
- Startseite >
- >
- Auffälligkeiten im Mund >
- Zahn, Füllung, Krone & Brücke >
- Fremdmaterial
Fremdmaterial
Zahn, Füllung, Krone & Brücke
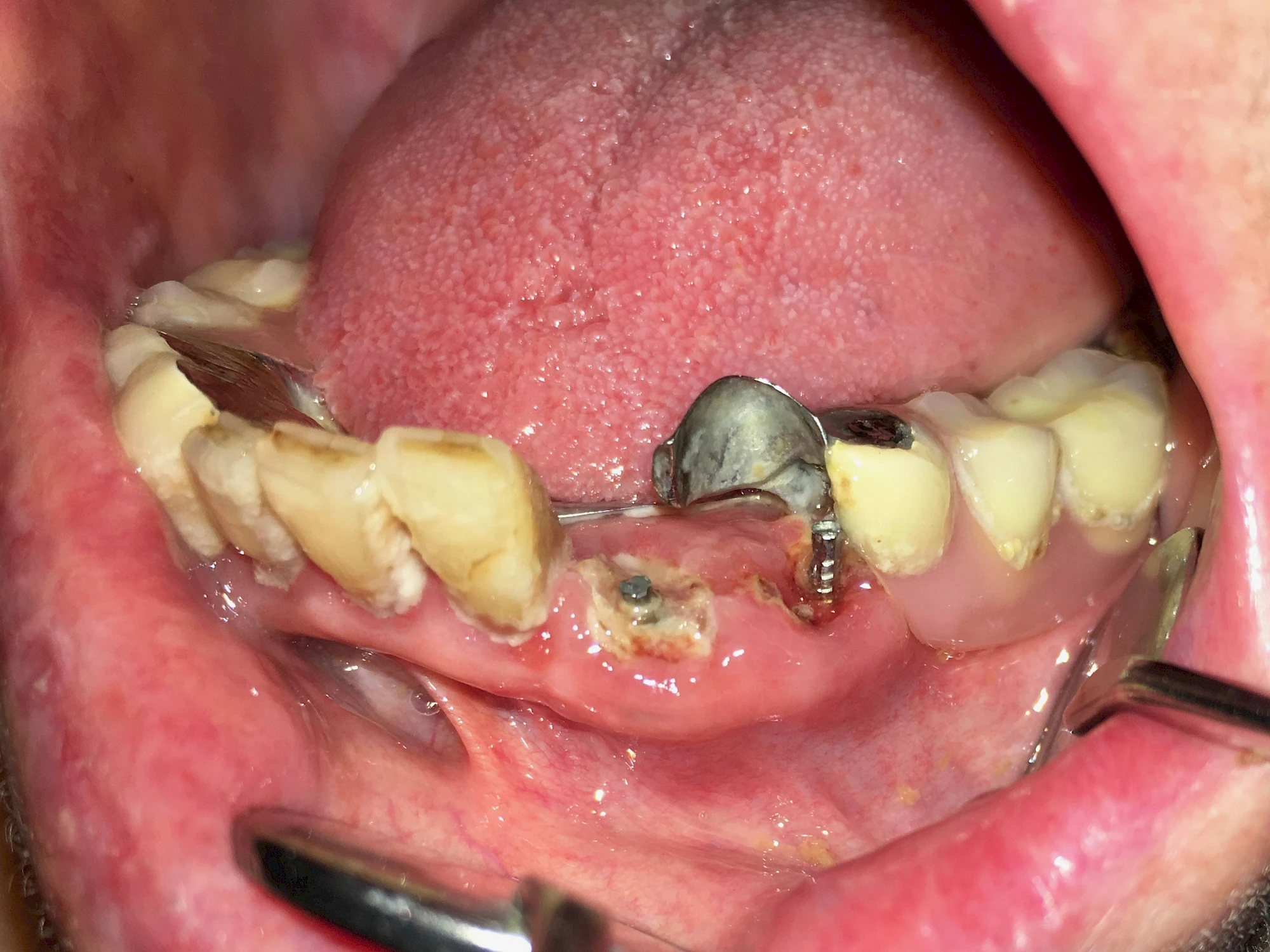
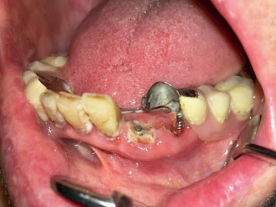
Bricht ein Zahn oder eine künstliche Zahnkrone ab, kann in der Tiefe des Zahnes Fremdmaterial zum Vorschein kommen. Wurzelkanalfüllungsmaterialien können wie "Fleischfasern" zwischen den Zähnen irritieren und sollten deshalb entfernt werden. Harte Wurzelkanal-Stifte können scharfkantig sein und die umliegenden Weichteile verletzen.
Diese Seite wurde zuletzt am 25.08.2025 geändert.