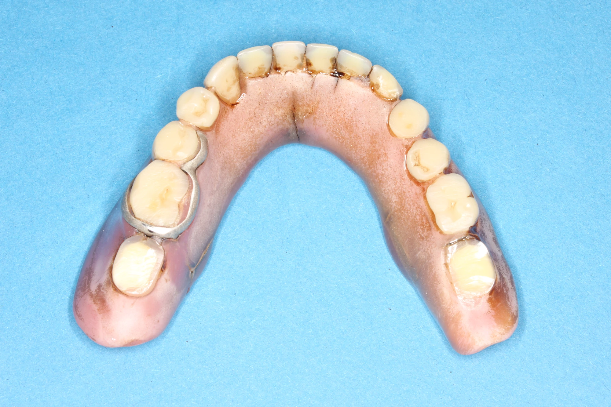
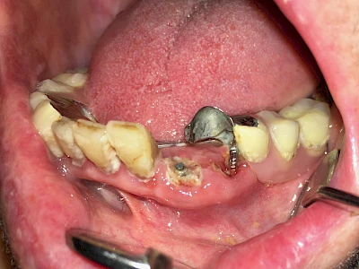
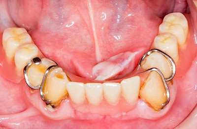
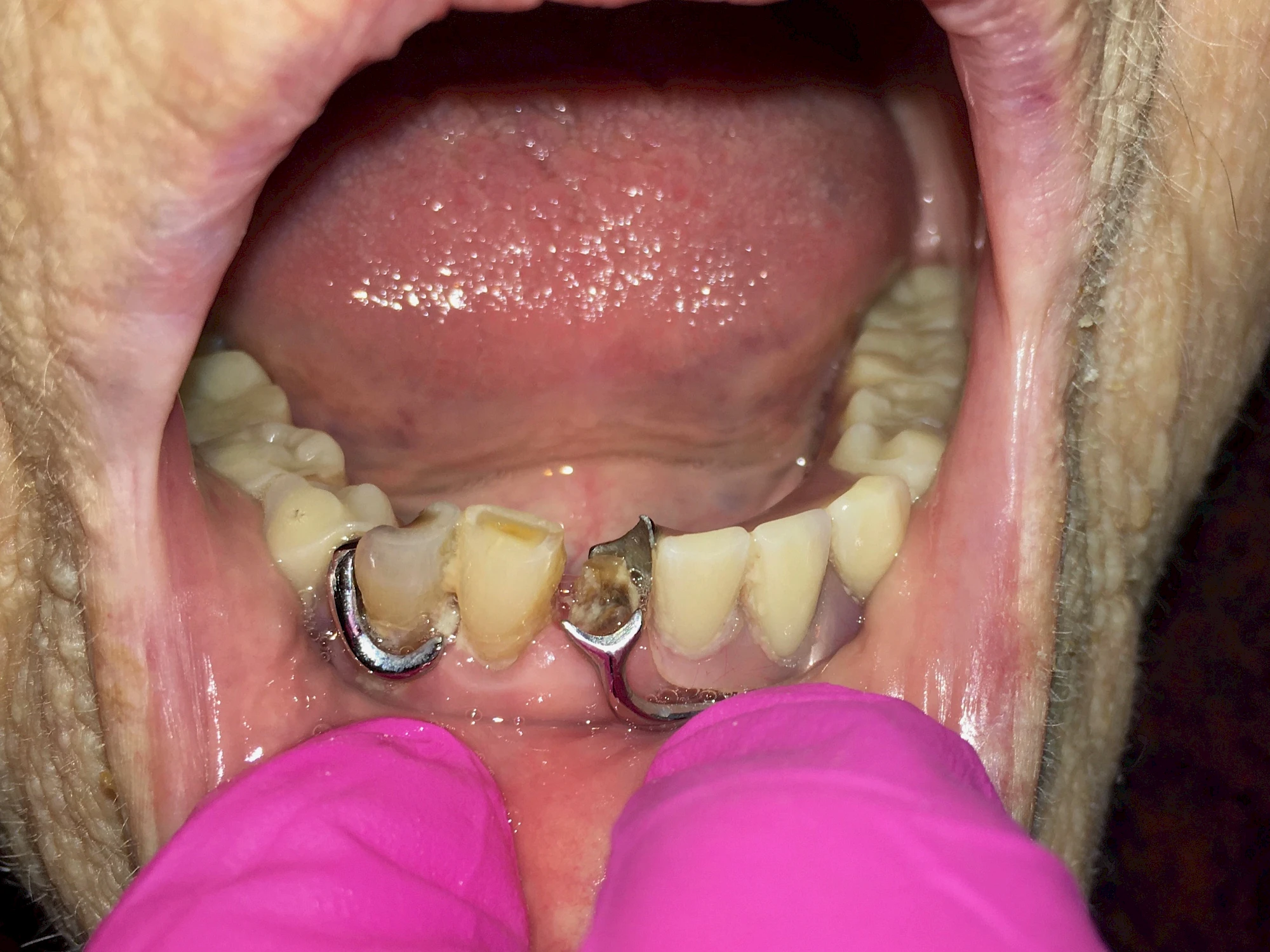
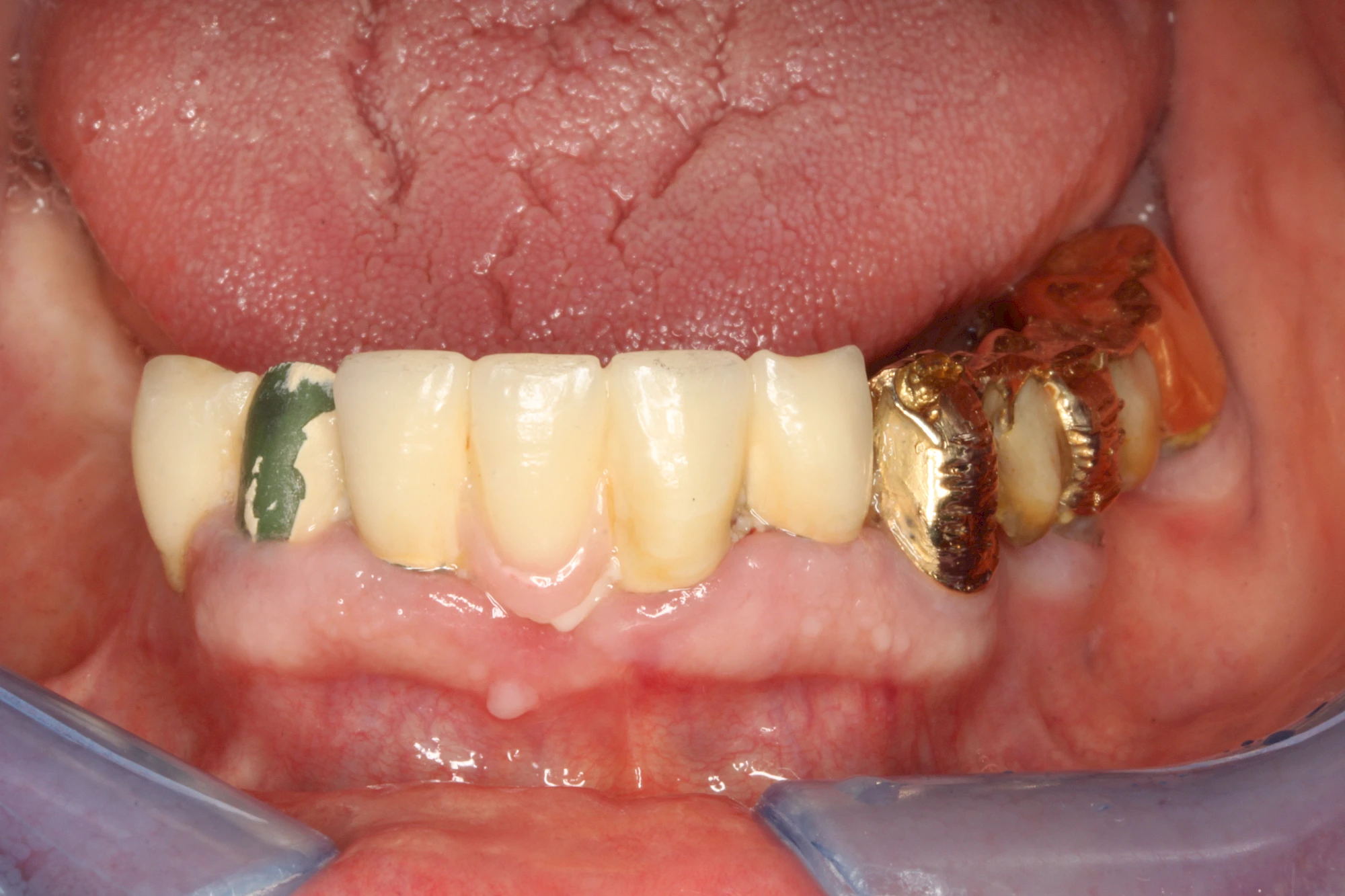
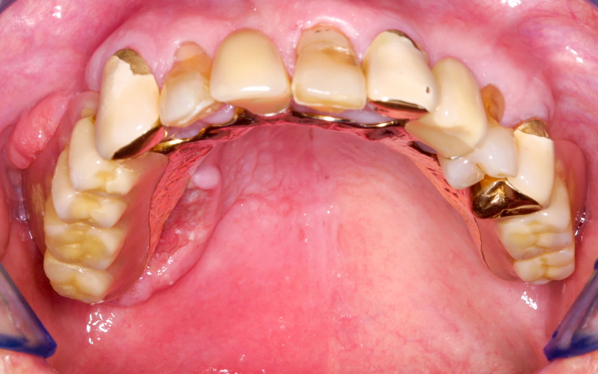
Schlechter Halt & schlechte Passung
Immer wieder kommt es vor, dass Zahnprothesen schlecht passen und/oder schlecht halten. Eine schlechte Prothesenpassung zeigt sich daran, dass die Prothese stark "schaukelt", wenn man auf die Zahnreihen drückt. In erster Linie ist dies auf den Knochenschwund, die sogenannte Atrophie, zurückzuführen. Knochenschwund ist individuell sehr unterschiedlich ausgeprägt. Genetische Veranlagung aber auch intensives Tragen der Zahnprothese sowie ständiges Knirschen und Pressen können Einflussfaktoren sein.
Hält eine Teilprothese kann es auch sein, dass das Verbindungselement defekt oder verlorengegangen ist. In diesen Fällen ist zu prüfen, ob eine Klammer abgebrochen oder ein Verbindungselement wie z. B. eine Krone fehlt. Ist dies der Fall muss ein Zahnarzt gerufen werden.
Ein übermäßiger Bedarf an Haftmitteln wie zum Beispiel Haftcreme, lässt ebenfalls auf eine schlechte Passung schließen. Halten Prothesen auch mit normaler Menge Haftcreme nicht, sollte ein Zahnarzt gerufen werden.
Wie Haftcreme von Zahnprothesen und von den Auflageflächen im Mund am besten entfernt werden kann, erfahren sie hier.
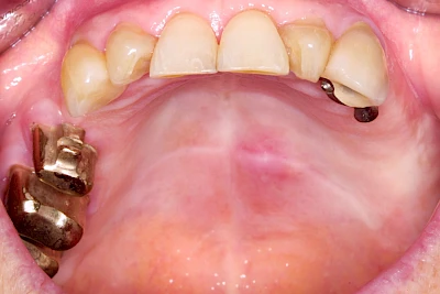
Bei manchen Prothesen verschlechtert sich der Halt, weil die Haltewirkung der Verbindung zwischen der Prothese und den Restzähnen oder Implantaten nachlässt. Nicht selten sind auch einzelne Verbindungs- bzw. Verankerungselemente einfach "verloren" gegangen (verschluckt, ausgespuckt und ganz selten aspiriert!). Manchmal stecken die Kronen, die die Prothese mit den Restzähnen verbinden, in der herausnehmbaren Prothese. In Ausnahmefällen sind die Ankerzähne oder Implantate selbst nicht mehr im Knochen fest verankert und gehen mit der Prothese insgesamt raus. In allen diesen Fällen sollte der Zahnarzt gerufen werden.
Weichbleibende Unterfütterung
Weichbleibende Unterfütterungen werden durchgeführt, wenn es immer wieder zu Prothesendruckstellen kommt. Allerdings lassen sich weichbleibende Unterfütterungsmaterialien nicht so gut reinigen. Es kommt schneller zu Belagsbildungen und Pilzbefall. Mit der Zeit können zudem die Materialien verspröden, was die Belagsbildung weiter begünstigt. Dann spätestens ist es sinnvoll und notwendig, den Zahnarzt zu verständigen.
Diese Seite wurde zuletzt am 25.08.2025 geändert.