
- Startseite >
- >
- Auffälligkeiten im Mund >
- Gaumen, Wange & Zunge >
- Warze
Warze
Gaumen, Wange & Zunge
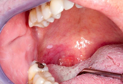
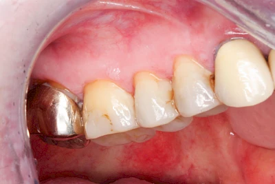
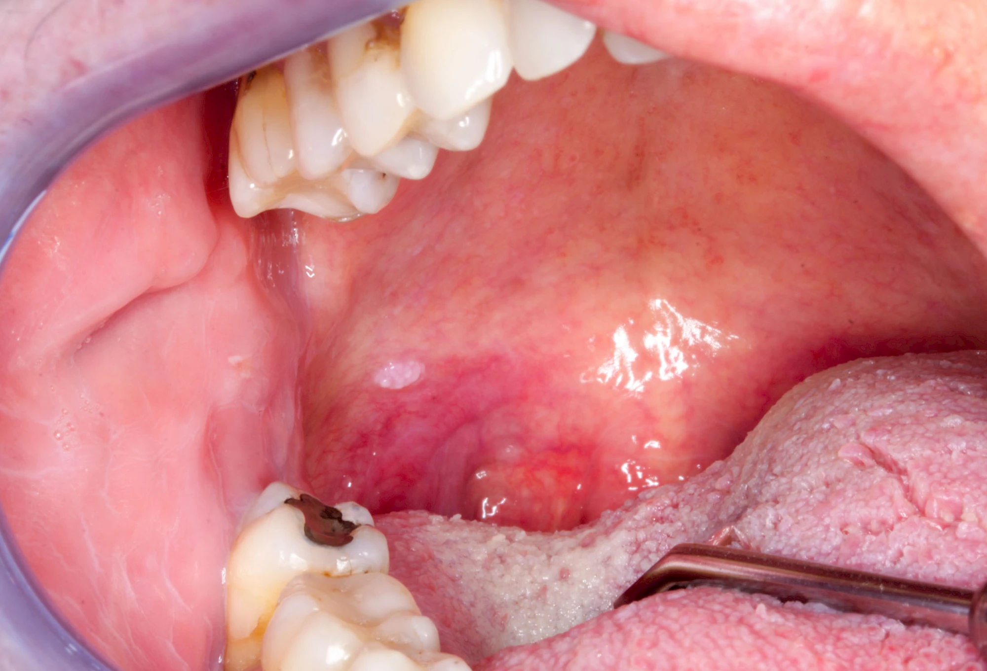
Warzen (Papillome) sind gutartige Tumore der Mundhöhle und in der Regel durch ihre himbeerartige Oberfläche relativ gut von anderen Veränderungen der Mundschleimhäute zu unterscheiden. Warzen werden meist durch Viren (Papillomviren) verursacht. In der Regel geht von Warzen keine weitere Gesundheitsgefährdung aus. Da es in der Umgebung dieser Warzen zu Zellveränderungen kommen kann, sollten diese Warzen immer wieder auf Veränderungen kontrolliert werden. Vor allem, wenn diese Warzen aufgrund ihrer Lokalisation stören oder als unangenehm empfunden werden, können diese meist in örlticher Betäubung (Lokalanästhesie) entfernt werden.
Diese Seite wurde zuletzt am 25.08.2025 geändert.