
- Startseite >
- >
- Gesunder Mund >
- Lippen, Zunge, Schleimhäute & Speichel
Lippen, Zunge, Schleimhäute & Speichel
Gesunder Mund
Lippen, Mundschleimhäute und Speichel sind für die Sprachlautbildung und die Nahrungsaufnahme von großer Bedeutung.
Lippen
Die Lippen sind sehr gut durchblutet und nur von einer dünnen Hautschicht bedeckt − deshalb sind Lippen rot. Die Lippen bilden den Übergangsbereich der äußeren Haut zur Schleimhaut in der Mundhöhle. In den Lippen verlaufen sehr viele Nerven – das macht die Lippen sehr empfindlich und Verletzungen oder Erkrankungen sehr schmerzhaft.
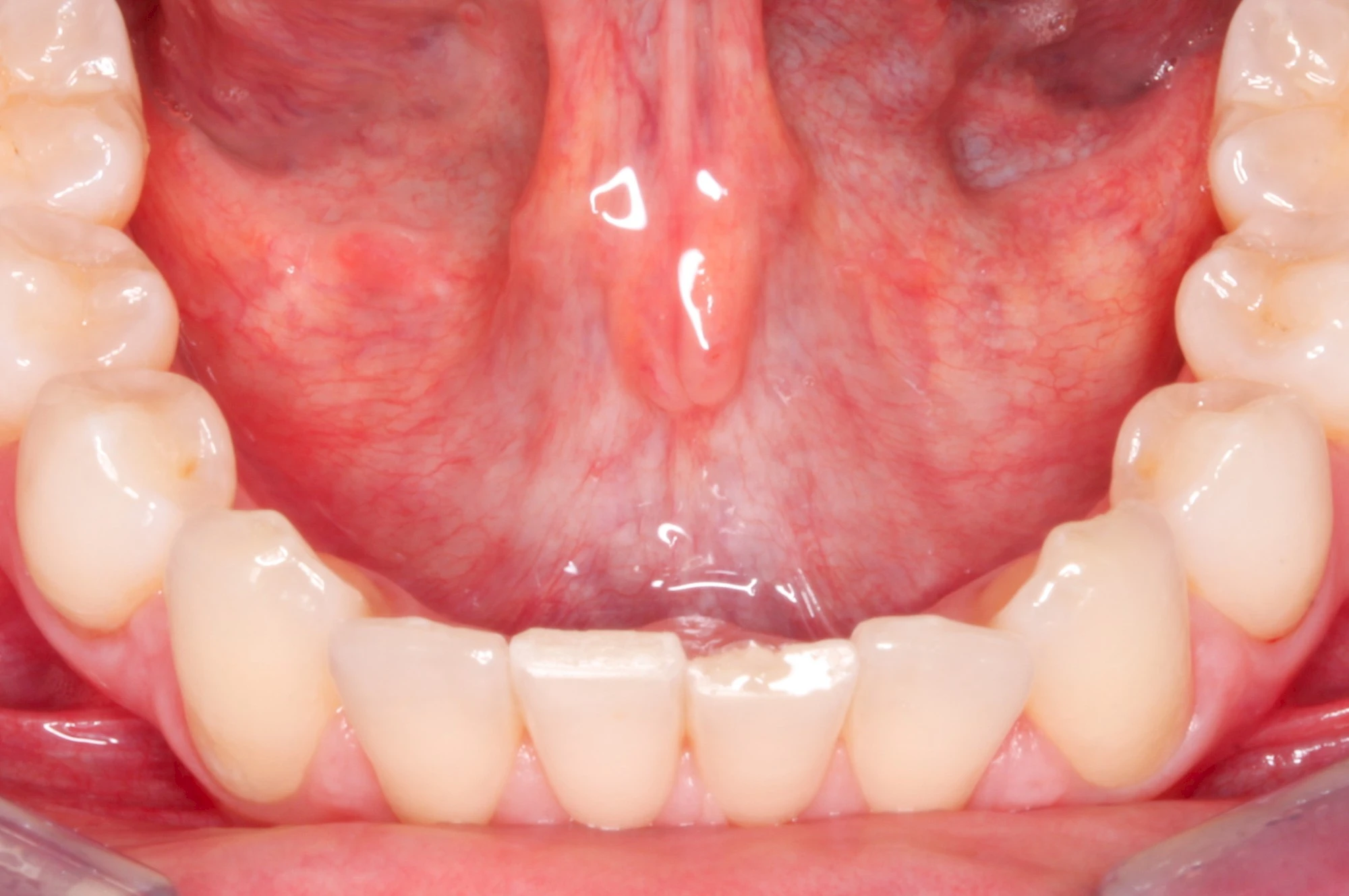
Zunge
Die Zunge erfüllt verschiedene Funktionen:
- Nahrungsaufnahme: Kauen, Schlucken
- Reinigung: Speisereste, Beläge
- Sprachlautbildung
- Geschmack
Geschmacksknospen auf der Zungenoberfläche
Die Zunge ist ein sehr gut durchbluteter Muskel mit sehr hoher und fein ausgesteuerter Beweglichkeit. Zugleich ist die Zunge sehr sensibel. Die robuste und rauhe Oberseite der Zunge erlaubt eine effektive Reinigung der Zähne und der Schleimhäute im Mund. Zudem liegen auf der Oberseite der Zunge ein Vielzahl an unterschiedlicher Geschmacksknospen, die für unser Geschmacksempfinden wichtig sind.
Geschmack
Die Geschmacksknospen oder Schmeckknospen (Caliculi gustatorii) sind zwiebelförmige Gewebestrukturen der Mundschleimhaut und vor allem auf der Zungenoberfläche gruppiert verteilt. Die Geschmacksqualitäten werden meist in süß, salzig, sauer, bitter und umami (herzhaft) unterschieden.
Geschmack setzt sich aus verschiedenen Sinnesreizen zusammen – neben der Wahrnehmung über die Augen, wird Geschmack auch durch die sogenannte retronasale Perzeption gebildet. Beim Essen werden Duftstoffe (Aromen) freigesetzt, die über die Mundhöhle und den Rachen in die Nasenhöhle aufsteigen und dort nicht als Geruch sondern als Geschmack wahrgenommen werden.
Schleimhäute
Schleimhäute kleiden Körperhöhlen aus – auch den gesamten Verdauungstrakt, beginnend mit dem Mund. Schleimhäute sind im Vergleich zur äußeren Haut viel dünner und weniger widerstandfähig. Der Aufbau ermöglich andererseits hochelastische Bewegungen. Lediglich die Zungenoberfläche, das Zahnfleisch und der Bereich des harten Gaumens ist etwas verstärkt (verhornt), da diese mechanisch z. B. beim Essen stärker beansprucht werden.
Die oberste Hautschicht der Schleimhaut wird Mukosa genannt (mucus – Schleim). Der Name leitet sich ab durch die Vielzahl an Speicheldrüsen (siehe unten), die direkt unter der Oberfläche liegen und mit Speichel und Schleimstoffen die Oberfläche angenehm elastisch, feucht und gleitfähig halten.
Im Vergleich zur äußeren Haut fehlen Haare, Talgdrüsen und Farbstoffe (Pigmente). Die rötliche Färbung ergibt sich aus der guten Durchblutung.
Aufbau der Schleimhaut
Speicheldrüsen
Es gibt insgesamt 6 große Speicheldrüsen (je 3 auf jeder Seite)
- Ohrspeicheldrüse (Glandula Parotidea – "Parotis")
- Unterkieferspeicheldrüse (Glandula Submandibularis)
- Unterzungenspeicheldrüse (Glandula Sublingualis)
Während die Ohrspeicheldrüse überwiegend dünnflüssigen Speichel vor allem zu den Mahlzeiten über einen kleinen Ausgang im Bereich der Wange etwa gegenüber den großen Backenzähnen (Molaren) absondert, ist der Speichel der Unterkiefer- und Unterzungenspeicheldrüsen eher dickflüssig und wird überwiegend unstimuliert – also zwischen den Mahlzeiten – über die sogenannten Carunceln unter der Zunge, abgesondert.
Daneben gibt es eine Vielzahl (600-1.000) kleiner Speicheldrüsen in den Schleimhäuten, die dazu dienen, die Schleimhäute ständig feucht zu halten.
Speichel
Der erwachsene Mensch produziert täglich durchschnittlich 0,5 – 1,5 l Speichel.
Der Speichel erfüllt verschiedene Funktionen:
- Verdauung
- Abwehr von Krankheitserregern
- Befeuchtung der Mundschleimhäute für angenehmes Mundgefühl
- Reduzierung von Reibungswiderständen beim Essen und Sprechen
- Schutz der Zähne (Remineralisation)
Bestandteile
- Wasser (ca. 99 %) zur Anfeuchtung der Schleimhäute
- Mineralien (u. a. Kalzium, Phosphat, Fluorid) zur Härtung u. a. der Zähne
- Enzyme (z. B. für Kohlenhydrat-Verdauung)
- Muzine (Schleimstoffe) für ein angenehmes Gefühl im Mund und um die Nahrung gleitfähig zu machen
- Abwehrzellen gegen Bakterien, Viren und Pilze
Speichel schützt vor Karies!
Spülfunktion, Remineralisation & Puffer
Durch das Kauen sowie die Reizung der Geschmacksrezeptoren bzw. Sinnesnerven wird der Speichelfluss angeregt. Der Speichel kann Zucker und Säuren verdünnen oder direkt wegspülen, bevor diese die Zahnoberfläche erreichen oder von Bakterien auf der Zahnoberfläche aufgenommen und verstoffwechselt werden können (Spülfunktion).
Zwischen dem Speichel und der Zahnoberfläche findet ein ständiger Austausch von Kalzium, Phosphat und Fluorid statt. Mineralien auf der Zahnoberfläche werden direkt herausgelöst durch Säuren in der Nahrung (z. B. Sprudel, Limonade!) oder indirekt durch Bakterien auf der Zahnoberfläche, die Zucker aus der Nahrung verstoffwechseln. Der Speichel hilft mit seinen Mineralien den ganzen Tag, die Zahnoberfläche wieder zu "reparieren" (Remineralisation).
Schließlich hat Speichel die Fähigkeit, Säuren (direkt aus der Nahrung oder indirekt als Stoffwechselprodukt der Bakterien) zu binden und "abzufangen" (Puffer).
Quiz
Diese Seite wurde zuletzt am 23.02.2026 geändert.