
- Startseite >
- >
- Zahnärztliche Versorgungen >
- Zahnspangen & Schienen
Zahnspangen & Schienen
Zahnärztliche Versorgungen
Zur Zahnregulierung werden verschiedene herausnehmbare und festsitzende Apparturen (Spange, Multiband, Retainer, Aligner) eingesetzt. Zahnschienen können bei Knrischen & Pressen (Bruxismus), bei Problemen im Bereich der Kierfergelenke, gegen Schnarchen oder vereinzelt auch als provisorischer Zahnersatz Anwendung finden.
Zahnspange
Zahnspange, Multiband, Retainer & Aligner
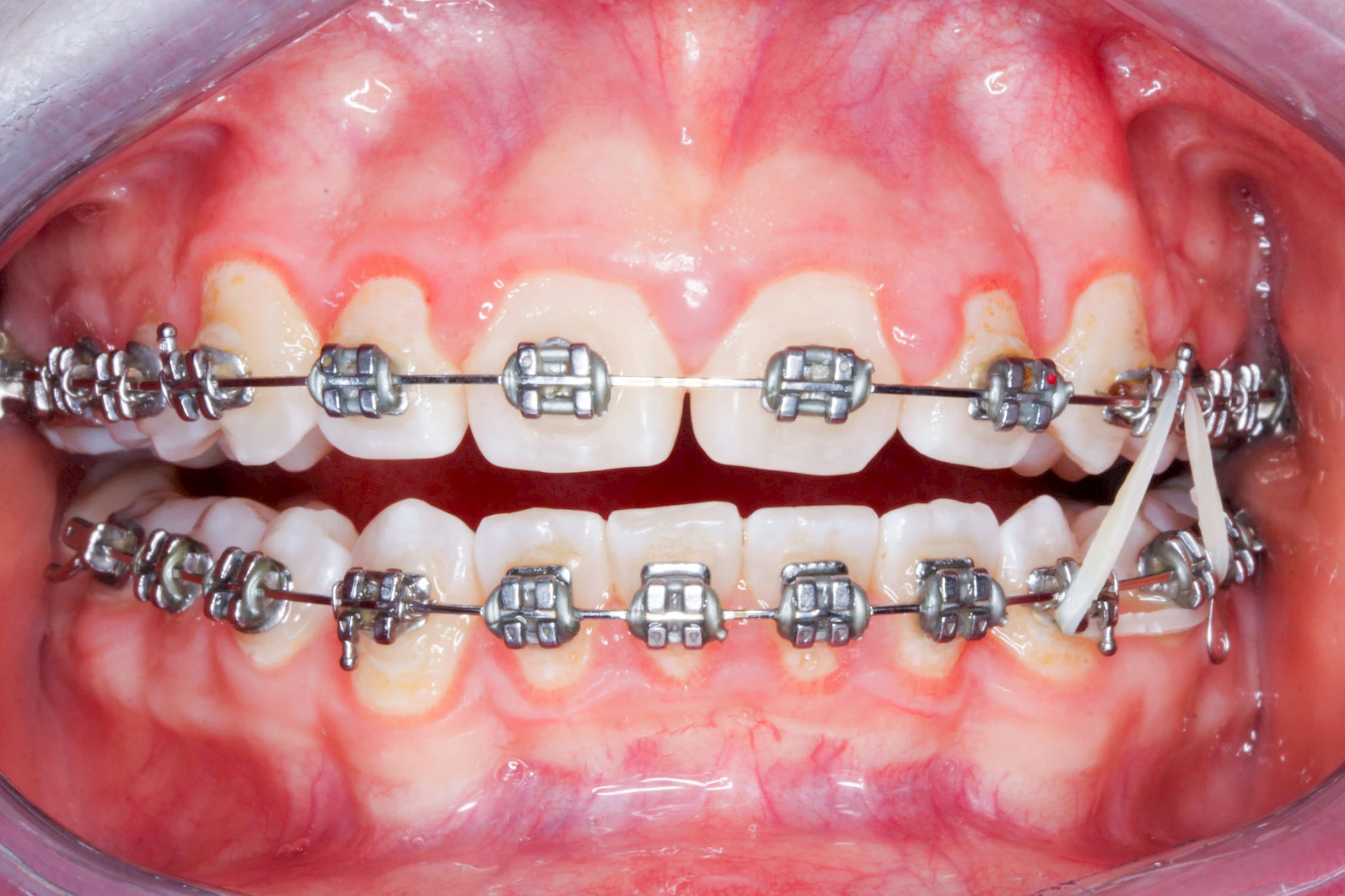
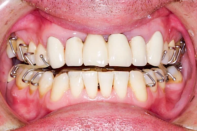
Unter den Begriff "Zahnspange" fallen die folgenden kieferorthopädischen Apparaturen zur Zahn- oder Kieferregulierungen:
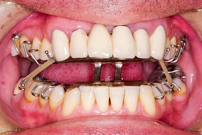
- Herausnehmbare Spangen jeweils für Oberkiefer und Unterkiefer mit gebogenen Drahtklammern
- Herausnehmbare Spangen am Stück für Oberkiefer und Unterkiefer mit gebogenen Drahtklammern
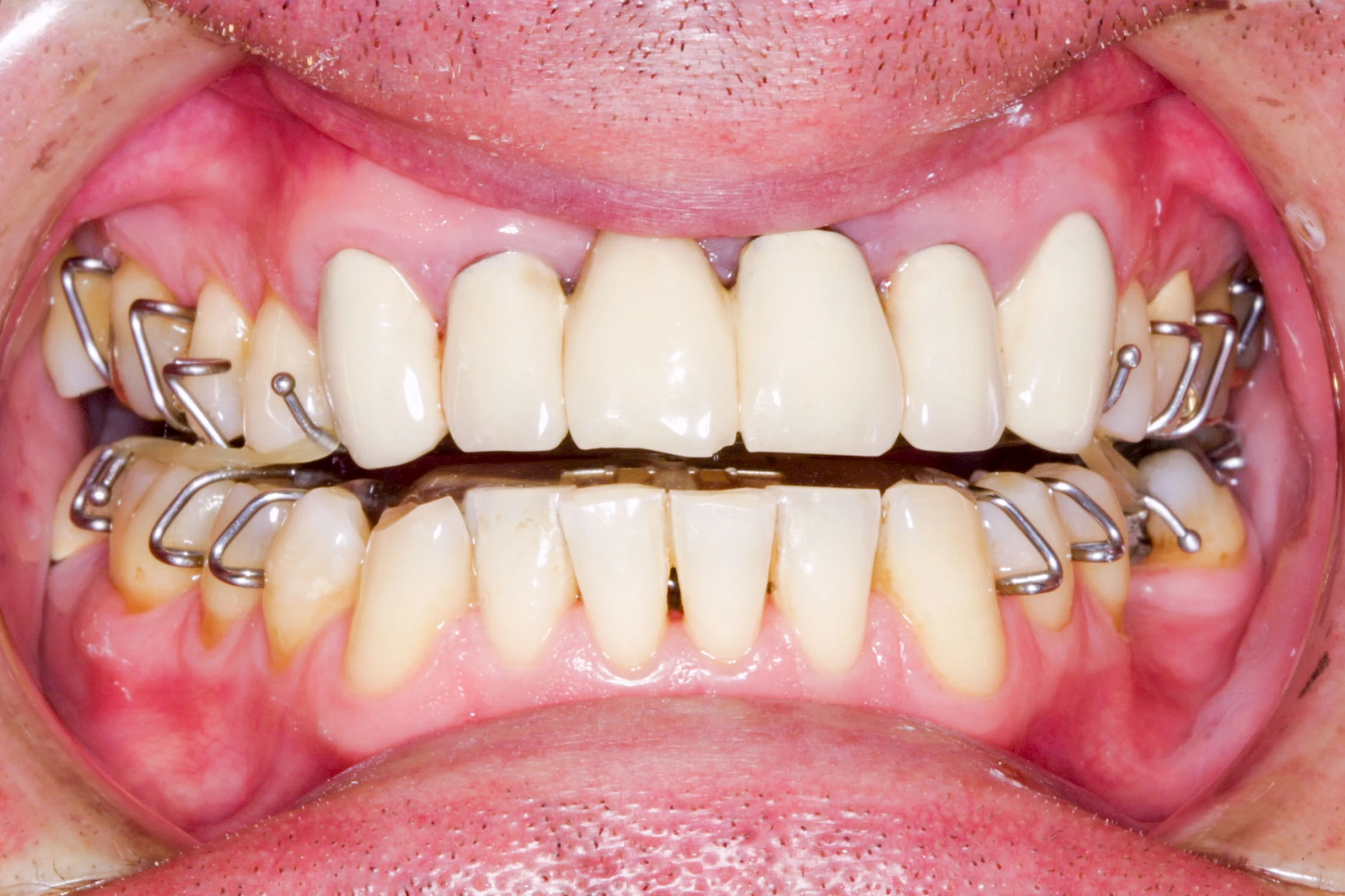
- Festsitzend (Multiband) – mit Draht über Klammern die auf die Zähne aufgeklebt werden
- Drahtelemente mit Kunststoff direkt an den Zähnen z. B. im Oberkiefer oder Unterkiefer befestigt, um dauerhaft die Zahnstellung zu stabilisieren (Retainer)
Zunehmend finden Spangen auch in Form durchsichtiger Zahnschienen Verbreitung. Diese sogenannten Aligner so gefertigt, dass sie jeweils geringe Zahnregulierungen bewirken. Durch die Anwendung mehrerer aufeinander abgestimmter Zahnschienen sind so auch umfangreichere Zahnregulierungen möglich.
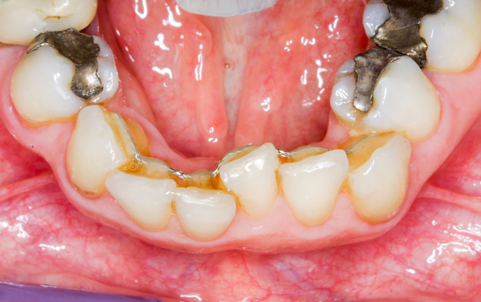
Multiband-Apparaturen bzw. Retainer an den Innenseiten der Frontzähne sind fest vom Zahnarzt angebracht und können nur vom Zahnarzt auch wieder entfernt werden. Hier sollte mit besonderer Sorgfalt um die Apparaturen herum geputzt werden. Interdentalbürsten, aber auch spezielle Pflegemittel wie z. B. Ein- bzw. Monobüschelbürsten können hier hilfreich sein.
Herausnehmbare Zahnspangen werden in der Regel (wenn nicht anders verordnet) außer zu den Mahlzeiten immer getragen. Für herausnehmbare Zahnspangen gibt es spezielle Pflegemittel und spezielle Pflegemaßnahmen
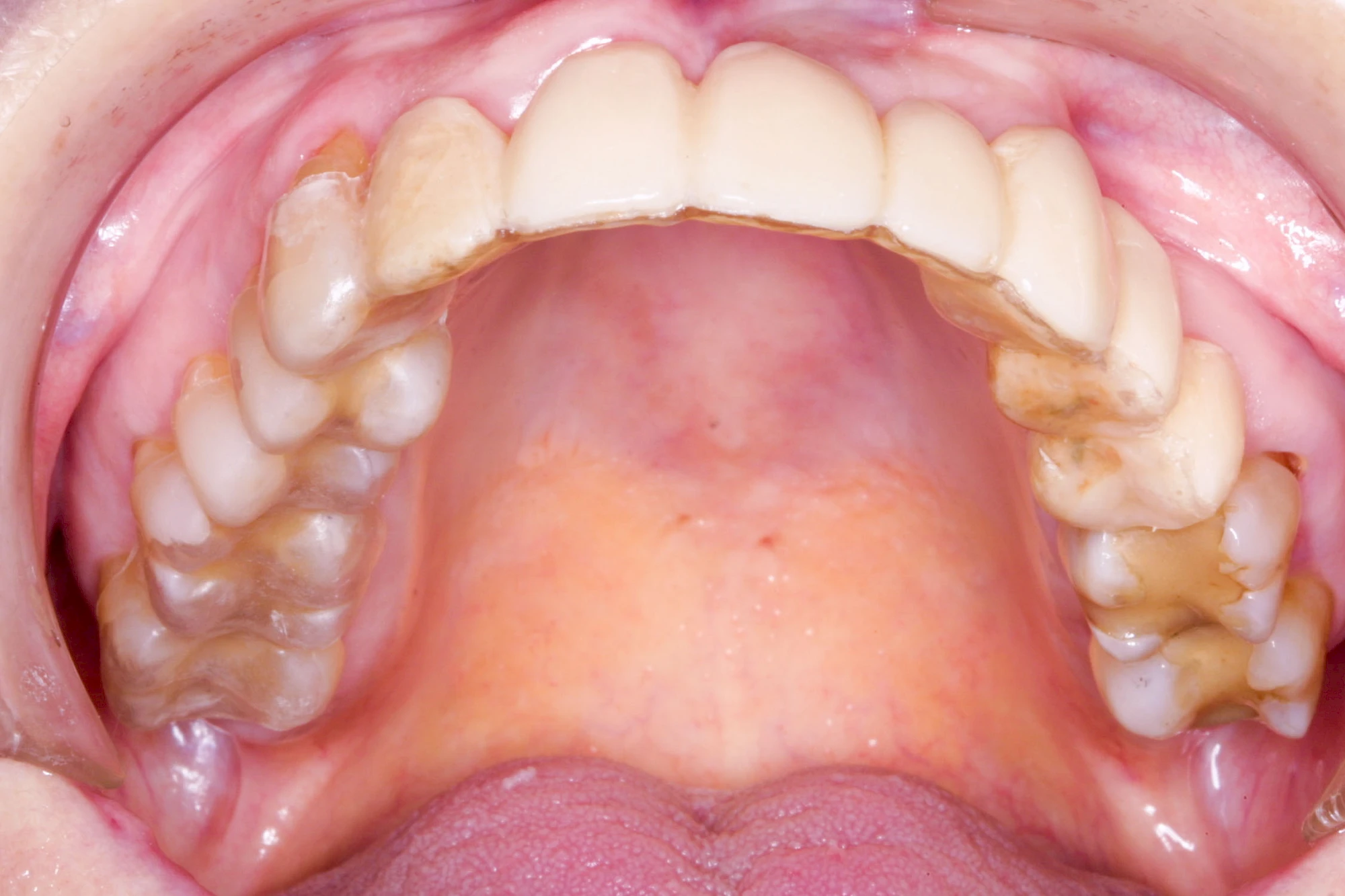
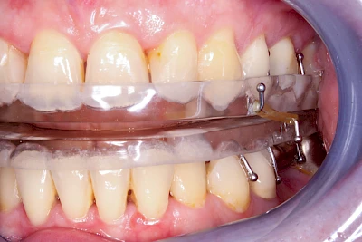
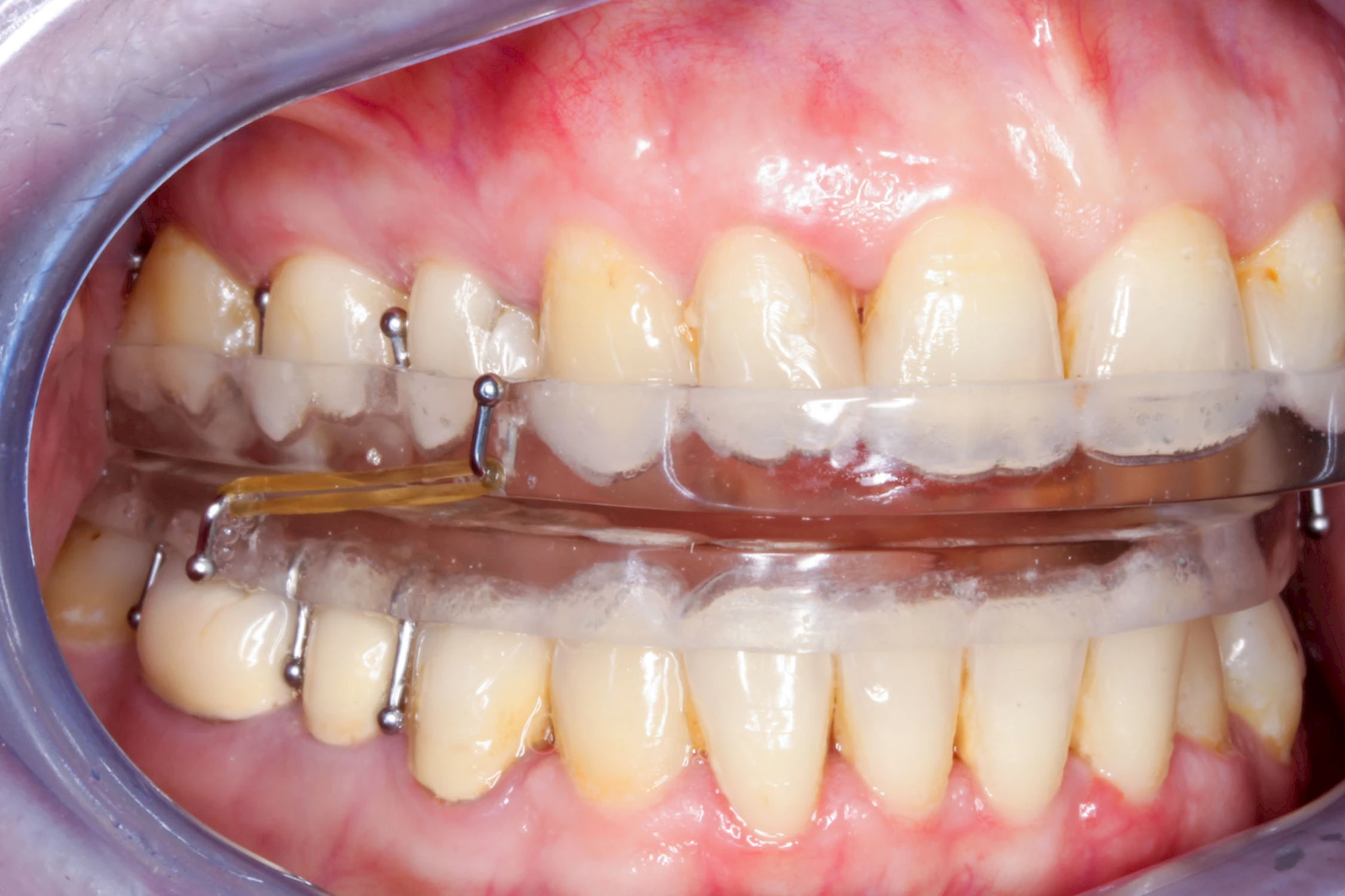
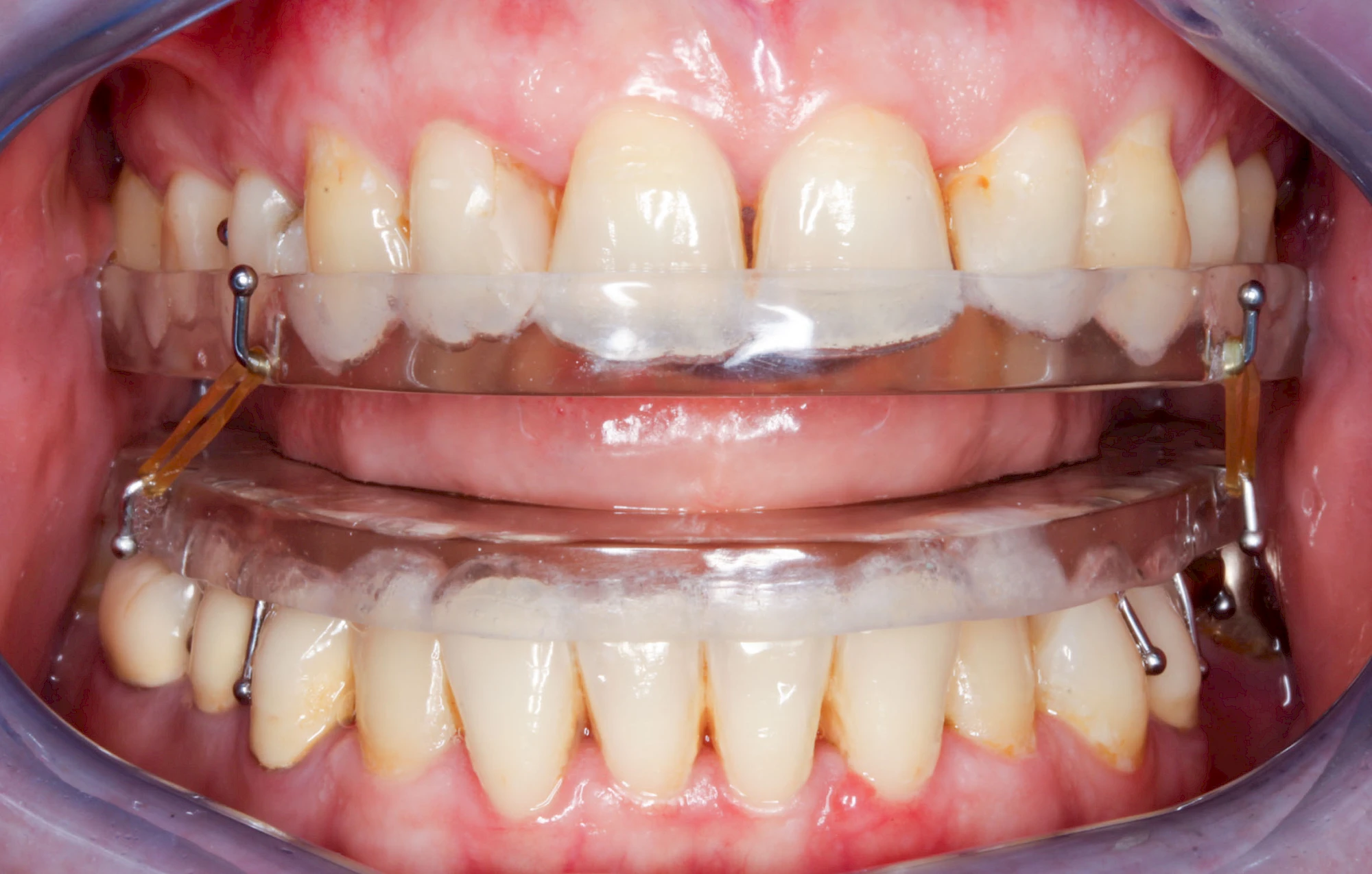
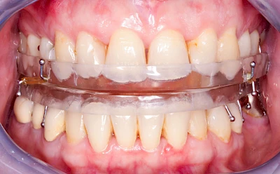
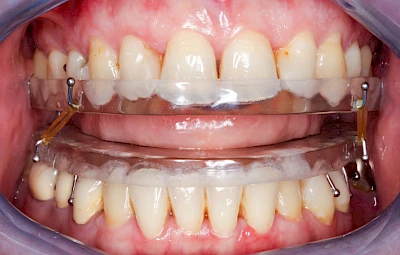
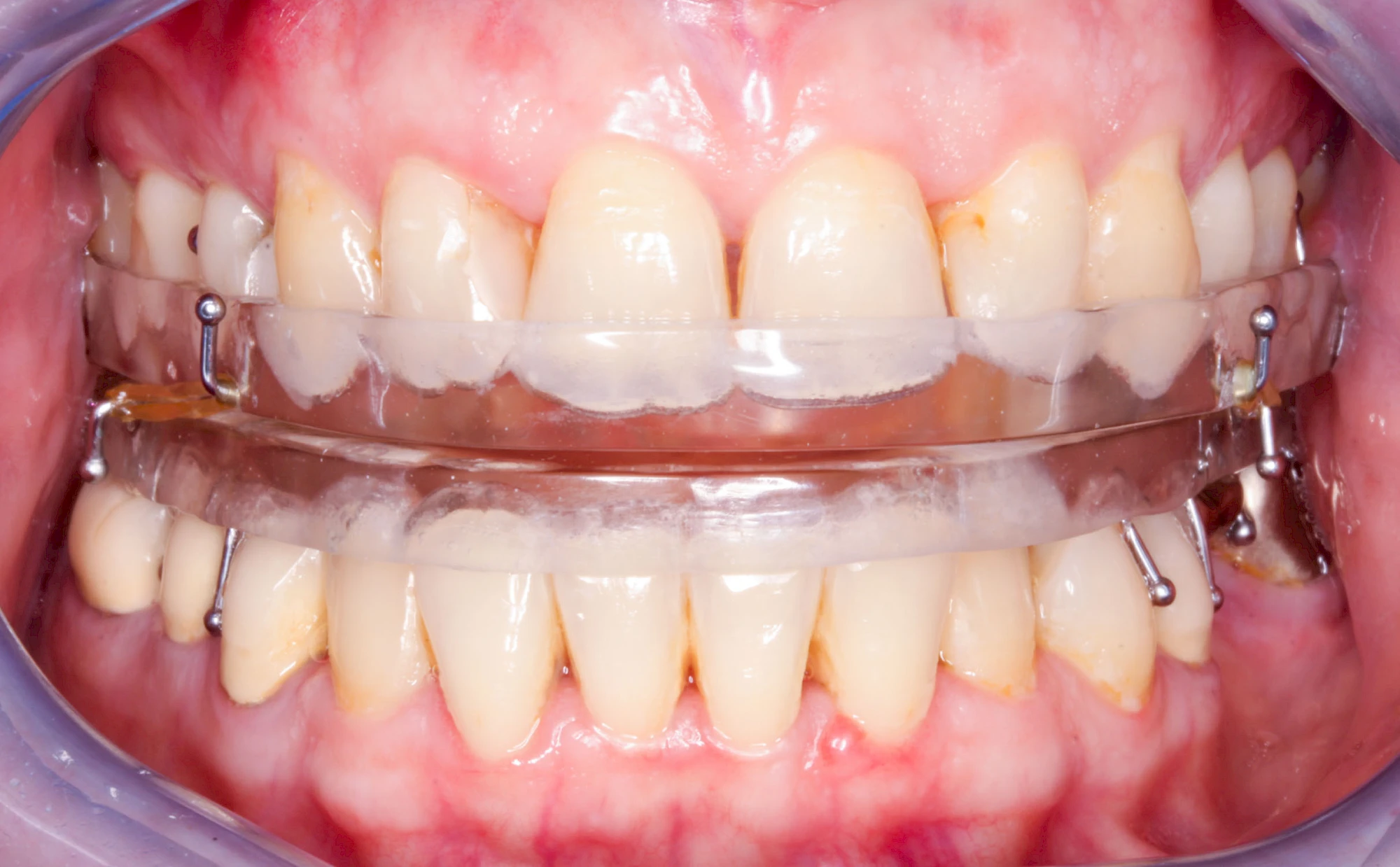
Zahnschiene
- Retentionsschiene, um bei kieferorthopädischen Behandlungen für eine Übergangszeit (Retentionsphase) die Stellung der Zähne zu stabilisieren
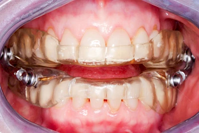
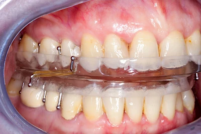
- Knirscher-Schiene gegen Knirschen und Pressen mit den Zähnen (sehr häufig und nur für einen Kiefer)
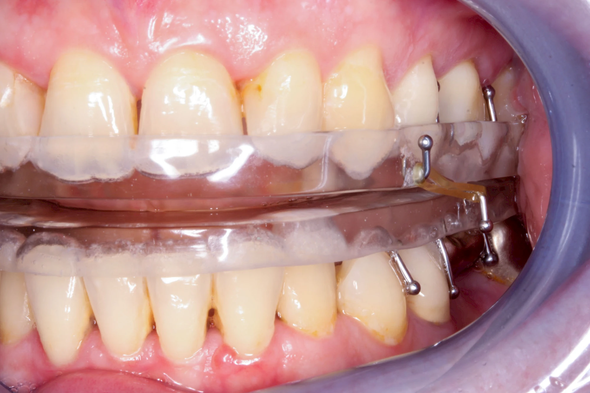
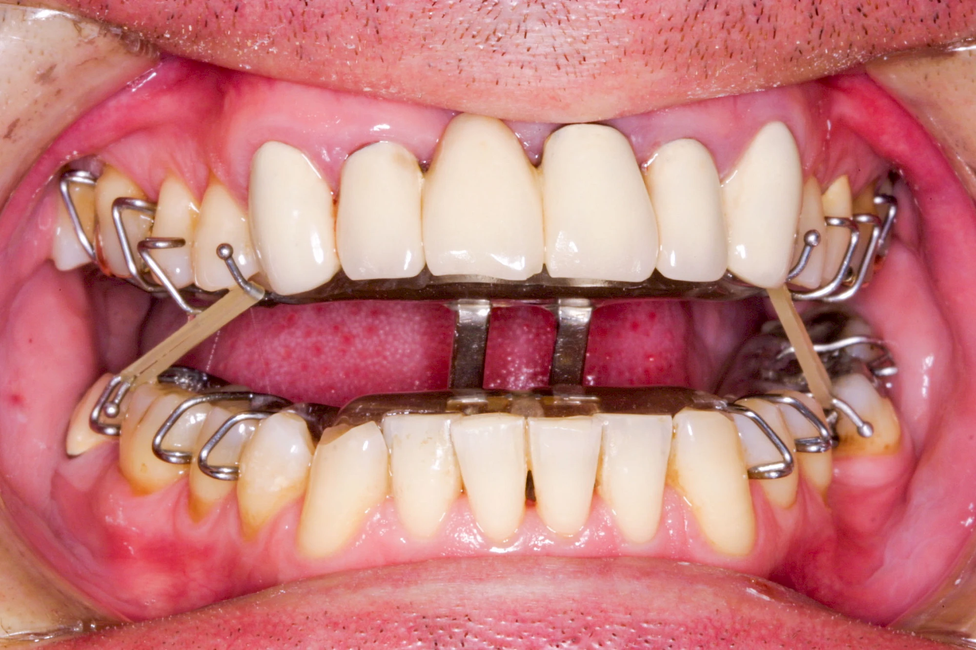
- Schnarcher-Schiene gegen Schnarchen (immer für beide Kiefer)
- Als provisorischer Zahnersatz, um Zahnlücken zu schließen (selten)
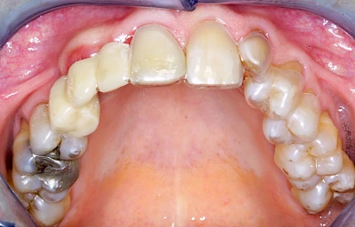
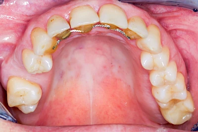
Retentionsschiene
Wird im Rahmen kieferorthopädischer Behandlungen mit festsitzenden Multiband-Apparaturen die Zahnstellung reguliert, muss nach der sogenannten Entbänderung (Entfernung der Apparatur) die Zahnstellung für eine gewisse Zeit unterstützend stabilisiert werden, damit es nicht zur Rückbildung und erneuten Fehlstellung der Zähne kommt. Diese Retentionsphase wird mit einer Retentionsschiene begleitet. Retentionsschienen sind dabei aus dünnem durchsichtigen Kunststoff gefertigt und sind in der äußeren Erscheinung den Knirscher-Schienen sehr ähnlich. Nach Abschluss der Retentionsphase werden häufig die Frontzähne über Retainer-Drähte, die auf den Innenseiten der Zähne meist mit zahnfarbenem Kunststoff befestigt werden, gegeneinander dauerhaft fixiert.
Knirscher- & Schnarcherschiene
Knirscherschienen und auch Schnarcherschienen können sehr unterschiedlich gestaltet sein. Schienen gegen Knirschen und Pressen der Zähne regulieren durch die Veränderung im Zubiss die Aktivität der Kaumuskeln. Schnarcherschienen haben dagegen das Ziel, den Unterkiefer und die Zunge nach vorne zu verlagern und so die Atemwege für die Nacht frei zu machen. Schnarcherschienen bestehen deshalb immer aus zwei Schienen – eine für den Oberkiefer und eine für den Unterkiefer.
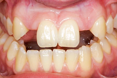
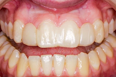
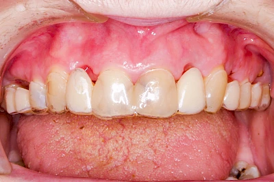
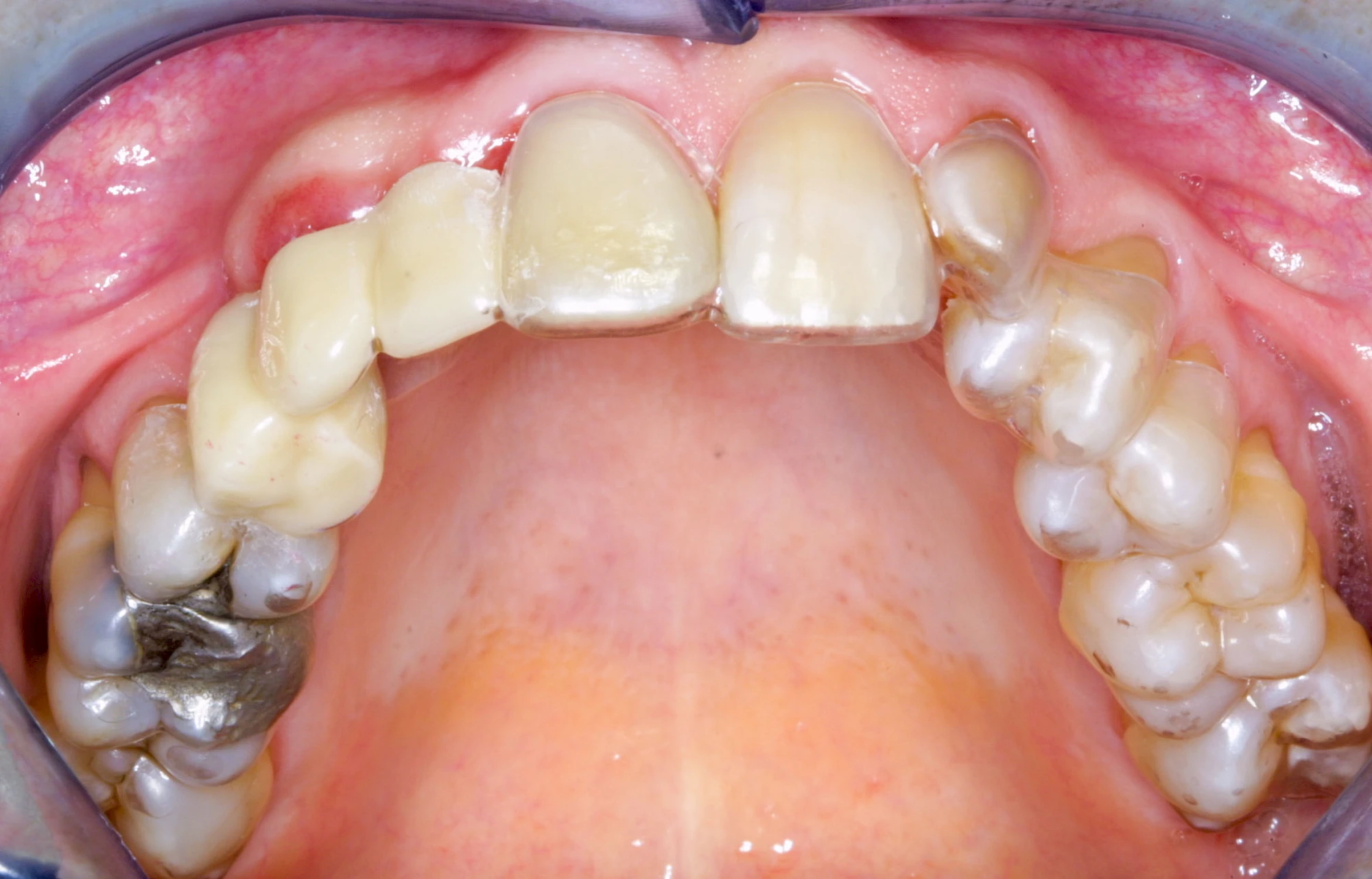
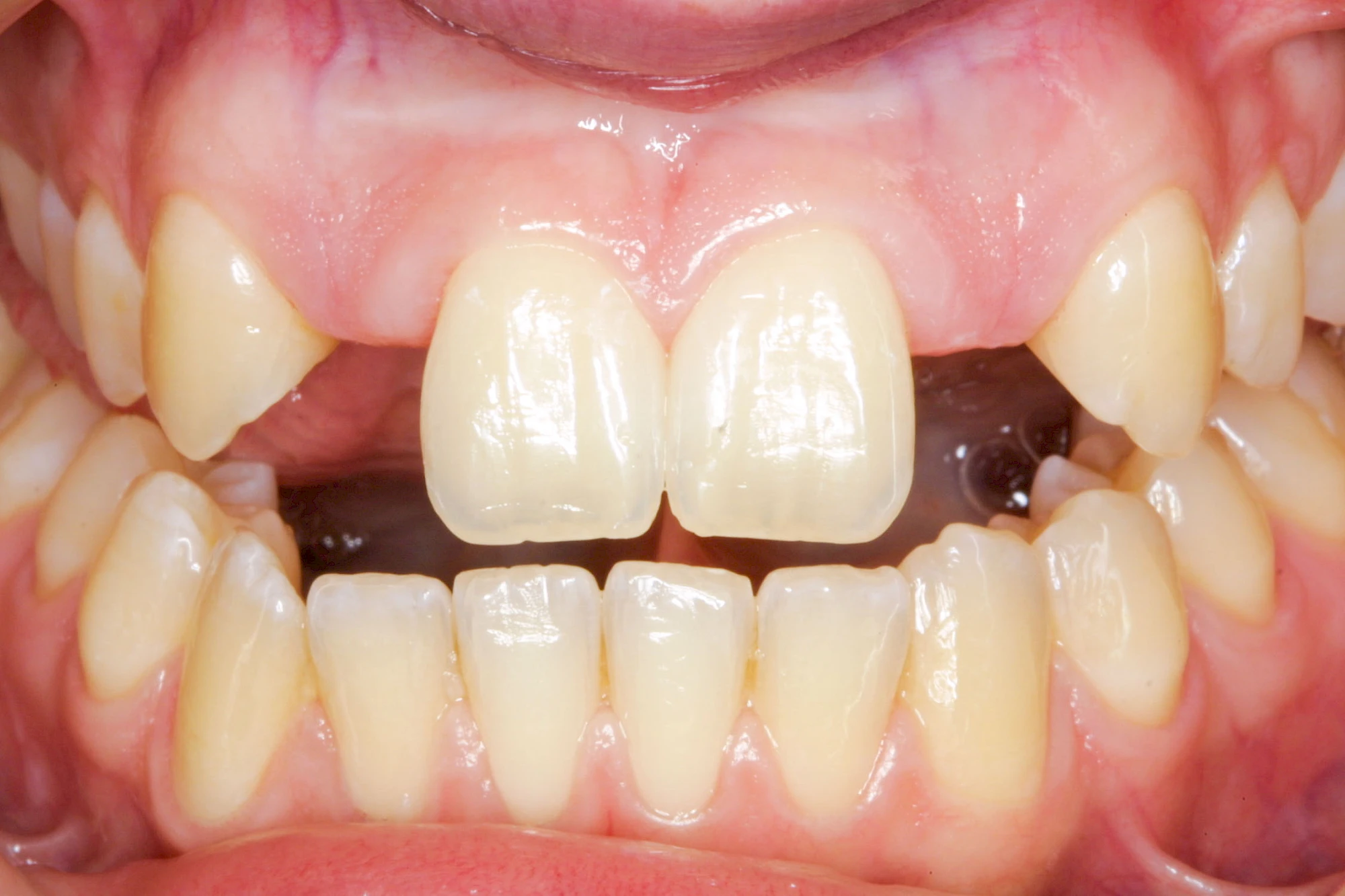
Provisorischer Zahnersatz
Fehlen einzelne Zähne können an Stelle von provisorischen Zahnprothesen mit Klammern und Rosa-Kunststoff kommen mitunter auch Schienen zum Einsatz – diese sind optisch unauffälliger und werden von Patienten im Alltag als angenehmer empfunden. Die fehlenden Zähne werden dann mit zahnfarbenem Kunststoff in der Schiene ausgegossen – Schienen zum Ersatz von Zähnen müssen privat vom Patienten bezahlt werden, da die Kosten nicht von den Krankenkassen übernommen werden.
Quiz
Diese Seite wurde zuletzt am 09.10.2025 geändert.